CASO: Paciente pediátrico de 9 años que acude a urgencias por dolor intenso en FID. Presenta vómitos y estreñimiento prolongado.
Exploración: Palidez. Abdomen con irritación intestinal y marcado dolor en hipogastrio y FID.
Analítica: Anemia marcada.
Constantes vitales estables. Resto sin hallazgos a destacar
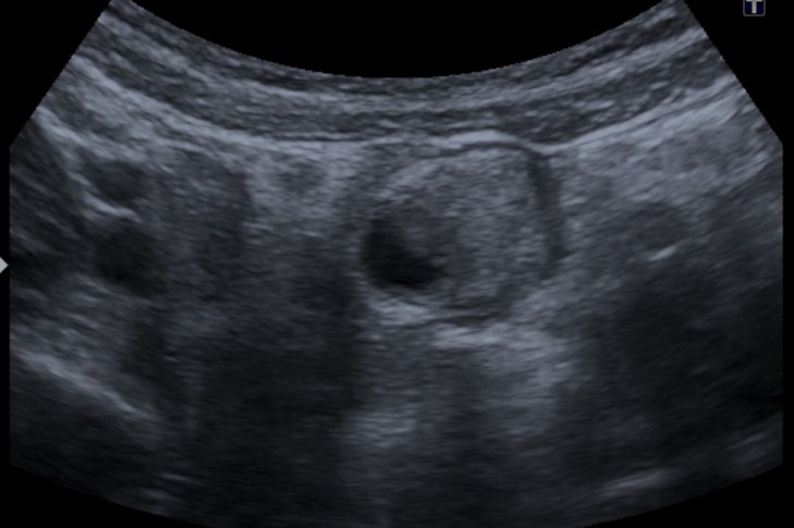
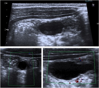
Se realiza ecografía de abdomen. Se observa:




El paciente presenta dolor, anemia marcada y clínica de obstrucción intestinal, lo cual puede ser debido a una invaginación intesinal ileoileal (aunque el niño tiene ya 9 años) o probablemente a un divertículo de Meckel complicado que puede haber producido una intususpección.
Tras la cirugía y el informe de AP se confirmó el hallazgo de divertículo de Meckel complicado.
DIVERTÍCULO DE MECKEL.
El divertículo de Meckel es la anomalía congénita más común del tracto gastrointestinal, ocurre en el 2% de la población y se debe a una alteración en el desarrollo del conducto onfalomesentérico (es un remanente del mismo, debe obilterarse por completo hacia la 9ª semana de gestación). Es un verdadero divertículo, es decir, tiene todas las capas de la pared intestinal y puede contener mucosa ectópica gástrica y pancreática. El 75% de ellos se localizan en el borde antimesentérico del intestino delgado, a unos 40-100 cm de la válvula ileocecal.
CLÍNICA.
La mayoría de los paciente permanecen asintomáticos, aunque pueden complicarse en torno al 20%. Cuando da clínica, es debida a la inflamación del mismo que provoca dolor en FID y puede asociar hematoquecia y anemía en la analítica. Las complicaciones suelen debutar en la infancia pero se pueden presentar a cualquier edad, siendo en el adulto más difícil el diagnóstico debido a que la clínica y los hallazgos radiológico se superponen con otras entidades que causan dolor abdominal agudo o sangrado.
Por tanto la clínica más frecuente es:
- Malestar periumbilical y dolor en FID.
- Diverticulitis con o sin hematoquecia: la inflamación suele ser secundaria a la secreción de ácido a partir de mucosa gástrica ectópica, también puede ocurrir debido a la obstrucción por enterolitos, cuerpos extraños o neoplasia. El sangrado es frecuente y se produce por la ulceración de la mucosa ileal normal adyacente al divertículo que está cubierto de mucosa ectópica gástrica que secreta acido.
- Obstrucción intestinal: se observa la obstrucción a nivel del divetículo. Puede ocurrir por una torsión del divertículo sobre su propio meso, por una intususcepción o por la introducción del divertículo a un saco herniario existente (hernia de littre`s que ocurre con frecuencia en divertículos de gran tamaño).
- Otras complicaciones mas raras son la perforación, la formación de enterolito y el desarrollo de neoplasia al interior del divertículo.
IMAGEN.
Ecografía
De elección en pediatría.
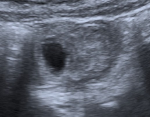
En la evaluación ecográfica se puede identificarse una estructura tubular que termina en saco ciego con contenido líquido, en el borde antimesentérico del íleon terminal,
localizada a nivel abdominal en cuadrante inferior derecho. Estos hallazgos han provocado que se diagnostiquen erróneamente como apendicitis cuadro de diverticulitis de Meckel, sin bien la actitud terpéutica (que suele ser la cirugía) no varía.
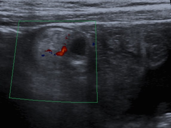
Puede observarse también como una estructura quística con paredes que recuerdan asas intestinales: banda hiperecoica que correspondería a la mucosa y otra banda hipoecoica que correspondería a la muscular. Han sido confundidos con quístes de duplicación (los cuales tienen sin embargo márgenes más regulares). La señal Doppler color puede muestran hiperemia como signo de inflamación del diverticulo.
Recordar que pueden econtrarse enterolitos en el interior del divertículo e incluso gas, el cual puede confundirnos con un asa intestinal (usar transductores de alta frecuencia).

Tomografía computarizada.
La TC es la prueba de elección en adultos.
Es difícil diferenciar un asa intestinal de un divertículo de Meckel a menos que presente alguna complicación. Se observa en el cuadrante inferior derecho una estructura tubular de paredes delgadas con contenido líquido en relación con el ileon distal, separada del ciego y del apéndice, cercana a la pared abdominal anterior; en otros casos se observa un asa intestinal anormal de paredes engrosadas y realzadas con cambios inflamatorios de la grasa mesentérica circundante. En caso de que las paredes no estuvieran realzadas puede significar gangrena. Identificar el sitio de unión del divertículo con el íleon distal permite reconocer con mayor certeza que estamos frente a un divertículo de Meckel.
En el angio TC se pueden observar zonas de extravasación de contraste IV en el cuello del divertículo, lo cual es indicativo de sangrado. El diagnóstico diferencial se puede hacer con aneurismas de la arteria ileocólica, vasculitis o angiodisplasia.
Escintigrafía con TC-99m
Aunque su sensibilidad es del 60%, puede ayudarnos a identificar mucusa gástrica ectópica. El pertecnetato de Tc-99m es captado por las células productoras de mucus de la mucosa gástrica y del tejido gástrico heterotópico en el divertículo. En adultos es poco útil ya que es menos frecuente que los divertículos contengan mucosa gástrica. Puede aumentar su rendimiento con el uso de pentagastrina, cimetidina, y glucagón.
DIAGNÓSTICO DIFERENCIAL:
- Invaginación intestinal
- Apendicitis aguda.
- Ileitis terminal (Crohn, Tiflitis, Infección)
- Apendagitis
- Quiste de duplicación
Bibliografía.
Sonographic Findings of Meckel’s Diverticulitis in Children. AJR. 2003;180: 425-428.
Imaging Manifestations of Meckel’s Diverticulum AJR 2007; 189:81–88.
SERAM 2012. S1351 – Diverticulo de Meckel complicado, un diagnóstico a tener en cuenta en el dolor abdominal agudo. Hallazgos radiológicos en ecografía y TC multidetector.
Radiopaedia.org – meckel-diverticulitis
Deja un comentario