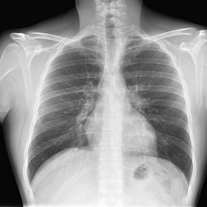
Para empezar, ¿qué ves?
- Comprobar que la placa está bien centrada e inspirada (6 arcos costales anteriores ó 9 posteriores).
- Abdomen y Diafragma
- Partes blandas y estructura ósea.
- Mediastino con silueta cardiaca.
- Parénquimas pulmonares (por separado)
- Comparar un pulmón con otro.
Seguir esta sistemática, dejando el pulmón para el final no nos olvidaremos de lo más importante.
Regla: Acaso Tiene Mucha Patología Pulmonar (Abdomen, Tejidos blandos y hueso, Mediastino, Pulmón por separado, Pulmón bilateral)
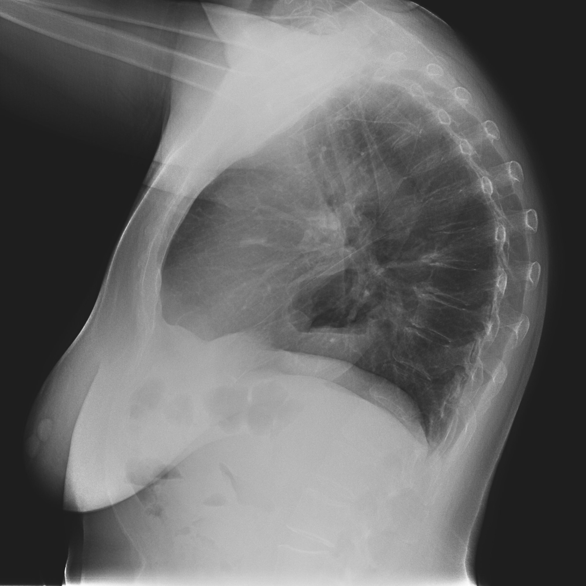
Nota: ¡¡¡No olvidar la placa lateral!!! La regla a seguir es la misma. Leer abdomen y diafragma, examinar parte posterior, tejidos blandos y subir por la columna; tráquea y descender por mediastino. Finalmente pulmones.
Solución: Es un estudio Normal. Silueta cardiomediastínica y parénquimas pulmonares sin alteraciones significativas.
Otro caso:
Mujer 64 años. Preoperatorio
No olvidar aplicar la sistemática.
….
….
Solución:
1.Imágen retrocardiaca compatible con hernia de hiato.(abajo círculo azul).
2. Desviación de la línea pleuro-acigo-esofágica (abajo en verde).
3. Cifosis dorsal con espondiloartrosis
4. Parénquimas pulmonares sin alteraciones significativas.





Deja un comentario