Varón, 70 años, con hipertensión arterial.
Se solicita tránsito intestinal baritado por proceso actual de vómitos, estreñimiento, historia de sangrado digestivo bajo y anemia sin hallazgos de malignidad tras la realización de colonoscopia y TAC.
Inestino delgado localizado en toda su integridad en hemiabdomen derecho. El ángulo de Treitz (unión entre duodeno y yeyuno) que es la estructura más fija del sistema digestivo, no se encuentra en su localización habitual, lo cual es un hallazgo diagnóstico muy importante.
Se revisarón estudio previos, en un enema baritado y TC se observó:
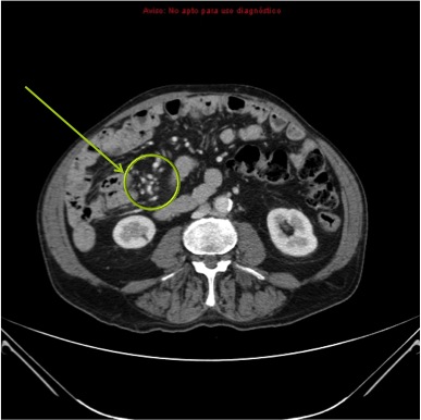
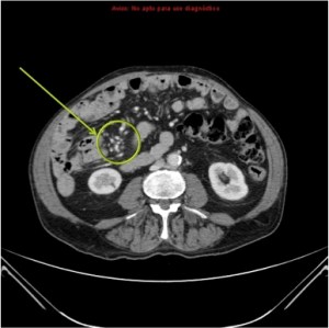
Enema baritado con ciego (con apéndice visible) en posición anómala, localizado en hipocondrio izquierdo. TAC de adomen con signo de remolino o Twister de vasos. Otro hallazgo sería encontrar la VMS a la izquierda de la AMS.
Diagnóstico: MALROTACIÓN INTESTINAL.
Es una malforación congénita, lo más frecuente es que afecte de forma conjunta a instestino delgado y colon. 90% se diagnostican en la infancia (<1 año de vida, 1/500 niños afectados). Clínica con vómitos biliosos y distensión abdominal, puede asociar diversos síndormes y malformaciones, puede complicarse principalmente con vólvulos, bridas (Bandas de Ladd) y hernias. En mayores y adultos los síntomas son menos claros. El tratamiento en los casos sintomáticos es la cirugía para evitar complicaciones, en asintomáticos se podría hacer seguimiento bajo manejo mulidisciplinario.




Deja un comentario