Paciente de 75 años, ex fumador hace 30 años. Acude por preoperatorio de cataratas.
He aquí su estudio radiológico:
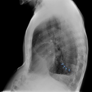
Hallazgos:
1- Crecimiento ventricular izquierdo con elongación aórtica.
2- Engrosamiento con pinzamiento pleural postero basal izquierdo con imagen nodular de base pleural.
3- Borramiento del borde cardiaco derecho por pectus excavatum.
La imágen nodular, mejor visualizada en la placa lateral, ¿podría ser un proceso neoformativo? Pues podría, pero no lo es, estamos ante un caso de Atelectasia Redonda, se define así:
A- Engrosamiento pleural.
B- Masa triangular, redonda u ovalada bien definida adyacente a pleura.
C- Signo de la cola de cometa: vasos convergiendo hacia la masa en modo curvilíneo, observar en placa y TC.
D- Otra característca es que la atelectasia redonda se suele observar bien en una sola proyección, a diferencia de la mayoría de nódulos (en nuestro caso, en AP no se obseva bien).
ATELECTASIA REDONDA:
La atelectasia redonda es una lesión pulmonar muy poco conocida que ocasiona problemas de distinción con la neoplasia pulmonar. Es una lesión benigna, cualquier causa de inflamación pleural puede originar una AR, aunque se debe fundamentalmente a la exposición al amianto. La localización más frecuente es en los lóbulos inferiores y en el lado izquierdo. El signo de la cola de cometa corresponde a la retracción del tracto broncovascular por la atelectasia, es un elemento clave para identificar la AR. Recuerda: los vasos van convergiendo hacia la masa en modo curvilíneo.




Deja un comentario