Mujer de 52 años con dolor de rodilla derecha, sin traumatismo, aunque refiere que en el útlimo mes ha comenzado clases de fitness en el gimnasio.
Se procedió a ralizar radiografía de rodilla AP, lateral y axial de rótula.
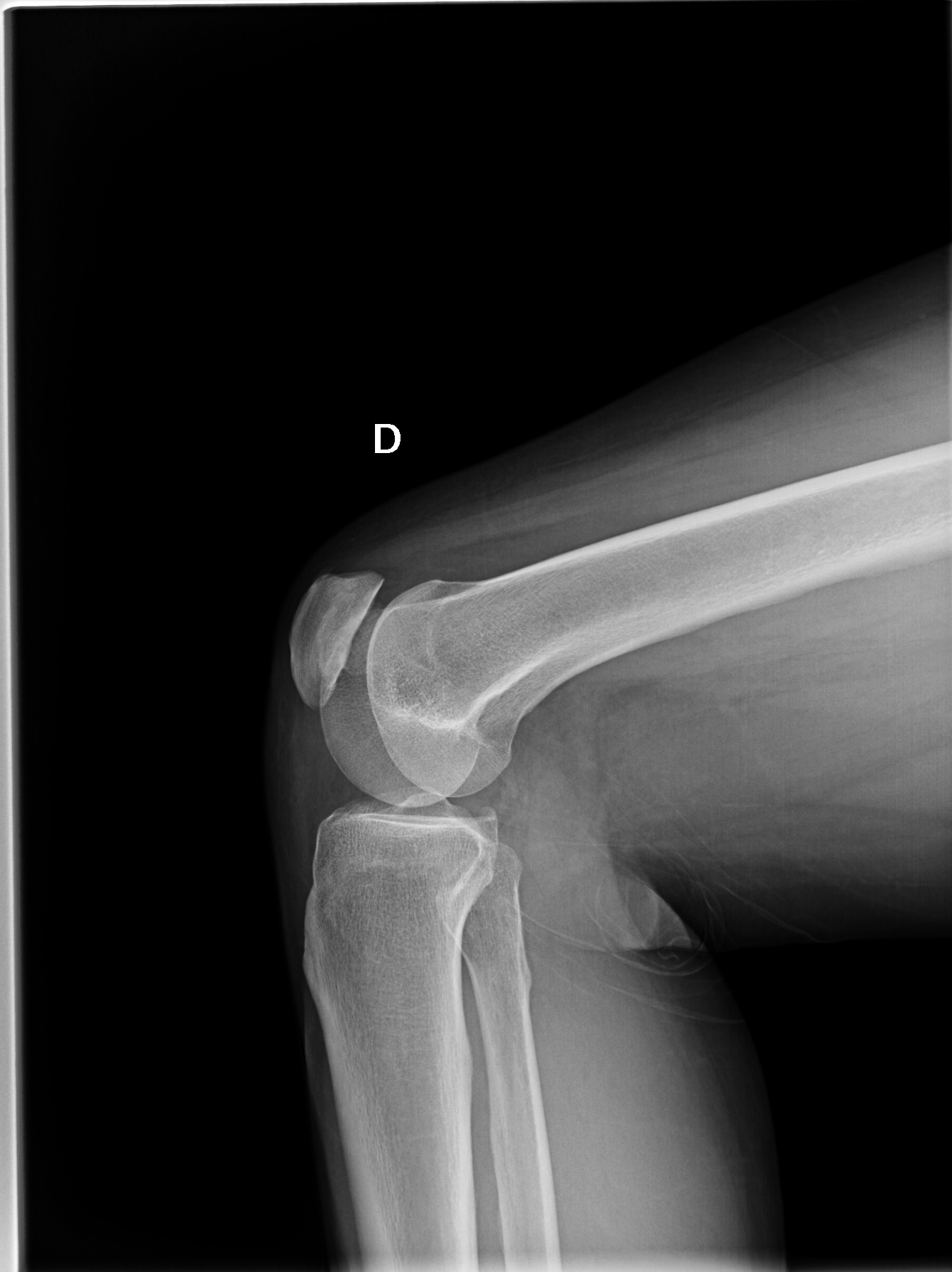
En la placa AP se aprecia una solución de continuidad en el tercio lateral de la patela derecha. La línea interarticular entre fémur y tibia está conservada.
En la radiografía axial se observa nuevamente un pequeño arrancamiento óseo/solución de continuidad bien definido, de «bordes redondeados»
Estos hallazgos sugieren el diagnóstico de una Rotula Bipartita, tipo II.
ROTULA BIPARTITA
Tiene una prevalencia inferior al 6%. La etiología es controvertida, puede ser debida a defectos en los núcleos de osificación de la rotula, epifisitis por tracción o secuela de un trauma. Suele ser evidente desde la niñez, mas frecuente en hombres y es bilateral hasta en el 57% de los pacientes. La mayoría suele ser asintomática, aunque pueden volverse dolorosas tras un traumatismo en la cara anterior de la rodilla o por el microtraumatismo que puede generar una actividad física/deportiva. Hay tres tipos:
TIPO I: Polo distal. 5%.
TIPO II: Tercio lateral, la más grande. 20%.
TIPO III: Polo supero externo, la más frecuente. 75%.

En caso de ser dolorosa, habitualmente el tratamiento médico con reposo, hielo, AINE, y supresión de actividades desencadenantes, suelen ser suficientes para mejorar el cuadro. El tratamiento conservador es de elección en la tipo I, aunque si el cuadro no mejora o recidiva con frecuencia o estamos ante un tipo II ó III, se puede plantear tratamiento quirúrgico individualizado según la edad, tipo de rotula bipartita, inestabilidad articular y actividad física del paciente.



Deja un comentario