Paciente mujer de 54 años. Dolor de aprición brusca de madrugada, progresivo y continuo en Hipocondrio Derecho con irradiación a esplada junto a náuseas y vómitos. No diarrea ni productos patológicos en heces. La paciente refiere haber cenado una comida copiosa. El dolor ha ido aumentado, no resuelve totalmente con la analgesía aún habiendose añadido meperidina. Sensación febril.
Tª 37,9ºC; TA 175/100; Sat O2 98%
Exploración: Abdomen blando y depresible. Dolor en hipocondrio derecho, Murphy negativo.
Analítica: BT 5,04 ; BD > 3,5; GGT y FA elevadas. Discreta leucocitosis.
ECG, Radriografía de tórax y abdomen: Sin hallazgos significativos.
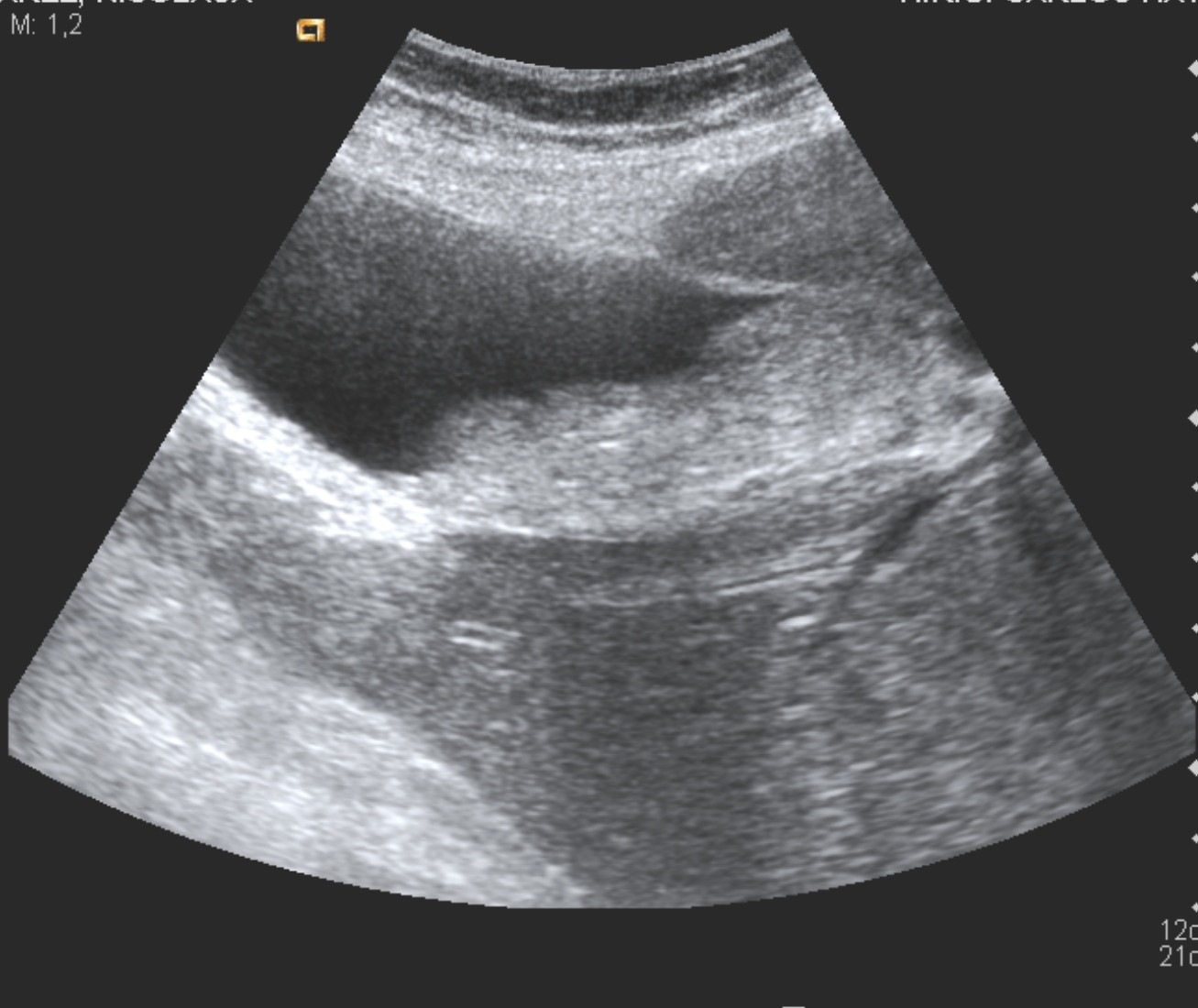
Ante el cuadro actual se decide realizar Ecografía, se observa lo siguiente:
Se obeserva en la primera imagen la vesícula biliar con contenido ecogénico en su interior sugerente de Barro biliar.
En la segunda imagen se aprecia el colédoco con un calibre aumentado de 13 mm con una imagen en su interior hiperecogénica con sombra posterior, de 13,9 x 17,2 mm aprox, bien definida y de bordes bien delimitados compatible con cáclculo biliar en su interior.
El resto de la exploración ecográfica no aportó alteraciones de sinificación.
COCLUSIÓN: Hallazgos compatibles con litiasis biliar por barro y Coledocolitiasis en un paciente con clínica de cólico biliar complicado.
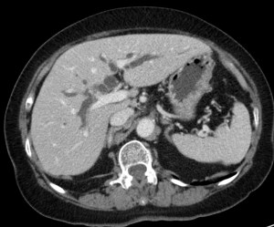
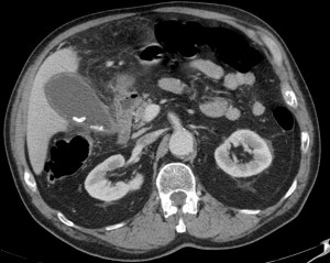
Veamos también un caso de coledocolitiasis diagnosticado por TC abdominal.




ENFERMEDAD LITIÁSICA BILIAR:
Los cálculos pueden ser de colesterol (51 – 90%), pigmentarios negros (radiopacos sin colesterol, por hemolisis crónica, cirrosis) o mixtos. La etiopatogenia de los cálculos de colesterol es debida a alteracion en la composición de la bilis (exceso de colesterol, alteración de la circulación enterohepática, nucleación de cristales de colesterol (por factores favorecedores como la mucina o la Ig-G), dismotilidad vesicular (embarazo, ACOs, nutrición parenteral) y otras entidades como la inactividad física, obesidad, DM tipo II, dislipemia, etc.
La COLELITIASIS asintomática diagnostica perfectamente con ecografía, el 1% progresa a cuadro sintomatológico y suele se leve. Si aparecen sintomas dispépticos, se recomienda ampliar el estudio ya que no se ha observado relación significativa con la litiasis biliar. La colecistectomía terapéutica profilactica no está indicada, los síntomas dispéptico son los que peor responden a la misma. La ecografía posee más de un 90% de S y E para el diagnóstico de litiasis. Muestra ecos fuertes con sombra posterior que se movilizan con los cambios posturales. El cólico biliar es su forma clínica de manifestación: Dolor HC derecho que se irradia a hombro o espalda, tras ingesta de comida grasa y que dura unas 3-4 horas. Se debe a la contracción de la vesícula y obstrucción transitoria del conducto cístico. Ante cuadro repetidos, el diagnóstico se realiza por ecografía programada. El tratamiento varía desde el medicamentoso con AINEs o meperidina para los colicos, pasando por ácido ursodesoxicólico o la cirugía según el caso para evitar complicaciones futuras. La ecografía de urgencias se solicitará cuando exista un cólico biliar complicado: Fiebre + Ictericia + Dolor que no responde a la analgesia.
Control del Dolor en el Cólico Biliar:
1)- Metamizol 4 g en 100ml se SF. Se puede repetir la dosis o añadir AINE como diclofenaco + Espasmolítico.
2)- Si no cede, Meperidina/peptidina (Dolantina®) 100 mg iv diluido en 100 ml de SF.
3)- Si vómitos, metocloramida 10 mg iv + hiratación
Un cólico biliar complicado requiere ingreso hospitalario.
La COLECISTITIS calculosa aguda surge por la obstrucción del conducto cístico. Se produce un aumento de presión intravesicular que puede ocasionar isquemia de pared. Las sales biliares producen irritación de pared. Se sobreinfecta por gérmenes como E. Coli, klebsiella sp y S.Fecalis. Todos estos factores intervienen juntos para el desarrollo del cuadro. Clinica: Fiebre, Dolor prolongado con repecuriones sistémicas y Murphy positivo. ECO: Cálculos Biliares, Engrosamiento de pared > 4mm, líquido pericolescístico, vesícula distendida (> 5 cm)o Murphy ecográfico positivo (VPP 92%). Analíticamente destacar la leucocitosis y PCR > 3mg/dl. El TAC y la RM no están indicadas en la evaluación inicial. El diagnóstico es ECOGRÁFICO.

La COLECISTITIS calculosa crónica es una inflamación crónica de la vesícula biliar y constituye la causa más frecuente de enfermedad litiásica biliar. Se desarrolla de forma insidiosa o como consecuencia de episodios repetidos de colecistitis aguda. De sintomas inespecíficos como el dolor sordo o la distensión abdominal, hay que diferenciarlo de la dispepsia funcional o el sd de intestino irritable. Puede existir Murphy positivo. Los hallazgos ecográficos tiene poco valor: vesícula pequeña con engrosamiento murales difusios o circunscritos con ecos en su interior.
La COLECISTITIS enfisematosa. Representa < 1%. Es rápidamente progresiva, más frecuente en varones, diabéticos. El gas puede ser dificil de detectar, puede estar dentro de la luz o en pared. La falta de una vesícula normal y el movimiento del gas pueden ser una pista.
En el caso de la COLEDOCOLITIASIS puede cursar asintomática o cursar como un cólico biliar con ictericia obstructiva, colangitis o pancreatitis aguda. La sensibilidad de la ecografía oscila entre el 50 y 80 % según las series. Esto suele ser debido a litiasis sin dilatación del conducto, ausencia de bilis periféricamente , litiasis que no produce sombra acústica (hasta un 20%) o artefacto por gas distal. ECO: Una dilatación de mas de 7 mm del colédoco distal sugiere litasis a dicho nivel, es mejor indicador que los test hepáticos, aunque hay que destacar que casi siempre encontraremos alteración analítica y que un perfil hepático normal, tiene un VPN del 97% para coledocolitiasis. Los niveles medios de bilirrubina suelen estar entre 1,5 y 1,9 mg/ dl y solo el 30% superan los 4 mg/dl. Es habitual encontrar elevadas las enzimas de colestasis GGT y FA. Se propone la ecografía como exploración incial de la patología biliar, sumándole además sus características de ser una prueba disponible, no invasiva y con alta definición de la vesícula biliar. Se recomienda la extracción del cálculo en el colédoco dados los riesgos de colangitis por impactación y pancratitis aguda.
La COLANGITIS surge como complicación de la obstrucción parcial o total del colédoco, la presión biliar aumenta y cursa además con sobreinfección de la bilis por bacterias como E. Coli. La repercusión sistémica se identifica con la Triada de Charcot (Fiebre, Dolor en HD e ictericia) o la Pentada de Reynolds (se suman hipotensión y confusión). La colangitis es un diagnóstico clínico, la triada de Charcot permite el diagnóstico definitivo. El tratamiento se basa en la antibioterapia y descompresión de la vía biliar.
Colangitis grado I: Sin disfunción orgánica + Buena respueta a ATB.
Colangitis grado II: Sin disfunción orgánica pero con mala respuesta a la antibioterapia. Cambiar ATB o drenaje de la via biliar.
Colangitis grado III: Disfunción orgánica + Mala respuesta a ATB. Drenaje urgente.
PANCREATITIS: impactación del cálculo en la ampolla de váter que origina alteración del drenaje de secreciones del páncreas y finalmente una pancreatitis. La etiología biliar es la primera causa. Con colangitis asociada se debe hacer CPRE urgente y si hay sospecha de coledocolitiasis persistente con obstruccion de la vía biliar (coledoco dilatado más analítica compatible), se realizara CPRE precoz en las primeras 72 horas.
ÍLEO BILIAR: Cálculo biliar en intestino por una fistula que surge como consecuancia de inflamción de ls vesícula biliar. Se puede observar en placa simple, aunque el diagnóstico estiológico se realiza por TAC. Es carcaterística la aerobilia.
SD DE MIRIZZI: Ictericia + Dolor + Fiebre. El císitico se encuentra obstruido y la inflamacion con el edema acompañante comprimen el colédoco adyacente. En la ecografia debe considerarse este proceso cuando se vea obstrucción biliar, dilatación de las vias biliares a nivel del colédoco y colecisitis agudao cróncia. Si se observa obstrucción del cístico con edema alrededor, es un signo confirmatorio.
http://www.elsevierinstituciones.com/ficheros/pdf/62/62v11n08a90128633pdf001.pdf
Coledocolitiasis. Rumack, Diagnóstico por ecografía Tomo1. pag 176 – 179.
Patología Biliar. Middleton – Ecografía. Pag 87 – 103.
Manual de Urgencias. H.U Doctor Peset.



Deja un comentario