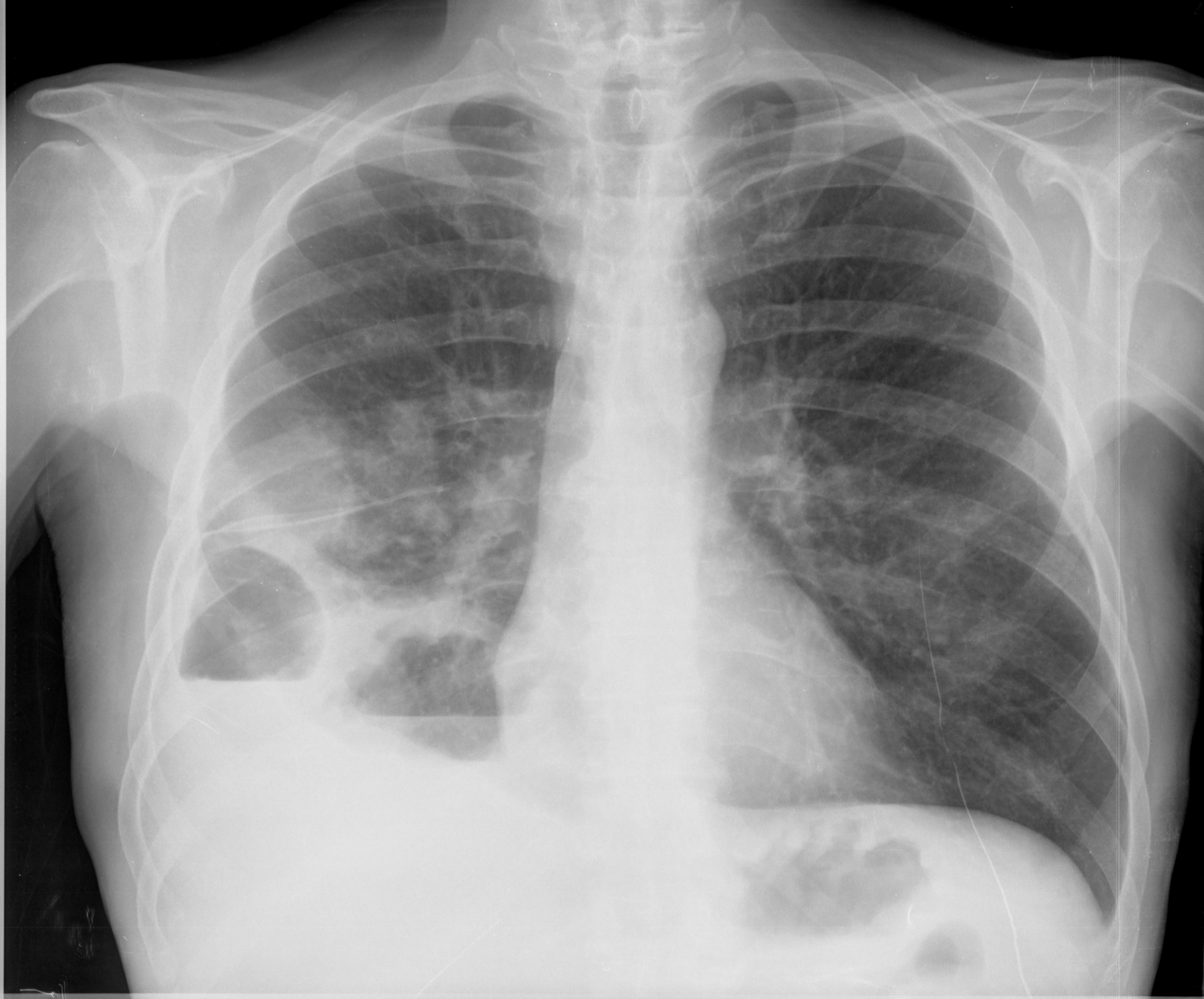
Paciente que ingresa en urgencias por cuadro de fiebre, tos y espectoración. Leucocitosis 16500.
Se realiza radiografía torácica, 2 proyeciones, PA y lateral:
¿Cual es el encapsulado pleural y cual es la cavidad parenquimatosa?
….
….
….
Veámos mejor.
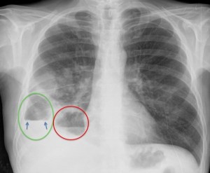
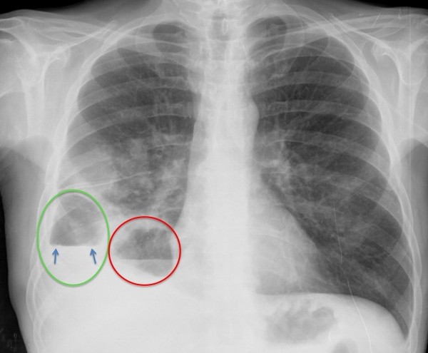
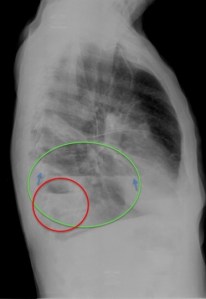
En la placa PA, se observa un encapsulado pleural (verde) y una cavidad parenquimatosa (roo), ambas con nivel hidroaéreo. En el pleural, obsérvese la discordancia del nivel (flechas), tanto en longitud como en densidad, entre las dos proyecciones y borramiento de la pared superior y más posterior en la placa lateral. En la cavidad parénquimatosa, se conserva la misma forma y densidad en las dos proyecciones, con delimitación del controno superior de su pared.
Esquema 1. Sección Transversal de tórax en la que se representa la configuarción lenticular del encapsulado pleural en localización posterior (1) y (2) y la morfología redondeada que adopta una lesión intrapulmonar (3). Un nivel hidroaéreo en (1) y (2) mostrará una discordancia en tre sus dimensiones en P.A y lateral. En (3) el nivel será igual en cualequiera de las dos proyecciones.
Esquema 2. Sección sagital de tórax en la que se representa un encapsulado pleural posterior y una lsesion parenquimatosa con nivel hidroaéreo. El afilamiento periférico del encapsulado determina la ausencia draiológica de su pared superior en al menos una de las proyecciones. En la lesión parenquimatosa, la pared es visible al estar rodeada por aire.
RESUMEN:
La discordancia del nivel aire líquido, tanto en longitud como en densidad, entre las dos proyecciones PA y lateral y la ausencia de pared superior del nivel hidoréreo, al menos en una de las dos proyecciones, son signos que nos permiten hablar de localización pleural. Las dos causas más frecuentes de encapsulado pleural con nivel hidroaéreo son la instumentación, es decir, la introducción de aire tras la aspiración de líquido pleural; en segundo lugar, la fístula broncopleural que puede ser debida a infección o traumatismo. Ambas causas producen una comunicación entre la vía respiratoria periférica y el espacio pleura debido a necrosis o penetración del parénquima.
Bibiografía:
– Encapsulado plerual costal con nivel hidroaéreo. Signos de ayuda en el diagnóstico diferencial . F. Serrano et al. Radiología 21; 443-448 (1979).
– Felson. Principios de radiología torácica.






Deja un comentario