Paciente de 49 años que acude a urgencias por Disnea muy acusada. Refiere que en las últimas semanas ha ido incrementado hasta el punto de imposiblitarle las actividades básicas de la vida diaria. Leve Tos no productiva
En la analítica se observó neutropenia.
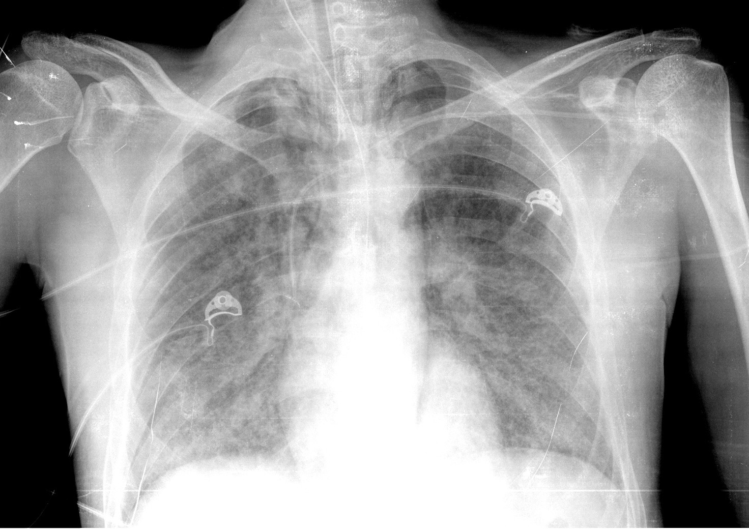
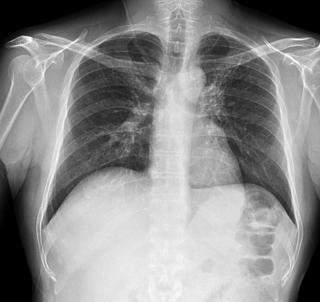
Se realiza placa de tórax, donde observamos:


Estos hallazgos descritos al pie de las radiografías son inespecíficos, pero al tratarse de un paciente inmunodeprimido, la primera posibilidad diagnóstica es una neumonía por Pneumocistis.
Describamos los hallazgos:





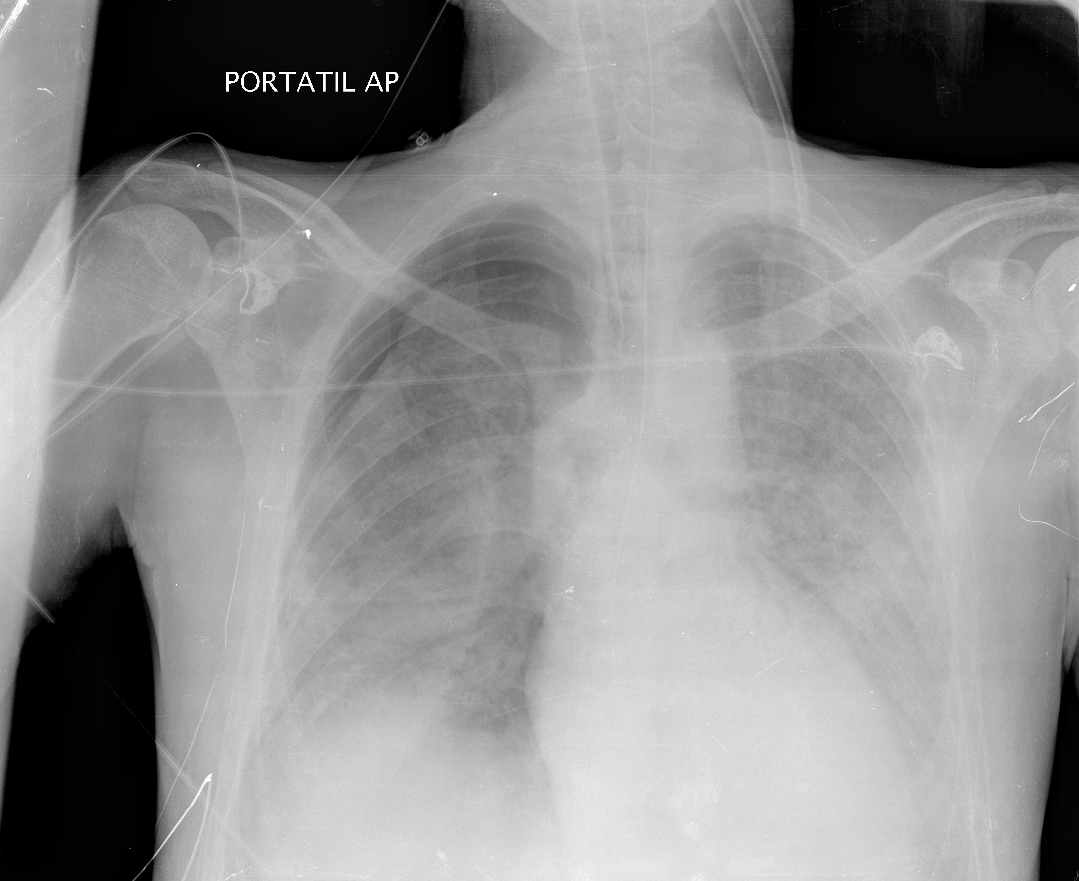
Por mala evolución, el paciente ingresa en la unidad de cuidados intensivos, donde se le aplica ventilación mecánica (PEEP). Se le realizó una placa portatil AP:


PNEUMONÍA POR PNEUMOCYSTIS (PCP).
La neumonía por Pneumocystis es una infección infrecuente en individuos inmunocompetentes, siendo más habitual de pacientes VIH + en el contexto de SIDA (< 200 CD4). Presentación Clínica: Inespecífica e insidiosa con Disnea + Tos seca. El lavado pulmonar es diagnóstico con un 90% de S.
Radiografía: Inespecífica, 90% patológicas. Hasta 15% normales. Opacidades focales o en vidrio deslustrado, Infiltrado reticular intesticial, Neumatoceles, distribución perihiliar frecuente.
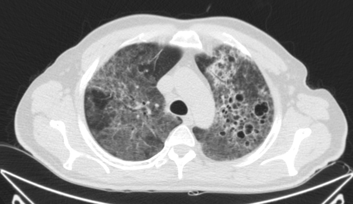
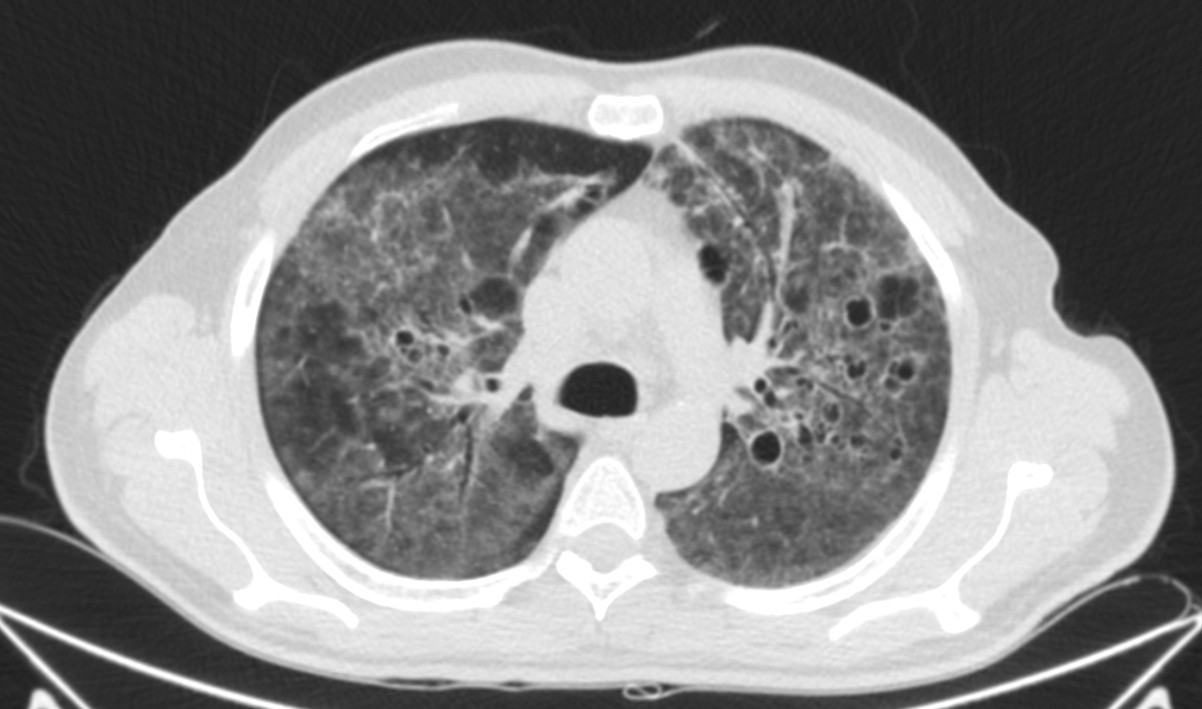
TAC: Vidrio deslustrado difuso y perihiliar frecuente, infiiltrado reticular, consolidaxión y patrón de árbol en brote, engrosamiento de septos, patrón en empedrado, derrame pleural, quistes.
Nota: otras técncias como la medicina nuclear con Gallium67 pueden también utilizarse.
Tratamiento: Trimetroprim Sulfametoxazol + Corticoides , siendo de gran eficacia, aunque en otros, las recaídas son frecuentes e incluso el fallecimiento del paciente. Como profilaxis se usan los mismos antibióticos.
El diagnóstico diferencial hay que basarlo en aquellas entidades que pueden afectar a un individuo VIH+ que ha entrado en fase de SIDA debido a su inmunodepresión (< 200 CD4): CMV, Asperigillus, Tuberculosis, Sindrome de Reconstrucción Inmune por terapia.






Bibliografía:
http://www.sciencedirect.com/science/article/pii/S0033838913001498
http://pubs.rsna.org/doi/pdf/10.1148/radiographics.13.4.8356267
Deja un comentario