Paciente de 68 años, normotenso, en tratamiento por Fibrilación auricular crónica y con antecedentes de ACV hace 2 años que acude a urgencias por debilidad de hemicuerpo izquierdo y dificultad del habla. De incio más o menos súbito, en la actualidad ha comenzado a recuperarse levemente de la alteración neurológica.
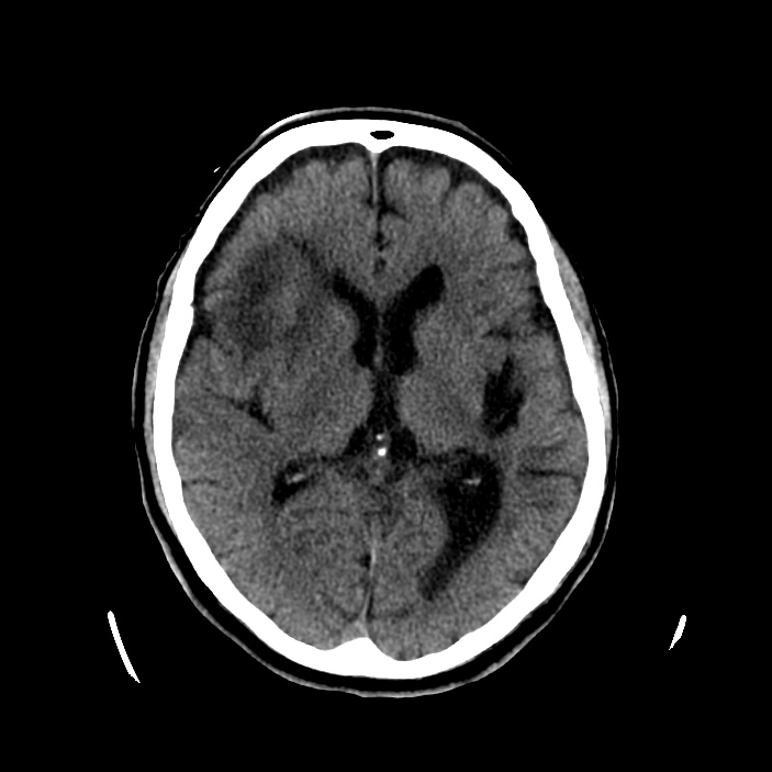
Se realiza un TC de cráneo sin contraste, estos son los hallazgos:



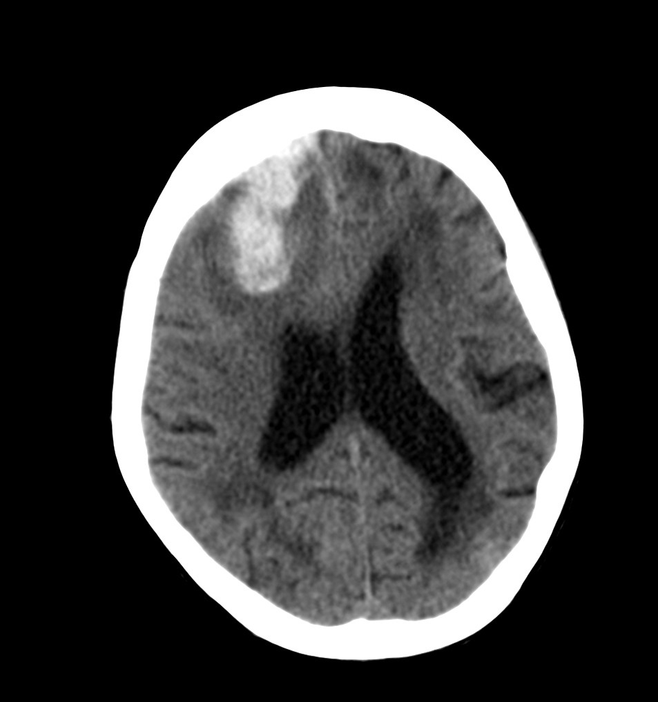
Esta imágen plantea dudas, puede ser una masa o un foco de sangrado, es más, si de esta segunda imagen asumimos que la zona de densidad aumentada corresponde a un sangrado, la pregunta a realizarse ahora es ¿de qué tipo? ¿Es un sangrado intraparenquimatoso, una transformación hemorrágica de un infarto o es otra cosa?
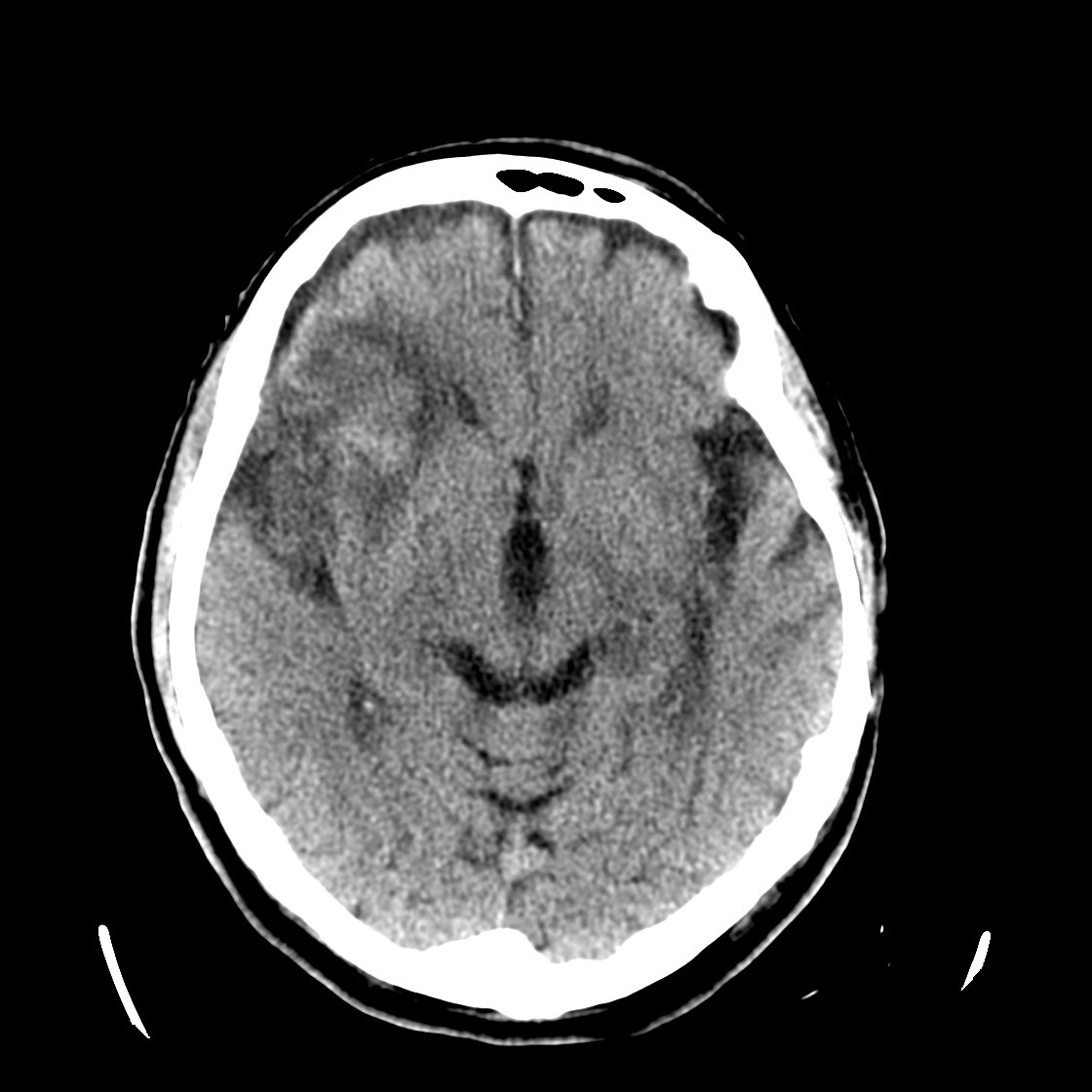
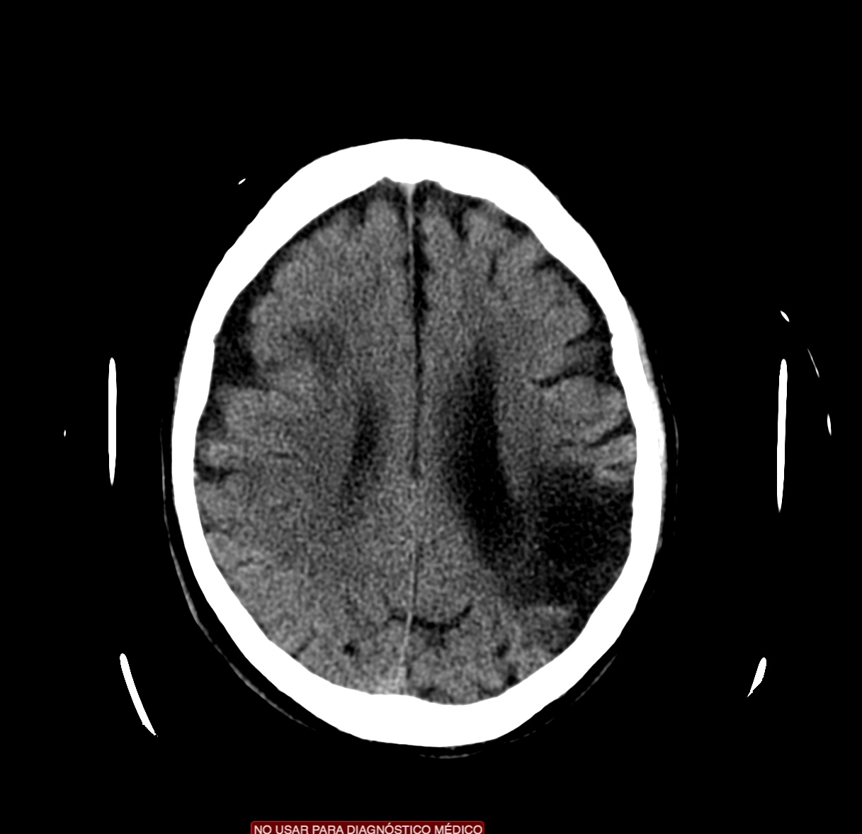
Se investiga un poco más y se descubre que el paciente había acudido diez días antes, también con cierta clínica de debilidad en hemicuerpo izquierdo, y se le realizó un TAC de cráneo. Observemos por tanto el estudio previo:


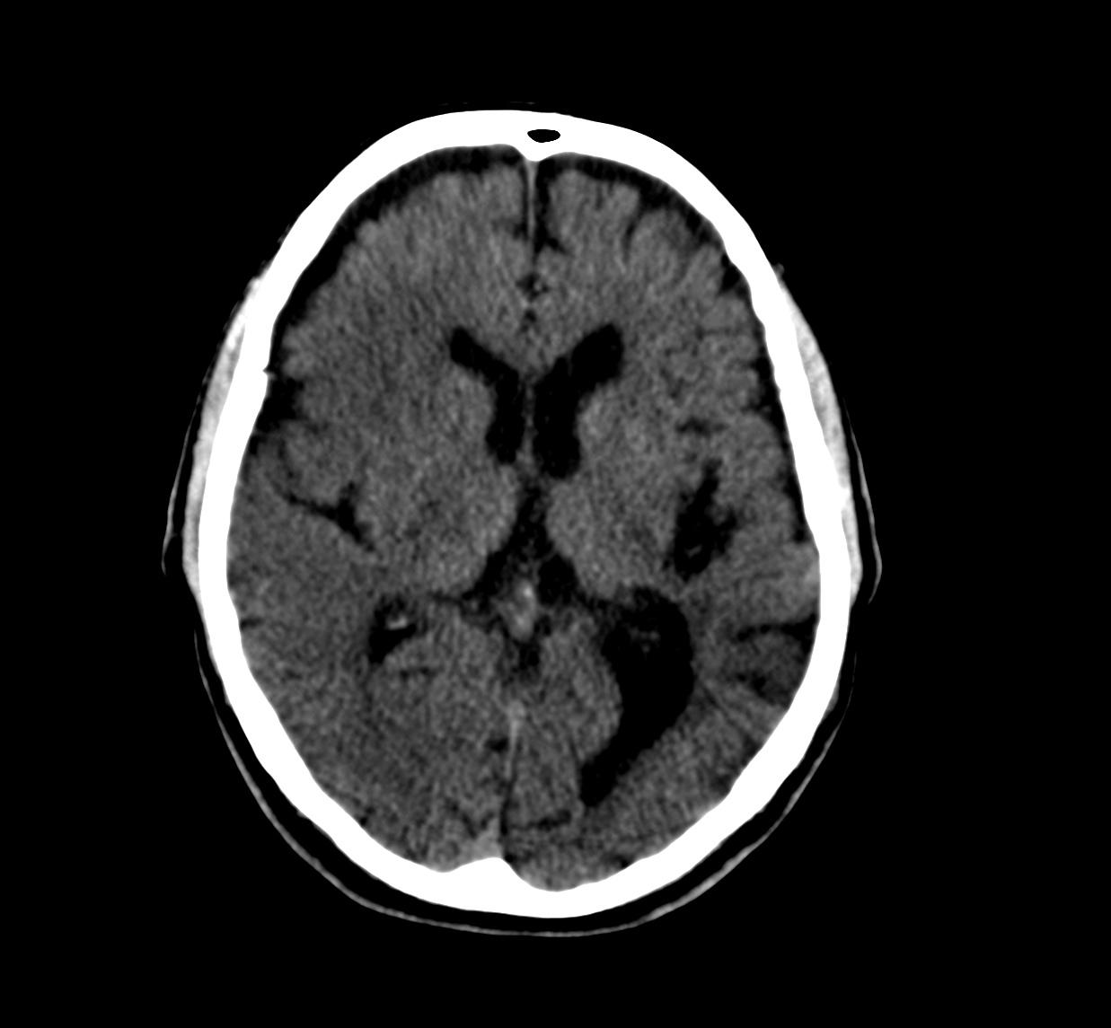
Pues bien, ante los hallazgos descritos, se clarifica que estamos ante un paciente el cual no tiene una masa y que ha sufrido una lesión isquémica hace diez días. Ahora, sobre dicha lesión, tenemos una imagen con un aumento de densidad que sugiere sangrado por una parte y otra hipodensidad en la perifería que correspondería a un edema. Por tanto, descartamos un sangrado intraparenquimatoso de novo. El paciente tiene más de 65 años, no es hipertenso, la imagen del sangrado no es de alta densidad, lo que se opone a una fase aguda o hiperaguda, y tenemos el TC de cráneo previo donde ya se advertía un proceso de tipo isquémico. Por tanto, nos quedan dos opciones, o estamos ante un resangrado de un ACV o estamos ante una Perfusión de lujo.
TRANSFORMACIÓN HEMORRÁGICA.
Consituyen un acontecimiento secundario con extravasación de sangre al tejido infartado. Una embolia obstruye un vaso y produce el consecuente infarto. Posteriormente, la embolia sufre una lisis y se reanuda el flujo sanguíneo y podruce una hemorragia en el territorio infartado. Esto suele producirse sobre todo a las 48 horas del infarto pero puede producirse a la semana o incluso más tiempo después (transformación hemorrágica tardía). La fisiopatología se explica por la creación de ramas colaterales sobre el territorio infartado y la posterior diapedesis o extravasación de los hematíes al territorio infartado a través de dichos vasos colaterales que se formaron. La extravasación de sangre puede ser pequeña, formando petequias que se ven como pequeños núcleos hipercaptantes, o masiva, que corresponde a un hematoma intracraneal. Los infartos hemorrágicos son de morfología serpeante entre las circunvoluciones corticales. Frase literal de Grossman: «Cuando observe esta serpiente, muerda la manzana, escupa el gusano y vea su configuración enrollada. Luego diagnostique de infarto hemorrágico y no de tumor hemorrágico». Los infartos hemorrágicos corticales tienen una evolución similar a las hemorragias intraparenquimatosas, por tanto, en nuestro caso podríamos decir que el infarto parece más evolucionado por la disminución de la intensidad de la sangre extravasada. (Recuerda: La sangre aguda es hiperintensa, la subaguda tardía es isodensa y la crónica es hipodensa).

PERFUSIÓN DE LUJO.
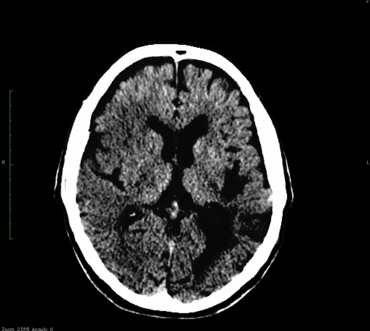
Se suele dar en el periodo subagudo, entre los 5 y 30 días post infarto. Se produce sobre el área de penumbra del infarto, es decir, aquella zona de tejido infartado donde las neuronas no se han necrotizado y que aún son viables. Surge como consecuencia de la proliferación de capilares y venas que se vasodilatan, aumentan su flujo y la permeabilidad, produciendo por ello un realce o aumento de atenuación en la zona infartada. Este fenómeno suele ser constante en la zona cortical y subcortical, afectando a los giros cerebrales y puede dar también un patrón giral. La perfusión de lujo se observa mejor con la administración de contraste. Véase un ejemplo en este enlace: http://articulos.sld.cu/neurologia/archives/233
Vistos los tiempos en los que puede acontecer cada proceso y la atenuación radiológica que se obtiene con la TAC, puede ser dificil distinguir un ACV con transformación hemorrágica, sobre todo si está más evolucionado, de una perfusión de lujo. Necesitaríamos establecer un cronograma radiológico, donde observásemos la evolución de la sangre. En nuestro caso, dadas la evolución y la correlación con la imagen, nos orientaríamos más hacia una perfusión de lujo.
Bibliografía:
http://www.neurologia.com/pdf/web/2808/g080810.pdf
Grossman & Yousem – Neurorradiología. Infarto Hemorrágico, pag. 218 – 219.
Grossman & Yousem – Neurorradiología. ICTUS, Hallazgos TC y RM, pag.183 – 196
Deja un comentario