Paciente varón de 50 años que acude a urgencias por dolor con AP de enfermedad de Crohn. Desde primera hora de la tarde presenta dolor abodminal en FII, con irritacion peritoneal a dicho nivel. Fiebre de 39 ºC.
Analitica: PCR 20 y leucocitosis 15170 ( N 78%).
FC: 90 latidos/min ; TA: 140 / 90.
Hagan sus apuestas…
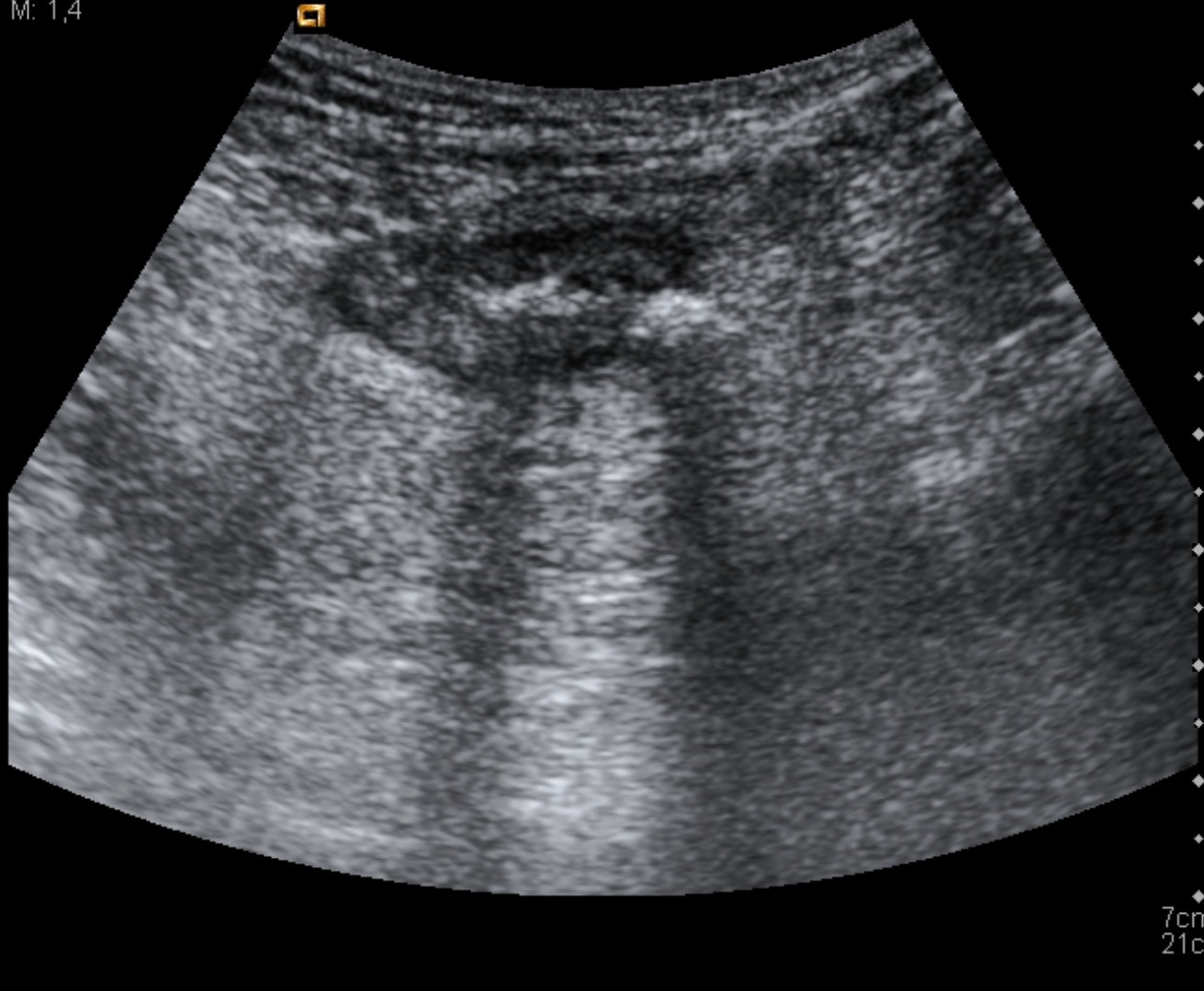
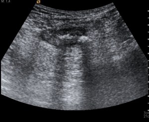
ECOGRAFÍA DE ABDOMEN: Engrosamiento mural a nivel de sigma, con presencia de divertículos y discreta hiperecogenicidad de la grasa adyacente. Se observan dos focos brillantes hiperecogéncios con sombra acústica sugerentes de fecalitos. Estos hallazgos son compatibles con diverticulos inflamados con fecalitos en su interior.
Se completa el estudio con TC de abdomen con contraste i.v.
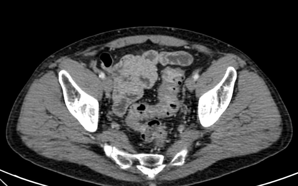
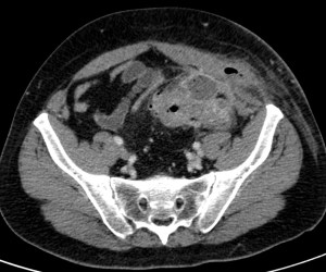
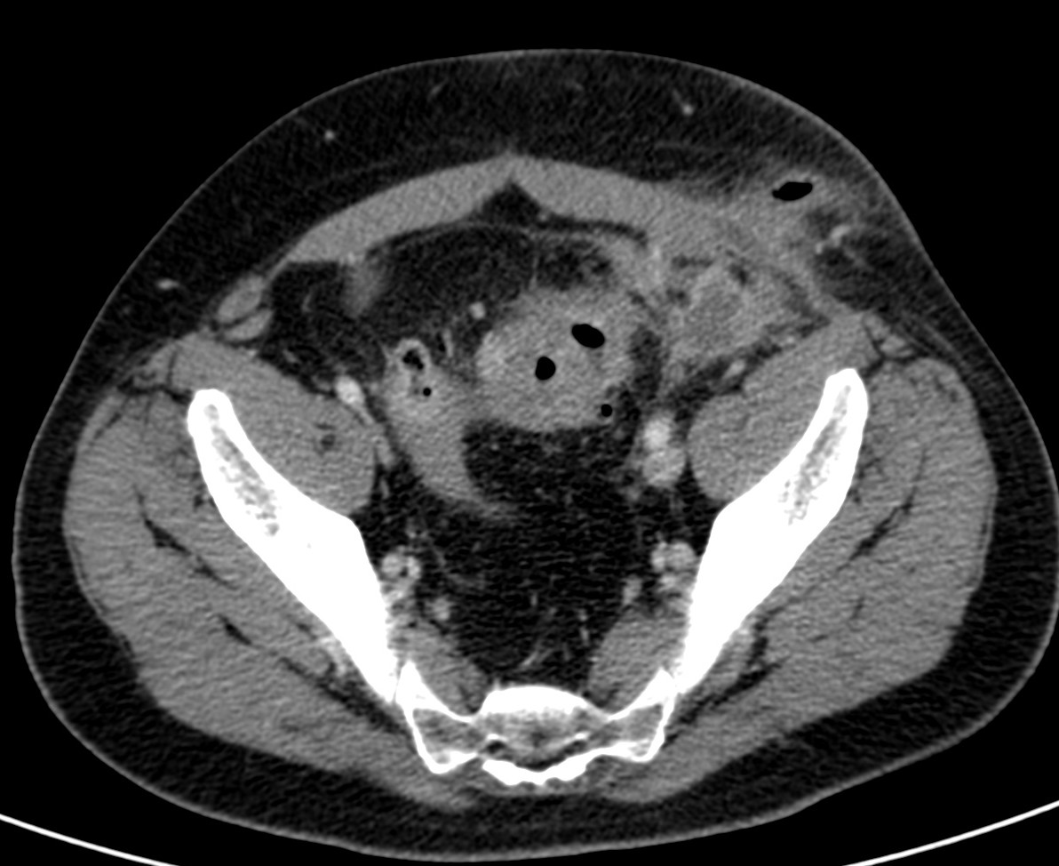
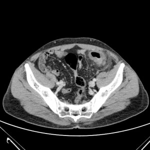
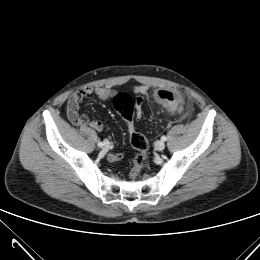
TC ABDOMEN: Se confirman los hallazgos vistos en ecografía. Se aprecia un engrosamiento mural > 4mm de un segmento aproximado de 5.5 cm de longitud con infiltración de la grasa adyacente y sin visualizar colecciones ni gas extraluminal, hallazgos compatibles con diverticulitis aguda no complicada.
CONCLUSIÓN: Diverticulitis aguda no complicada. HINCHEY grado 0
DIVERTICULITIS AGUDA.
Es la segunda causa de abdomen agudo detrás de la apendicitis. Los diverticulos de colon son deformidades adquiridas con mayor prevalencia en sociedades occidentales y a mayor edad del paciente. Suelen ser múltiples y su localización más frecuente es el colon sigmoide y descendente. La etiología se atribuye a material fecal (fecalito) que obstruye la luz del divertículo. La obstrucción facilita la colonización por gérmenes y la irrigación del divertículo, por lo que se incita a la inflamción y final microperforación del divertículo, pudiendo ocasionar absceso, peritonitis o fistulas en estadios más avanzados La clínica aguda suele debutar con Dolor en FII, Leucocitosis y Fiebre (Apendicitis Izquierda), auqnue esta triada puede estar ausente inclusive en casos de perforación y muchas otras entidades pueden dar un cuadro similar.
HALLAZGOS:
ECOGRAFÍA – Divertículos = Imágen redondeada hiperecogénica + Cambios inflamatorios (Grasa hiperecogénica ó Halo hipoecogénica peridiverticular) + Engrosamiento mural > 4 mm + Fecalitos (Imágen hiperecogénica con sombra posterior) + Signos de complicación (Absceso, perforación o fístula).
TAC – Debe incluir cortes finos 5 mm (para ver las formas leves de afectación) y contraste iv (150 ml, 2 – 3 ml/s). Normalmente no es la técnica de inicio, pero debemos valorar esta posibilidad ante pacientes obesos o con alta sospecha de diverticulitis (clínica muy evidente o antecedentes de diverticulitis). Los signos son similares a los descritos en la ECO. Los divertículos son eventraciones de la pared colónica, los cuales han de ser analizados en busca de signos de inflamación, ya que la presencia de divertículos no es sinónimo de diverticulitis. Por otra parte el 9% diverticulitis no son detectadas por las TAC. Una vez resuelto el cuadro agudo, es crucial hacer el diagnóstico diferencial con el Cáncer de Colon y hacer una colonoscopia o enema opaco, aunque hay que señalar que en la TAC, la presencia de adenopatías adyacentes a la zona inflamada es sugestiva de proceso neoplásico.
Una ECOGRAFÍA puede ser una buena aproximación diagnóstica. Sería conveniente empezar por el punto de máximo dolor. Identificar el colon descendete en flanco izquierdo y de ahí descender distalmente hacia recto y después en sentido contrario hacia transverso. Si la sospecha clínica es baja y la ecografía es negativa podemos concluir los estudios, mientras que si el paciente tiene una clínica muy acusada con ecografía negativa, sería conveniente complementar con TAC abdominal. Al mismo tiempo, se debería realizar un TAC complementario a una ecografía que demuestre cambios pericólicos sugerentes de diverticulitis con el fin de definir mejor la naturaleza y extensión del proceso así como identificar complicaciones como abscesos o perforación. La cirugía y tratamiento médico dependen del diagnóstico que los radiólogos hagamos.
La diverticulitis se clasifica por la escala de Hinchey. El tratamiento varia desde la actitud conservadora para las no complicada (Hinchey 0 ó 1a-1b), la punción guiada por TAC (abscesos más grandes), laparotomias urgente por peritonitis (Intervención de Hartman) o intervenciones porgramadas individualizadas según la historia clínica del paciente.
CLASIFICACIÓN DE LA DIVERTICULITIS AGUDA DE HINCHEY
Grado 0: Clinica leve de diverticulitis.
Grado 1a: Inflamación pericólica confinada, sin absceso.
Grado 1b: Inflamación pericólica confindad, con absceso local (< 2cm).
Grado 2: Absceso pélvico, retroperitoneal o distal.
Grado 3: Peritonitis difusa purulenta, sin comunicación con intestino.
Grado 4: Peritonitis difusa fecaloidea, con comunicación a intestino.
Veamos más casos de modo breve:
CASO 1:


CASO 2:


CASO 3:


Bibliografía:
http://pubs.rsna.org/doi/pdf/10.1148/radiol.2531090302
Rumack, Diagnóstico por ecografía Tomo 1 – Pág. 302 – 306.
Monografía SERAM 2006. Radiología de urgencias.




Deja un comentario