CASO 1:
Varón de 58 años que acude por dolor en fosa derecha. El dolor va a más y no lo calma con ibuprofeno, paracetamol ni butielescopolamina. Refiere que lleva una semana con estreñimiento y en el día de hoy ha comenzado con nauseas y vómitos.
Antecedentes peronales: Obesidad mórbida, DM tipo II en tratamiento con metformina, diverticulosis conocida.
Exploración abdominal: Dolor a la palpación de flanco derecho con defensa abdominal en FID. Ruidos intestinales conservados.
Radiografía de abdomen: Sin hallazgos signficativos.
Analítica: PCR de 22 mg/dl. Resto no significativos.
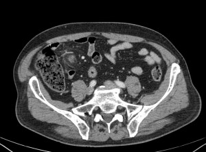
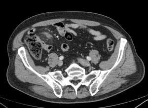
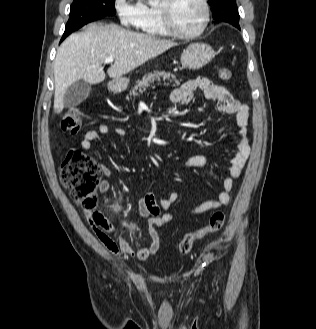
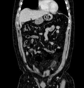
Ante la persistencia del dolor, el elevado IMC del paciente y la necesidad de descartar patología de FID, apendicitis, se decidió realizar TAC de abdomen:




Nos enfrentamos a un poceso que afecta el Epiplon, más concramente un apéndice (o colgajo) del mismo, compuesto por grasa y vasos que se inflaman por compromiso vascular venoso. Se denomina Apendagitis y lo podemos confudir, entre otras entidades, con una apendicitis.
CASO 2:
Paciente varón de 56 años que acude a urgencias por dolor en fosa iliaca izquierda. El dolor ha ido en aumento a pesar de la analgesia con paracetamol. Fiebre de 38,5 ºC. Sin náuseas ni vómitos. Hábito intestintal conservado.
Leucocitosis muy leve 13000 (75% N).
Exploración: Dolor a la palpación en FII + defensa abdominal.
Radiografía de abdomen: Sin alteraciones significativas.
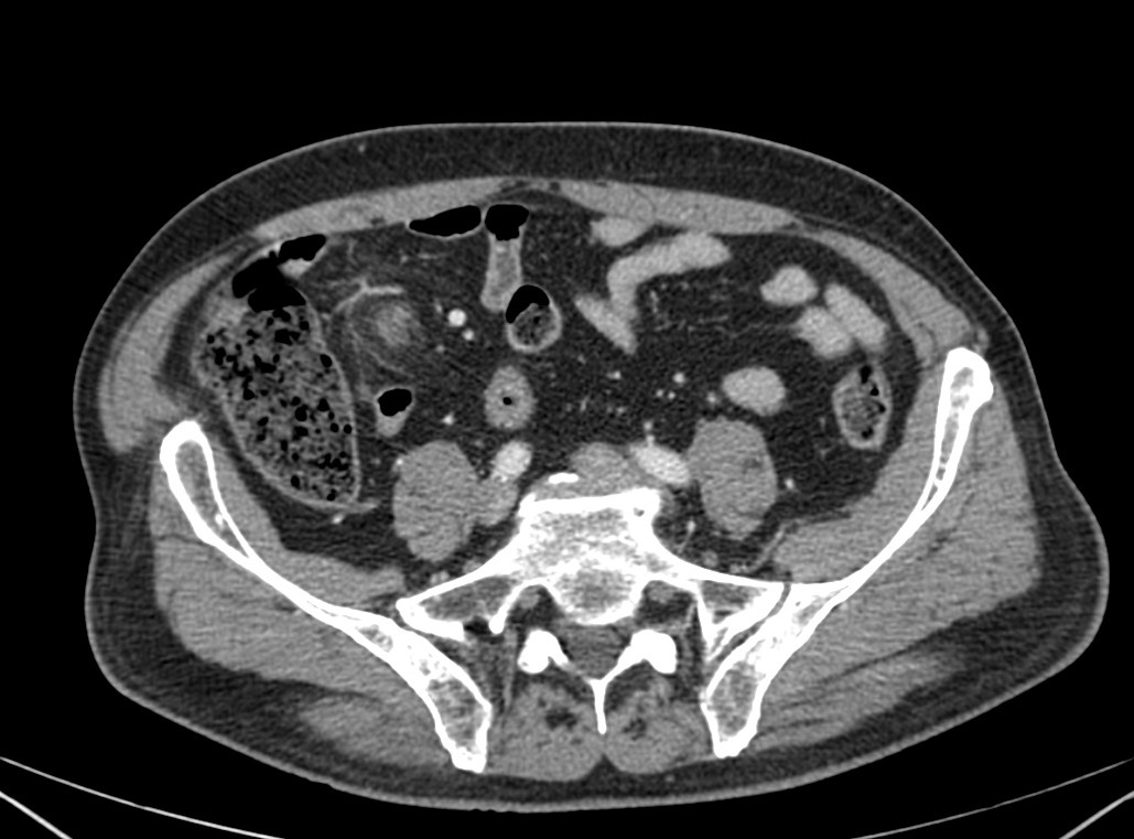
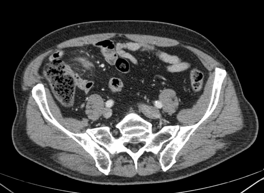
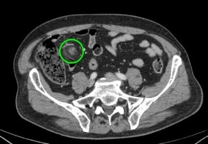
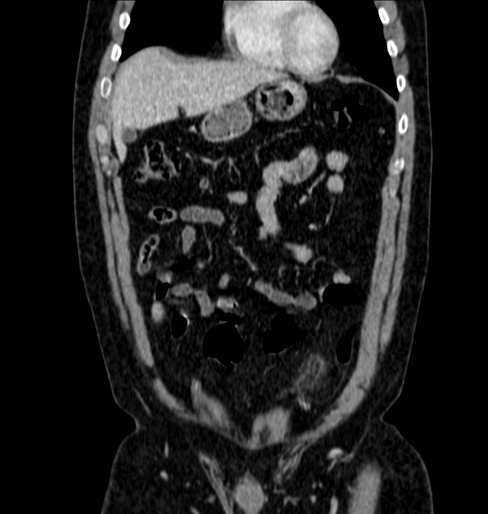
Se sospecha diverticulitis, se realiza TAC de abdomen:



Al igual que el caso anterior, nos encontramos nuevamente ante una apendagitis. Esta vez la sospecha era por diverticulitis, la anterior creíamos enfrentarnos a una apendicitis probablemente.
APENDAGITIS o INFARTO DE UN APÉNDICE EPIPLOICO.
El apéndice epiploico es una bolsa peritoneal que surge de la superficie del colon. Suelen existir entre 50 y 100 apéndices localizados principalmente en la unión de recto-sigma (57%) o en región ileocecal (27%). Están compuestos por tejido adiposo y vasos, normalmente suelen medir unos 0,5 cm. Pueden asociar divertículos y típicamente se suelen ver en TAC cuando el apéndice epiploico se inflama, produciendo un cuadro denominado Apendagitis.
Epidemiología: Entre la 4ª y 5ª década de la vida, predomina en hombres.
Fisiopatología: Surge como consecuancia de una torisón del apéndice epiploico el cual ve compromtida la irrigación arterial o venosa, tras la cual se produce inflamación/isquemia del apéndice. Normalmente, el compromiso venoso surge primero, hay dos arterias por cada vena. Suele asociarse a obesidad, hernias y ejercicios fuera de lo común.
Clínica: Suele ser un proceso autolimitado en la mayoría (2 semanas). Se caracteriza por dolor y puede ser indistinguible de una apendicitis o diverticulitis según la localización. Cuando existe irritación peritoneal, el dolor es más focalizado. Puede acompañarse de fiebre y leucocitosis. Sin embargo, si nos basamos solo en la clínica, el diagnóstico suele pasar desapercibido. Por ello, hay que tener sospecha clínica en pacientes con sintomas de apendicitis e historia de apendicectomía o clínica de diverticulitis en ausencia de hallazgos de diverticulos en estudio con bario, por ejemplo.
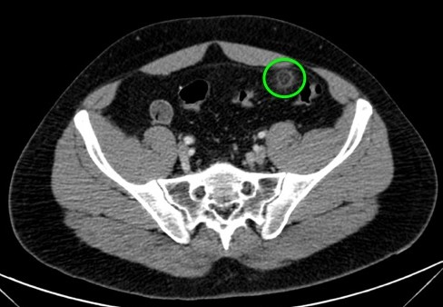
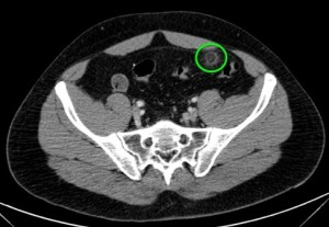
TAC: Imagen oval con aumento de la atenuación central, inferior a 5 cm de diámetro, contigüa al colon, con afectación de la grasa periférica. El aumento de la atenuación central es un signo de trombosis venosa muy útil para el diagnóstico, pero su ausencia no excluye en diagnóstico de apendagitis. Otros hallazgos, como aumento de la pared colónica o formación de abscesos son raros. Aunque los síntomas remiten en dos semanas, los cambios en la TAC pueden prolongarse más tiempo (pueden mantenerse, disminuir o quedar una atenuación residual), aunque en 6 mese suele haber remitido completamente. En Ecografía suele observarse en el área de máxima sensibilidad al dolor, una masa hiperecogénica, inferior a 5 cm, no compresible, adyacente al colon y sin señal Doppler.
Diagnóstico diferencial se realiza entre los procesos que afectan a la grasa: Apendagitis, paniculitis mesentérica, infarto omental, diverticulitis, mesenteritis esclerosa/retractil y tumores primarios o metástasis que afectan al mesocolon.
Tratamiento: Autolimitada. Antiinflamatorios.
IMPORTANTE: El correcto diagnóstico y tratamiento evita ingresos y cirugías innecesarias, por tanto debe existir una alta sospecha clínica al enfrentarnos a esta patología.
Bibliografía:
http://pubs.rsna.org/doi/pdf/10.1148/rg.256055030
http://radiopaedia.org/articles/epiploic_appendagitis
Deja un comentario