CASO 1.
Paciente mujer de 51 años, hipertensa y con antecedentes personales de dislipemia, que acude a urgencias por por cefalea, vómitos y hemiparesia contralateral.
TA 200/130 ; FC 98 lat/min ; Sat o2 96%.

CASO 2.
Paciente joven con antecedentes de cuadros de cefalea hemicraneales que ha sufrido una convulsión.

CASO 3.
Paciente de 72 años que desde esta mañana presenta sensación de inestabilidad y mareos. Recibe tratamiento anti-vertiginoso en su centro de salud, pero ante no mejoría y comienzo con alteraciones del habla e incontinencia de esfínteres, acude a urgencias donde se le realiza un TC de cráneo sin CIV.


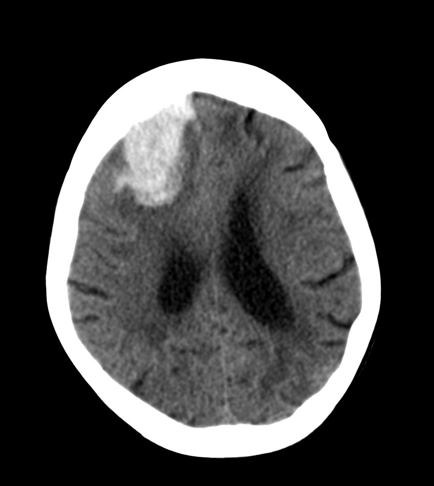
CASO 4.
Paciente de 80 años diagnósticada de melanoma que acude a por cefalea que no cede a analgesia y estupor.

HEMORRAGIAS CEREBRALES INTRAPARENQUIMATOSAS:
Las hemorragias intraparenquimatosas respresentan solo un 10% de los accidentes cerebrovasculares y producen menos daño titular que la isquemia. La edad media de afectación es de 55 años, mientras que los accidentes isquémicos es más tardía, 65 años. La hemorragia intraparenquimatosa puede ser debida a la Hipertensión o de causa Espontánea (angiopatia amiloide en ancianos, malformación vascular en jóvenes)
La clínica suele ser de inicio brusco y curso progresivo de varios minutos. Cefalea + Déficit Motor + Náuseas y Vómitos (principales síntomas).
El pronóstico varía con la localización, tamaño y atrofia cerebral, siendo la mortalidad máxima en los dos primeros días (de hasta el 50%).
Hemorragia cerebral hipertensiva:
La hipertensión arterial constituye el principal factor de riesgo de las hemorragias intracerebrales no traumáticas en el 70 – 90% de los casos. Afecta en el 75% de las veces a los ganglios de la base y el tálamo (80% afecta al núcleo lenticular, principalmente el putamen). Entre el 10 – 50% pueden ser lobares, 10-15% protuberancia, 10 – 30% cerebelo (éstas dos últimas localizaciones son las de mayor mortalidad). Los pacientes que sobreviven presentan mejor recuperación funcional que en la isquemia, aunque un porcentaje significativo padecer secuelas y dependencia para las actividades diarias.
En caso de afectación del Putamen (lo más frecuente), puede existir hemiparesia e hemihipostesia contralaterales, deterioro de nivel de consciencia y desviación oculocefálica hacia el lado de la hemorrágica con preservación de reflejos del tronco. (ver tabla)
Manual CTO- Neurología.
En realidad, no es la hipertensión el causante, sino más bien el cambio brusco de presión lo que precitipa el sangrado. Esta es la razón por la cual la cocaína y otras drogas pueden producir hemorragias intracerebrales. Una presión arterial mal controlada produce cambios patológicos en los vasos, haciéndolos más susceptibles de romperse y provocar un sangrado por cambio de presión. Estos cambios son la formación de microaneurismas y la arteriosclerosis acelerada, hialina e hiperplásica.
Hemorragia lobar:
Las hemorragias lobulares afectan a la región cortical de cualquier lóbulo cerebral y la causa subyacente puede ser la hipertensión, un traumatismo o espontánea, donde subyace la angiopatía amiloide (ancianos) y la malformación vascular (jóvenes: MAV) principalmente. Tiene mejor pronóstico que en la afectación de los ganglios de la base y tálamo. La aplicación de contraste puede ser útil para diferenciarlas de un tumor, aunque entre sus inconvenientes cabe destacar el realce anular de los hematomas y que puede ser difícil identificar una zona tumoral de realce reducido en el seno de una hemorragia.
DIAGNÓSTICO:
TAC es la prueba de elección. El extravasado de sangre se observa como un aumento de la atenuación. Existe una correlación lineal entre el hematocrito y el aumento de atenuación por sangrado (56 unidades Hounsfield aprox.)
TRATAMIENTO:
Control de la tensión arterial y agentes osmóticos como el manitol. La indicación quirúrgica es un tema controvertido y ha de ser individualizada. La cirugía no está indicada en sangrados profundos (ganglios de la base y tronco) , excepto en caso de hemorragia cerebelosa > 4 cm, sintomática y que produzca herniación transterntorial.
————–
Causas hemorrágicas de accidentes cerebrovasculares (pulsa para agrandar). Importante destacar otras causas no comentadas como las coagulopatías, la toma de anticoagulantes y los tumores (glioblastoma en adultos, meduloblastoma en niños y metástasis de coriocarcinoma, melanoma, pulmón, riñón, tiroides. Co-me pu-ri-to)
Grossman – Neurorradiología.
Manual CTO- Neurología.
Bibliografía:
Grossman & Yousem – Trastornos hemorrágicos, pag 215 – 217.
Manual CTO. Neurología, pag 37 – 40.



Deja un comentario