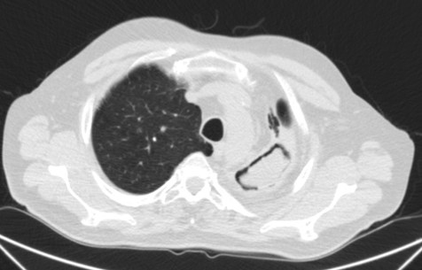
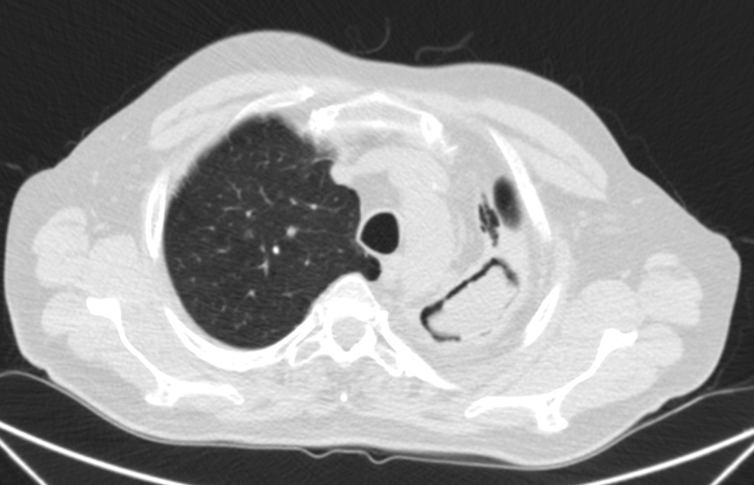
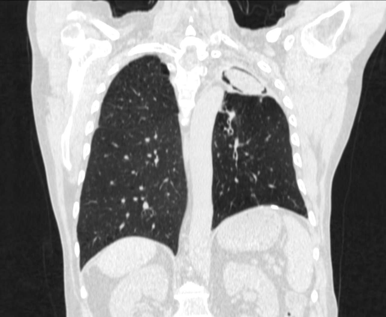
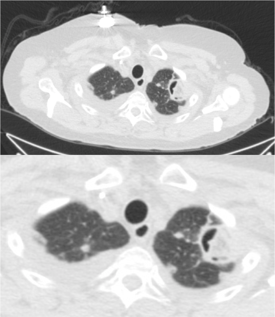
Paciente de 69 años al que se le realiza un estudio programado de TAC por presentar hemoptisis ocasionales. No refiere alteración del estado general, no sd constitucional, IMC 26. En la placa de tórax se observó una masa en LSI.
AP: Fumador, TBC hace años.
Veamos los hallazgos de TC.




Por tanto, estamos ante un colapso crónico del LSI con lesión cavitada ocupada en su interior por una imagen redondeada compatible con Aspergiloma que podría ser el responsable de las hemoptisis ocasionales que presenta el paciente.
La ASPERGILOSIS una enfermedad causada por un hongo ubicuo, más frecuentemente el Aspergillus Fumigatus. La aspergilosis pulmonar estará determinada por el número, virulencia y estado inmune del paciente (generalmente inmunodeprimidos). Aunque los hallazgos por imágen son inespecíficos, un correcto estudio de las mismos y una correlación clínica adecuada nos pueden ayudar a realizar un correcto diagnóstico.
Hay cinco tipos de apergilosis pulmonar: A) Aspergiloma o aspergilosis saprofítica, B) Aspergilosis alérgica broncopulmonar, C) Aspergilosis semi-invasiva o necrotizante, D) Aspergilosis invasiva de la vía aérea, E) Aspergilosis angioinvasiva.
A). A. SAPROFÍTICA o ASPERGILOMA:
Presentada arriba. Subtipo caracterizado por la no ivasión de tejidos. Se caracteriza por conglomerados de hifas entrelazadas + mucus + detritus celulares, que se acumulan en una cavidad o bronquio. Se dan en áreas del pulmón con enfermedad o cicatrización previas, siendo la mayor parte de las etiologías subyacente la tuberculosis, la sarcoidosis o absceso. Suelen ser asintomáticos o dar hemoptisis.
Hallazgos radiológicos: Radiografía, masa sólida con densidad de partes blandas dentro de una cavidad. La masa está separada de la pared por aire «Air crescent sign». El aspergiloma se mueve cuando el paciente cambia de posición. (Diagnóstico diferencial: Aspergillus angioinvasiva, Equinococcus, Carinii, TBC, carcinoma, absceso, aneurismas de Rasmussen en TBC.)
B). A. ALÉRGICA PULMONAR (ABPA):
Acontece en pacientes con asma, donde se produce una reacción de hipersensibilidad al aspergillus. La anatomía patológica se caracteriza por tapones mucosos con aspergillus y eosinófilos que se se acumulan en el interior de los bronquios produciendo dilataciones características de los bronquios segmentarios y subsegmentarios. Clinica: Dolor torácico, disnea, malestar general, fiebre, tos productiva, neumonías recurrentes.
Hallazgos radiológicos: Opacidades en dedo de guante en placa simple, Impactos mucoides en bronquios segmentarios y subsegmentarios sobre todo en lóbulos superiores en TAC, Atelectasias aisladas segmentarias, Bronquiectasias, Calcificaciones (30%). Hacer diagnóstico diferencial con otras etiologías como la atresia bronquial, lesiones bronquiales o bronquiectasias.


C). A. SEMI-INVASIVA O CRÓNICA NECROTIZANTE:
En la anatomía patología se caracteriaza por tejido necrótico e inflamatorio granulomatoso similar al que se observa en las TBC reactivadas. Sulen ser pacientes afectos de enfermedades o procesos debilitantes, edad avanzada, diabetes, malnutrición, EPOC o bajo corticoterapia prolongada. Clínica: Inespecífica, malestar, tos productiva, fiebre e incluso hemoptisis (15%).
Hallazgos radiológicos: Consolidaciones uní o bilaterales que pueden estar cavitadas, Engrosamiento pleural y Áreas nodulares. Puede manifestarse también como masa endobronquial y producir colpaso o neumonitis obstructiva. También como masa hilar. La afectación de vía central es poco frecuente.

D). A. ANGIOINVASIVA:
Invasión de arterias de pequeño y mediano calibre por el aspergillus que formaran nódulos de necrosis o infartos hemorrágicos. Se da en pacientes inmunocoprometidos (SIDA), tasplantados, bajo tratamiento con quimioterapia, de difícil tratamiento como la leucemia resistente, linfoma, mieloma o bajo tratamiento con corticoides (enf, autoimunes) que padecen una neutropenia funcional.
Clinica: Fiebre + tos + disnea (ALTA mortalidad). Galactomanano +.
Hallazgos radiológicos: TAC, nódulos que pueden estar rodeados de halo de vidrio deslustrado (signo del halo). Estos hallazgos corresponden a infartos hemorrágicos (Diagnóstico diferencial: mucor, cándida, CMV, Hepres simple, Wegener, sarcoma de Kaposi, metástasis hemorrágicas. También puede haber «Signo de aire creciente» por necrosis de fragmentos hemorrágicos que se desprenden del parénquima sobre todo en el periodo de convalescencia.


E). A. INVASIVA DE LA VÍA AÉREA:
Aspergillus afectando la membrana basal de la vía aérea.
Clínica: Pacientes neutropénicos con traqueobronquitis, bronquiolitis, bronconeumonía.
Hallazgos radiológicos: La placa simple puede ser normal o presentar engrosamiento bronquial y traqueal. En el TAC: En la bronquiolitis, vemos microndódulos centrolobulillares con ramificaciones lineales dando patrón en árbol en brote de distribución parcheada (Diagnóstico diferencial con TBC, MAI, mycoplasma). En la bronconeumonía, consolidaciones peribronquiales (hallazgo inespecífico).

Bibliografía:
http://pubs.rsna.org/doi/pdf/10.1148/radiographics.21.4.g01jl03825
http://pubs.rsna.org/doi/pdf/10.1148/radiol.2301020649
http://www.nlm.nih.gov/medlineplus/spanish/ency/article/001326.htm

Deja un comentario