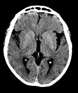
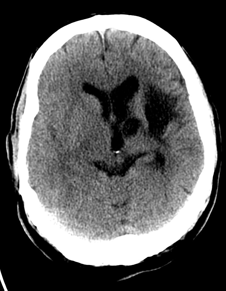
CASO 1:
Paciente con disminución de la conciencia y alteraciones de habla. El cuadro parece progresivo. Dislipemia y Diabetes Mellitus tipo II como antecedentes personales.


ASPECTS: Afectación Ribete Insular + Lenticular + Territorio M2 = 10 – 3 = 7 puntos.

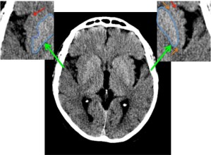
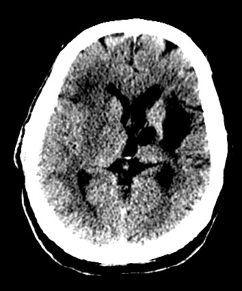
CASO 2:
Paciente con alteraciones del habla y disminución de la fuerza del brazo izquierdo. Ictus previo hace 4 años.


ASPECTS: Territorio M1 + Lenticular derecho = 10 – 2 = 8 puntos.

ACCIDENTE ISQUÉMICO-VASCULAR:
El accidente isquémico vascular es una de las principales causas de morbi-mortalidad en la actualidad. Se define como una lesión de inicio abrupto en el sistema nervioso central, el 80% por isquemia. Recuerda que el cerebro es un tejido extremadamente sensible a la isquemia, ya que carece de reservas energéticas. El adecuado uso de TC, RM, Angio-TC y TC de pefusión nos ayuda al diagnóstico de signos precoces de ACV, a la detección de trombos y a la valoración del tejido de penumbra. El objetivo es el diagnóstico y el establecimiento de terapia trombolítica precoces.
¿Qué valorar en un ACV agudo? Las cuatro «P»: Parenquima, Pipes (tubos), Perfusión, Penumbra. Para ello lo ideal sería combinar los hallazgos de TC sin civ, el angioTC y la TC de perfusión.
TAC EN EL ICTUS AGUDO.
El TC sin contraste es una herramienta diagnóstica de gran valor por su disponibilidad, rapidez y por la no administración de contraste iv. Nos permite identificar la presencia de hemorragia así como la presenciad de signos precoces de infarto, que son los siguientes:
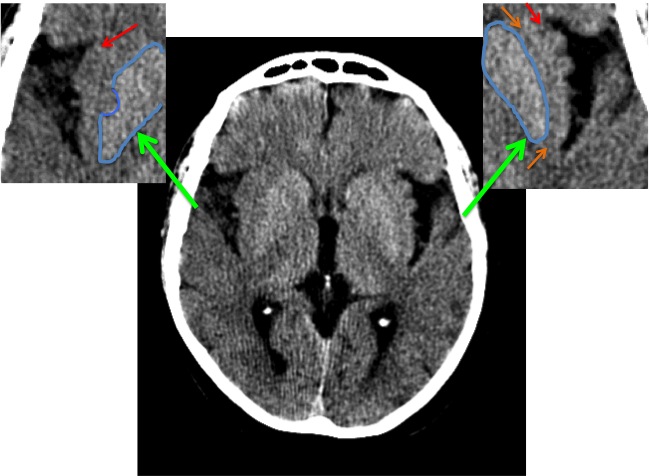
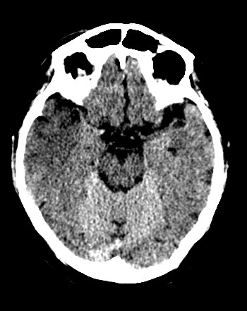
1- Hiperdensidad de la ACM: Debido a la presencia de un trombo en la ACM, se produce un aumento de densidad. Es un signo muy específico pero poco sensible, puede existir también, por ejemplo, en un aumento de hematocrito o calcificación de la ACM; aunque en estos caso la afectación sería bilateral. (véase NOTA)
2- Signo del Ribete Insular: El edema citotóxico causa hipoatenuación local, produciendo este signo a nivel insular por mala diferenciación entre la cápsula externa y la corteza insular.
3- Pérdida de la diferenciación del núcleo Lenticular: Puede darse tras 2 horas del inicio. El núcleo Lenticular aparece más oscuro debido al edema citotóxico que se produce tras la lesión por isquemia neuronal.
4- Borramiento de surcos de la convexidad: Por pérdida de la diferenciación sustancia gis – sustancia blanca en la convexidad. Mismo concepto, los surcos corticales dejan de observarse y no se puede distinguir la sustancia gris de la blanca debido el edema citotóxico lesional.
Para observar un proceso isquémico deberíamos ajustar la ventana: 40/40; 40/20; 30/10; serían buenos ejemplos que permiten aumentar la sensibilidad hasta el 70%. De este modo, adecuamos el contraste para diferenciar mejor el tejido normal del edematoso.
NOTA: ACM derecha hiperdensa.

CUANTIFICACIÓN DE LA ISQUEMIA.
Usamos la escala ASPECTS: The Alberta Stroke Programe Early CT Score.
El Alberta Stroke Programme Early CT Score (ASPECTS) es un sistema estandarizado de interpretación de la TAC cerebral para los ictus isquémicos de la circulación anterior. Interpretación:
- El análisis se realiza sobre dos cortes axiales de la TAC
- El primero a nivel del tálamo y ganglios de la base (plano A).
- El segundo adyacente al borde superior de los ganglios de la base, sin que se visualicen los mismos.(plano B).
- En los dos planos, el territorio de la arteria cerebral media se divide en 10 regiones, valorando cada una en 1 punto.
- M1 : región cortical anterior de la ACM
- M2 : región cortical lateral al ribete insular.
- M3 : región cortical posterior de la ACM
- M4, M5, M6 : región cortical anterior, lateral y posterior de la ACM, aproximadamente 2 cm por encima de M1, M2, M3, respectivamente.( Plano B)
- M7 : Nucleo lenticular
- M8 : Núcleo caudado
- M9 : cápsula interna
- M10: ribete insular
- Se sustrae un punto por cada región donde se aprecia un cambios isquémico précoz (Hipoatenuación o efecto de masa local)
- Una puntuación del ASPECTS inferior o igual a 7 se asocia a una morbimortalidad elevada y mala recuperación funcional.
- Una puntuación ASPECTS de 10 significa que el TAC es normal.
- Una puntuación de 0 implica una afectación difusa de todo el territoio de la ACM
- El riesgo de hemorragia intracerebral siguiendo la terapia trombolíca es mayor si la puntuación es igual o menor de 7.
Demos un repaso breve a otras dos técnicas de imagen que se usan en la valoración de un ICTUS.
TC DE PERFUSIÓN: Se usa para valorar el área de penumbra, una zona de tejido neuronal afectada pero que es aún recuperable mediante terapia trombolítica. En un paciente, la presencia de tejido infartado indica que el paciente no es subsidiario de recibir tratamiento trombolítico, ya que no es recuperable y presenta mayor riesgo de hemorragia
Los nuevos equipos de TCMD (TC multidetector) permiten realizar estudios de perfusión para confirmar el diagnóstico de ACV e identificar rápidamente áreas tejido recuperable mediante mapas de «tiempo de tránsito, flujo y volumen». Estaría especialmente indicada en pacientes con dudas diagnósticas, aquellos en los que se ha sobrepasado la ventana o aquellos en los que no se puede establecer el inicio del evento.
ANGIO-TC: Permite valorar la circulación intra y extracerebral, es decir, lugar de oclusión, presencia de trombo o disección, colaterales y grado de arteriosclerosis. Alta E y S para la enfermedad proximal. Es más efectiva que la terapia intravenosa en trombos de la carótida o ramas proximales de la ACM. Fundamental para el mapao vascular que permite la actuación del neurorradiólogo intervencionista. (Ver el protocolo del angioTC en el algoritmo que se presenta a continuación).
Bibliografía:




Deja un comentario