TromboEmbolismo Pulmonar (TEP) Agudo y Crónico.

Se muestran imágenes de pacientes que acuden a urgencias con sospecha de TEP: Disnea, Dolor torácico, Hempotisis y Dímero D elevado. En algunos encontramos TEP agudo, otros crónico y en otros los dos a la vez.

Sin título
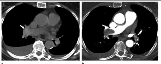
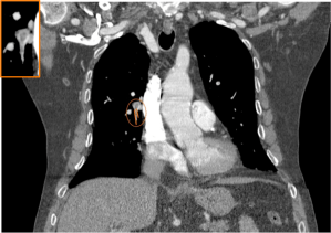
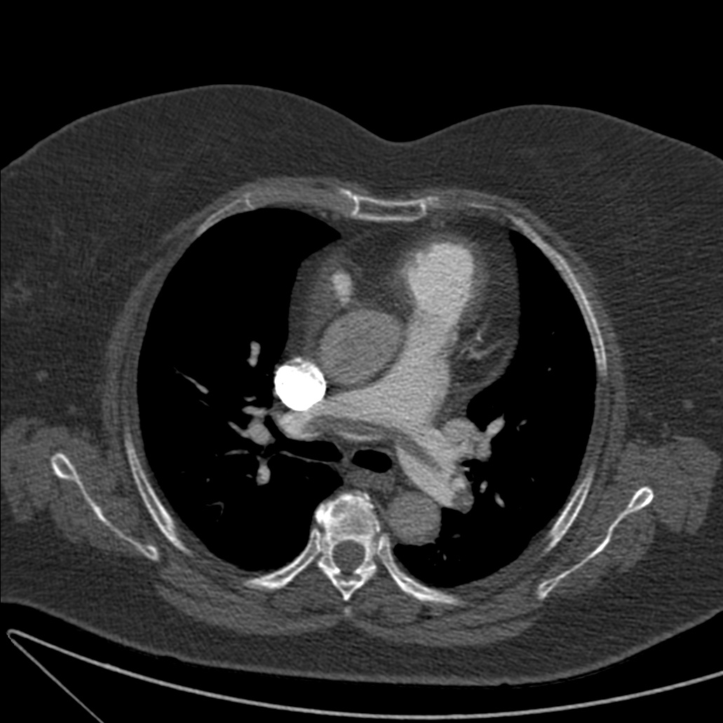
Obstrucción por trombo de la arteria pulmonar principal derecha.
Cono
Signo del Cono o Cucurucho en un corte perpendicular del vaso, sugestivo de TEP agudo.
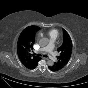
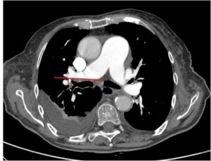
Signo de Rail de tren en un corte perpendicular a la arteria segmentaria del LM, sugestivo de TEP agudo.
Signo de Rail de tren en un corte perpendicular a la arteria segmentaria del LM, sugestivo de TEP agudo.
Rectificación
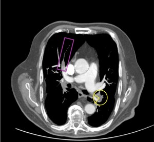
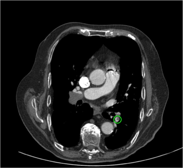
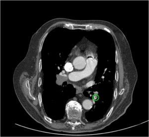
Defecto de repleción parcial periférico con rectificación de la pared de la arteria pulmonar derecha, sugestivo de estigmas de TEP crónico
Estigmas
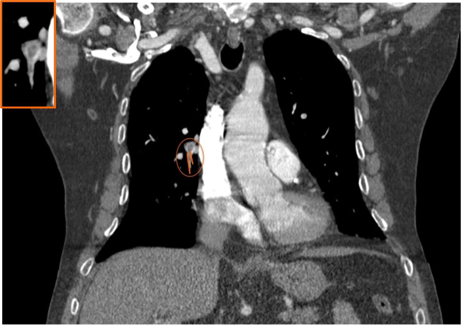
Defecto de repleción parcial y periférico con ángulo obtuso en arteria lobar inferior derecha (amarillo), sugestivo de TEP crónico. Arteria lobar del LM con aumento de calibre y signo de angulo agudo, sugestivo de TEP agudo. Distal al trombro la arteria segmentaria ha disminuido el calibre por ausencia de flujo (rosa).

ENFERMEDAD TROMBOEMBÓLCICA (ETE)

Hablamos de la trombosis venosa profunda y el tromboembolismo pulmonar, que son manifestaciones de una misma enfermedad, la «ETE». Constituyen entre el 1 y 2% de los ingresos hospitalarios y tienen una mortalidad que oscila entre el 6 y 15%. Por tanto estamos ante una entidad de notable importancia.

El tratamiento se basa en la anticoagulación, donde las Heparinas de Bajo Peso Molecular (HBPM) constituyen el principal fármaco, que como muchos tratamientos, no está exenta de efectos secundarios, como hemorragía grave (3%) o trombocitopenia. La fibrinolisis se usa en tromboembolismos masivos, con hemorragias graves en torno al 10% como efecto secundario. Otro tratamiento es la fragmentación mecánica que se combina con fibrinolisis. Por último, el filtro de vena cava se usa ante la no respuesta a la anticoagulación o contraindicación de la misma.

En este post, nos centraremos en el Tromboembolismo Pulmonar, tanto en el Agudo (del que hablaremos en primer lugar y mostraremos el protocolo a seguir en su sospecha y diagnóstico) como en el Crónico. Recordar que casi el 70% de los TEPs tienen TVP y que el 50% de las TVP desarrollarán TEP, especialmente asintomático.

TROMBOEMBOLISMO PULMONAR:

Constituye la tecera causa de morbimortalidad de etiología cardiovascular tras el infarto de miocardio y el ACV. La angiografia TC pulmonar constituye el standar de referencia su diagnóstico. Se analizan las arterias principales, lobares, segmentarias y subsegmentarias; donde se observarán los vasos con defectos de repleción intraluminales. Desde la introducción del TC helicoidal, los casos estudiados por TC han aumentado desde un 9 al 83%, mientras que la gammagrafía ha disminuido desde un 87 a 17%. Ante la gran demanda de estudios, es necesario una visión integral de esta patología para que no se sospeche la enfermedad en exceso ni tampoco que se queden casos sin diagnosticar.

VALORACIÓN CLÍNICA:

El diagnóstico clínico puede ser difícil por la inespecífico de la clínica: Dolor torácico, Disnea, Hemoptisis, Síncope. En la gasometría puede haber hipoxemia, hipocapnia, alcalosis respiratoria, aumento del gadiente A-a.

Ante estos hallazgos inespecíficos y la gran demanda acutal de estudios, es importante tener en cuenta los factores de riesgo, la clínica y estratificar adecuadamente el riesgo de padecer TEP.

FR ETE

Sintomas

Para estratificar el riesgo de padecer TEP usamos escalas, como por ejemplo la Escala de Wells o Ginebra

6v40n12-13068802tab04.

DÍMERO D:

Se detecta por técnicas de Ac monoclonales (Elisa, Turbimetría) y expresa la presencia en sangre de productos de degradación de la fibrina. Se eleva en numerosas causas (Insuf. cardíaca, Insuf. Renal, Traumatismos, Cáncer, Inflamación, Isquémicas, etc.) pero es muy raramente negativo en la ETE (menos del 0,75%) . Por ello, tiene alta sensibilidad, es decir, sirve para descartar la enfermedad tromboembólica en pacientes con probabilidad baja o intermedia. Importante: El Dímero D negativo no excluye la posiblidad de TEP en pacientes con Alta probabilidad de TEP.

Ante todo Dímero D elevado y en pacientes con Alta probabilidad diagnóstica, se pedirá una prueba de imagen complementaria.

Cusas que elevan el DIMERO D.

  1. Enfermedad arterial tromboembólica: ICTUS, Infarto de miocardio, FA, trombo intracardiaco…
  2. Trombososis venosa profunda.
  3. Tromboembolismo pulmonar.
  4. Coagulación intravascular diseminada.
  5. Preeclampsia y eclampsia.
  6. Alteración de la fibrinolisis, uso de agentes trombolíticos.
  7. Enfermedad cardiovascular, fallo congestivo.
  8. Infección severa, sepsis, inflamación, SRIS.
  9. Cirugía, Traumatismo (isquemia tisular, necrosis).
  10. Malformaciones venosas.
  11. Enfermedad hepática severa (aclaramiento disminuido).
  12. Proceso maligno
  13. Enfermedad renal, Sd. Nefrótico, IR Aguda, IR Crónica y enfermedad cardiovascular subyacente.
  14. Embarazo Normal.

ELECTROCARDIOGRAMA:

Se realiza para descartar infarto o pericarditis y buscar signos de sobrecarga derecha (S1Q3T3, BRD, Inversion ondas T V1-V4) o arritmias (FA, Flutter, Taquicardia Sinusal). Los hallazgos tienen poca S y E.

RADIOGRAFÍA DE TÓRAX:

Casi siempre son normales.

Cardiomegalia, Atelectasias, Elevación del diafragma, Consolidación pulmonar periférica (Joroba de Hampton), Oligoemia focal (Signo de Westermarck), Aumento de tamaño de las arterias principales por trombo masivo (Signo de Palla). La utilidad radica sobre todo en hacer un diagnóstico diferencial que excluya otras causas de disnea o para predecir la utilidad de la Gammagrafía, ya que la detección de EPOC desaconseja la realización de dicha prueba que resultaría poco rentable.

ANGIO-TC DE TÓRAX.

TÉCNICA.

La TC podemos es una técnica de gran disponibilidad que nos permite visualizar directamente el trombro, detectar signos asocaidos a elevada mortalidad, como el fallo ventricular derecho, y descartar otras etiologías.

Con la introducción del TC multicorte podemos valorar inclusive la trombosis de arterias subsegmentarias, aunque es poco frecuente y existen dudas en cuanto a su importancia clínica, considerándola solamente significativa cuando existen signos de fallo cardíaco derecho.

Imagen1

Nota: La cantidad de contraste que se introduce se fija por el tiempo de retaso + tiempo de hélice. Si queremos hacer también una venografía, introducimos 120 cc. aprox.

SIGNOS de TEP AGUDO.

1. Oclusión arterial con defecto de repleción arterial. La arteria puede estar aumentada de tamaño con respecto a la adyacente.

2. Defecto de repleción parcial con halo periférico de contraste rodeando el trombo ( «Signo de vías de tren»   o «Signo del cono o cucurucho» en cortes axiales al vaso).

3. Defecto periférico intraluminal que forma ángulos agudos con la pared arterial.

Áreas periféricas de hiperatenuación con forma de cuña pueden sugerir zonas de infarto.

Otro aspecto importante es valorar la posibilidad de fallo cardíaco derecho, los signos en Angio-TC son los siguientes e  indican alta gavedad:

a) Dilatación del VD (es más ancho que el VI).

b) Desviación del septo interventricular hacia el VI.

c) Los índices VD/VI y arteria pulmonar/aorta deben ser inferiores a 1.

Cono de la pulmonar de calibre aumentado.
Cono de la pulmonar de calibre aumentado, indicativo de hipertensión pulmonar radiológica.
Relación VI/VD > 1. Signo de muy mal pronóstico.
Relación VI/VD > 1. El tabique interventricular está empezando a desviarse hacia el VI. Signos de muy mal pronóstico.
TEP agudo en silla de montar, el trombo se extiende desde una arteria pulmonar a la otra.
TEP agudo en silla de montar, el trombo se extiende desde una arteria pulmonar a la otra.

 

Hay que tener en cuenta que puede ocurrir que se detecte un TEP en un TC sin contraste que se realiza por otra causa o estudio que no sea para descartar TEP. En una obstrucción del arteria central, si observas una imagen de relleno con hiperatenuación, puede que estés ante una obstrucción por trombo. Ver imagen:

a) TC sin contraste, donde se observa aumento de la atenuación de la arteria central, compatible con trombo a dicho nivel. b) Confirmación con Angio-TC
a) TC sin contraste, donde se observa aumento de la atenuación de la arteria central, compatible con trombo a dicho nivel (ver flecha blanca).
b) Confirmación con Angio-TC

SIGNOS de TEP CRÓNICO.

Son los siguientes:

1. Obstrucción completa de la arteria bronquial, la cual es de menor tamaño que las adyacentes.

2. Defecto de repleción periférico que forma ángulos obtusos con la pared arterial.

3. Signos de recanalización y bandas de contraste «Flaps» (contraste atravesando la zona trombosada y engrosada de arterias afectadas o pequeños colgajos de contraste que indican nuevo paso del mismo por la arteria afectada).

4. Signos indirectos: Colaterales, Calcifiaciones en la pared del vaso, Signos de HTP (Arteria pulmonar > 33 mm, Engrosamiento del pericardio),  Patrón en Mosaico (parénquima pulmonar con zonas blancas y negras, donde la zona negra hipoatenuada es debida a que está hipoperfundida y los vasos que la atraviesan son de menor calibre que en las zonas blancas, sanas, respetadas).

PROBLEMAS EN LA INTERPRETACIÓN DEL ANGIO-TC Y POSIBLES SOLUCIONES (pulsa para agrandar).

Imagen3

OTRAS PRUEBAS:

Doppler de miembros inferiores:  A veces se usa para el diagnóstico de TEP.  El razonamiento es que si encontramos signo de TVP, la trataremos de forma similar al TEP. Existe controversia debido a los falsos positivos que serán tratados como TEP de manera innecesaria, con los riesgo que conlleva, y la escasa correlación que existe. En un estudio, solo el 29% de los pacientes diagnosticados de TEP (mediante angiografía o Gammagrafía V/P) habían sido diagnosticados de trombosis venosa mediante maniobras de compresión.

Gammagrafía de ventilación-perfusión: Útil en pacientes alérgicos al contraste. Es sobre todo útil para confirmar en pacientes con alta probabilidad con clínica compatible y para descartar TEP en pacientes si la gammagrafía es normal.

Arteriografía: Constituye el gold standar. Se ha reemplazado por la TC. Se puede usar para el tratamiento de TEP masivos.

Resonancia Magnética: No se usa. Se podría usar en casos muy especiales (embarazada y alérgica al contraste) y siempre y cuando otras técnicas (eco y gammagrafía) no hayan sido resolutivas.

Bibliografía:

http://pubs.rsna.org/doi/pdf/10.1148/rg.245045008

 http://seram.es/readcontents.php?file=documentos/148_radiologia_en_urgencias_2.pdf

http://es.slideshare.net/underwear69/350-tromboembolismo-pulmonar

http://www.uptodate.com


Posted

in

by

Comments

6 respuestas a «TromboEmbolismo Pulmonar (TEP) Agudo y Crónico.»

  1. Avatar de Johna34
    Johna34

    Thank you for some other informative website. Where else may just I am getting that kind of info written in such an ideal means? I’ve a venture that I am just now working on, and I have been on the glance out for such info. ggaceddeadek

    1. Avatar de Víctor Federico Cáceres Filippon

      Hello and thank you for write in the blog. If you are seraching for anothers radilogy web sites you can visit radiopaedia.org or radiologyassistant.nl. These blogs ara very useful and also references for me.
      Have a nice day.
      Federico.

  2. Avatar de Jose Huaccho
    Jose Huaccho

    Hola Dr. Federico, si me es permitido, sólo mencionar un grato saludo, por la iniciativa de este blog.

    1. Avatar de Víctor Federico Cáceres Filippon

      Gracias a ti por tu comentario. Espero que te sea útil el contenido. Saludos.

      1. Avatar de Carmen
        Carmen

        Muchas gracias Victor, informacion valiosa y muy didáctica
        Buenas noches!

      2. Avatar de Víctor Federico Cáceres Filippon

        Gracias a ti por visitar el blog. Espero que te sea útil. Saludos

Deja un comentario