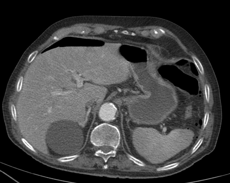
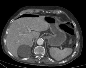
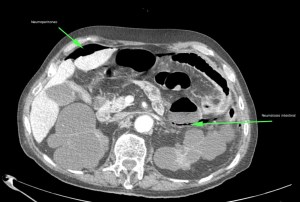
CASO 1:
Paciente con diarrea y vómitos y dolor abdominal intenso. Antecedentes de fibrilación auricular. Analítica con discreta leucocitosis.
Se sospecha Isquemia intestinal. Veamos las pruebas complementarias de imagen:







En conclusión, estamos ante un cuadro de posible isquemia intestinal perforada, de ahí el neumoperitoneo.
CASO 2:
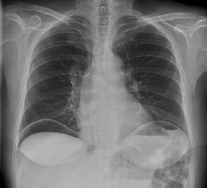
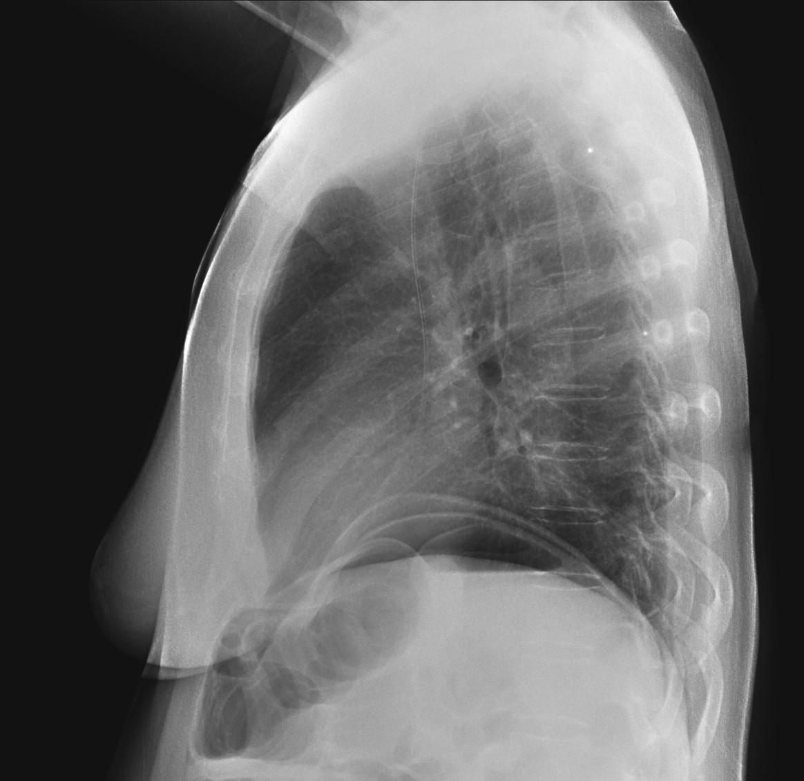
Paciente que acude a urgencias por tos febrícula. Se realiza placa simple PA de tórax, se observa lo siguiente:


Un paciente sin síntomas abdominales en el que casualmente hemos visto el signo de chilaiditis.
NEUMOPERITONEO:
Se define como la presencia de gas en la cavidad peritoneal, el cual no debería existir en condiciones normales. En placa de tórax y de abdomen podemos ver los siguientes signos más comunes:
- Gas subdiafragmático.
- Signo de Rigler o Doble pared.
- Aire en rx lateral de abdomen.
- Signo del uraco.
- Distensión abdominal.
- Otros: Signo del balón de fútbol, higado lucente, signo del ligamento falciforme, V invertida.
Veamos el diangóstico diferencial:
A- PNEUMOPERITONEO ESPONTÁNEO SIN PERITONITIS:
- Iatrogénico (Cirugía del tracto GI, Anestesia, Terapia respiratoria, Dialisis peritoneal, Endoscopia, Broncoscopia, Test de Rubin-trompas de falopio…)
- Idiopático.
- Perofración del tracto gastrointestinal (ulcera péptica duodenal, neoplasia, Crohn, Diverticulitis, Colitis isquémica, u obstrucción intestinal, Traumatismo, Cuerpos extraños).
- Menos frecuente:
- SDRA
- Distensión de estómago (aerofagia, gastroscopia, …)
- Pseudo-obtrucción del colon.
- Diverticulosis yeyunal.
B – PNEUMOPERITONEO CON PERITONITIS.
- Perforación de visceras huecas: Úlcera péptica, obstrucción intestinal, diverticulitis, apendicitis, tumor, trauma abdominal, colecistitis enfisematosa, Ascaris).
- Megacolon perforado (Chagas, Hirschsprung)
- Perforación de colon.
- Peritonitis séptica.
- Enfermedad ulcerosa intestinal (fiebre tifoidea, amebiasis, megacolon tóxico, colitis ulcerosa, Crohn, tuberculosis, colitis pseudomembranosa, enterocolitis necrotizante, colitis isquémica, linfogranuloma venereo…
CHILAIDITIS: SIGNO Y SÍNDROME.
Se denomina Chilaiditis en honor a Demetrius Chilaiditi, radiólogo griego que definió el signo dn 1910.
Se define como la interposición hepatodiafragmática del colon, que suele ser un descubrimiento casual durante el estudio radiológico por otra causa. Suele ser asintomática y cuando el hallazgo cursa con síntomas como dolor abdominal, náuseas, vómitos o estreñimiento, se conoce como síndrome de Chilaiditis.
La chilaiditis constituye una causa de pseudoneumoperitoneo, la cual hay que identificar para evitar más pruebas diagnósticas y tratamientos no necesarios. Otra causa de pseduneumoperitoneo es la grasa de la cavidad abdominal.
Bibiografía.
http://www.scielo.cl/pdf/rchradiol/v15n3/art08.pdf
http://scielo.isciii.es/scielo.php?pid=S1699-695X2010000200018&script=sci_arttext
http://radiopaedia.org/articles/pneumoperitoneum
http://radiopaedia.org/articles/chilaiditi-syndrome

Deja un comentario