Paciente de 30 años que acude a urgencias por caída en domicilio con TCE sin pérdida de conciencia. Comenta un cuadro de cefalea que ha incrementado desde hace 5 días. No existen déficits neurológicos, aunque comenta que se encuentra algo confusa. Náuseas con vómito en 1 ocasión. Sin otros hallazgos ni antecedentes a
adestacar.
TA 140/85; Fc 95 lpm; Sat o2 99%.


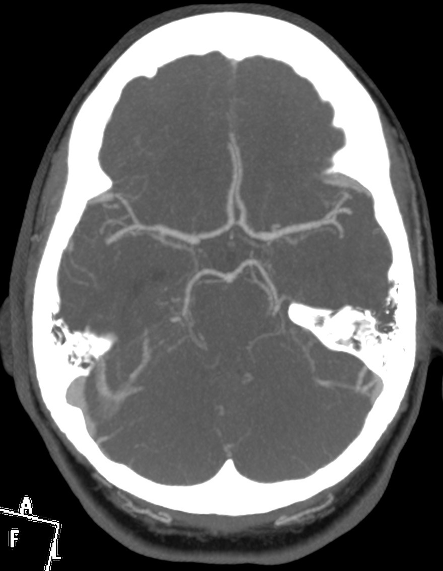
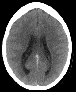
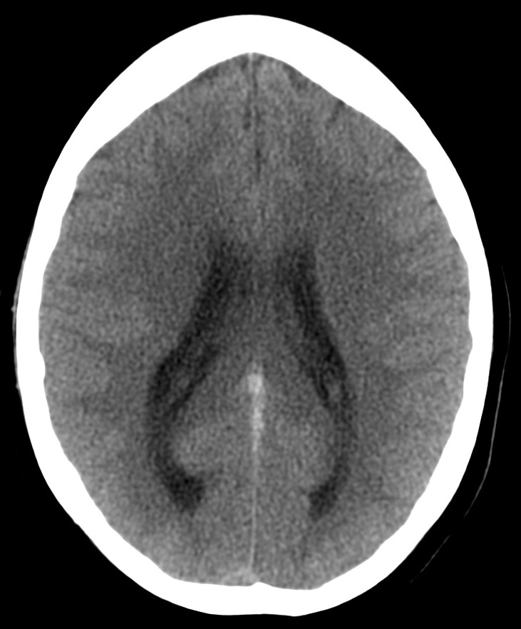
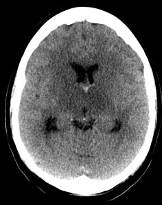
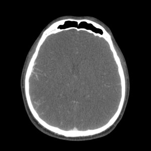
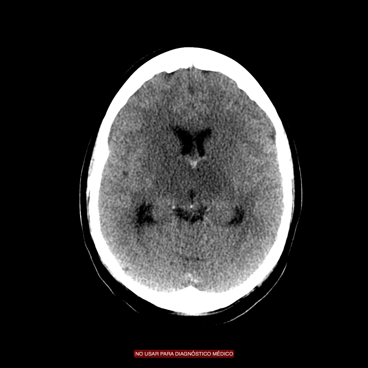
Se decide ingreso de la paciente para estudio y, ante el incremento de la cefalea y empeoramiento del estado general, se realiza nuevo TC de cráneo sin contraste. Veámos las imágenes.


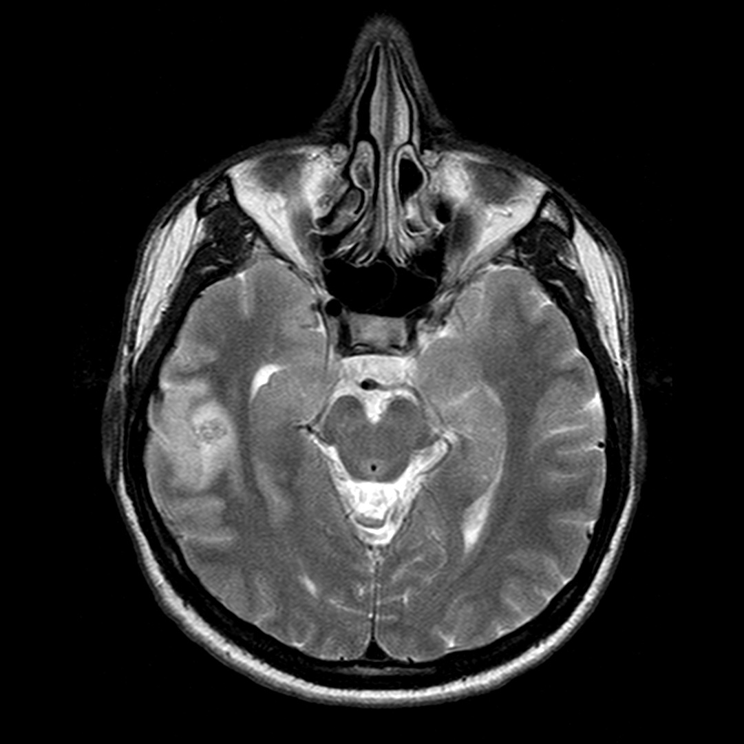
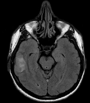
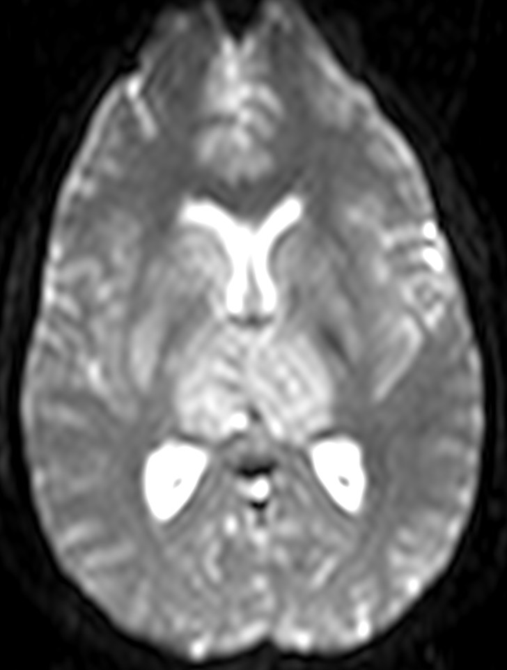
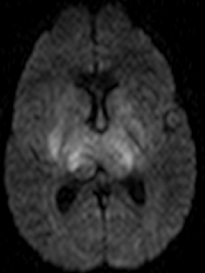
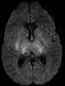
Se decide realizar una RM y una venografía RM para descartar una TVC. Ante el mal estado de la paciente, la cual no colabora, solo se puede terminar realizando secuencias FLAIR y Difusión.



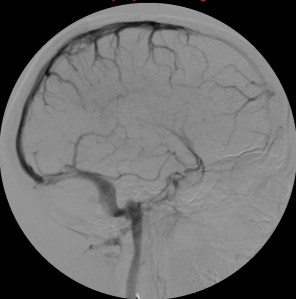
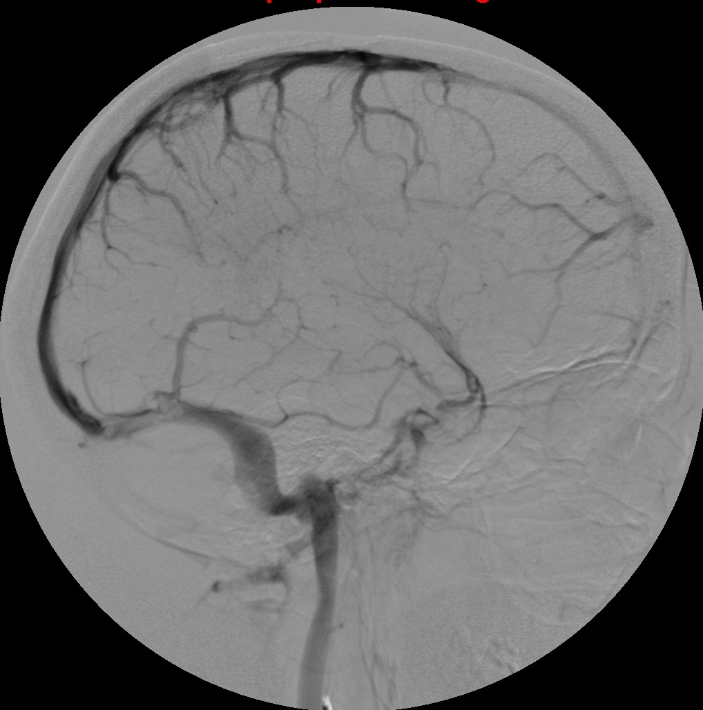
Se procede a la intervención de la paciente con realización de Arteriografía.


TROMBOSIS VENOSA CEREBRAL:
Es una entidad poco frecuente, tasa de 3-4 casos por millón de habitantes. Representa el 0.5% de todos los infartos cerebrales.
Suele presentarse en cualquier edad, pero predomina en pacientes jóvenes, mujeres, entre la 4ª-5ª década de la vida. Como factores causales destacan el embarazo y puerperio, uso de anticonceptivos orales, infecciones locales o sistémicas, compresión tumoral, traumatismo, enfermedad sistémica (neoplásicas o colagenopatías) y discrasias sanguíneas y deshidratación (en edad pediátrica).
Los síntomas más frecuentes son muy variables, siendo la cefalea el síntoma más frecuente y se presenta en más del 90% de los pacientes adultos. El signo predominante es el papiledema secundario a hipertensión intracraneal. También puede haber déficits motores o sensitivos, alteración de la conciencia, náuseas y vómitos o crisis epilépticas. La presentación puede ser aguda (<2días), subaguda (2-30 días) o crónica (>30 días). La presentación suele ser subaguda, por el lento crecimiento del trombo, y la gravedad depende de la extensión, tipo de vaso afectado y grado de desarrollo de colaterales.
Ha de realizarse un diagnóstico rápido ya que el 80% tienen buen pronóstico con tratamiento. La recurrencia es mayor durante el primer año.
ANATOMÍA VENOSA CEREBRAL.
El sistema venoso SUPERFICIAL (Es la vía de drenaje del córtex y sustancia blanca subcortical):
- Senos sagitales superior (SSS) e inferior (SSI).
- Senos tranversos (ST).
- Seno recto.
- Seno sigmoide.
- Venas corticales superficiales (Trolard, Labbé, cortical frontal, cerebral media superficial).
El sistema venoso PROFUNDO:
- Venas cerebrales internas.
- Venas basales de Rosenthal.
- Vena de Galeno (V. Cerebral Magna).
- Venas subependimarias
Circulación de la sangre venosa:
- Venas cerebrales —> Senos durales —> Venas yugulares internas.
El seno sagital superior (SSS) es el que mas se afecta (60%) debido a la turbulencia del fujo a su través, seguido por el ST izquierdo y el ST derecho. El 90% de los pacientes presenta una afectación de múltiples venas y senos.
El 70-80 de la sangre cerebral discurre por las venas y senos venosos, estructuras que carecen de válvulas, por que la sangre puede discurrir en cualquier dirección. Esto último, unido a la gran variabilidad del drenaje vascular venoso y al desarrollo de múltiples anastomosis y colaterales, favorece la capacidad de compensación del drenaje venoso cerebral ante una trombosis venosa cerebral en especial del sistema venoso superficial. La TVC del sistema venoso profundo tiene peor pronóstico ya que la capacidad de colaterales es menor.
Fisiopatología:
La TVC origina una obstrucción del drenaje venoso que puede afectar únicamente a las venas cerebrales, produciendo efectos locales, o involucrar a senos durales, originando hipertensión intracraneal. En la mayoría de los pacientes coexisten ambos mecanismos, produciéndose un edema vasogénico por una parte, dado el éstasis por la obstrucción al flujo sanguíneo, y un edema citotóxico por otra parte, debido al fenómeno isquémico que acontece. De este modo, surgen el edema cerebral, la hemorragía, el papiledema o el aumento de presión del LCR. Sin embargo, no se produce hidrocefalia ya que el gradiente de presión entre el sistema ventricular y el espacio subaracnoideo permanece conservado.
TÉCNICAS RADIOLÓGICAS:
1- TAC SIN CONTRASTE:
Se realiza para descartar otros procesos como infartos, tumores o infecciones.
- Signos directos: Cuerda Hiperdensa. En caso de trombo en las venas corticales, se observa el signo de la cuerda hiperdensa intraluminal. El trombo puede permancer hiperdenso 2 semanas para luego hacerse isodenso. La S y E de este signo son bajas.
- Signos indirectos: Cambios en el parénquima debido a la isquemia por perturbación del flujo venoso, produciéndose edema, infartos o hemorragias. Los infartos no hemorrágicos son las lesiones más frecuentes, suelen ser de localización subcortical, no sigue una distribución arterial y se localiza en las inmediaciones del seno afectado. Una afectación del SSS (el más frecuente) produce afectación bilateral en los territorios frontales, parietales y occipitales. Una afectación del ST afecta los lóbulos temporales. El seno recto afectado produce lesión profunda, en el tálamo. Los infartos hemorrágicos son menos frecuentes, se han descrito sangrados subdurales, subaracnoideos e incluso abiertos a ventrículos. El edema que se produce puede originar efecto masa con desplazamiento de la línea media e incluso disminución de ventrículos (dificil de valorar en jóvenes). La hidrocefalia marcada no se suele producir.
2- TAC CON CONTRASTE:
- Signos directos: Signo del Delta Vacío (signo directo más frecuente – 30%). Es un trombo triangular en el interior del SSS por obstrucción de las venas colaterales cerebrales superficiales.
- Signos indirectos: Realce tentorial por éstasis o hiperemia de la duramadre por oclusión del seno recto y SSS. Se puede observar también colaterales en las proximidades del tentorio, hoz o sustancia blanca, que se observan como vasos sinuosos.
3- VENOGRAFÍA – TC:
- En estos estudios, el trombo intravascular se identifica como una ausencia de flujo o contraste en la vena o seno dural.
- No hay suficiente evidencia científica que permita etablecer claramente qué exploración diagnóstica es superior, por lo que a decisión de utilizar la TC o RM como técnica de primera elección para establecer el diagnóstico de TVC dependerá de la disponibilidad y capacidad técnica de los equipos y la experincia del equipo neurorradiológico (SERN – 07).
- En urgencias, la TC craneal con y sin contarste combinada con estudio de venografía TC puede establecer el diagnóstico urgente sin necesidad de realizar exploración mediante RM.
- Hay varios estudios que demuestran una sensiblidad del 95-100% de la venografía en la visualización de la anatomía venosa cerabral.




4- RESONANCIA MAGNÉTICA:
La RM combinada con la venografía RM tiene gran sensibilidad no solo para el diagnóstico del TVC sino también para el diagnóstico de lesiones parenquimatosas secundarias, y por ello es la técnica de elección para el diagnóstico de TVC. Sin embargo, en urgencias un TC sin contraste junto con una venografía TC pueden establecer el diangóstico incial de TVC, haciendo innecesario el uso de resonancia en el contexto del diagnóstico urgente en dicho caso.
El protocolo de estudio debe incluir secuencias FLAIR, T1(con y sin contraste), T2, y T2*, así como secuencias de difusión (DRM) y venográficas.
Como ya hemos dicho, la TC se realiza como primera prueba diagnóstica dada su rapidez y sensibilidad en el contexto de urgencias; la RM se usa para el diagnóstico de la TVC en la siguientes situciones:
- Alérgicos al contraste yodado, por contraindicación de la realización de una venografía-TC.
- Cuando los hallazgos de la TC no sean concluyentes.
- De forma complementaria. Con carácter preferente, a un estudio de venografía-TC que haya demostrado la presencia de una trombosis venosa, para poder definir con más precisión las lesiones isquémicas o hemorrágicas asociadas.
- Seguimiento de pacientes, especialmente si se considera la recanalización de la vena o seno trombosado, un criterio de retirada del tratamiento anticoagulante.
Secuencias convencionales de RM:
- Signos directos: Señal hiperintensa del seno trombosado en T1, que indica la ausencia de flujo y la presencia de material trombosado. Un falso positivo sería la señal hiperintensa por éstasis sanguíneo; para solucionarlo usar estudio contrastado y ver el delta vacío u obtener secuencias en diferentes planos del espacio. Por otra parte, el trombo, al igual que la sangre, presenta cambios en su evolución. En fase hiperaguda, será isodenso con respecto al LCR y por tanto es difícil valorarlo. Para solucionarlo, podemos usar secuencias T1 con contraste y ver el «stop» del flujo o usar secuencias T2 gradiente, ya que es muy sensible a la desoxihemoglobina que contiene el trombos fresco.

- Signos indirectos: Lesiones parenquimatosas que se dan en el 40-70% de los casos. Hay cinco estadios
- Estadio 1: Sin cambios parenquimatosos.
- Estadio 2: Moderado aumento de la presión intracraneal (PIC) con tumefacción, borramiento de surcos y efecto masa. No se altera la señal parenquimatosa.
- Estadio 3: Moderado edema y mayor aumento de PIC. Leve aumento de señal parenquimatosa en T2 ponderado y FLAIR.
-
Estadio 4: Edema más grave y aumento de PIC (>40 mmHg). Puede haber hemorragia.
- Estadio 5: Edema masivo y/o hemorragia.


Secuencia de Difusión:
El patrón de edema es heterogéno, como el árbol venoso vascular. Primero se produce un edema citotóxico y luego vasogénico. El edema citotóxico se ve hiperintenso en Difusión e hipointenso en los mapas de coeficiente de dicusión aparente (CDA). El edema vasogénico se ve iso/hiperintenso en Difusión e hiperintenso en CDA.
La Difusión puede usarse para valorar la evolución del trombo. Los trombos que con el tiempo de evolución no muestran hiperintensidad de señal en difusión, presentan tasas de recanaliazación de hasta el 88%.


Venografía RM:
El protocolo recomendable ante la sospecha de una TVC es realizar, además de secuencias potenciadas en T1 y T2 en al menos 2 planos, secuencias de venografía-RM con técnica Contraste de Fase para descartar ausencia de flujo en los senos venosos principales. Si persiste la duda diagnóstica se puede administrar contraste para demostrar el signo del delta o bien, finalmente, realizar otras secuencias de venografía, como 2D-TOF (tiempo de vuelo) o T1 3D con contraste. Veremos: Ausencia señal de flujo en seno y formación anómala de circulación colateral. . Seno irregular (recanalización). Flujo prominente en venas medulares profundas. Gran detalle anatómico.



TRATAMIENTO.
Tratamiento médico con heparina y warfarina. También se puede hacer tratamiento intervencionista con microcatéter con trombolisis o tromboplastia.
RECORDAR:
La RM en combinación con la venografía-RM es considerada la técnica de elección en la TVC, ya que permite identificar de forma directa el trombo venoso y los cambios secundarios en el parénquima cerebral. Sin embargo, la TC craneal combinada con un estudio de venografía-TC puede establecer el diagnóstico urgente, sin necesidad de realizar una exploración RM. El diagnóstico de TVC exige alta sospecha clínica.
Bibliografía:




Deja un comentario