Paciente de 31 años con molestias lumbares e irradiación a región glútea de 10 meses de evolución aprox., que aumenta con la deambulación Exploración neurológica normal, Lasegue negativo. Sin otros síntomas ni signos a destacar.
AP: Ninguna enfermedada ni alergias conocidas. Multípara (2 hijos, el mayor de 2 años y el menor de 11 meses de edad).

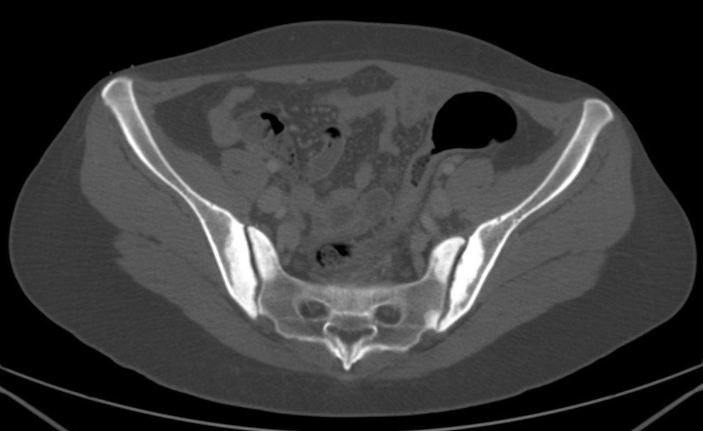
Estos hallazgos son compatibles con osteitis condensante del iliaco.
OSTEITIS CONDENSANTE DEL ILIACO:
Es una esclerosis bengina del hueso iliaco, adyacente a la articulación sacroiliaca. Incidencia: 2% de la población.
Se piensa que puede ser debido al estrés mecánico sobre la articulación sacroiliaca, ejemplo de ello es que es una entidad frecuente en mujeres menores de 40 años multiparas. La fisiopatología de esta enfermedad sigue siendo poco clara. Las hipótesis más plausibles sugerían que la compresión ejercida por un útero grávido sobre ciertas ramas de la arteria aorta producía un fenómeno isquémico crónico que desencadenaba el proceso. Sin embargo, puede darse en mujeres nuliparas y en hombres.
Clínica:
Normalmente es asintomático, aunque también puede producir dolor lumbar y en zona glútea, que puede simular desde simples contracturas musculares hasta cuadros compatibles con sacroileitis dada la franja etaria en la que se suele presentar. El dolor es de tipo intermitente y si bien se excacerba con la actividad física, los pacientes también pueden manifestar dolor durante el decúbito e incluso puede interrumpir el sueño
Exploración Física:
No hay signos neurológicos de patología. En las mujeres que presentan dolor lumbar, la maniobra de Fabere es positiva, lo cual indica bloqueo de la articulación sacroiliaca.
Radiologia (Placa simple y TC):
- Área triangular de esclerosis que afecta la región antero-inferior del iliaco, adyacente a la articulación sacro iliaca.
- El espacio interarticular está conservado.
- Similar área triangular de hueso reparativo en el lado sacro.
Diagnóstico diferencial:
- Espondilitis anquilosante (afecta íleon, sacro, espacio articular y otros huesos).
- Artitis reumatoide (asimétrico, destrucción de la articulación).
- Enfermedad de Paget (engrosamiento del patrón trabecular óseo).
Pronóstico:
Es una entidad benigna y la esclerosis puede resolverse en 3-20 años tras la estabilización de la sínfisis púbica.
Bibliografía:
Radiology Review Manual. Wolfgang Dähnert. Osteitis Condensans Ilii, pag. 78.
http://onlinelibrary.wiley.com/doi/10.1111/j.1756-185X.2009.01378.x/pdf
http://pmj.bmj.com/content/81/951/65.full
http://gamuts.acr.org/gamuts/data/C-49-2.htm
http://radiopaedia.org/articles/osteitis-condensans-ilii
http://reumails.blogspot.com.es/2013/07/otro-diagnostico-diferencial-de-la.html
Deja un comentario