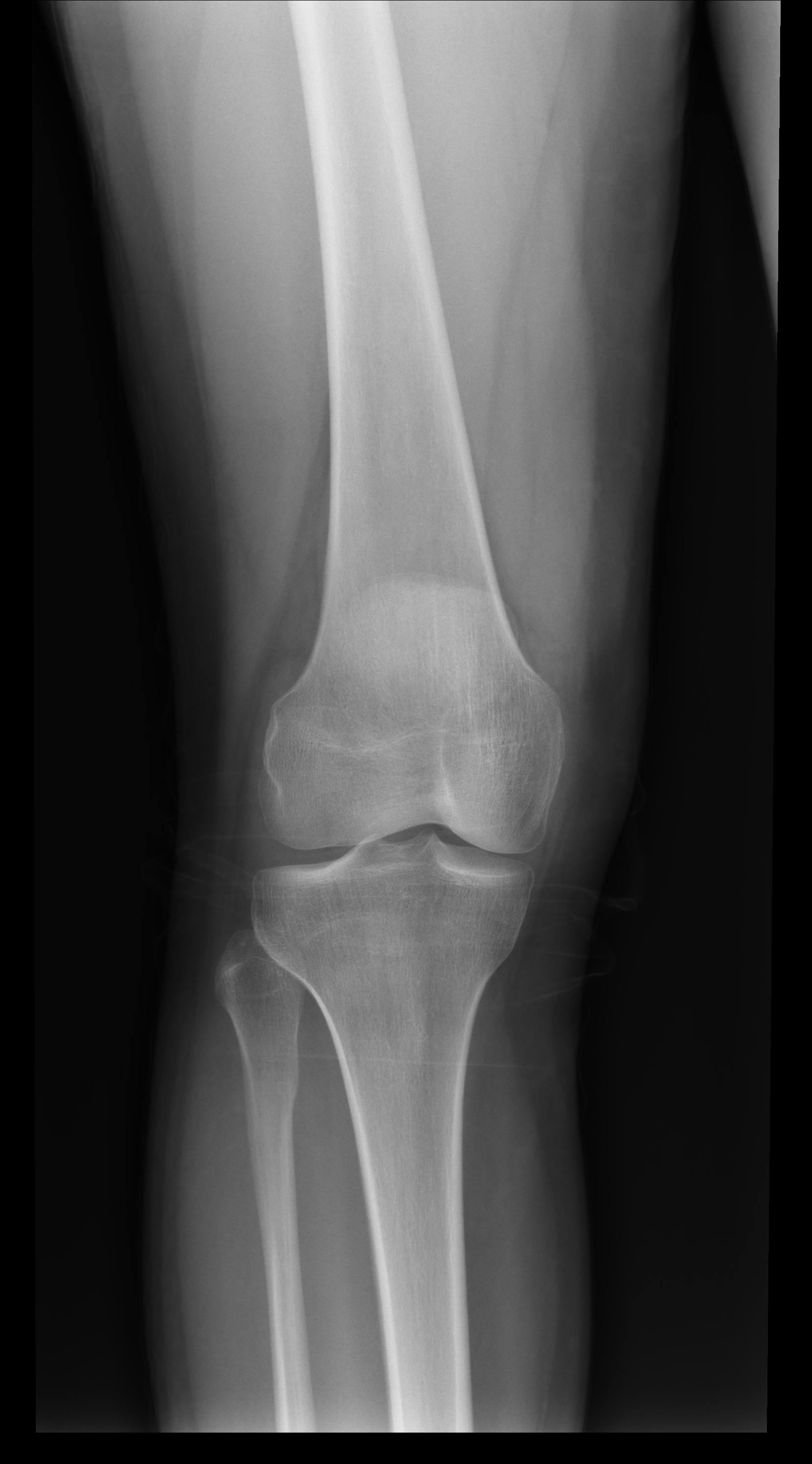
Paciente jóven que sufre un traumatismo al golpearse en la rodilla con el marco de una puerta, lo cual le impide mantener el peso sobre el miembro inferior derecho.


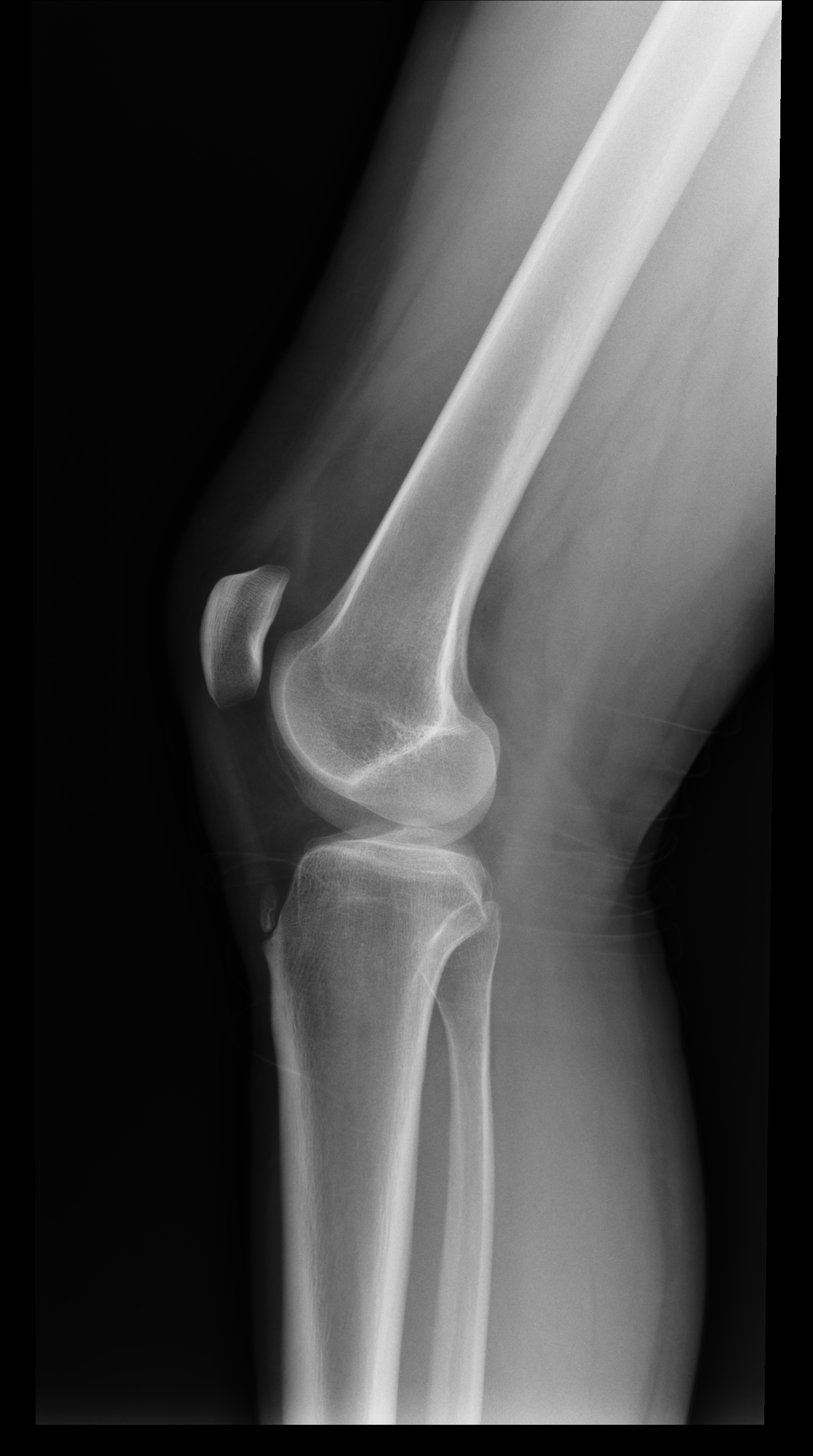
defecto de osificación del tubérculo tibial. No debemos confundir con rotura.
REGLAS DE OTAWA:
Para la realización de una radiografía de rodilla usaremos las reglas de Otawa. Con que se cumpla una sola de las 5 condiciones, se recomienda la radiografía.
|
RODILLA (JAMA 1997; 278: 2075-9) |
|
La realización de una radiografía de rodilla estaría indicada en aquellos pacientes con traumatismo que presentaran cualquiera de estos supuestos : 1.- 55 o más años 2.- Dolor aislado de rótula ( Esto es, no dolor óseo en ningún lugar aparte de la rótula ) 3.- Dolor en la cabeza del peroné. 4.- Imposibilidad para la flexión a 90 º 5.- Incapacidad para soportar el peso del cuerpo inmediatamente después del traumatismo y en el servicio de urgencias ( 4 pasos; imposibilidad de pasar el peso alternativamente al otro miembro en dos ocasiones sin importar que cojee ) |
Deja un comentario