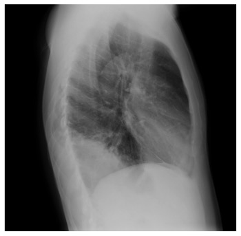
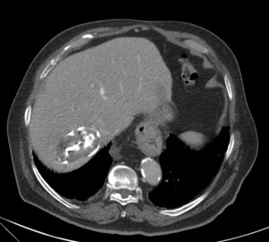
Paciente de 65 años al que se le realiza con dolor en hemitórax derecho más frebrícula:


Causas de elevación de hemidiafragma derecho:
– Perdida de volumen.
– Parálisis del nervio frénico. (Neoplasia, cirugía).
– Lesiones subdiafragmáticas (Absceso,tumor hepático, distensión gástrica, colónica).
Se procede a realizar un TC abdominal:

Elevación del hemidiafragma derecho una lesión quistíca de gran tamaño en segmento VII que continua con el segmento VI. Que pierde plano de clivaje con espacio pararrenal anterior

Estamos presenciando el lugar de afectación más frecuente de la Hidatidosis, el Hígado, concretamente sería el lóbulo hepático derecho, el cual se ha abierto al hemitórax derecho por una rotura directa.
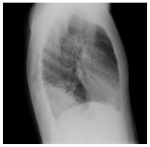
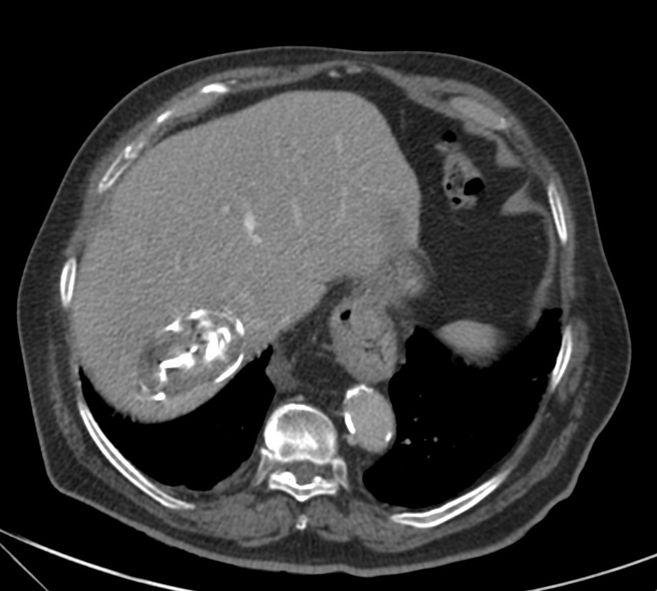
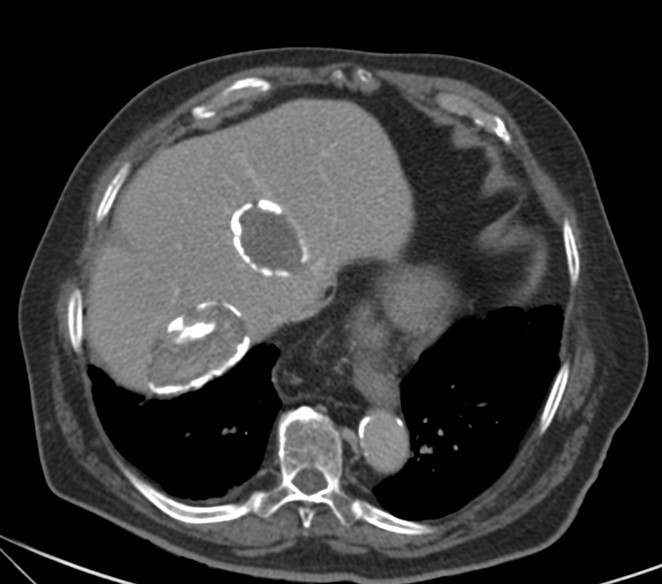
Para ver otro ejemplo:
HIDATIDOSIS o ENFERMEDAD HIDATÍDICA.
La hidatidosis en una enfermedad causada por el Echinococcus, principalmente en los subtipos Granulosus y Multilocularis. Particularmente, se distribuyen por las zonas de pastoreo del Mediterráneo, África, América del Sur, Oriente Medio, Australia y Nueva Zelanda.
El ciclo del E. Granulosus consta de dos hospedadores, siendo la mayoría de las veces el perro y la oveja los hospedadores definitivo e intermediario, respectivamente. El ser humano también puede ser hospedador intemedio. La larva adulta vive en la mucosa del intestino delgado, los huevos se sueltan en el intestino del hospedador, se excretan con la heces, pasan al hospedador intemedio cuando éste come el alimento contaminado (hierba para las ovejas // agua o vegetales contaminados para el hombre) y, con la digestión, pierden su cubierta, pasan a la circulación portal, para finalmente desarrollar quistes en el hígado. Una vez en el parénquima hepático, los quístes crecerán hasta 1 cm los 6 primeros meses y luego 2-3cm/año.
NOTA: los quistes están formados por tres capas: endoquiste, periquiste y exoquiste.
CLÍNICA:
Esta enfermedad suele cursar durante muchos años en forma asintomática, en ocasiones el diagnóstico de hidatidosis hepática es un hallazgo durante un estudio por imágenes por otra afección. La mayoría de las infecciones se adquieren durante la niñez, pero salvo que los quistes se localicen en órganos vitales, es posible que no aparezcan síntomas durante décadas. La sintomatología aparece como tumoración palpable e indolora, dolores hepáticos, a veces del tipo cólico biliar con irradiación al hombro derecho, sensación de peso en el hipocondrio derecho y en el epigastrio, intolerancia a los alimentos grasos que ocasiona sensación de distensión abdominal y, por último, urticaria, síntoma común a cualquier localización.
En el examen clínico debe valorarse el estado general y el estado nutricional del paciente, los que a menudo se hallan afectados. La hepatomegalia se observa como manifestación de quistes localizados en los segmentos inferiores o quistes intrahepáticos que rechazan el hígado hacia abajo o es secundaria a una hipertrofia compensadora. La semiología de la base del hemitorax derecho puede llegar a dar signos en caso de una elevación diafragmática en quistes de la región superior de hígado y tendrá hallazgos manifiestos de las complicaciones toráxicas de la hidatidosis hepática.
La sintomatología es muy variable dependiendo de la ubicación y tamaño del quiste. Se describen las siguientes formas sindrómicas:
- Síndrome tumoral: aumento de volumen del órgano afectado, compresión de órganos vecinos, masa palpable.
- Síndrome doloroso: destrucción del parénquima afectado.
- Síndrome de hipersensibilidad: prurito, urticaria, asma, shock, muerte.
LABORATORIO:
Exámenes de Rutina: Hemograma: El hallazgo más frecuente es la eosinofilia de más de 5% (la cual se encuentra en el 30% de los casos) o de más de 300 células por mm3, signo que es compartido por otras patologías de tipo parasitarios como la ascaridiasis, triquinosis, larva migrans y la cisticercosis. Puede encontrarse también leucocitosis cuando el quiste presenta alguna complicación de tipo infeccioso. Perfil hepático: La elevación de las transaminasas y/o hiperbilirrubinemia sugieren complicaciones del quiste o compromiso de la vía biliar (rotura, abscedación). Fosfatasa Alcalina elevada.
Reacciones Inmunológicas: Mediante test ELISA IgG, ha desplazado las otras técnicas dada su gran S y VPP. La Doble Difusión Arco 5 de Caprón (DDA5) es más específico para hidatidosis.
LUGARES DE AFECTACIÓN:
- Hepático (Más frecuente – 75%, principalmente el LHD).
- Pulmonar (Segundo más frecuente en adultos – 15%).
- Esplénico.
- SNC.
- Renal.
- Retroperitoneo.
- Músculo esquelético.
PRUEBAS DE IMAGEN:
- Placa Simple: Poco rendimiento. En la afectación hepática, puede verse un reborde o anillo calcificado sobre el parénquima hepático.
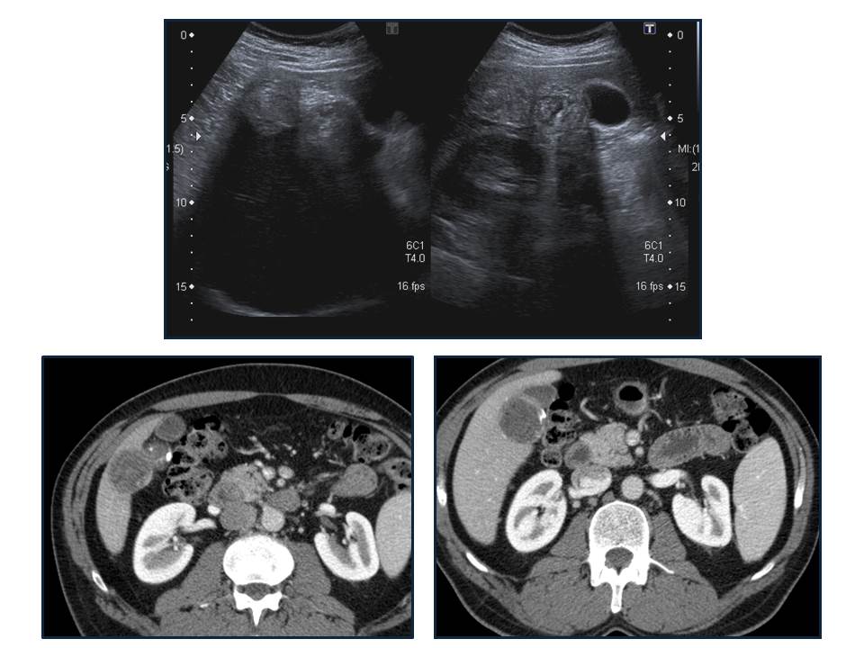
- Ecografía: La calcificación suele verse entre el 20-30% de los quistes. La pared suele verse como dos líneas hipoecogénicas seperadas por otra hiperecogénica , que es la capa intermedia.. La ecografía es la mejor técnica para identificar las capas del quiste.

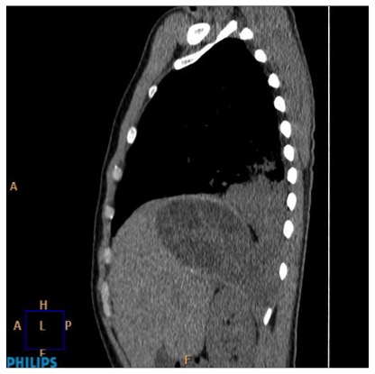
- TC: Tiene mayor S y E para la valoracion del quiste hidatídico. Se usa cuando la ecografía no nos proporciona un resultado óptimo por obesidad, interposición de gas, cambios postquirúrgicos en la pared abdominal, deformidades, etc… La administración de contraste no es necesaria a menos que se sospechen complicaciones, especialmente la infección o la comunicación con la vía biliar. Los hallazgos por TC son similares a los de ultrasonido, como son la densidad líquido en el interior del quiste, vesículas hijas en la perifería del quiste mayor o madre o calcificación de pared. La pared del quiste muestra alta atenuación inclusive sin contraste y sin calcificación.


- RM: Quiste con Borde hipointenso en T2. Se observa baja señal del borde del quiste en T2. que es característico del quiste hidatídico, probablemente por la gan cantidad de colágeno de la pared (concretamente del periquiste). Los quistes o vesículas hijas, presentan caída de señal en T1 e hiperintensidad en T2 con irregularidades en su unión al borde del quiste madre (que recuerda, el quiste madre tiene un borde hipointenso en T2).

COMPLICACIONES:
El quiste hidatídico hepático puede complicarse sobre todo a nivel intrahepático por sobreinfección o ruptura.
La RUPTURA, aunque puede acontecer tras un traumatismo menor, está implícita en la historia natural de la enfermedad y puede ocurrir en el 50 – 90% de los casos, pudiendo pasar desapercibida u originando, en el peor de los casos, una reacción anafiláctica por la antigenicidad del contenido del quiste. La ruptura puede ser contenida, comunicante o directa. En US y TC se observa el paso del contenido a través del defecto de pared que ha producido la ruptura. En la RM se observa la interrupción de la señal hipointensa en T2 del borde del quiste.
Puede existir comunicación a la vía biliar, que ocurre casi en el 90% de los casos tras una ruptura. Mediante US y TC podemos identificar los signos directos de la ruptura, es decir, el defecto de la pared del quiste o la comunicación entre quiste y vía biliar, pudiendo ver incluso contenido en ésta última, o signos indirectos como ecogenicidad incrementada en US o cambios de señal en RM.
Otras comunicaciones tras la ruputra, son con el peritoneo (podremos ver quistes dispersos en él mediante TC) o la afectación hematógena, donde el pulmón es la segunda víscera más afectada en adultos tras el hígado (en niños, el pulmón es la principal viscera afectada).
Por tanto, la Rotura del Quiste puede ser de diferentes tipos:
- Contenida. Ruptura solo del endoquiste, el cual se colapsa.
- Comunicada. La presión del líquido hidatídico es mayor que la vía biliar o del árbol bronquial, por lo tanto tiende a salir, pudiendo provocar un obstrucción de la vía biliar (ictericia obstructiva, colangitis). La ruptura de un quiste de la hidátide en el árbol biliar es una complicación seria y produce un cuadro clínico de la obstrucción biliar.
- Directa. Se produce directamente a la cavidad pleural o peritoneal, originando una siembra, y con un elevado riesgo de anafilaxia.
La SOBREINFECCIÓN ocurre tras la ruptura del endoquiste y periquiste (rotura directa y comunicante), que permite que las bacterias accedan a su interior. Se producirá un absceso que puede ser demostrado por US o TC. Los hallazgos ecográficos son variables, puede mostrar una masa de ecogenicidad heterogénea, con componente sólido o mixto (sólido – líquido) , presencia de gas, márgenes poco o bien definidos, etc… . La TC es la técnica de elección para ver el absceso. En la TC sin contraste veremos una masa mal definida y en la TC con contraste podemos ver el típico realce en anillo del absceso. También podría indicarnos la presencia de gas o niveles de líquido.
La Infección del Quiste puede clasificarse del siguiente modo:
- Absceso frénico. Infección limitada al endoquiste, de escasa sintomatología que se presenta como un cuadro solapado y progresivo. La adventicia limita el proceso infeccioso e impide su paso a la circulación sistémica.
- Absceso agudo. Cuadro sistémico muy sintomático, fiebre alta en aguja, leucocitosis y con gran compromiso del estado general.
- Infección por anaerobios, por lo que se observa gas en el interior del quiste. Es una infección de muy escasa ocurrencia.
OTRAS COMPLICACIONES son el crecimiento exofítico, la afectación transdiafragmática, perforación a víscera hueca, siembra peritoneal, la afectación de la vena porta por compresión o cavernomatosis, afectación de la pared abdominal.
Bibliografía:
http://pubs.rsna.org/doi/full/10.1148/radiographics.20.3.g00ma06795
http://radiopaedia.org/articles/hydatid-disease
http://med.unne.edu.ar/revista/revista163/6_163.htm


Deja un comentario