Paciente de 63 años, fumador que presenta hematuria macroscópica desde hace 10 días.


Ante dicho hallazgo se proceden a realizar estudios de imagen complementarios.





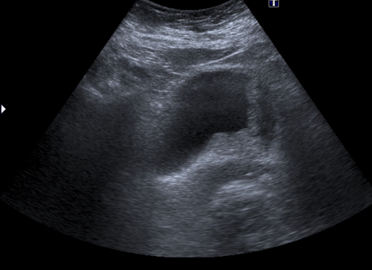
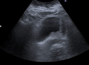
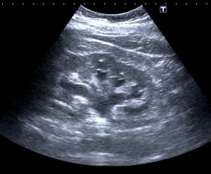
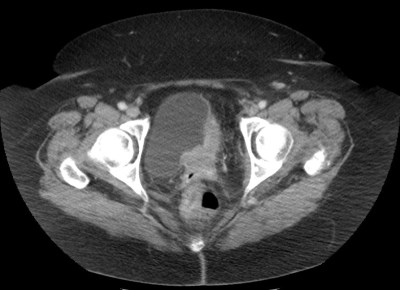
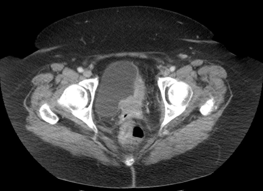
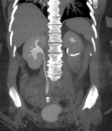
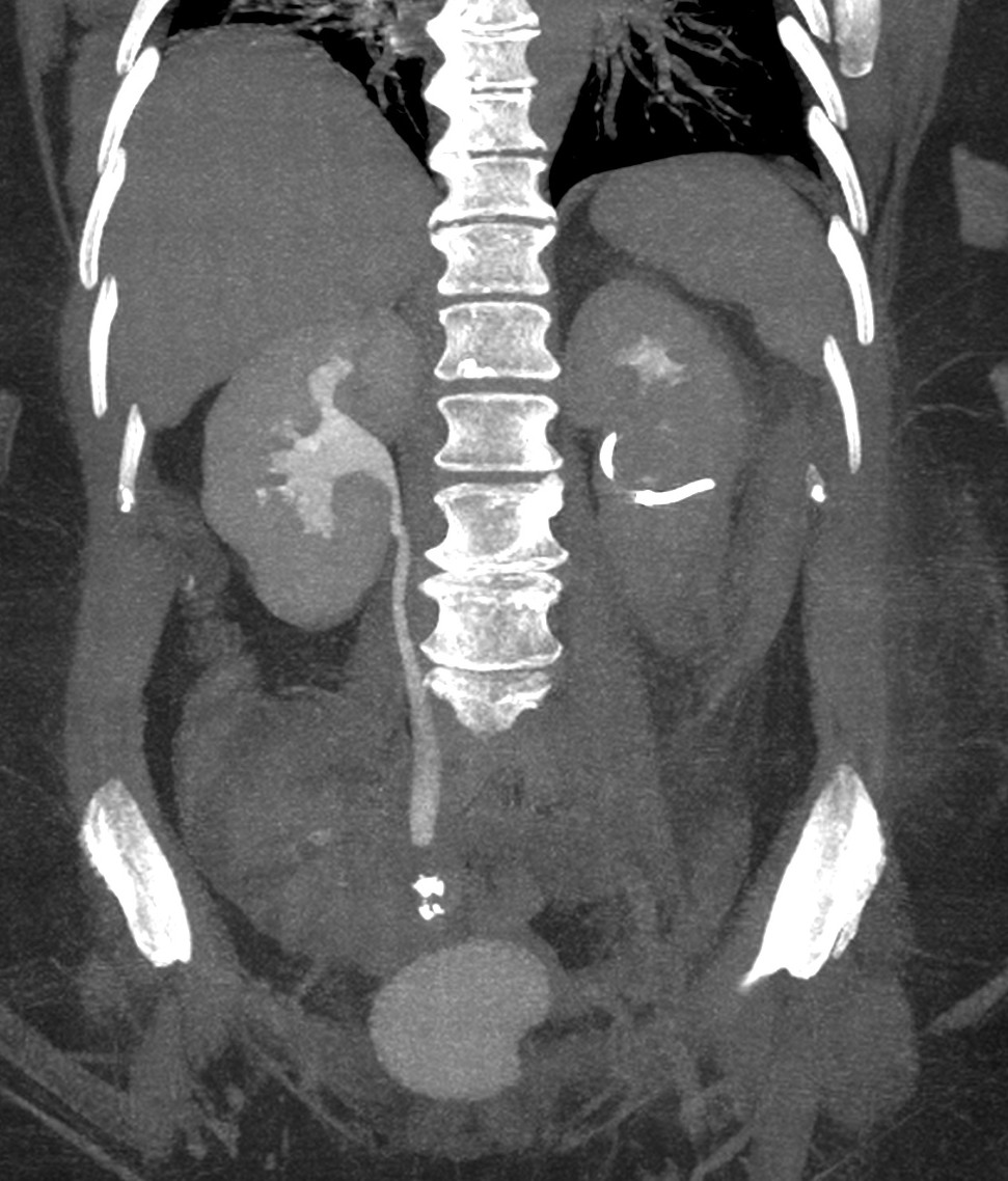
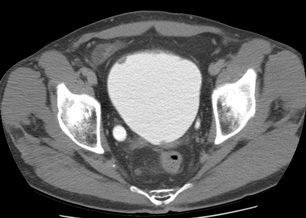
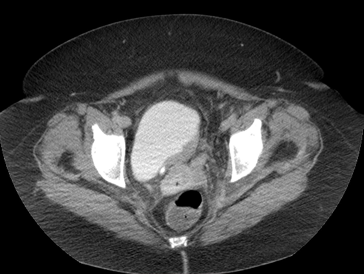
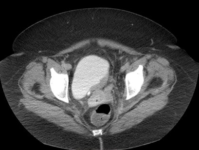
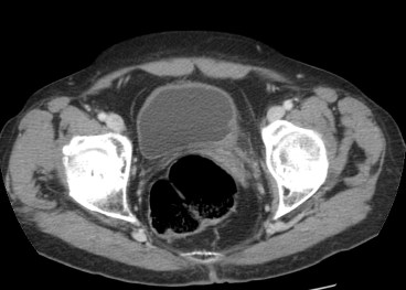
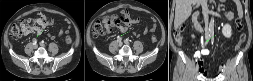
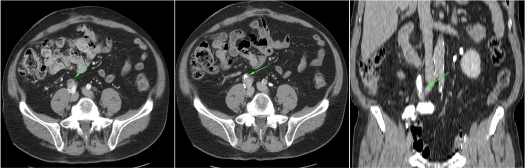
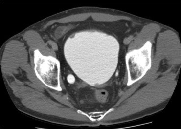
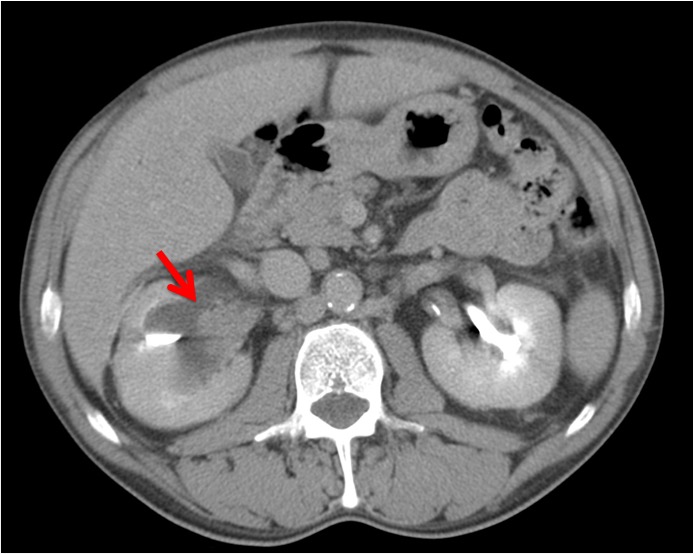
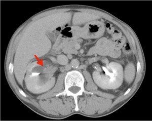
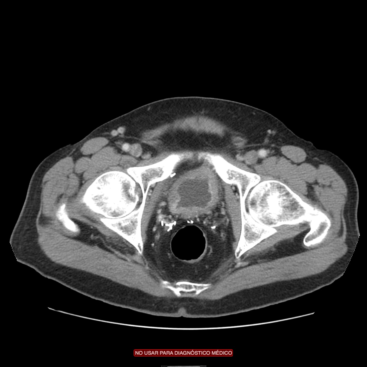
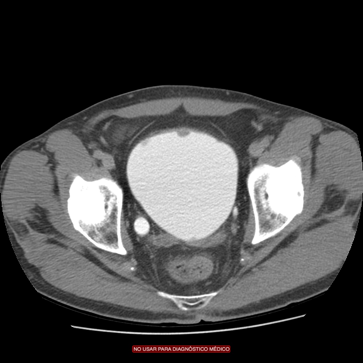
Estamos claramente ante un proceso neofromativo que afecta a la vejiga, el cáncer urológico más frecuente.
CARCINOMA VESICAL.
El cáncer de células tansicionales es el más frecuente de la vejiga, y la vejiga es el cáncer más frecuente de todo el sistema urinario.
Aparece con más frecuencia en varones blancos, con una incidencia máxima entre los 60 – 70 años. La vejiga es el sitio de afectación más frecuente de los carcinomas de células transicionales, 50 veces más frecuentes que en la pelvis renal y 100 veces más frecuentes que en el uréter. Otros subtipos son los escamosos y adenocarcinomas.
Sin embargo, aunque hemos dicho que el tipo transicional es el más frecuente, se ha descubierto que hasta el 25% de los trumores considerados como de transicionales contienen áreas con otras variantes histológicas, lo cual confiere un peor pronóstico.
Factores de riesgo:
El principal es el tabaco. Otros son debidos a factores ocupacionales, aminas aromáticas (industria textil, caucho, colorantes, petroquímica), medicaciones (ciclofosfamida, fenacetinas) o la inflamación crónica del tracto urinario inferior.
En algunas series estudiadas, constituye el cáncer de mayor coste económico, ya que los pacientes vivien muchos años desde el diagnóstico y requieren un seguimiento y tratamientos para el resto de sus vidas.
Síntomas:
La mayoría de tumores de vejiga presentan micro o macro hematuria (pero no todas las hematurias son cáncer de vejiga). Tambíen pueden presentarse como síndrome cístico no justificado.
Un tumor de vejiga puede obstruir la unión vésico-ureteral o vésico-uretral, originando retención urinaria o hidroureteronefrosis con dolor como síntoma asociado.
En caso de metástasis o extensión tumoral, los síntomas pueden ser más inespecíficos como el malestar general.
Clasificación:
- No invasivo (70 – 80%%) : con afectación de mucosa o mucosa y lámina propia.
- La mayoría son de tipo Papilar (70%) con crecimiento endocavitario.
- Carcinoma in situ (Cis) (30%): es un cáncer aplanado con displasia grave que tiene un riesgo alto de progresión infiltrante y recurrencia.
- Invasivo (20 – 30%%) : con extensión hasta el músculo detrusor o más profundo.
Los tumores T1 invaden la lamina propia, por ello se denominan tumores no músculo-invasivos. Sin embargo, pueden evolucionar hacia invasivos, especialmente los de tipo aplanados y el subtipo Cis. Los tumores T2 son aquellos que invaden las capas superficial (T2a) y profundas del músculo (T2b). Los tumores T3 pueden extenderse micro (T3a) o macroscópicamente (T3b) por toda la pared e invadir la grasa y los tumores T4 son aquellos que invaden órganos vecinos o la pared pélvica.
Tratamiento:
Los tumores no musculo-invasivos suelen resecarse con endoscopia junto con tratamiento suplementario de inmunoterapia intravesical (bacilo de Calmette-Guérin) o quimioterapia (mitomicina o gemcitabina). Sin embargo, a pesar de que la respuesta inicial es buena, la mayoría desarrollan recurrencias (70%), algunos de los cuales serán invasivos (10 – 20%), motivo por el cual necesitan un seguimiento estricto. Los tumores invasores son tratados con cistectomía radical y linfadenectomía, aunque a pesar de este tratamiento tan agresivo, muchos pacientes desarrollan recurrencias y metástasis en los tres primeros años.
DIAGNÓSTICO POR IMAGEN.
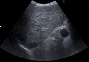
- Ecografía: es una herramienta accesible y se puede usar para una primera valoración de la hematuria. Sin embargo, tiene una sensibilidad del 80% y es poco útil para el diagnóstico de tumores del tracto superior.
- Urografía intravenosa (UIV): capaz de detectar la presencia de un tumor hasta en el 60% de los casos, puede sugerir el diagnóstico de tumor por la presencia de defectos de repleción, rigidez o falta de distensión de la vejiga, obstrucción de un uréter o el desplazamiento de la vejiga.
- Pielografía retrógrada: puede usare en caso de dudas. Requiere anestesia, por lo que en caso del que el diangóstico de tumor vesical sea firme, puede esperarse y realizarse de manera intraoperatoria.
- Citologías: prueba muy eficiente a realizar en pacientes con hematuria asintomática o con alta sospecha de tumor vesical. Muy útil en el seguimiento del paciente.
- Cistoscopia: se introduce un pequeño endoscopio hasta la vejiga y se llena de líquido. Así podremos valorar el órgano y en caso de encontrar alguna lesión sugestiva de patología, podremos tomar una biopsia. Hasta un 10% de los pacientes con citologías positivas, no presentan hallazgos en cistocopia debido a Cis, tumor de vías altas, carcinoma ductal de próstata o falso positivo (por inlamación de la pared vesical o pacientes con tto de QT/RT).
- Urografía con TCMD: la urografía mediante TC multidetector ha emergido como herramienta fundamental en el estudio de la vejiga. (Ver más abajo).
- RM: es superior a otros modalidades para el estadiaje local del tumor y puede servirnos para diferenciar tumores en estadio T1 ó estadio T2.
- T1: isointenso comparado con el músculo.
- T2: discretamente hiperintenso comparado con el músculo.
- T1 con contraste (gadolinio): realce hiperintenso.
UROGRAFÍA – TCMD:
En series de estudio se ha estimado una sensibilidad, especificidad, VPP y VPN del 93%, 99%, 98% y 97% respectivamente. Se realiza añadiendo cortes finos, con una fase excretora, una buena hidratación del paciente y con el uso de diuréticos para conseguir una buena dilatación de la vejiga y una adecuada opacifiación de la misma.
Se debe jugar con las ventanas, usar amplias y estrechas , con el fin de maximizar la búsqueda de defectos de repleción. Se debería incluir el estudio de imágenes en axial y coronal, ya que algunas lesiones son más evidentes en una orientación que en otra.
Protocolo:
- ORAL: AGUA (mínimo de 500 a 1000cc).
- CIV: Suero Fisiológico (250 a 300cc) + 5 mg Furosemida + 120cc contraste.
- Esperar 6 – 8 minutos.
- Estudio TC tardío Riñón – Pubis.
- Si bolsa de ileostomía para orina no se usará diurético.
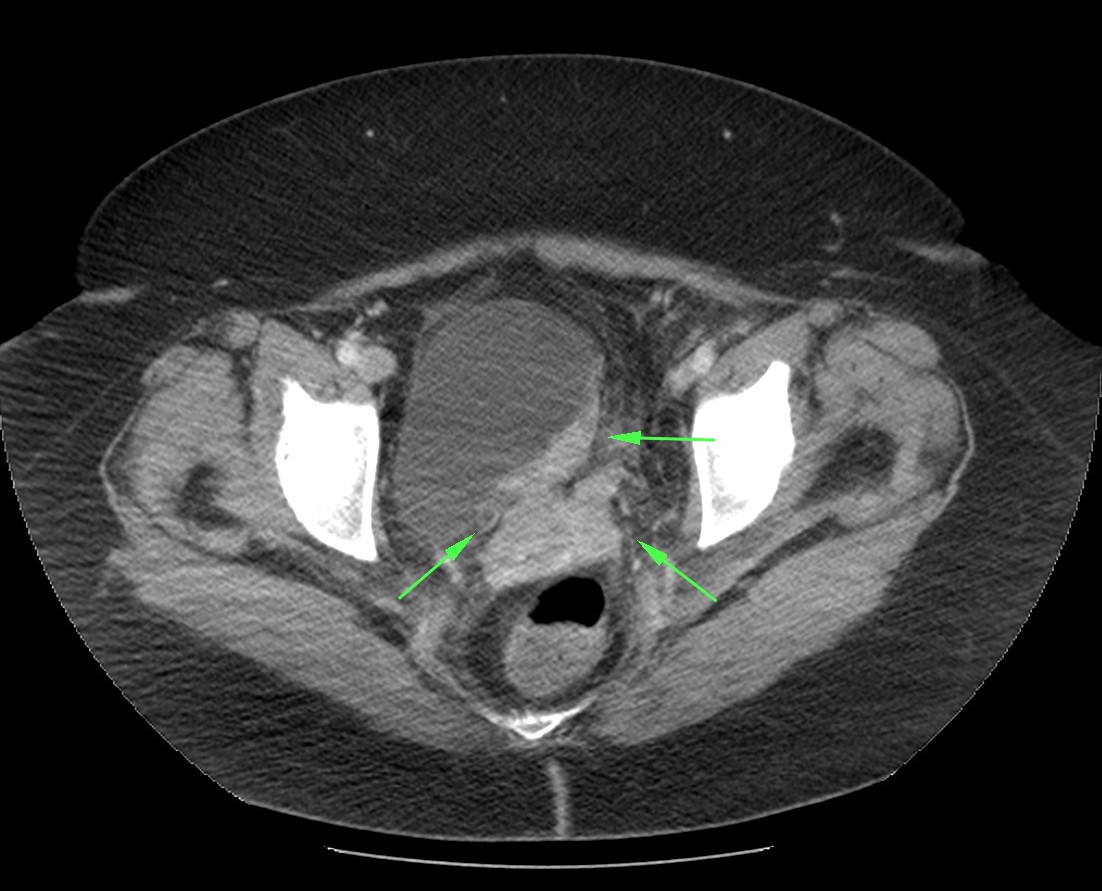
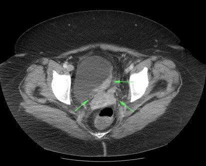
Apariencia de las neoplasias de la vejiga:

- Masas focales y Defectos de repleción.



El engrosamiento difuso de la vejiga suele deberse a entidades benignas como la cistitis, obstucción o vejiga neurógena; muy raramente corresponden a cáncer.
Los tumores < 1 cm pueden pasar desapercibidos, por que el uso de una urografía TC no debe excluir la necesidad de realizar una cistoscopia en pacientes con hematuria y alto riesgo.
Podemos concluir diciendo que la urografía TC es una técnica fiable para la detección del cáncer de vejiga y en la valoración de rutina del paciente con hematuria macroscópica. La detección de una lesión sugestiva de tumor puede omitir la realización de la cistosocopia, biopsia o resección transuretral. Si la prueba muestra una vejiga normal, podía evitarse la realización de la cistoscopia en pacientes con bajo riesgo de padecer cáncer, aunque esto aún no se recoge en las guías de práctica clínica.
ALTERNATIVAS:
- Realce temprano por TC con contraste y cortes finos: algunos autores defienden que también habría que examinar la vejiga mediante la obtención de imágenes en una fase previa (60 -80 seg.) tras la inyección de contraste ya que el cáncer de vejiga muestra un realce precoz que es mayor que el de la pared vesical normal. Además de la fase excretora, esta fase precoz es una herrmienta útil que podemos usar, si bien no de manera sistemática, por lo menos ante determinados casos según cuando el riesgo clínico es elevado o tenemos hallazgos en otras pruebas, como una ecografía, los cuales podríamos analizar de una manera más dirigida.
- La cistoscopia vitual por TC está surgiendo con resultados cada vez mejores y con la ventaja de ser una técnica no invasiva. Sin embargo, mejoras técnicas y estudios con series mayores son necesarios ya que los resultados son inferiores a la urografía TC convencional.
LIMITACIONES:
- Lesiones pequeñas no son diagnósticadas a pesar de la técnica empleada. Además, aunque los tumores papilares proyectan sobre la luz vesical, los tumores planos son más dificiles ya que pueden no producir defecto de repleción ni relace de pared significativo que nos permita su diagnóstico.
- Localizaciones conflictivas como la proximidad de la uretra o la próstata pueden hacer que sea muy difícil o imposible distinguir un proceso neoplásico vesical en dichas zonas vecinas.
- Áreas tratadas a menudo desarrollan encogrosamientos y cicatrices que nos dificultan el diagnóstico y pueden hacernos incurrir en un falso positivo. Las detecciones de recurrencia en estos pacientes puede ser muy dificil, incluso con cistoscopia. En estos pacientes, cuando se realiza TC, la vejiga puede presentar un engrosamiento de pared asimétrico e incluso áreas con realce que simulan un resto tumoral o recurrencia.
EXTENSIÓN:
Estadíos:

- T1: Invaden la lamina propia.
- T2: Invaden las capas superficiales del músculo.
- T2b: Invaden las capas profundas del músculo.
- T3a: Extensión perivesical microscópica.
- T3b: Extensión macroscópica.
- T4: Invaden órganos vecinos o la pared pélvica.
La realización de una uro-TC o un TC de vejiga tiene limitaciones a la hora de realizar la estadificación ya que no podemos distinguir el cáncer No músculo invasivo del que sí lo invade y, además, no podemos detectar mediante TC la invasión microscópica perivesicual del tumor que constituye el estadio T3a. La deteción de un tumor macroscópico (T3b) también puede ser problemática, solo son calramente visibles cuando la extensión es de tipo Bulky.
La extensión al tejido blando perivesical es un hallazgo no específico que puede ser debido a un tumor o al marcado edema, especialmente si la uro-TC se realiza en la primera semana post resección transuretral, ya que los cambios reactivos perivesicales son mayores en este periodo.


SEGUIMIENTO:
Los pacientes con cáncer de vejiga no músculo invasivo tiene alto riesgo de recidiva y progresión de la enfermedad, por tanto deben ser vigilados mediante cistoscopia, citología y estudios de vías superiores cada 1 – 2 años en ausencia de recurrencia. Los pacientes tratados de cáncer invasivo requieren pruebas inclusive con mayor frecuencia tras la cistectomía, ya que el objetivo es buscar metástasis no conocidas que pueden ocurrir en ausencia de síntomas.
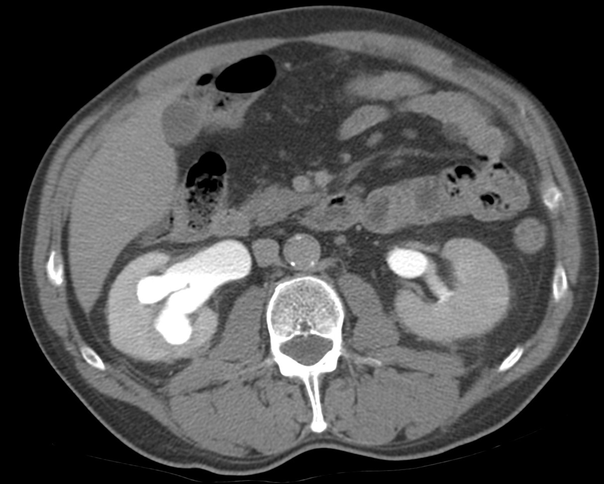
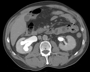
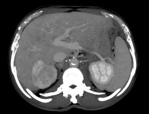
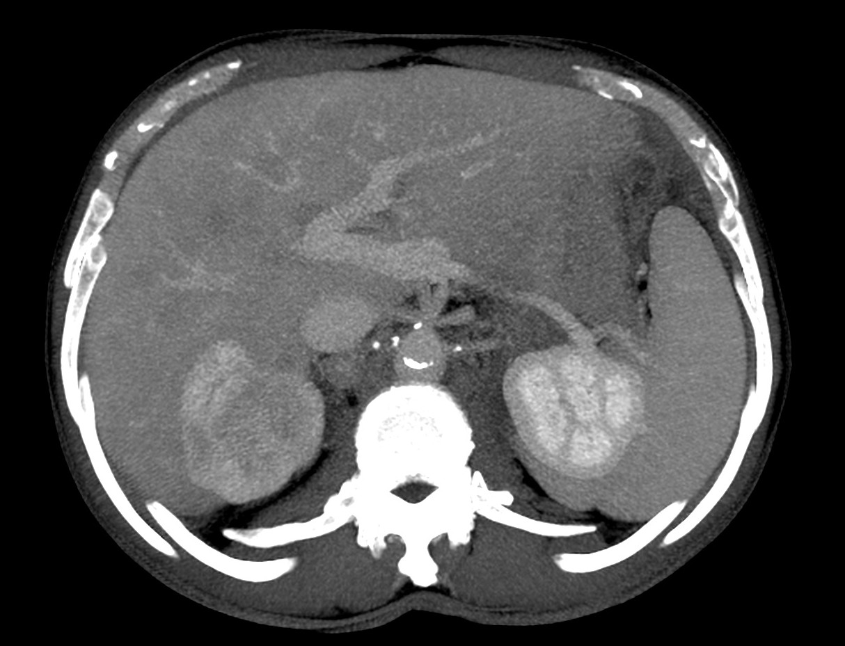
Las metástasis afectan el hígado, pulmones, glándulas adrenales, hueso, bazo, riñones y más raramente el peritoneo. Tumores metacrónicos del tracto superior se dan hasta en el 2-6% de las ocasiones. Una uro-Tc nos sirve para valorar al mismo tiempo la enfermdad metastásica y los tumores metacrónicos del tracto superior en los pacientes de cistectomizados de alto riespo.

OTRAS CONSIDERACIONES:
La radiación es como siempre un handicap para la práctica radiológíca. En pacientes jóvenes se están adoptando nuevas estrategias con las que conseguir un estudio eficiente con buena calidad de imagen y administración de poca radiación (Kemper et al. Multidetector CT urography: experimental analysis of radiation dose reduction in an animal model. Eur Radiol 2007; 17:2318–2324)
Otro problema a destacar es el coste de tiempo y esfuerzo que se invierte en estudiar y comparar las imágenes en los numerosos controles que se les realizan a estos pacientes. Para no perder sensibilidad en la detección de las lesiones se recomienda una práctica eficiente que consiste en dejar guardadas y revisar uno o dos sets de imágenes reconstruidas en vez de la totalidad de imágenes de los estudios anteriores.
CASO CLÍNICO: Recopilatoción.
Paciente de 59 años con antecedentes personales de Cá de vejiga.

Se le realiza una Uro-Tc por seguimiento al año, aunque en esta ocasión el paciente refiere episodio de hematuria.


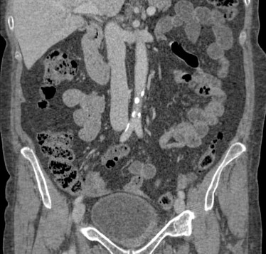
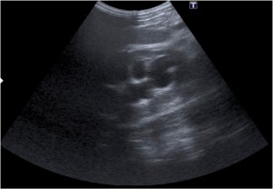
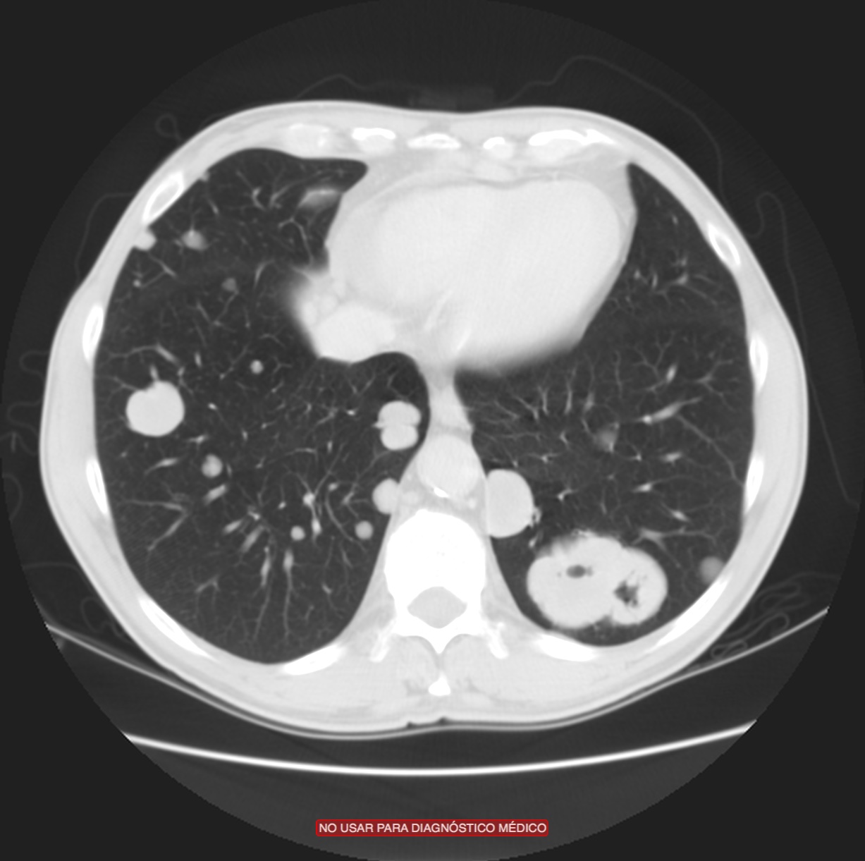
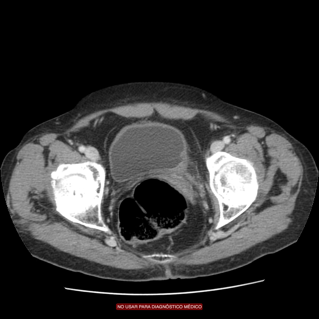
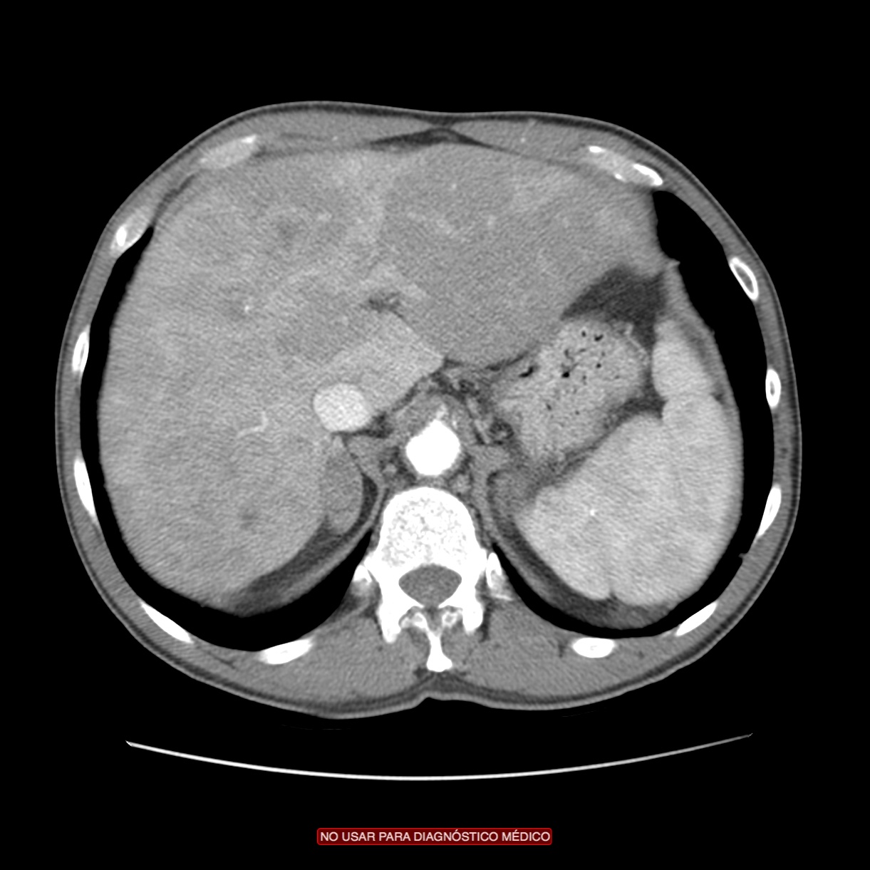
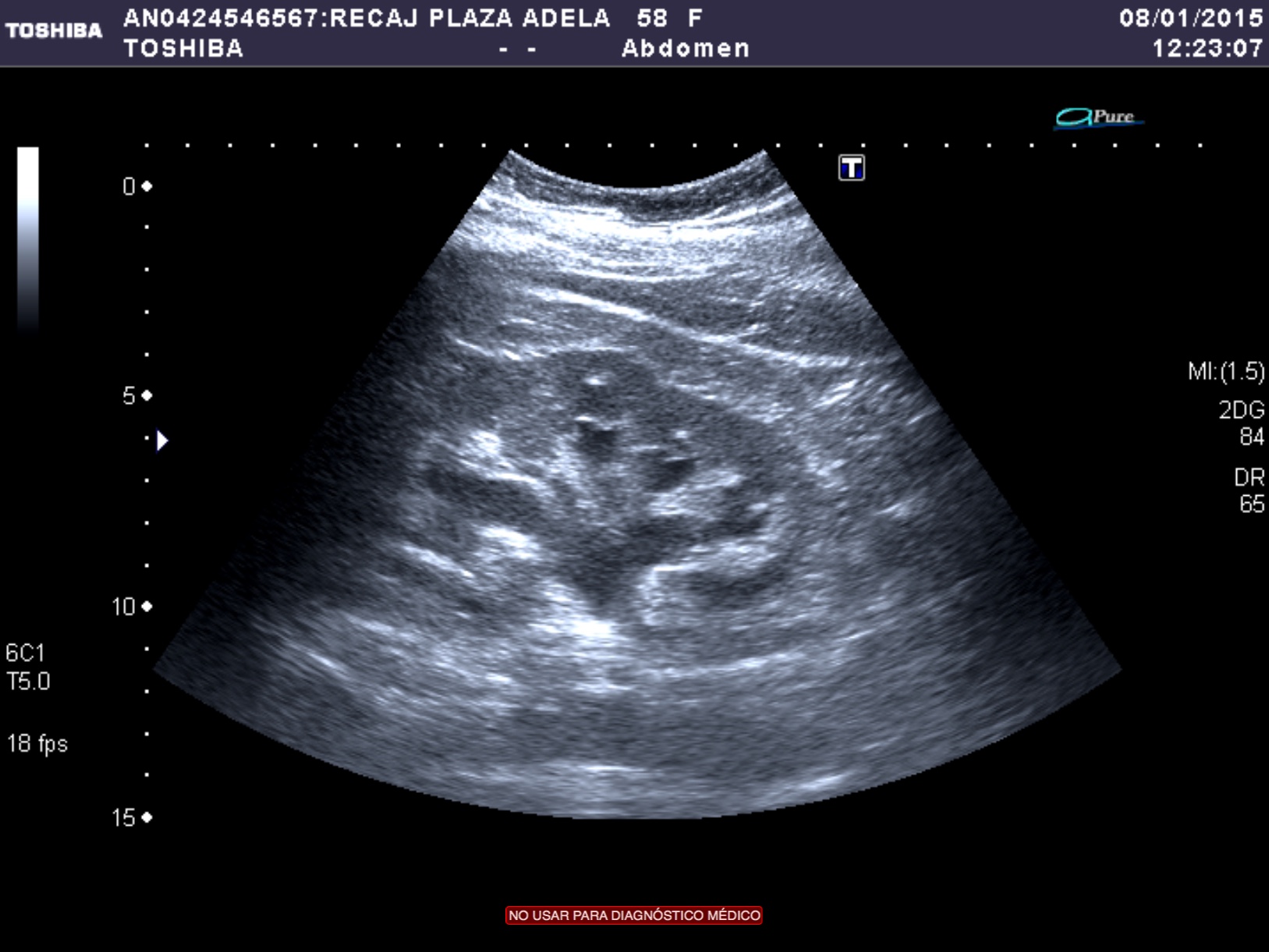
Tras el tratamiento de la recidiva y nefrostomía para la hidroureteronefrosis, vuelve acudir al hospital a los 9 meses por episodio de dolor en FD y malestar general. Se realiza una ecografía de urgencias.


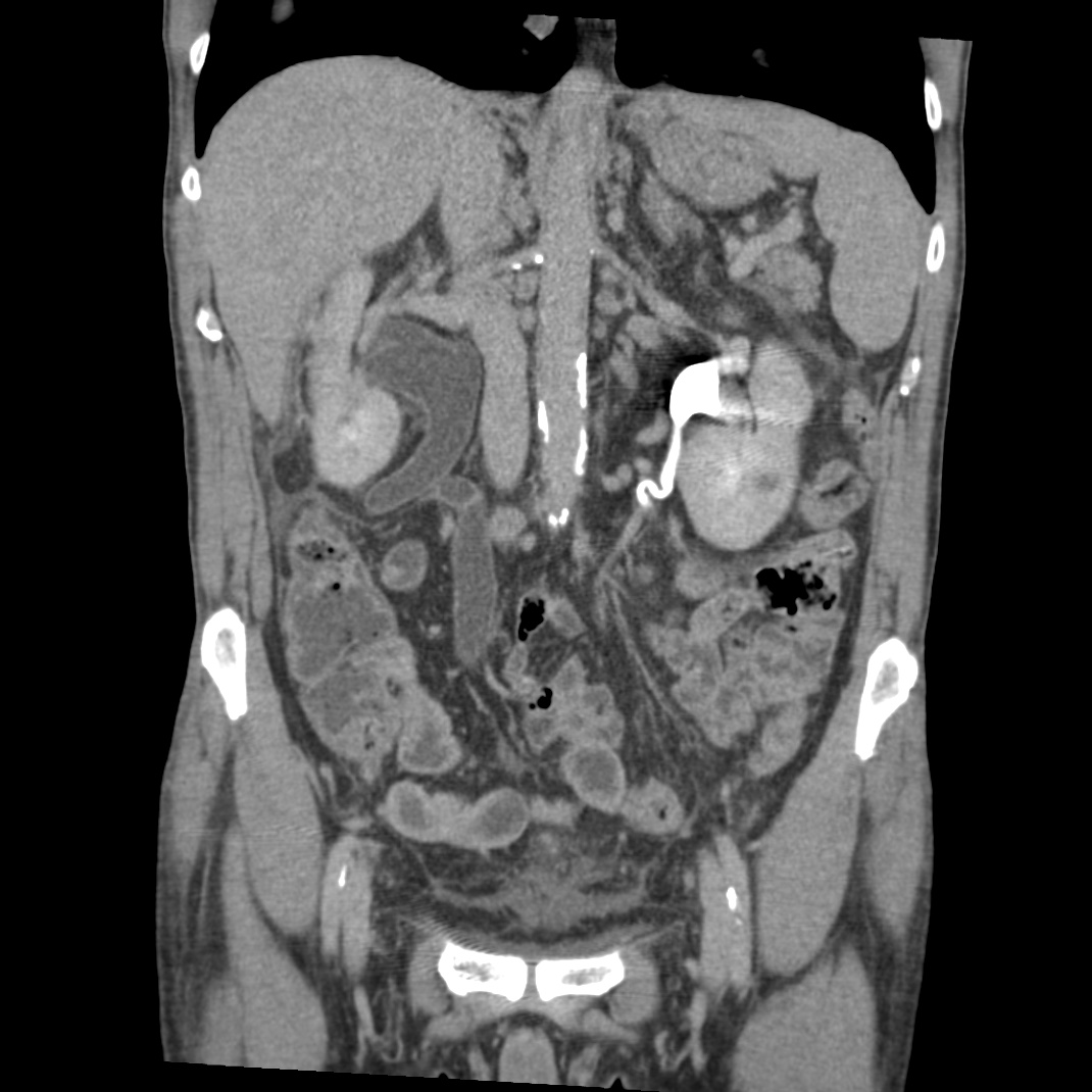
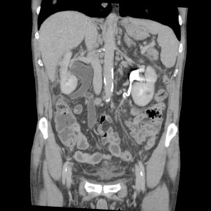
Se realiza nueva TC bifásico abdominopélvio y Uro TC.







CONCLUSIÓN:
- Paciente con numerosas recidivas por Cá vejiga.
- Ha desarrollado un tumor metacrónico en pelvis renal derecha, también responsable de la hidroureteronefrosis.
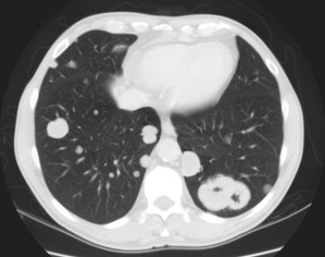
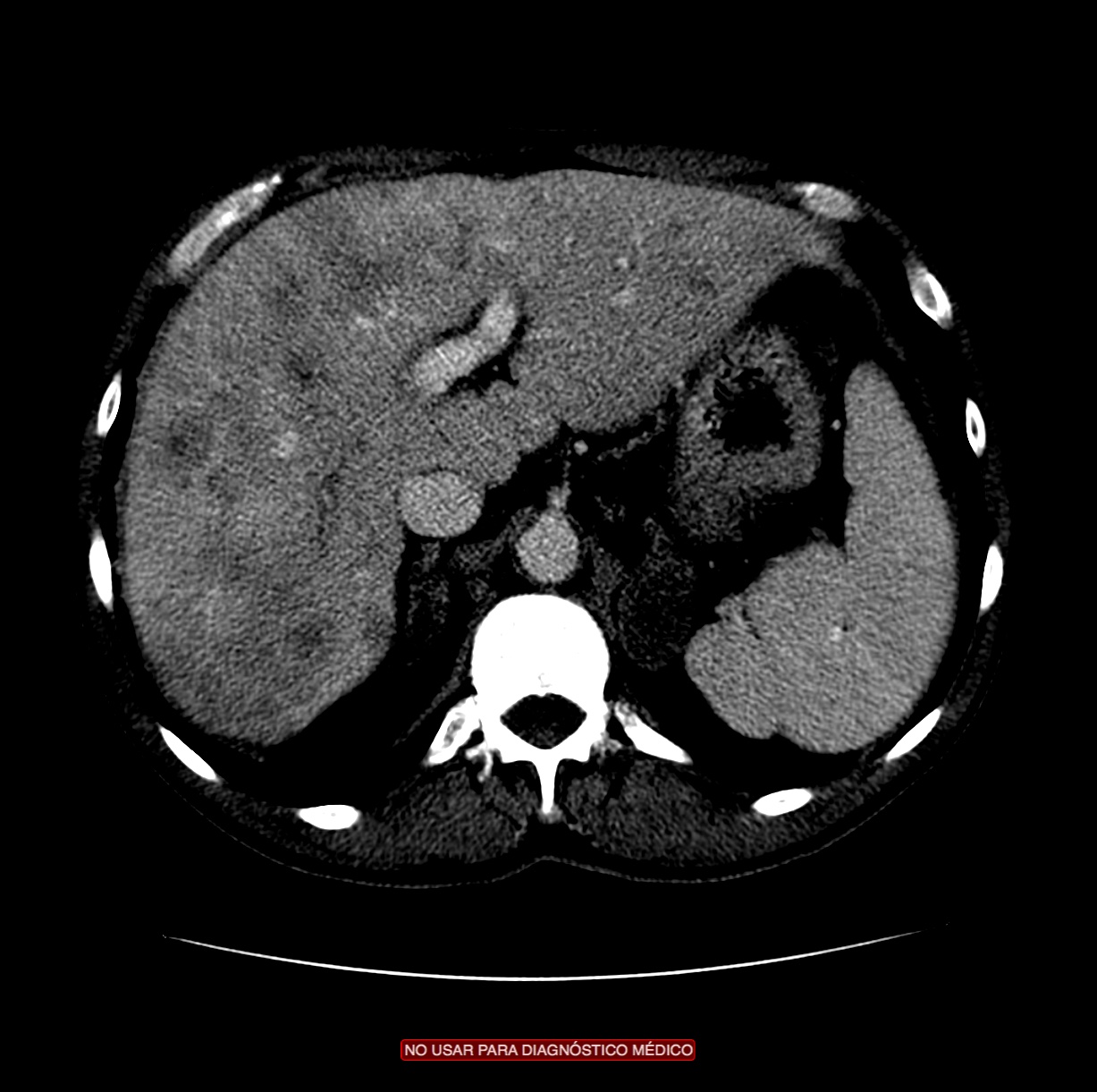
- Mala evolución radiológica del proceso a expensas de metástasis pulmonares y hepáticas.
Blibliografía:
Deja un comentario