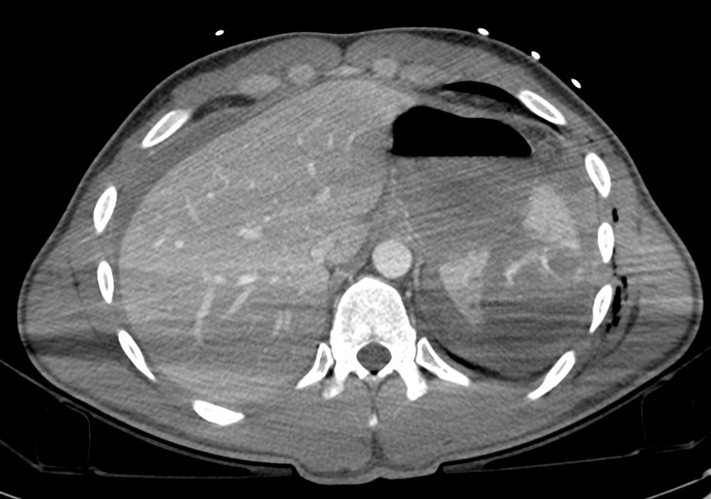
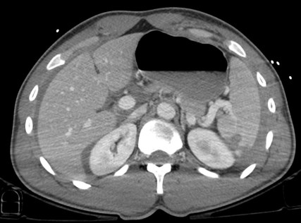
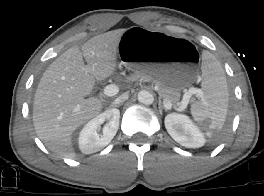
Varón jóven que acude a urgencias tras accidente de moto. Presenta dolor acusado en flanco izquierdo.
TA: 80 / 50 ; FC 110 lpm; Sat O2 93%.
Analítica: Discreta anemia.





Ante estos hallazgos, estamos ante un traumatismo esplénico grado III. Con la edad del paciente y los indicios de inestabilidad hemodinámica, se decidió tratamiento mediante embolización arterial.
TRAUMATISMO ESPLÉNICO:
El bazo corresponde ser la víscera con mayor afectación en el traumatismo abdominal contuso y penetrante, descritos según algunos autores hasta valores superiores al 49% del total de las afectaciones viscerales.
Puede ocurrir tras traumatismo contuso o penetrante y también por iatrogenia (ej: colonoscopia).
CLÍNICA:
- Dolor en flanco o hemitórax izquierdo
- Puede haber signo de hipotensión o Shock
TIPOS DE AFECTACIÓN:
- Laceración.
- Hematoma.
- Hemorragia activa.
- Pseudoaneurismas o Fistulas AV.
- Infartos (raro).
GRADOS:
Para la lesión Esplénica usamos la siguiente escala de la AAST:

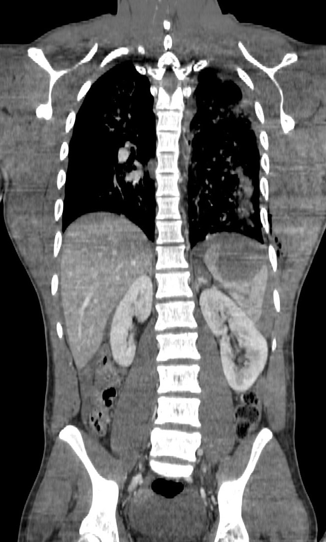
Puede asociar lesiones en otras estructuras u órganos intra abdominales:
- Hemidiafragma izquierdo.
- Lóbulo hepático izquierdo.
- Riñón izquierdo.
- Glándula adrenal izquierda.
- Cola pancreática.
DIAGNÓSTICO POR IMAGEN:
ECO: Debe realizarse para determinar la presencia de líquido libre. La ausencia de líquido libre no descarta lesión esplénica. La alteración de la ecoestructura y las áreas hipoecogenicas pueden indicar laceración y hematomas respectivamente.
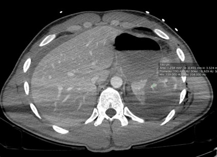
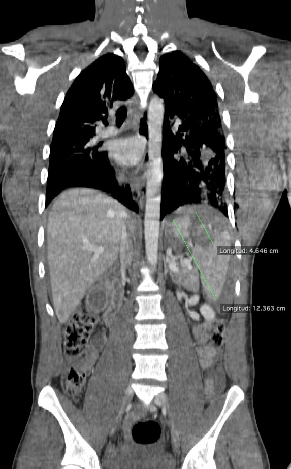
TC: Es la técnica de elección, nos permite establecer la graduación de la lesión esplénica así como descartar lesiones en otros orgános, retroperitoneo y pared abdominal. El desarrollo y uso de la TC ha permitido el tratamiento conservador de la lesiones espléncias, así como dotar de mayor información y seguridad a los cirujanos en el caso de ser necesaria una intervención quirúrgica.
Debe hacerse en fase dual, la fase portal detecta mejor el sangrado activo y las lesiones parenquimatosas como contusiones o laceraciones, mientras que la fase arterial es útil para diagnosticar lesiones vasculares como un seudoaneurisma o fístulas.
- Laceración: líneas hipodensas e irregulares.
- Hematomas: áreas hipodensas focales en el interior del parénquima realzado.
- Hematomas subcapsulares: areas de baja densidad de morfología elíptica entre la cápsula esplénica y el parénquima realzado, la cual produce una marca o efecto de masa en el margen esplénico. El sangrado libre en el peritoneo no produce este efecto.
- Hemorragía activa: áreas de alta densidad (80 – 95 UH) por extravasación de material de contraste que aumenta con el tiempo. Es un indicador de fallo del tratamiento conservador.
- Pseudoaneurismas y fístulas AV: tienen similar apariencia a la de una hemorragia, pero incrementan de tamaño con el tiempo y se lavan en fase portal.
- Hemoperitoneo: en posición supina, la sangre puede extenderse hacia pelvis menor. Antes, el volumen de hemoperitoneo se usaba como predictor de necesidad de cirugía en pacientes con traumatismo esplénico. Estudios recientes, demuestran el uso de tratamiento conservador en pacientes con grandes hemoperitoneos.
Mediante TC, se ha observado que la mitad de las lesiones esplénicas desaparecen en 6 semanas. Tras 3 meses, se observa remisión completa de todos los grados de lesión esplénica. Actualmente, el seguimiento mediante TC NO está recomendado.
TRATAMIENTO:
Si existe estabilidad hemodinámica el tratamiento es no quirúrgico. La embolización arterial esplénica se usa para lesiones esplénicas de consideración en pacientes estables, aunque cada vez más se usa también en casos de alto grado de lesión con inestabilidad hemodinámica.
- Requieren intervencionismo: pacientes con inestabilidad hemodinámica y Grado V
- Individualizar: Grado III y IV
- Grado I y II: conservador.
COMPLICACIONES:
Suelen producirse 48 horas después de un traumatismo en región esplénica:
- Ruptura tardía.
- Pseudoquistes
- Abscesos esplénicos.
- Pseudoaneurisma de la arteria esplénica.
Biblografía:
Splenic Trauma – Radiopaedia.org.
Afectaciones viscerales del traumatimo abdominal cerrado. Valoración por TC. SERAM 2012 / S – 1062.
Deja un comentario