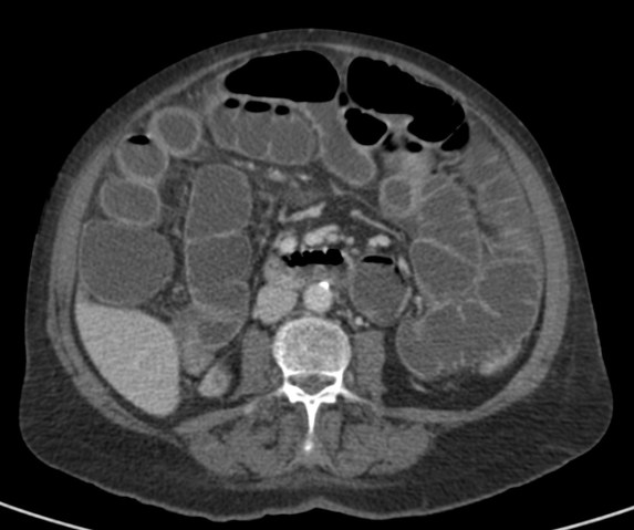
Paciente 89 años hospitalizada por dolor abdominal intenso y náuseas sin vómitos. El dolor es generalizado y no cede con tramadol.
A la exploración la barriga es blanda y depresible aunque empieza a defender en flanco derecho. No se observan masas ni megalias. Estreñimiento.
AP: Diabetes y dislipidemia. Insuficiencia cardiaca y HTA. Transplante renal hace 6 años.
TA: 80/60; FC 110 lpm; Sat O2 100%
Se realiza TC de abdomen en vacío y con contraste en fase portal:




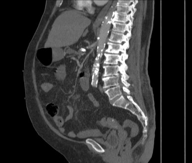
Estamos ante un cuadro de isquemia intestinal en un paciente con bajo gasto cardiaco con afectación principal de asas intestino delgado, territorio vacularizado por la arteria mesentérica superior.
ISQUEMIA AGUDA INTESTINAL:
Puede afectar al intestino delgado o grueso, ser segmentaria o difusa, parcial o transmural. Constituye así una patología muy amenazante en pacientes de edad avanzada. En los últimos años, el desarrollo de la ecografía Doppler y sobre todo de la TC han mejorado tanto el diagnóstico como el tratamiento de esta entidad, aunque sigue consitituyendo un desafío para el diagnóstico radiológico tanto por su manifestación clínica variable como por su elevada mortalidad.
RECUERDO DE ANATOMÍA Y FISIOLOGÍA:
El intestino delgado y grueso está vascularizado por tres arterias que irrigan diferentes regiones:
1º- Tronco celiaco: vasculariza desde el esófago distal hasta la 2ª porción duodenal o duodeno descendente. Se compone de:
- Arteria gástrica izquierda.
- Arteria hepática común (se divide luego en gastroduodenal y hepática propia).
- Arteria esplénica.
2º- Arteria mesentérica superior (AMS): desde 3ª porcion duodenal hasta el colon transverso y flexura esplénica. Mencionar que la arteria gastroduodenal (primera rama de la hepática común) forma una importante conexión con la AMS.
La AMS forma otras importantes anastomosis con la AMI: arteria marginal de Drummond y la arcada de Riolano.
3º- Arteria mesentérica inferior (AMI): desde la flexura esplénica del colon hasta el recto. Forma además conexiones con las ramas lumbares, las arterias sacras e iliacas internas.
Las venas mesentéricas superior (VMS) e inferior (VMI) discurren paralelas a sus arterias y drenan la sangren de los diferrentes territorios subsidarios. La VMI se vacía en la vena esplénica, la cual se une a la VMS para formar la vena porta. En su discurrir, las venas mesentéricas forman anastomosis y colaterales con otras venas desde las gástricas y esofágica hasta renales, lumbares y pélvicas.
En condiciones normales, el intestino recibe el 20% del gasto cardiaco, aumentado hata el 35% en la fase postprandial. En situaciones críticas, puede reducirse hasta el 10%. Los mecanismos de regulacion neurológicos y humorales del intestino funcionan de modo óptimo cuando la perfusión del mismo se sitúa en torno a 70mmHg. Cuando la presión baja de 40mmHg, como por ejemplo en una oclusión vascular, dichos sistemas dejan de funcionar correctamente por la hipoperfusión y se origina la isquemia.
La isquemia intestinal puede variar desde una afectación leve con necrosis de la mucosa y submucosa hasta una grave con afectación trasmural (necrosis de todas las capas de la pared intestinal). La afectación inicial isquémica, se ve luego empeorada por la respuesta inflamatoria activada por los diferentes mediadores humorales (citokinas, TNF, factor activador de plaquetas…). En caso de ruptura o perforación de la pared, la invasión de bacterias puede derivar en bacteriema y sepsis, situaciones que contribuyen a aumentar la necrosis de los diferentes segmentos de intestino afectado.
Aunque siempre se ha aceptado que esta situación crítica es debida a infartos transmurales, cada vez más estudios muestran evidencias de que también son posibles en isquemias parciales y localizadas. Por todo ello, se constata que estamos ante una enfermadad que supone un verdadero desafío radiológico.
ETIOLOGÍA:
La isquemia aguda intestinal puede ser debida a oclusiones de arterias y venas y también a cuadros no oclusivos con reducción de la perfusión intestinal.
Causas más frecuentes:
- La oclusión aguda de la AMS por trombosis o émbolos es responsable del 60-70% de los casos de isquemia aguda intestinal, procediendo los émbolos del VI en pacientes con FA.
- Los cuadros no oclusivos constituyen el 20-30% de los casos. Pueden ocurrir en pacientes estado shock o pérdida de sangre por redistribución de la circulación sanguínea, pero también puede acontecer en pacientes con feocromocitoma, Sd de disautonomia familiar, atletas (deshidratación + estrés). Suele afectar al colon izquierdo, aunque esto es variable.
- La trombosis de la VMS suponen el 5 – 10% aprox.
Oclusión arterial:
La oclusión aguda de la AMS por trombosis o émbolos es responsable del 60-70% de los casos de isquemia aguda intestinal, procediendo los émbolos del VI en pacientes con FA.
La trombosis aguda de las arterias mesentéricas es menos frecuente que la embolia pero su pronóstico es más grave. Se asocia con placas de ateromas calcificadas. La oclusión de origen embólico de las arterias mesentéricas tiene un peor pronóstico, ya que el territorio afectado (intestino delgado y colon derecho) es mayor.
Existen otras muchas causas (ver tabla) que pueden producir oclusión arterial, como por ejemplo las vasculitis y el sindrome antifosfolípido.
Las oclusiones aisladas proximales, tanto en arterias como en venas, pueden ser bien compensadas por el desarrollo de ramas colaterales, sin embargo, si son distales tienen peor pronóstico por provocar mayor daño isquémico (oclusión arterial) e infartos hemorrágicos de la pared intestinal (oclusión venosa).


Oclusión venosa mesentérica
La trombosis venosa mesentérica es más infrecuente y representa el 5 – 10 % de todos los casos de isquemia intestinal aguda. Las oclusiones de las venas mesentéricas pueden ser primarias o secundarias (inflamación, neoplasia, hipercoagulabilidad como embarazo o uso de anticonceptivos orales). Tienen mejor pronóstico que las de causa arterial.
La trombosis venosa mesentérica proximal aislada no suele dar lugar a isquemia intestinal grave debido a la red que extiende entre venas mesentéricas y sistémicas. Por el contrario , la trombosis de venas mesentéricas más distales , puede conducir a infarto hemorrágico grave de la pared intestinal.
La isquemia por oclusión debido a trombosis venosa mesentérica primaria es rara comparada con las que ocurren en las arterias.
Isquemia mesentérica no oclusiva o por bajo gasto:
La isquemia aguda en el intestino también puede ser causada por la reducción no oclusiva del suministro sanguíneo mesentérico (20 – 30 % de todos los casos).
Si la presión arterial sistémica disminuye de forma brusca en un paciente con shock séptico hemorrágico o cardiogénico, a continuación, los mecanismos de regulación sistémicos se encargan de reducir la perfusión intestinal preservando el suministro de sangre al cerebro, el corazón y los músculos . Como consecuencia , la perfusión intestinal disminuirá dramáticamente produciéndose la isquemia intestinal no oclusiva.



Flecha roja: colateral que repermeabiliza la AMS.

Otras estiologías:
Hay que tener en cuenta la obstrucción intestinal, la cual puede complicarse y producir una isquemia intestinal causada principalmente por el compromiso de la circulación venosa tanto por compresión, debida a la estrangulación de las venas, como por una trombosis sobreañadida. Esto puede verse en hernias estranguladas, vólvulos o invaginaciones. La sobredistensión existente en el asa pre-estenótica también puede producier isquemia. Son frecuentes en el colon, raras en el intestino delgado.
En el contexto de la inflamación que producen enfermedades como la pancreatitis, apendicitis, diverticulitis o peritonitis puede desarrollarse también una isquemia intestinal. En la pancreatitis, la isquemia suele afectar al colon transverso o las flexuras hepática y esplénica.
Existen otras muchas causas de isquemia intestinal: arterioesclerosis, traumatismo, cáncer, radiación, inmunoterapia, fármacos, drogas (cocaína, heroína), etc.



PATOGÉNESIS:
- ESTADIO I: afectación de la mucosa (necrosis, erosiones/úlceras, hemorragia). La lesión limitada a la mucosa se cura completamente.
- ESTADIO II: submucosa y muscular. Los cambios reparativos locales pueden producir estenosis fibróticas.
- ESTADIO III: afectación transmural (hasta la serosa – alta mortalidad). No es reversible, aquí ya se ha producido necrosis de toda la pared y por tanto infarto intestinal. Se asocia a una alta tasa de mortalidad y requiere una intervención quirúrgica inmediata
NOTA: Cuando existe necrosis mural, observaremos edema y/o hemorragia. En la isquemia intestinal ocasionada por oclusión venosa, el edema y la hemorragia intramural así como el edema de la grasa mesentérica, serán más marcados que las oclusiones arteriales, debido a la congestión venosa que existe.
TOMOGRAFÍA COMPUTARIZADA.
PREPARACIÓN Y TÉCNICA:
- TC abdomen-pelvis SIN y CON contraste IV (fases arterial y venosa) mediante protocolo de angio-TC con técnica de optimización SmartPrev en aorta abdominal.
- 100-120 ml CC yodado – Velocidad: 2-4 ml/s.
- La administración de contraste oral (agua) mejoraría la visualización del realce de la pared intestinal tras la administración de contraste IV, además de no alterar la calidad de imagen en las reconstrucciones posteriores en la estación de trabajo; si bien, las condiciones clínicas del enfermo no permiten la ingesta oral en la mayoría de casos.
- Usar escáneres TC multidetector con una colimación de 0,5 a 2,5 mm y un pitch de 1,0-2,0. Cortes finos (de 1-2 mm): serán de gran utilidad para realizar reconstrucciones.
- Las imágenes sagitales son útiles para evaluar el origen de las arterias mesentéricas y sus variaciones.
La adquisición SIN contraste es muy importante para el diangóstico de signos como la neumatosis intesinal o la perforación, además de que es muy útil para distinguir una hemorragia intramural de una hiperemia o hiperperfusión de pared (ver más adelante en Hallazgos TC).
La adquisión en fase dual con contraste es esencial, sin embargo muchos pacientes presentan fallo o renal o alteraciones electrolíticas. Por ello, la realización de la TC depende del estado clínico de cada enfermo. La fase arterial es muy importante, sin embargo la alta calidad de la fase portal puede ser suficiente para mostrar oclusiones de las arterias mesentéricas, además de aportar la fase venosa que nos permite estudiar no solo las venas, sino también descartar perforación, absceso, peritonitis así como otras causas de abdomen agudo.
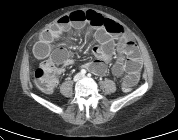
HALLAZGOS:
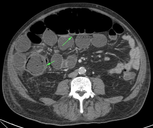
1º) – Engrosamiento de la pared intestinal:
La pared normal mide entre 3 y 5 mm. El engrosamiento es el hallazgo más observado en la isquemia mesentérica, pero también es el más inespecífico. Se produce por edema mural, hemorragia o sobreinfección de la pared intestinal.
Este hallazgo es más acusado en la colitis isquémica y la isquemia mesetérica reversible. En caso de infarto transmural (no reversible), puede existir un adelgadzamiento de la pared intestinal («paper thin wall») lo cual es debido a la pérdida de tono muscular y de volumen de los vasos parietales. En asas sobredistendidas, grosores de 3 mm pueden ser significativos de isquemía. En contracciones espásticas del colon, puede exitir más de 5 mm de grosor.
Por ello, confirmarmos que el engrosamiento mural es un signo poco específico y correlaciona mal con el grado de severidad.

3º) – Dilatación:
Es inespecífico y se produce por la interrupción del peristaltismo normal del intestino, normalmente se da en casos de afectaciónirreversible, ya que un asa aún viable tiene puede sufrir contracciones espásticas. La distensión de las asas con contenido líquido (niveles líquido – aire) se produce por el aumento de las secreciones intestinales, por lo general en la isquemia venooclusiva y en la obstrucción intestinal. En la isquemia por oclusión arterial, el intestino rara vez contiene una gran cantidad de líquido.


3º) -Atenuación:
TC sin contraste: la pared hipodensa indica edema de pared. La pared hiperdensa es causada por hemorragia intramural.
TC con contraste: el realce de contraste ausente o disminuido de la pared es un hallazgo muy específico de isquemia (aunque no sensible) e indica infarto intestinal (no reversible).
Otro signo de isquemia es el halo o apariencia de diana de la pared. Se produce por la hiperemia y la hiperperfusión asociado con edema mural.
Tambien se puede observar aumento de realce de la pared por aumento de la presión venosa capilar e ingurgitación venosa. Es un signo precoz de isquemia e indica reversibilidad.


4º) – Congestión mesentérica y Ascitis:
Son hallazgos inespecíficos. El edema mesentérico y la ascitis aparecen por el trasudado de líquido en el mesenterio o en la cavidad peritoneal causada por la elevación de la presión venosa mesentérica (se suele ver en la obstrucción estrangulante intestinal y en la trombosis venosa). La infiltración de la grasa únicamente aparece una vez que ha ocurrido el infarto transmural, por lo que este hallazgo puede ser útil en la estimación de la gravedad de la isquemia intestinal .
La congestión de las venas mesentéricas ocasionada por la congestión del flujo venoso se ve normalmente en la isquemia por oclusión venosa y en la obstrucción intestinal por estrangulación

5º) Neumatosis intestinal y portal. Aire extraluminal.
Son signos poco frecuentes pero muy específicos de isquemia intestinal, E cercana al 100%. Se obsevan mejor en el TC SIN contraste.
La neumatosis intestinal consiste en aire localizado en la pared del intestino. Se produce por discontinuidad de la pared con paso de aire hacia las capas más externas y a las venas intramurales.
La presencia de neumatosis portal y mesentérica consiste en pequeñas burbujas de gas dentro de los vasos mesentéricos o que también pueden extenderse hacia las ramas intrahepáticas de la vena porta, encontrándose típicamente en la periferia del hígado.



CONCLUSIONES:
- La isquemia intestinal aguda es una urgencia vital que constituye un verdadero reto radiológico
- La TC abdominal con contraste intravenoso es la prueba de elección. Debe realizarse al menos en dos fases (arterial y venosa), debido a que las causas que pueden producir la isquemia intestinal pueden ser de los dos tipos.
- Los signos de la TC abdominal son de gran utilitidad para su diagnostico. Incluyen: engrosamiento mural, distensión de asas, alteraciones de la atenuación, congestión mesentérica, asicitis y aire extraluminal.
Bibliografía:
Walter Wiesner et al. CT of Acute Bowel Ischemia. Radiology 2003;226:635–650.
Angio TC de aorta en el diagnóstico de la isquemia mesentérica aguda – SERAM2014.
CT Diagnosis of Acute Mesenteric Ischemia from Various Causes. AJR 2009; 192:408–416



Deja un comentario