El escroto agudo se define como una inflamación dolorosa del escroto y consitituye una entidad frecuente en las urgencias hospitalarias. Existen numerosas patologías a tener en cuenta:
- Torsión testicular.
- Infección.
- Traumatismo.
- Hernia incarcerada.
- Infarto.
- Hemorragía.
- Vaculitis.
- Complicación tras cirugía.
Las causas más frecuentes de escroto agudo son la torsión (más común en niños) y la infección (más común en adultos). La ecografía es la técnica de elección para valorar el escroto agudo, siendo un herramienta fundamental para complementar la historia y exploración clínica.
ANATOMÍA:
El escroto está dividido por un septo medial, cada mitad contiene un testículo.

1). La pared escrotal se compone de:
- Piel.
- Fascia superficial.
- Músculo de Dartos.
- Fascia espermática externa.
- Fascia cremastérica.
- Fascia espermática interna.
2). Túnica albugínea y Túnica vaginalis: La túnica albugínea, cubierta por la vaginalis, consiste una capa parietal (adherida al escroto) y visceral (adherida al testículo y epidídimo) separadas por unos pocos milímetros de líquido. La túnica vaginalis cubre el testículo y el epidídimo excpeto en una pequeña área posterior. Esta área o aspecto posterior si está cubierta por la albugínea, donde existen algunas células muculares lisas que sirven para transportar los espermatozoides desde el rete testis al epidídimo.
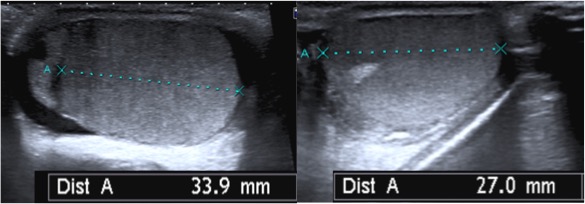
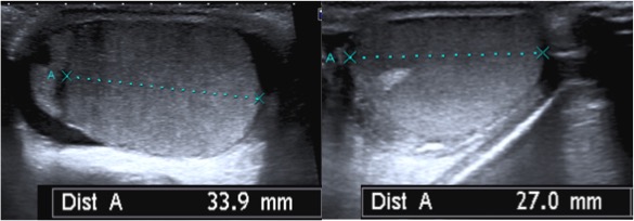
3) Tamaño testicular: Depende de la edad y estadío del desarrollo sexual.
- Nacimiento: 1.5 x 1 cm.
- A los 12 años: 1- 2 cc.
- Pubertad: 4 cc. (5 x 3 x 2 cm aprox.)
4). La superficie posterior de la túnica albugínea se proyecta al interior del testículo y forma un septo incompleto que denominamos mediatino. Desde el mediastino, se extienden numerosas fibras que forman lóbulos que contienen los túbulos seminíferos que van hasta los túbulos rectos que conectan con el Rete Testis que está embebido en el mediastino. Las células de Lyding que producen la testosterona se encuentran en dicho túbulos seminíferos.
5) El Rete Testis comunica con el Epidídimo mediante 10 – 15 ductos eferentes. El epidídimo se compone de cabeza (globus mayor), cuerpo y cola, de donde sale el conducto deferente discurre por el cordón espermático.
6) Los apendices testicular y el epididimario son los más frecuentes y visibles en ecografía, constituyen remantes embriogénicos. El apéndice testicular es remanente del conducto de Muller, es tejido fibroso, vascularizado y está unido al polo superior, entre el testículo y la cabeza del epidídimo. El apéndice epididimario está unido a la cabeza del epididimo y suele ser unilateral. Ambos apéndices suele verse cuando hay hidrocele, el apéndice testicular suele medir 5 mm y es isoecogénico con respecto al testículo, a veces quístico. El apéndice epididimario suele tener las mimas dismensiones y ecogenicidad, aunque es más pedunculado.
7) El cordón espermático comienza en anillo inguinal profundo y desciende verticual hasta el escroto. Está formado por la vía deferente, arteria testicular, arteria cremastérica, arteria deferente, plexo pampiniforme, nervio genitofemoral y vasos linfáticos.
TÉCNICA Y HALLAZGOS NORMALES:
Como en otros órganos superficiales debe usarse una sonda de alta frecuencia (7.5-15 Mhz) con transductor lineal. En caso de importante edema escrotal pueden requerirse sondas de frecuencia más baja.
Protocolo de examen escrotal mediante ultrasonidos:
- El paciente es examinado en decúbito supino.
- Elevar el escroto con una toalla sobre los muslos o con la mano del examinador. El pene es inmovilizado por el paciente sobre su abdomen.
- Antes del examen rutinario deben explorarse las posibles lesiones palpadas por el paciente.
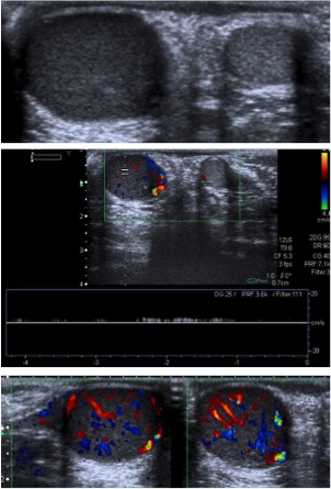
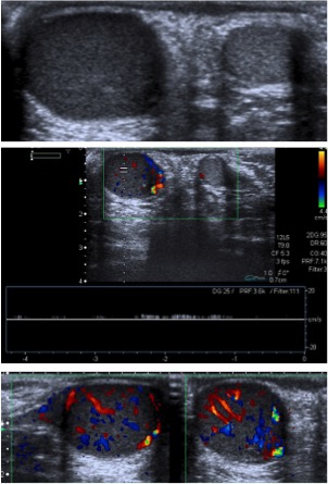
- Exploración en dos planos, transversal y sagital de ambos testículos, comparando cada testículo con el contralateral en cuanto a su forma, tamaño, ecogenicidad y señal doppler color. Evaluar posibles cambios en la piel.
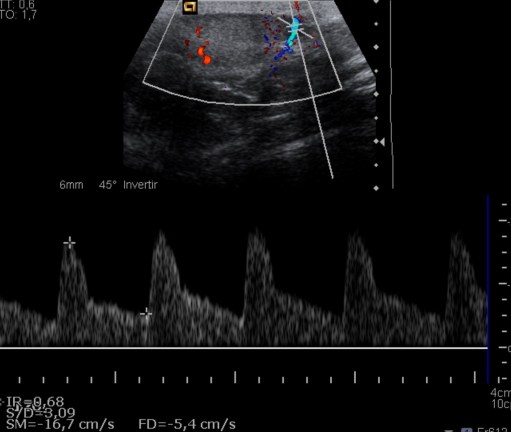
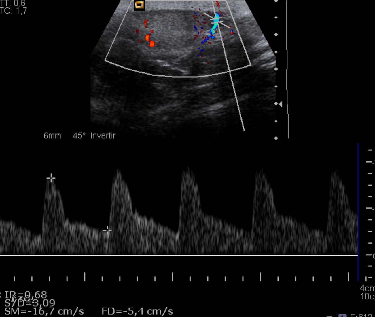
- El Doppler color y Doppler pulsado deben estar ajustados con parámetros de baja velocidad de flujo para así poder demostrar flujo en los testículos y estructuras escrotales adyacentes. El Power Doppler es otra herramienta de gran utilidad ya que tiene mayor sensiblidad para demostrar tales flujos y es independiente de la angulación Doppler. El testículo del lado asintomático nos ha de servir a la hora ajustar la escala de grises y la ganancia del Doppler color y comparar con el testículo afecto.

Hallazgos normales:
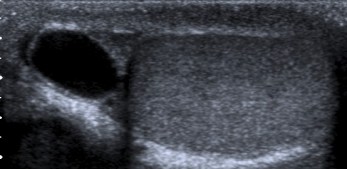
- Ecoestructura homogénea granular similar al tiroides. Los septos testiculares se visualizan como líneas hipoecogénicas y el mediastino como una línea hiperecogénica
- La túnica vaginalis aparece como una línea ecogénica alrededor del testículo.
- El epidídimo se muestra como una estructura isoecogénica con el testículo que recorre su borde posterior, distinguiéndose cabeza, cuerpo y cola.
- Tamaño testicular: Depende de la edad y estadío del desarrollo sexual.
- Nacimiento: 1.5 x 1 cm.
- A los 12 años: 1- 2 cc.
- Pubertad: 4 cc. (5 x 3 x 2 cm aprox.)
- El examen doppler de las arterias muestra un patrón de baja resistencia en arterias intratesticulares con patrón de baja resistencia con un IR medio de 0,68 (0,48 – 0,75). Sin embargo, esto no es cierto para testículos inferiores a 4cc como en los prepúberes, donde el flujo diastólico puede no ser detectado.
TORSIÓN TESTICULAR:
Diferenciar una torsión de una infección testicular constituye una emergencia clínica.
Dependiendo del grado, la torsión puede desarrollarse en un corto periodo de tiempo y requiere un tratamiento precoz. El poder o no salvar un testiculo torsionado depende de dos factores:
- Duración de la isquemia: la detorsión es prácticamente 100% efectiva si se produce en las 6 primeras horas tras el inicio de los síntomas, 70% efectiva entre las 6 – 12 horas y 20% efectiva entre las 12 – 24 horas.
- Grado de torsión: entre 180º y 72º o más. Un bajo gardo de torsión ocasionará infarto testicular en un periodo más largo de tiempo, empezando primero por una obstrucción venosa y finalmente arterial. Un alto grado de torsión produce en corto periodo de tiempo (horas) infarto parenquimatoso directamente por obstrucción arterial
Hay dos tipos de torsión:
- Torsión extravaginal: la torsión cordón espermático ocurre fuera de la túnica vaginalis, ocurre exclusivamente intraútero o en neonatos. El bebé presenta inflamación escrotal, enrojecimiento de la piel o masa palpable, que requiere intervención quirúrgica (tasa de éxito 40% arpxo). Comparar con el testículo contralateral, se han evidenciado hasta un 2% casos de torsión bilateral. Recordar que en neonatos el power Doppler es una herramienta muy importante dada su mayor S.
- Torsión intravaginal: la torsión del cordón espermático ocurre dentro de la túnica vaginalis. Es más frecuente en adolescentes, pero puede darse a cualquier edad y sobre todo en aquellos paciente con alterciones en el anclaje de la túnica vaginal, la denominada Clapper Bell Deformity, la cual se puede reconocer en ecografía cuando vemos líquido que reodea la porción distal del cordón. Dicha deformidad es con frecuencia bilateral.
Clínica, pueden presentar:
- Dolor de inicio brusco que no calma con la elevación del testículo afecto.
- Ausencia de reflejo cremastérico
- Inflamación y aumento de tamaño del hemiescroto afecto.
- Nauseas y vómitos, Febrícula.
La ecografía es el primer paso, hay que diferenciar si estamos ante una torsión o una infección.
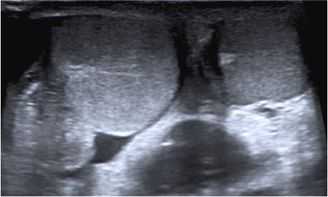
En la fase aguda (6 primeras horas), el testículo afecto muestra un aumento de tamaño y cambios en la posición de su eje mayor. La ecogenicidad puede ser normal y el escroto muestra engrosamiento con hidrocele ipsilateral. El infarto y la hemorragia suceden en las 24 horas tras el comienzo de la torsión mostrando el testículo una ecogenicidad heterogénea con áreas cada vez más hipoecogénicas sinónimo de inviabilidad del tejido. También se producen cambios en el epidídimo que pueden simular epididimitis con aumento de tamaño y heterogeneidad. Otros hallazgos serían el hidrocele y engrosamiento de las cubiertas. En la torsión subaguda y crónica (> 1 y 10 días), la hipoecogenicidad aumenta y se produce ausencia total de flujo, aunque los tejidos paratesticulares pueden tener flujo aumentado.



Dado que los hallazgos ecográficos no son específicos y, además, en las primeras horas la ecogenicidad del parénquima testicular puede ser normal. Se necesita por tanto el estudio con Doppler para valorar una torsión, por ello es necesario ajustar bien los parámetros ecográficos para lograr identificar la ausencia de flujo testicular, que usado como único criterio diagnóstico para torsión testicular posee una S 86% y E 100% con el Doppler color, siendo mayor para el Power Doppler tanto en prepúberes como en postpúberes. En casos de torsión incompleta, el diagnóstico es más complicado, puesto que el flujo puede estar aumentado. Sin embargo, puede existir un área hipoecogénica como secuela.




Pacientes con torsión del apéndice testicular y epididimario pueden tambien presentar dolor agudo, aunque normalmente no hay otros síntomas y el reflejo cremastérico está conservado. Es típico es signo del «punto azul». Suele darse en ninós de 7 – 14 años. Ecografía: masa hiperecoica con centro hipoecoico adyacente al testiculo o epididimo, puede haber hidrocele y engrosamiento de la piel. Puede haber aumento del flujo testicular alrededor del apéndice y el dolor se resuelve en 2 – 3 días. El rol de la ecografía es excluir la torsión de la orquiepididimitis.


INFECCIÓN:
La orquitiepididimitis es la causa más frecuente de dolor escrotal agudo en adultos, la etiología se suele situar en el tracto urinario inferior, aunque también puede originarse tras un traumatismo o por diseminación hematógena.
Etiología:
- Prepúberes y > 35 años: E coli y Proteus mirabilis
- Adultos jóvenes sexualmente ativos: suele deberse a Chlamydia trachomatis y Neisseria gonorrhoeae.
La infección suele comenzar en la cabeza o cola del epidídimo y extenderse desde allí a todo el epidídimo y al testículo, de forma difusa o focal. La exploración puede estar limitada por el intenso dolor. El dolor escrotal se alivia al elevar el testículo (signo de Prehn), lo cual puede ayudar a diferenciarlo de la torsión testicular.
Imagen:
El epidídimo se presenta habitualmente hipoecoico o con una ecoestructura heterogénea debido al edema y a zonas de hemorragia.
Doppler color: el flujo está aumentado en ambos, epidídimo y testículo, con respecto al lado contralateral. Esta hiperemia presenta un patrón de flujo elevado de baja resistencia con flujo diastólico elevado. En la orquiepidimitis el IR suele ser inferior a 0,5 (en un individuo sano rara vez ocurre esto).



Puede observarse un testículo aumentado de tamaño e hiperecogénico de forma inicial. Posteriormente puede tener áreas hipoecogénicas por el edema, y desarrollar infartos venosos y hemorragias, hidrocele reactivo o piocele y en ocasiones progresar hasta el absceso. En casos de infarto testicular el testículo puede aparecer encogido y heterogéneo o hipoecoico y el epidídimo permanecer edematoso. La epidídimo-orquitis crónica se presenta como un testículo agrandado o encogido, con calcificaciones o colecciones multiseptadas

TRAUMATISMO:
Después de la torsión y la inflamación es la tercera causa de dolor testicular agudo. Las consecuencias del traumatismo pueden ser hematoma, fractura o rotura. Los mecanismos de producción más frecuentes son accidentes de tráfico, lesiones deportivas o caídas. En la exploración, que está dificultada por la inflamación y el dolor. Tras un traumatismo, el resultado puede ser:
- Contusión.
- Hematomas: pueden ocurrir en la pared del escroto, el epidídimo o el testículo. El Doppler color y Power Doppler nos pueden ayudar a diferenciar un hematoma del tejido potencialmente recuperable. El hematoma agudo es ecogénico y conforme va evolucionando se presenta como una colección de fluido hipoecogénico con formación de septos y componente quístico.
- Rotura: se puede ver contorno irregular del testículo y alteración de la ecoestructura (debido a hemorragia, infarto), engrosamiento de cubiertas y rotura de la albugínea. Cuando el testículo se prestenta como hiper o hipoecogénico de manera difusa, hay que sospechar rotura. Comentar también que en caso de estallido testicular puede ser muy complicado reconocer la arquitectura del testículo. Es una emergencia quirúrgica, el diagnóstico precoz en las primeras 72 horas es fundamental para la recupeación del teste, llegando a ser de hasta el 80% la tasa de éxito.
- Hematocele: es una colección de sangre dentro de las hojas de la túnica vaginalis. Cuando son agudos suelen ser hiperecogénicos.



OTRAS ENTIDADES:
No van a requerir necesariamente un tratamiento urgente.
– Varicocele: dilatación de las venas del plexo pampiniforme mayor de 1.5-2 mm de mayor evidencia tras maniobras de Valsalva o en bipedestación mantenida.
– Hidrocele, hematocele y piocele: colecciones de líquido seroso, sangre o pus respectivamente entre las dos hojas de la túnica vaginalis de grosor significativo.
– Calcificaciones y microlitiasis: pueden localizarse tanto en el interior del testículo como en tejidos adyacentes.

– Hernias escrotales: pueden observarse asas intestinales o mesenterio que llegan escroto siguiendo el recorrido del canal inguinal.
– Nódulos: en el epidídimo son siempre benignos (espermatoceles, quístes y adenomatoides). En el testículo los benignos son los quistes de la tunica albuginea, quistes epidermoides, ectasia del rete testis, espermatocele, abesco intratesticular. De los malignos el más frecuente es el Seminoma, que corresponde a un tumor de las células germinales (95% de todos los tumores).



Sonography of the Scrotum. Vikram et al. Radiology 2003.
The acute Scrotum. Lorezno E. et al. Ultrasound Clin 2014.
Importancia de la ecografía en el diagnóstico diferencial del dolor escrotal. SERAM 2012 / S-1152

Deja un comentario