CASO: Paciente jóven que acude con dolor en flanco izquierdo y puño percusión positiva. Añade síntomatologia de infección urinaria. Tras 4 días de tratamiento antibiótico no ha mejorado la fiebre y acude a urgencias con aumentdo malestar general.
TA y FC normales. Sat 02 100%.
No toma medicamentos ni padece otras enfermedades.
Laboratorio: hemograma con leve leucocitosis y PCR 75. Leucocitos positivos en orina.
La radiografía y la ecografía de abdomen no aportaron hallazgos de significación patológica.
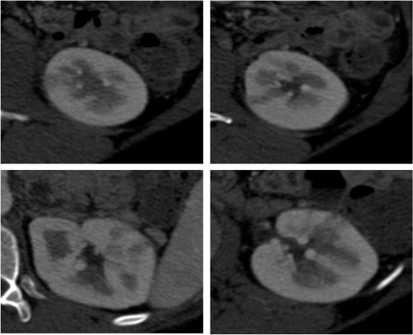
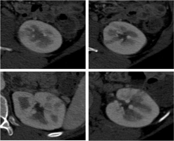
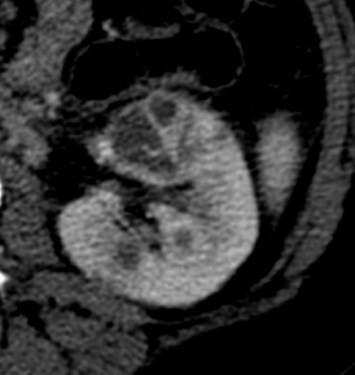
Se procede a realizar TC abdomino-pélvico con contraste en fase nefrográfica y excretora:





Conclusión: se nos presentó un caso de un paciente con una sospecha de infección renal complicada ya que tras cuatro días de tratamiento antibiótico no hubo mejoría. Ante los hallazgos observados en TC, podemos establecer el diagnóstico de pieloureteritis renal izquierda con signos de hidroureteronefrosis leve hasta vejiga.
PIELONEFRITIS AGUDA.
Las infecciones del tracto urinario son una causa común de enfermedad urológica en ambos sexos, aunque es más frecuente en las mujeres. La estructura anatómica de aparato urinario, con una comunicación con el exterior, hacen a este sistema susceptible de ser colonizado por microorganismos, especialmente el E. Coli. La mayoría de infecciones no son complicadas y solo afectan a la vejiga, sin embargo puede existir migración ascendente o hematógena y afectar también al aparato urinario del tracto superior.
FACTORES DE RIESGO
- Varón
- Mujer en estado de gestación
- Haber presentado una infección urinaria en el último mes
- Síntomas de más de 1 semana de evolución.
- Enfermedad de base ó tratamiento concomitante que origine inmunosupresión: Insuficiencia renal
- crónica, Diabetes Mellitus, corticoterapia, trasplantados.
- Anomalías estructurales o funcionales del tracto urinario.
- Instrumentación urológica o cirugía.
- Relaciones sexuales / Uso de diafragma.
- Factores de riesgo para sufrir infección por gérmenes multiresistentes: Tratamiento antibiótico previo, Manipulación urológica reciente, Portador de una sonda vesical, Adquisición de la infección en el hospital.
CLINICA y LABORATORIO:
Es la base de todo, la pielonefritis es un diagnóstico clínico apoyado por el análisis de laboratorio.
- Debut abrupto de escalofríos o fiebre.
- Dolor unilateral o bilateral en el flanco.
- Disuria
- Urgencia miccional.
- Sintomas gastrointestinales: dolor de abdomen, náuseas, vómitos, diarrea.
- Leucocitos en orina, piuria y urocultivos positivos.
- Hemograma con leucocitosis con neutrofilia, aumento de la VSG, PCR y ocasionalmente hemocultivos positivos.
La mayoría de pacientes responden satisfactoriamente al tratamiento antibiótico, pudiendo inclusio realizar tests de sensibilidad a los mismos en caso de infecciones recurrentes, por ejemplo. Por tanto, las pruebas de imagen no son necesarias para el diagnóstico y tratamiento de rutina de una pielonefritis.
TRATAMIENTO:
- Medidas generales:
- Control de constantes habituales y diuresis.
- Hidratación oral o parenteral.
- Antitérmicos si fiebre
- Analgésicos con espasmolíticos y/o AINES.
- Antieméticos si náuseas
- Tratamiento antibiótico empírico según resistencias en el ambito local.
- Interconsulta urgente a UROLOGIA si:
- Obstrucción ureteral con pionefrosis (habitualmente por urolitiasis)
- Pielonefritis enfisematosa
- PNA no complicada
- PNA complicada sin riesgo de infección por germen m ultiresistente
- PNA complicada con riesgo de infección por germen multiresistente
PRUEBAS DE IMAGEN
Las pruebas de imagen no son necesarias para el diagnóstico y tratamiento de rutina de una pielonefritis.
Realizaremos una prueba de imagen en los siguientes escenarios.
- Respuesta inapropiada tras 72 horas de tratamiento antibiótico (ocurre en el 5% de los pacientes).
- En caso de anomalías estructurales o funcionales del aparato urinario.
- Pacientes con riesgo: diabetes, ancianos, inmunodeprimidos.
- Caracterizar la severidad de una infección urológica previamente a terapias o intervenciones quirúgicas.
- Valoración de secuelas.
En urgencias se podrían seguir estos criterios para establecer la indicación de una prueba de imagen:
- Shock séptico.
- Insuficiencia renal aguda.
- Diabético.
- Inmunosuprimido.
- Monorreno.
- Cólico renal concurrente.
- Hematuria franca.
- Presencia de una masa renal.
- Persistencia de la fiebre tras 72h de tratamiento antibiótico activo frente al microorganismo aislado.
No indicada sistemáticamente.
Es un estudio barato y se realizaba de rutina previamente a la obtención de una urografía excretora. Hoy en día no es necesaria de rutina y se ha sustituido por el Scout de los TC en prácticamente todas las instituciones. Se podía observar gas o calcificaciones, pero existen numerosos fallos debido al gas intestinal y no visualización de las calcificaciones del tracto urinario o la confusión con los procesos transversos de las vértebras.


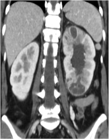
IZQ: Reconstrucción coronal de TC abdominal donde se confirma el hallazgo en el contexto de una pielonefritis enfisematosa.
2- Urografía excretora:
No indicada sistemáticamente.
Delinea la anatomía de sistema pielocalicial y da una idea del epitelio del tracto urinario desde los riñones a la vejiga. Su debilidad radica en la dificultad para caracterizar masas (quistes, neoplasias, abscesos), falta de detalle parenquimatoso y la dependencia de la funcionalidad del riñón. Solo el 25% de pacientes con pielonefritis muestran signos de afectación en la urografía excretora.

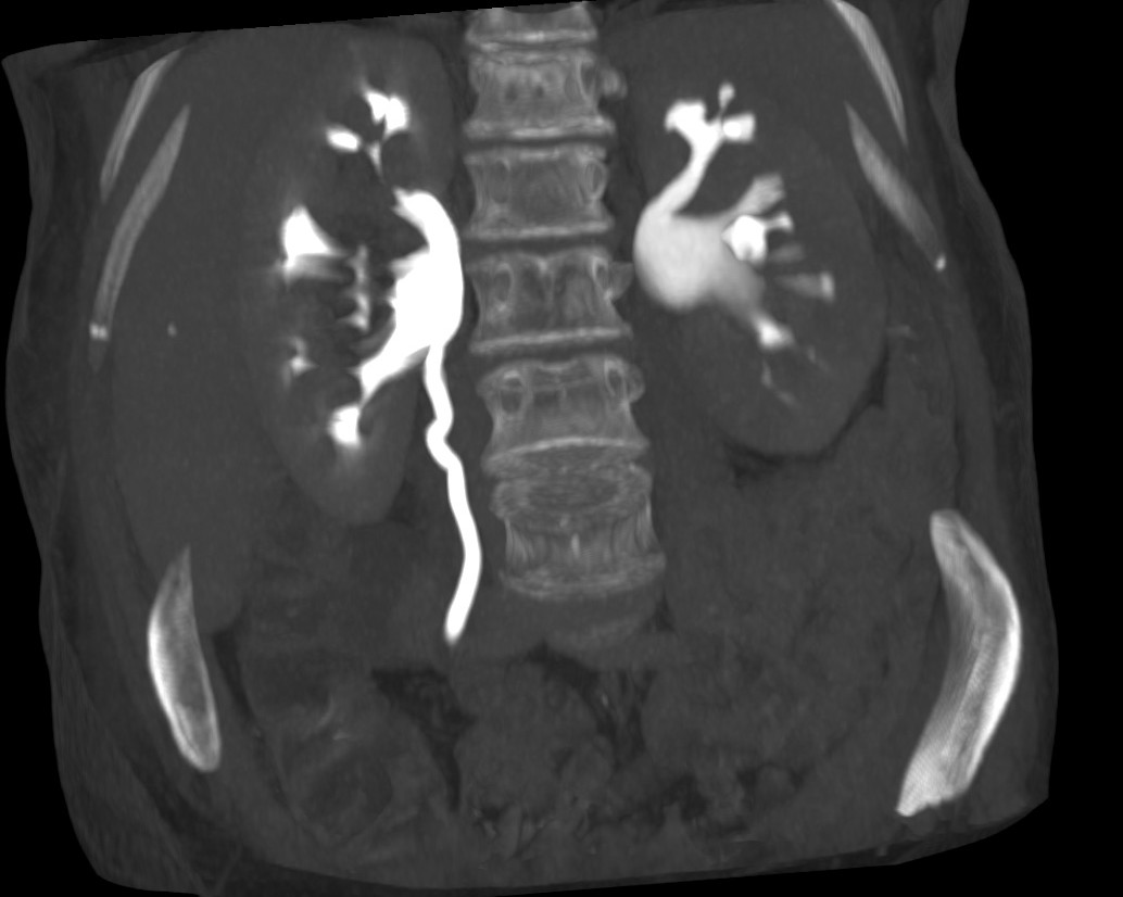
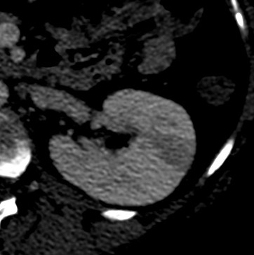
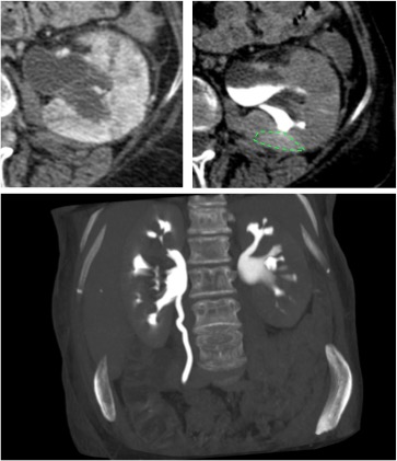
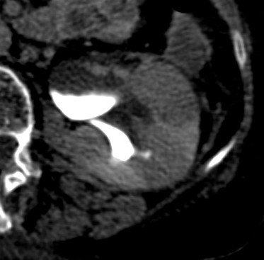
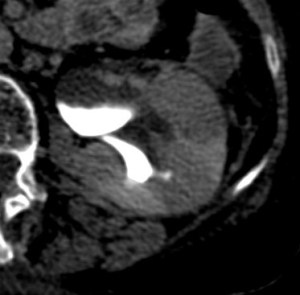
B- Con el TCMD con contraste en fase excretora podemos estudiar las vías de manera más prescisa y hacer reconstrucciones. Estudio normal.
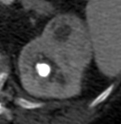
C- UIV de una hidroureteronefrosis izquierda leve (grado II/IV) hasta vejiga.
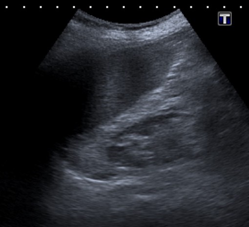
3- Ecografía:
No indicada sistemáticamente.
Tiene varias ventajas, es una prueba con bajo riesgo, barata, disponible, sin radiación y no requiere el uso de material de contraste. Suele ser la primera prueba que se realiza para valorar una pielonefritis. Sin embargo, en adultos es una herramienta que no caracteriza bien la infección renal, por ello, la mayoría de pacientes tienen un resultado negativo, pudiendo demostrar signos en tan solo un 24% de casos y por ello que decimos que infraestima la gravedad de la pielonefritis. Con el uso de material de contraste ecográfico (microburbujas) la S y E de la ecografría es mayor, sin embargo, son necesarios más estudios al respecto.
Cuando se dan hallazgos, lo más frecuente es observar un aumento del tamaño renal, hidronefrosis, litiasis o alteraciones de la vía urinaria. Otros signos que a veces pueden observarse incluyen colecciones, pérdida de definición del seno renal por el edema, focos hipoecoicos por edema o colecciones, focos hiperecoicos de hemorragía, pérdida de diferenciación córtico-medular, áreas hipoperfundidas con baja señal Power Doppler. Las calcificaciones pueden ser difíciles de distinguir del gas. Puede ser limitada para detectar focos de infección perirrenal o abscesos pequeños en infecciones en fases precoces.


4- Tomografía Computariazada:
No indicada sistemáticamente.
La TC es la técnica de elección para diagnosticar una pielonefritis ya que permite valorar la anatomía, la fisiología y los hallazgos patólogicos intra y extrarrenales. Soulen et al. confirmaron la validez de esperar 72 horas antes de realizar una prueba de TC en pacientes con sospecha de pielonefritis. En esta serie, el 95% de los pacientes con pielonefritis NO complicada presentaron resolución de la fiebre en 48 horas y el 100% en 72h.
Es de acuerdo universal que el TC pre y post contraste es la técnica de elección para valorar pielonefritis atípicas o complicadas, superando a la ecografía gracias a su gran capacidad de detectar anomalidades parenquimatosas.
- Paciente complicado:
- No respuesta a terapia antibiótica.
- Diabetes.
- Inmunocompremtidos.
- Historia de cálculos renales o de anormalidad anatómica.
- Previo a cirugía
- Protocolo: TC abominopélvico sin y con contraste en fase nefrográfica (70 seg) +/- fase tardía ( a los 7 – 10 min) solo si se sospecha obstrucción.
- TC sin contraste permite valorar la presencia de gas, cálculos, hemorragias, aumento del tamaño del riñón, masas inflamatorias y obstrucciones.
- TC con contraste: Las áreas afectadas del parénquima aparecen como zonas con baja atenuación debido al edema. Las áreas hiperdensas son menos frecuentes y corresponden a focos de hemorragia. Estos hallazgos son mejor valorables a través de la aplicación de contraste, ya que un TC en vacío pueden pasar desaprecibidas.









5- Otras Técnicas:
- Gammagafria con DMSA-99mTc: No indicada sistemáticamente. Se usa principalmente en población pediátrica. Es más sensible que la ecografía para detectar infecciones en el riñón, aunque con Power Doppler se han detectado S y E del 90%. El radiotrazador que se usa es el Acido dimercaptosuccínico (DMSA), que es un agente que se secreta a través de los túbulos renales. Posee una gran sensibilidad, en niños se encuentran signos de infección del tracto urinario hasta en el 90% de los casos, observando imágenes de áreas de parénquima afectado con disminución de la captación del radiotrazador.
- Resonancia Magnética: La RM de riñón y la urografíaRM son técnicas de utilidad. Con secuencias T1 de RM sin contraste se detectan cicatrices renales con S y E de 77% y 87%. Las secuencias T2 con constraste son las ideales para diferenciar, cicatrices, pielonefritis aguda o anormalidades del riñón o vías urinarias en pacientes adultos y pediátricos (la RM tiene la misma S y E que la Gammagrafía con DMSA). Las técnicas con Difusión son prometedoras también, ya que contribuyen a diferenciar la pionefrosis de la hidronefrosis, lo cual puede ser muy útil en pacientes embarazadas en el segundo y tercer trimestre. Una posible desventaja de la RM es la baja capacidad para detectar cálculos, especialmente las litiasis rodeadas de orina.
PIELONEFRITIS CRÓNICA:
Puede considerarse de esta manera a la pileonefritis con recurrencias múltiples o puede incluir también los cambios estables que presenta un riñón tras un simple episodio de pielonefritis. La apariencia radiológica es la misma.
Los hallazgos de imagen se caracterizan por:
- Cicatrices corticales.
- Atrofia y adelgazamiento cortical
- Hipertofia del tejido residual normal (puede simular una lesión).
- Engrosamiento en forma de porra de los cálices por afrofia de la papila renal.
- Engrosamiento y dilatación del sistema pielocalicial.
- Asimetria renal.
La hipertensión es una secuela frecuente. Es importante destacar, que una vez que el diagnóstico de pielonefritis crónica está establecido, el realizar imagenes repetidas a posteriori aporta escasas evidencias de nuevos hallazgos.



Bibliografía:
Deja un comentario