PIELONEFRITIS ENFISEMATOSA (PE).
La Pielonefritis Enfisematosa es una infección renal grave, de presentación aguda, caracterizada por necrosis, abscesos y gas en el parénquima renal, en el sistema colector o en el tejido perirrenal. La enfermedad es poco frecuente pero con elevada mortalidad debido a complicación séptica.
Suele deberse a patógenos Gram-negativos que se comportan como anaerobios facultativos en determinadas situaciones de baja concentración de oxígeno, creando una infección y produciendo gas.
EPIDEMIOLOGÍA.
Es más frecuente en mujeres, diabéticos, ancianos e individuos inmunocomprometidos, asociado o no a obstrucción o factor estásico ureteral, que es un factor desencadenante. Sin tratamiento adecuado alcanza tasas de mortalidad del 80%.
CLÍNICA.
Aunque el inicio puede ser agudo o insidioso, la presentación clínica habitual, es la de una pielonefritis aguda severa que no responde a tratamiento. Si además se acompaña de descompensación diabética o hiperglucemia, debemos considerar fuertemente este cuadro (nota: la hiperglucemia produce un medio favorable para los patógenos formadores de gas debida a la fermentación de la glucosa a lactato y dióxido de carbono).
Triada típica: fiebre, vómitos y dolor en flanco, asociados en ocasiones a masa en flanco.
Lo presencia de obstrucción o factor estásico ureteral, es un factor desencadenante a tener en cuenta.
LABORATORIO.
Hiperglucemia, leucocitosis (a veces leucopenia), alteración de la coagulación (tiempos alargados), piuria, insuficiencia renal, anemia, signos de sepsis.
Se deben realizar hemocultivos, que serán positivos principalemente para uropatógenos gram- típicos, E. coli (68%), klebsiella (7%) y proteus mirabilis (3%). Otros. acinetobacter, clostridium, aspergillus, candida y prolimicrobiana (20%).
IMÁGEN.
La clínica y el laboratorio no son definitivos, la realización de una prueba de imagen es fundamental.
Radiografia simple:

- Gas moteado en la fosa renal o colecciones de gas dentro de la fascia de Gerota, indicando extensión de la infección en el espacio perirenal (halo de gas perirenal)..
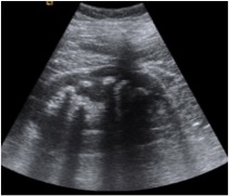
Ecografia:

- Riñón agrandado.
- Focos ecogénicos no dependientes en el parénquima renal o el sistema colector.
- Se diferencian de los litiasis porque no tienen sombra acústicay si artefactos de reverberación, similares a los producidos por el gas intestinal.
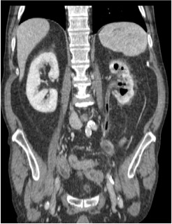
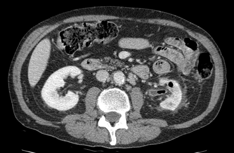
Tomografía computarizada:



- Técnica de elección.
- Agrandamiento y destrucción parenquimatosa.
- Burbujas o tractos lineales de gas.
- Colecciones líquidas y focos de necrosis con o sin abceso.
- Obstrucción renal.
La TC nos permite clasificar la severidad de la PE.
- Grado I: gas en el sistema colector (pielitis enfisematosa)
- Grado II: gas en el parénquima renal sin extensión al espacio extrarenal
- Grado III: a)Extensión del gas o abceso al espacio perirenal. b)Extensión del gas o absceso al espacio pararenal y/o extensión a tejidos adyacentes (psoas…)
- Grado IV: bilateral o pielonefritis enfisematosa en riñón único.
DIAGNÓSTICO DIFERENCIAL
El gas no es un hallazgo patognomónico de PE. Debemos hacer un diagnóstico diferencial teniendo en cuenta el contexto clínico de paciente:
- IATROGENIA: CRU. Procedimientos terapéuticos (resección transuretral) Se resuelve en corto tiempo despuÉs del procedimiento.
- POSTRAUMÁTICO: Aire en el parénquima o en el sistema colector que desaprece.
- INTRATUMORAL: consecuencia de la embolización y necrosis post- tratamiento. Postembolización de vasos tumorales. Tratamiento con interferón alfa.
TRATAMIENTO.
El cuadro progresa rápidamente. La mortalidad estimada para aquellos casos tratados médicamente es del 80%, mientras que en los casos en los que se realiza tratamiento quirúrgico es del 30%.
Drenaje percutáneo + antibióticos intravenosos (éxito del 67%) y tratamiento de la obstrucción cuando existe (PE grados I y II).
La nefrectomía se reserva para la PE grado III o IV con múltiples factores de riesgo y pielonefritis extensas con curso fulminante.
En cualquier caso en la literatura reciente se aboga por un tratamiento agresivo con drenaje percutáneo y/o nefrectomía parcial o completa, consiguiéndose mejores pronósticos y menor mortalidad.
CONCLUSIÓN:
- SOSPECHA: diabético con foco séptico urinario, o no conocido, con empeoramiento de su estado general y escasa respuesta a antibióticos convencionales.
- Necesidad de diagnóstico rápido mediante prueba de imagen: la TC es la técnica de elección.
Bibliografía:
From the Archives of the AFIP Pyelonephritis: Radiologic-Pathologic Review. RadioGraphics 2008; 28:255–276
SERAM 2014. S-0089: Pielonefritis enfisematosa, diagnóstico por imagen de una entidad con graves consecuencias, con frecuencia oculta al clínico
Radiopaedia.org/articles/emphysematous-pyelonephritis
Pielonefritis enfisematosa: Reporte de dos casos y revisión de la literatura. Rev Med Hered 2007;18:212-217.
Deja un comentario