ENCEFALOMIELITIS DISEMINADA AGUDA (EMDA).
LA EMDA es una forma de encefalitis que se caracteriza por un proceso autoinmune y desmielinizante agudo que afecta tanto a la sustancia gris como blanca de SNC. Suele estar precedida generalmente por una infección por diversos virus (gripe, varicela, virus exantemáticos) y Mycoplasma o tras una vacunación (triple vírica sobre todo). Es por ello por lo que también es denominada encefalitis postinfecciosa, parinfecciosa, postvacunal o postexantemática.
Aunque puede acontecer a cualquier edad, suele afectar a individuos de menos de 20 años, siendo la edad de mayor afectación entre los 5-6 años. Parece mostrar predilección por el sexo masculino.
CLÍNICA.

El tiempo de aparición de los síntomas desde la existencia previa de un proceso infeccioso previo oscila entre 2 y 30 días, con una media entre los 6 y 12 días. Ocasionalmente, un periodo prodrómico con fiebre, cefalea, náuseas, vómitos y alteración del estado mental precede a las manifestaciones neurológicas. Las alteraciones del sistema nevriosos pueden ser múltiples y variadas, dependiendo de la localización y extensión de las lesiones en el SNC:
- Síntomas piramidales (60-95% de los pacientes).
- Parálisis de nervios craneales (22-89%).
- Hemiparesia (76-79%).
- Ataxia (18-65%).
- Hipotonía (34-47%).
- Neuritis óptica (7-23%).
- La afectación de nervios periféricos es menos frecuente y ha sido observada sobre todo en adultos.
La EMDA suele ser monofásica, con recurrencias hasta en el 30% de los casos. El pronostico es bueno, aunque hasta el 20% de los pacientes puede padecer secuelas.
LABORATORIO.
Los hallazgos de laboratorio son útiles en la medida que nos ayudan a descartar otras entidades con las que hay que realizar un diagnóstico diferencial. La serología positiva a diferentes agentes causales tan solo se demuestra en el 17% de los pacientes. El LCR puede mostrar pleocitosis linfocitaria e hiperproteinemia, aunque es normal hasta en las dos terceras partes de los pacientes. Excepcionalmente se ha observado aumento de la concentración de glucosa y presencia de bandas oligoclonales , que indican síntesis intratecal, pero con una concentración más baja y con menor duración que en la esclerosis múltiple.
Otras pruebas:
Los potenciales evocados visuales y somatosensitivos pueden alterarse si existe afectación del tracto óptico o espinal, aún cuando también son normales en un amplio porcentaje de pacientes.
CRITERIOS DIAGNÓSTICOS.
Tomografía computariazada.
No existe evidencias que respalden el uso de la TC. Sirve para excluir otras causas.
Motivos por los que no se usa la TC para el diagnóstico de la EMDA es que ésta es más prevalente en la población pediátrica (hay que evitar radiaciones) y, por otro, las lesiones en esta técnica, en el caso de que puedan observarse, suelen aparecer con un período de latencia de una semana tras el inicio de los síntomas, siendo el inicio de los síntomas en la EMDA abrupto.
- En las mayoría de las TC no se observan hallazgos de significación.
- Si ocurren, suelen ser lesiones hipodensas de diferente morfología en la sustancia blanca cerebral y áreas yuxtacorticales.
- En el tronco del encéfalo o médula suelen pasar desapercibidas, sobre todo sin son de pequeño tamaño.
Resonancia Magnética.
Es la técnica de elección.
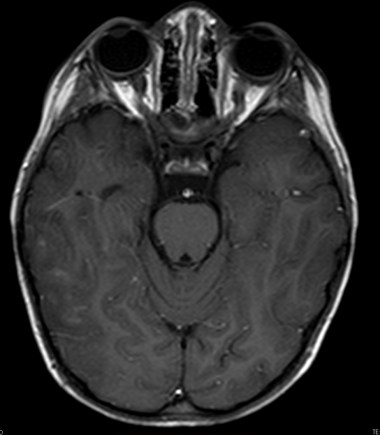
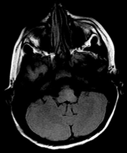
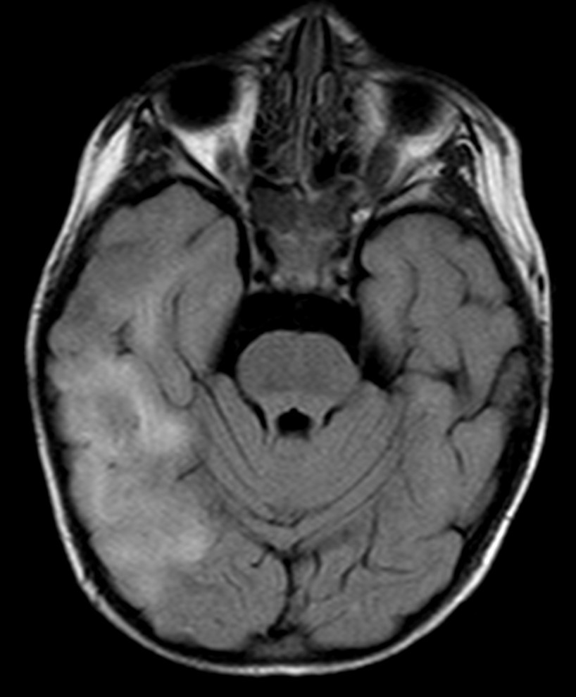
- Secuencias potenciadas en T2 y FLAIR muestran lesiones hiperintensas, de afectación bilateral, irregular, mal definidas, de tamaño variable y asimétricas que son la expresión de áreas de inflamación y desmielinización de la sustancia blanca. Las lesiones afectan sobre todo a la sustancia blanca cerebral, pero también a la sustancia gris y núcleos de la base y a médula espinal.




- Con administración de contraste el comportamiento de las lesiones es variable, visibles entre el 30-100% de los casos y con patrón de realce inespecífico.



- Secuencias T1 sin contraste no se usan porque las lesiones pueden pasar desapercibidas salvo que éstas sean de gran tamaño (se verían hipointensas).
- Difusión: los cambios en difusión son variables en función del estadío de la enfermedad. En la primera semana, por el edema de las cubiertas de mielina y aumento de celularidad por la inflamación, Restringe a la difusión (brilla) y se produce descenso de los valores de ADC (negro).
Las localizaciones cerebrales más frecuentemente afectadas son la sustancia blanca profunda (frontal y parietal sobre todo), sustancia blanca yuxtacortical, sustancia blanca periventricular, cuerpo calloso, sustancia gris cortical, tronco del encéfalo y cerebelo.
Las lesiones infratentoriales (incluyendo el tronco del encéfalo y la sustancia blanca cerebelosa) y las lesiones medulares son comunes, de ahí que algunos autores denominan según el área afecta encefalomielitis, cerebelitis o mielitis, siendo consideradas todas ellas variantes topográficas de una entidad común. Por ello, si no se ha realizado, es necesario realizar también una RM de columna.


Espectroscopía:
Los hallazos también son variables en función del estadio de la enfermedad.
- Fase aguda: valores de colina y de N-acetil-aspartato no varían, lípidos aumentan y se ha descrito descenso del cociente mioinositol/creatinina.
- Fases avanzadas: reducción del N-acetil-aspartarto (NAA) y un aumento del pico de colina en las regiones con aumento de la intensidad en secuencias potenciadas en T2.
Estas alteraciones suelen desaparecer una vez que han desparecido los síntomas y las alteraciones en las pruebas de neuroimagen y sugieren que en la EMDA se produce una disfunción neuroaxonal transitoria más que un daño neuroaxonal irreversible, a diferencia de la esclerosis múltiple por ejemplo.

NOTA:
- La espectroscopia permite una medida relativa de los metabolitos de interés en el parénquima cerebral. Los metabolitos más importantes son el NAA(n-acetetil-aspartato), Colina(Cho), Creatina(Cr), Mio-inositol(mI), Lactato(Lac) y Lípidos.
- El NAA es un marcador muy sensible de la integridad neuronal, por lo que disminuye ante cualquier agresión neuronal.
- La Cho es un índice de replicación neuronal, luego asciende en cualquier proceso tumoral.
- La Cr es un metabolito que se mantiene relativamente estable por lo que se utiliza de referencia para otros metabolitos.
- El mI es un metabolito localizado en los astrocitos y no se sabe su función exacta.
- El Lac se genera en situaciones de glucolisis anaerobia como abscesos, isquemia y necrosis tumoral.

DIAGNÓSTICO DIFERENCIAL.
La EMDA tiene un amplio diagnóstico diferencial que incluye procesos inflamatorios, infecciosos, metabólicos, reumatológicos o degenerativos. El principal diagnóstico diferencial se suele realizar con las enfermedades desmielinizantes, en especial con la esclerosis múltiple.
Bibliografía:
http://radiopaedia.org/articles/acute-disseminated-encephalomyelitis

Deja un comentario