Estenosis hipertrófica del píloro.

ESTENOSIS HIPERTRÓFICA DEL PÍLORO.

Se considera una lesión adquirida más que congénita. La etiología exacta es desconocida y se barajan múltiples factores genéticos, ambientales (posición prono, madre fumadora, eritromicina…) y hormonales. Esto produciría anomalías en los diferentes componentes de la capa muscular y neuroconectores, ocasionando finalmente un fallo en el mecanismo de relajación muscular, aumentando la producción de factores de crecimiento y así dando lugar a la hipertrofia.

La mayoría de los lacatantes desarrollan los síntomas a las 2-8 semanas del nacimiento, pero algunos lactantes pueden incluso presentarlos en la primera semana de vida e incluso al nacimiento. Existe predisposición familar y suele afectar más a varones y primogénitos. También es más frecuentae en embarazos múltiples y en la población negra.

CLÍNICA:

  • Vómitos en escopetazo, no biliosos y postprandiales.
  • Regurgitación.
  • Dificultad para la alimentación.
  • Pérdida de peso (casos severos)
  • Oliva pilórica palpable.

DIAGNÓSTICO:

No es una urgencia radiológica inmediata, sino más bien relativa. Lo principal es estabilizar al paciente y corregir alteraciones analíticas (electrolitos).

La ecografía es la herramienta diagnóstica definitva (sensibilidad y especificidad casi del 100%). Puede identificar con exactitud la estenosis del píloro o hacer un diagnostico alternativo (espasmo, diafragma gástrico, obstrucción duodenal, malrotación, gastritis) sin necesidad de recurrir a otras pruebas. Aun así, el tránsito gastro-esofágico (TGE) podría realizarse en casos excepcionales dónde los hallazgos ecográficos no son concluyentes y hay alta sospecha.

Las sondas que se deben utilizar son las lineales de entre 7-15 MHz (sondas de alta frecuencia). Estas sondas permiten identificar todas las capas de las pared del píloro. A la hora de realizar la prueba es mejor que el estómago se encuentre con poco contenido gástrico. Si el estómago esta lleno de gas se debe poner al paciente en posición oblicua anterior derecha, permitiendo que el líquido gástrico se deposite en el antro por efecto de la gravedad. Un truco es tratar de identificar en primer lugar la vesícula biliar, el píloro suele encontrarse adyacente a la misma.

ser001img00003
Visión longitudinal del píloro hipertrofiado. Se encuentra adyacente a la vesícula biliar.

Se consideran diagnósticas un grosor de la capa muscular de 3 mm y una longitud del canal pilórico elongado de 14 mm. En general, ninguna de las medidas es tan importante, porque si el músculo está patológicamente engrosado, el canal estará elongado y fijo por el espasmo sin que se produzca una relajación del píloro para el paso de contenido desde el estómago al duodeno.

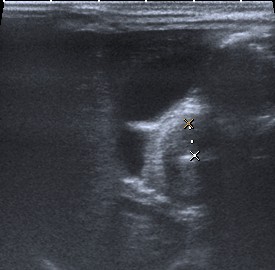
Visión axial del píloro hipertrofiado. Mide 6 mm aprox.
Visión axial del píloro hipertrofiado. Mide 6 mm aprox.
VisiónLongitudinal del píloro engrosado. Mide 18 mm aprox.
Visión longitudinal del píloro engrosado. Mide 18 mm aprox.

El signo el doble rail se debe a que la mucosa comprimida presenta múltiples acúmulos líneales de líquido: se ven bandas de líquido hipoecogénicas con bandas hiperecogénicas tanto en visión longitudinal como transversal. En la sección transversal es típico observar la imagen en Donut o anillo hipoecoico heterogéneo con un centro hiperecogénico: el anillo hipoecogénico corresponde a la muscular engrosada, mientras que el centro hiperecogénico corresponder a la superficie mucosa redundante y edematosa.

Esquema axial y longitudinal.
Esquema axial y longitudinal.

IMPORTANTE: Un paciente con ecografía normal puede desarrollar una EHP por lo tanto si un niño tiene una clínica sospechosa de EHP y la ecografía es normal se observar o hacer un seguimiento y repetir la ecografía.

TRATAMIENTO:

  1. La cirugía debe retrasarse hasta el momento en que el paciente este correctamente estabilizado (puede retrasar la intervención entre 24 y 48 horas).
  2. El tratamiento de elección es la piloroplastia.
  3. El tratamiento médico con antiespasmódicos (atropina) está sujeto a estudio.
  4. La intervención quirúrgica si se realiza correctamente soluciona el problema. No hay descritas recidivas.
  5. La imagen ecográfica de EHP puede persistir durante 6 – 8 semanas, que es el tiempo en que la hipertrofia del músculo pilórico se autolimita y su medida y aspecto normal. Por tanto, si a la semana de ser operado un niño/a se presenta en urgencias nuevamente con clínica de vómitos postprandiales, la causa más probable es una gastroenteritis y NO UN FALLO DE LA CIRUGÍA.

Bibliografía:

Swischuk – Tomo 1. Capítulo 4: Tracto alimentario. Estómago (pag 371).

SERAM 2012 / S-0641. Estenosis hipertrófica de píloro infantil: trucos y consejos para el radiológo en formación.


Posted

in

,

by

Tags:

Comments

Una respuesta a «Estenosis hipertrófica del píloro.»

  1. […] – Fuente chuleta: Opesitora. – Bibliografía: –E. Vázquez Fernández, M. Cano Pazos. Vómitos y regurgitaciones, reflujo gastroesofágico y estenosis pilórica. -Torré M, Molina JC. Vómitos. En: Protocolos diagnósticos terapéuticos de la Asociación Española de Pediatría: Urgencias Pediatría. Madrid. Asociación Española de Pediatría, 2010. (acceso 8 de septiembre de 2014). – Radiodiagnosticando.com : Estenosis hipertrófica del píloro. […]

Deja un comentario