PIELONEFRITIS XANTUNOGRANULOMATOSA (PNXG).
Es un proceso granuloso crónico y destructivo el cual se cree que es debio a una respuesta incompleta del sistema inmune contra una infección bacteria subaguda y recurrente, la cual termina por abolir la función del riñón afectado.
No existen factores de riesgo específicos, aunque la diabetes puede ser uno de ellos. Se ve esencialmente en todos los grupos de edad, la mayoría son en mediana edad, aunque niños y pacientes ancianos también pueden verse afectados. Hay una predilección en la mujer (2:1) debido a la alta incidencia de infecciones del tracto urinario inferior.
CLÍNICA.
Los síntomas son inespecíficos, sirven para orientar hacia una sospecha de patología renal:
- Fiebre y malestar general.
- Dolor en el flanco.
- Hematuria.
- Piuria (95%) y cultivos positivos (60%).
PATOLOGÍA.
La mayoría de casos ocurren en asociación con un cálculo en la pelvis (coraliforme) y, como consecuencia, una hidronefrosis la cual contribuye a la afectación de la función renal (aunque el principal factor de afectación es la inflamación producia por la propia infección). Los principales organismos implicados son P. mirabilis y E. coli
En la antomía patológica se puede observar la sustitución del parenquima renal normal por macrófagos cargados de lípidos, zona inflamatoria con tejido de granulación compuesto por células plasmáticas y bandas fibrosas, así como ulceración de la mucosa calicial, reemplazada por debris con células inflamatorias (PMN).
IMAGEN.
- Difusa – 90%.
- Focal o atípica – 10%
Radiografía:
Es limitada. Antes de la introducción del CT multidetector, se realizaba el diagnóstico a traves de los siguientes hallazgos:
- Cálculo coraliforme: no está siempre presente y no es específico de esta patología.
- Agrandamiento de la silueta renal
- Borramiento del psoas ipsilateral.
- Si se realiza urografía intravenosa: función renal disminuida, hidronefrosis, defectos de repleción por litiasis.

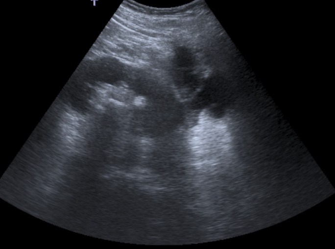
Ecografía:
- Agrandamiento y distorsión de la silueta renal.
- Pérdida difusa de la arquitectura renal normal.
- Gran ecogenicidad central amorfa que corresponde a un cálculo coraliforme en la pelvis renal.
Aunque estos hallazgos son más carácteristicos, se realiza posteriormente una TC para mejor valoración.




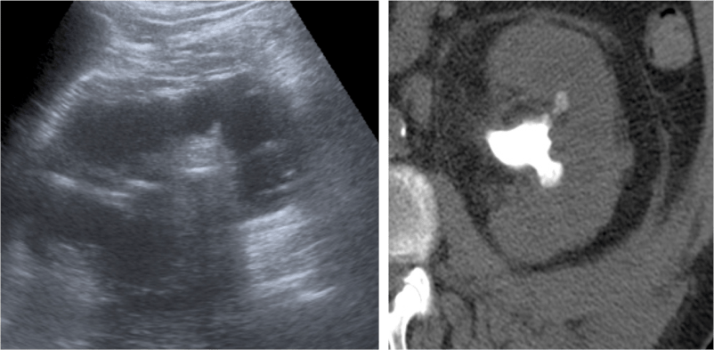
Tomografía Computarizada:
Es la técnica de elección por dos razones:
- Alta especificidad y definición de los hallazgos que permiten confirmar el diagnóstico.
- Descartar afectación extrerrenal y Planificación quirúrgica.
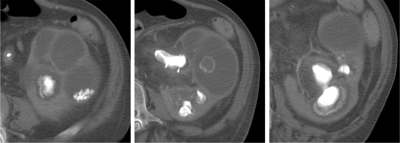
Estos hallazgos son altamente sujestivos de PNXG:
- Aumento difuso del tamaño y pérdida del contorno renal.
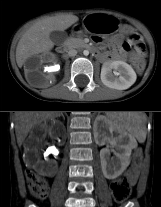
- Litiasis coraliforme: cálculo central en pelvis renal contraída (también puede existir calcificaciones intraparenquimatosas). La TC es la mejor técnica para identificar las litiasis.
- Riñón no funcionante (pobre o nula eliminación del medio de contraste en el riñón afectado).
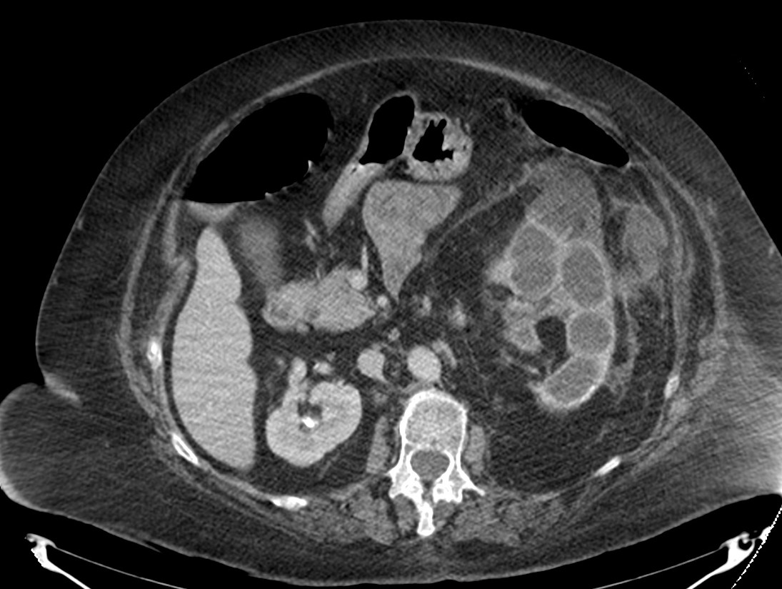
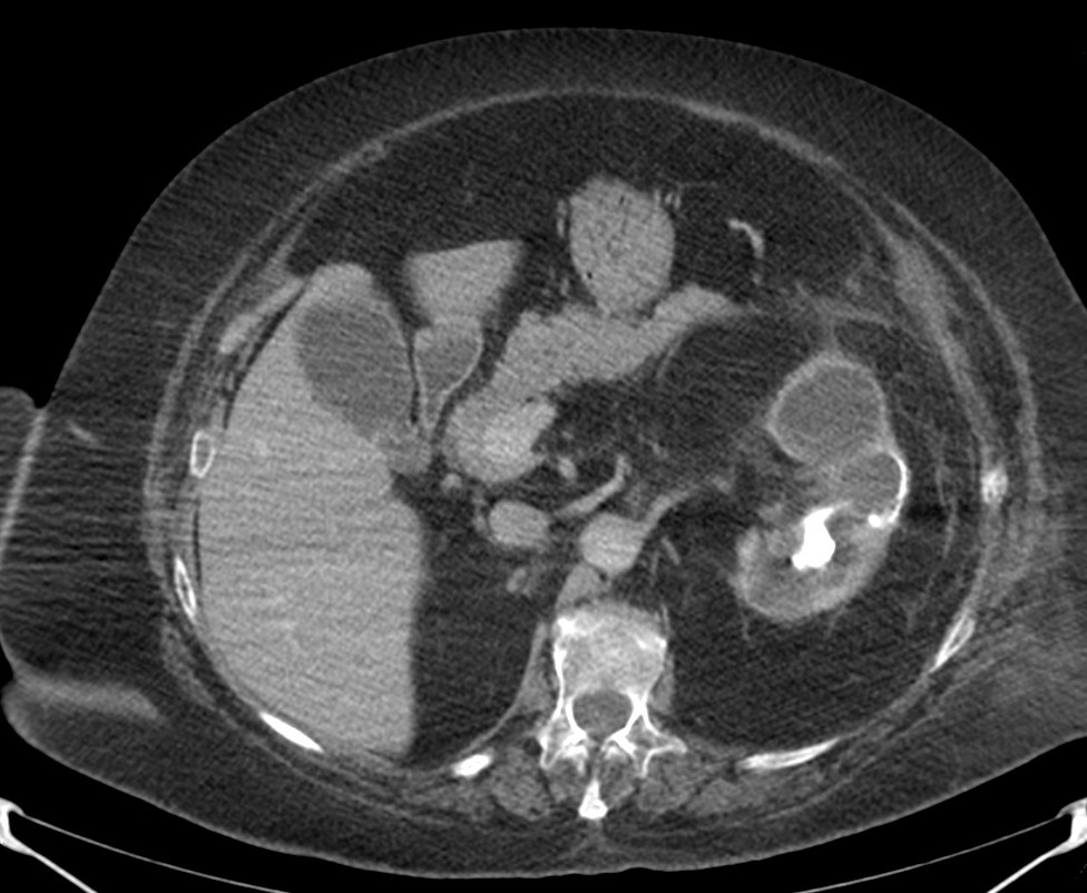
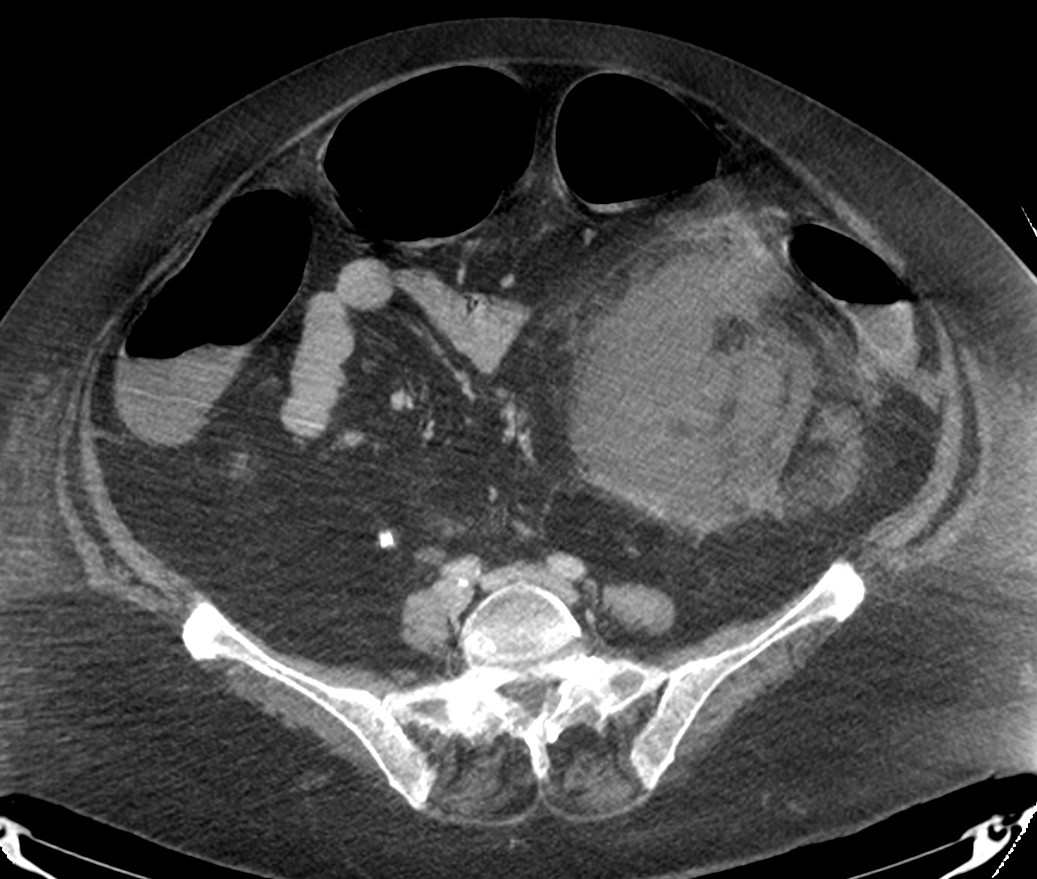
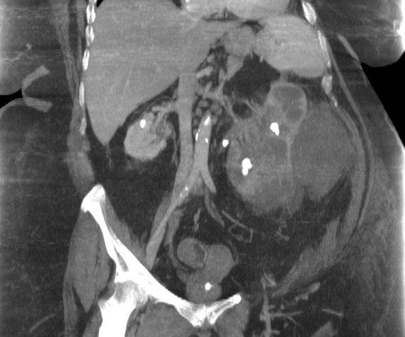
- Cálices renales dilatados (áreas hipodensas) de apariencia multiloculada que se asemeja a una «pata de oso».
- También pueden darse abscesos o áreas de necrosis parenquimatosa.
- Cambios inflamatorios que excede los límites del riñón y genera colecciones periféricas o extensión hacia vísceras vecinas. Pueden darse abscesos en el psoas y fístulas (cutáneas o colónicas) que indican progresión de la enfermedad.





Aunque el área de hipoatenuación que se extiende desde la pelvis renal contraída hasta los cálices renales puede sugerir una hidronefrosis, la baja atenuación corresponde más bien a tejido inflamatorio antes que a líquido (la nefrostomía percutánea no siempre se lleva a cabo).
Manifestación atípica de la PNXG es la afectación focal (10% de lo casos) que suele darse en pacientes con duplicidad del sistema excretor, con afectación parcial de una de las mitades, pudiendo simular un absceso o neoplasia. Otra manifestación atípica es la atrofia. El gas es raro verlo y puede confundirnos con una pionefrosis o PN enfisematosa.
RESONANCIA MAGNÉTICA.
Apariencia en resonancia es un espejo de la heterogénicidad de la masa con componentes sólidos y quísticos rodeando un cálculo central de calcio. Una senal heterogénea es lo que se observan en todas las secuencias.
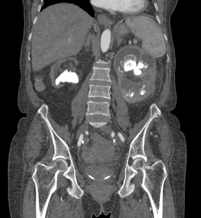
Veamos un caso.
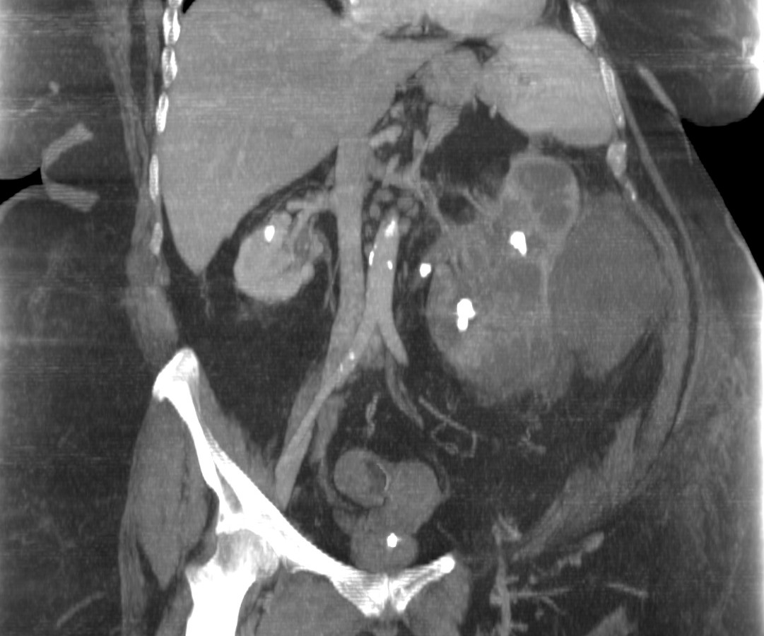
Paciente mujer de 62 años que acude por decaimiento general con fiebre y dolor en flanco izquierdo. Ingresa en UVI por signos de sepsis
Nos cuenta antecedentes de pielonefritis e hidronefrosis crónica.
Hallazgos en imagen:






Estos hallazgos pueden ser dificiles de interpretar, ya que una paciente con hidronefrosis crónica y litiasis en el uréter puede haber sufrido una obstrucción que origina un cuadro de dolor en FRI con ruptura de cálices y colección extra axial. Otra probabilidad puede ser un angiomiolipoma que ha roto un aneurisma y ha producido un sangrado. También podríamos estar ante una pionefrosis aunque dada dada la clínica, los antecedentes y al observar los hallazgos en TC podríamos establecer la sospecha de pielonefritis xantunogranulomatosa con alta probabilidad. La confrimación vendrá dada con la nefrostomía y estudio de anatomía patológica.
Bibliografía:

Deja un comentario