TUMOR DE WILMS:
También conocido como Nefroblastoma, constituye el tumor renal más frecuente de la edad pediátrica, hasta en el 87% casos (I = 1:10,000 personas). Su pico de incidencia es entre los 3 – 5 años, siendo infrecuente en neonatos.
La mayoría son unilaterales, aunque en un 10% de las ocasiones se manifiesta de forma bilateral. No hay predilección por sexos, aunque en las niñas suele acontecer más tardíamente.
Puede estar asociado a anomalías congénitas como:
- Criptosporidia
- Hemihipertrofia
- Hipospadias
- Aniridia esporádica
El tumor típicamente se origina de precursores mesdérmicos del parénquima renal. A pesar que las alteraciones genéticas son multifactoriales, se han implicado dos locus del Cromosoma 11 en el desarrollo de algunos tumores de Wilms (gen WT1) y 11p15 (gen WT2).
- Gen WT1: Síndrome WAGR (Wilms tumor, aniridia, genitourinary abnormalities, mental retardation) o Síndrome Drash (male pseudohermaphroditism, progressive glomerulonephritis).
- Gen WT2 (Beckwith-Wiedemann syndrome o hemihypertrophy).
- La asociación familiar es muy rara (1%).
- Se acepta el screening de tumor de Wilms en pacientes con síndromes asociados a partir de los 6 meses de edad: primero una TC y luego realización de ecografias seriadas cada 3 meses hasta los 7 años. Se considera que a partir de esta edad, el riesgo de desarrollar esta neoplasia decrece significativamente.
CLÍNICA.
- Niños asintomáticos con una masa palpable abdominal descubierta de modo accidental.
- Dolor y hematuria.
- Hipertensión arterial por producción de renina (25%).
- La sintomatología constitucional no suele estar presente.
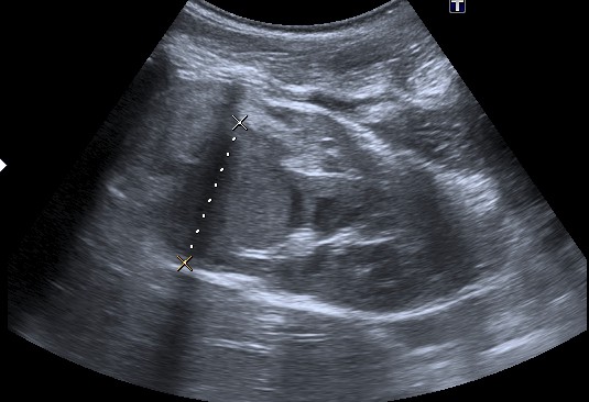
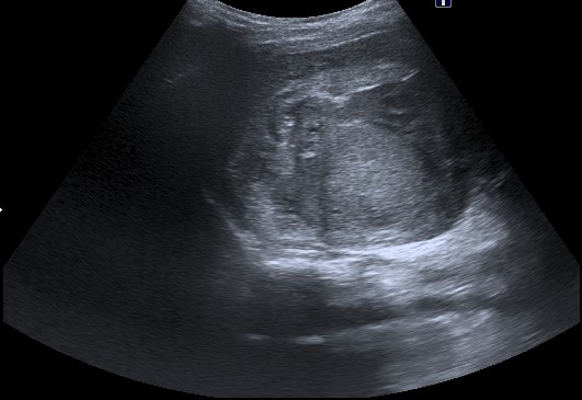
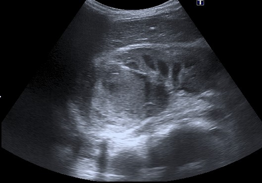
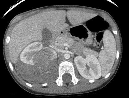
IMAGEN.
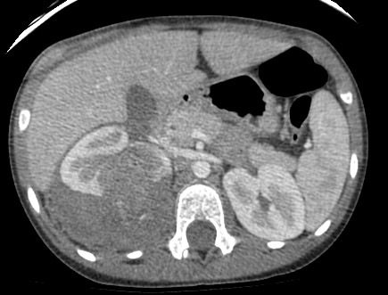
Algunas notas antes de analizar la imagen: se suele manisfestar como una masa sólida heterogénea que desplaza estructuras. También puede ser quístico. Las metástasis son frecuentes al pulmón (85%), hígado y ganglios locales. Pueden producir trombosis de la vena renal, cava inferior y auricula izquierda (enfermedad avanzada). En ocasiones puede ser un tumor muy quístico, lo cual hace muy dificil el diagnóstico diferencial con el neforma quístico multilocular.
Placa simple:
- Masa con opacidad de tejidos blandos que desplaza asas intestinales.
Ecografía:
- Masa renal bien definida e hiperecogénica de debido a la posible presencia de hemorragia, grasa, necrosis y raramente calcios.
- Las calcificaciones son raras. Su morfología es curvilínea (a diferencia del neuroblastoma = puntiforme).
- En ocasiones es posible diferenciar una pseudocapsula correspondiente a tejido renal sano comprimido.
- Es útil el Doppler para valorar afectación de la vena cava inferior por trombo tumoral.




TC:
- Tumor heterogéneo con densidad de tejidos blandos que puede contener calcios (< 10%) y también áreas de grasa (nota: el angiomiolipoma es muy infrecuente en pediatría).
- El realce es parcheado y permite mejor definición y determinación de las relaciones del tumor.
- Las metástasis pulmonares son las más frecuentes en el momento del diagnóstico.



RM:
- Suele requerir sedación, lo cual es un incoveniente.
- Gran herramienta para aclarar el origen o dependencia de la masa.
- Es la técnica más adecuada para valorar la afectación de la vena cava inferior.
- Son tumores heterogéneos: todas las secuencias contienen frecuentemente sangre que influye en la intensidad de señal, sin embargo podemos decir que es T1 = hipointenso; T2 = hiperintenso; T1 Gadolinio = realce heterogéneo.
ESTADIFICACIÓN:
- Stage I
- confined to kidney
- complete resection possible
- Stage II
- local spread beyond kidney including renal vein involvement
- complete resection possible
- Stage III
- lymph-node involvement or
- disease confined to the abdomen: e.g peritoneal spread, residual tumour
- complete resection NOT possible
- Stage IV
- haematogenous metastases (typically lungs, liver, distant nodes)
- Stage V
- bilateral renal involvement
- each kidney should be staged individually
DIAGNÓSTICO DIFERENCIAL MASAS RENALES EN PEDIATRÍA:
- Tumor de Wilms: Masas sólida grande con invasión vascular. Es la masa renal más frecuente en pediatría.
- Nefroblastomatosis: Lesiones subcapsulares bilaterales múltiples. Puede asociar tumores de Wilms bilaterales.
- Carcinoma de células renales: asociado con Sd de von Hippel Lindau.
- Nefroma mesoblástico: tumor mas frecuentes en neonatos.
- Neforma quistico multilocular: multiples quístes con pequeño componente sólido.
- Sarcoma de células claras: con metástasis en hueso.
- Rabdomioma: con metástasis en cerebro.
- Angiomiolipoma: muy raro en niños. Esclerosis Tuberosa, von Hippel Lindau, Neurofibromatosis.
- Carcinoma Renal Medular: con anemia falciforme, adolescentes.
- Tumor Renal Osificante: masa renal con calcio en un niño. Benigno.
- Adenoma metanéfrico: características inespecíficas.
- Linfoma: adenopatiás, extensión desde retroperitoneo, hipodensidades parenquimatosas bilaterales. Apariencia variable.
TRATAMIENTO:
La cirugía es el tratamiento más común junto con la quimioterapia. La radioterapia también puede usarse en algunos casos avanzados de gran tamaño e invasión.
Bibiolgrafía:
Paediatric Renal Masses and Beyond. RadioGraphics 2000; 20:1585–1603.
Radiopaedia.com
Deja un comentario