PIONEFROSIS.
Es la infección del sistema colector urinario superior y puede ser debida a una complicación de una pielonefritis entre otras causas. La pus puede desencadenar una obstrucción secundaria. El diagnóstico temprano es fundamental ya que sin tratamiento puede derivar finalmente en un shock séptico.
CLÍNICA:
Debe sospecharse en cualquier paciente con sospecha clínica obstructiva, fiebre y dolor en el flanco, aunque también pueden ocurrir en pacientes asintomáticos.
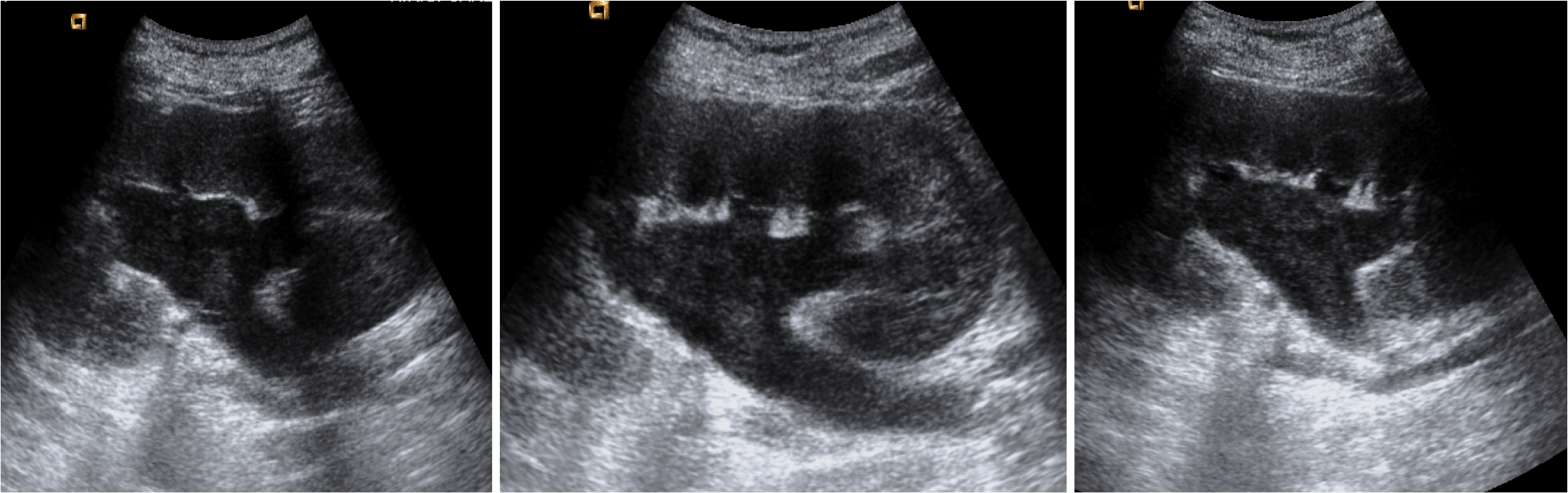
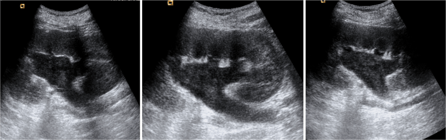
Ecografía:
- Debris ecogénicos en el interior del sistema colector: es es signos más fiable para diagnosticar una pionefrosis (S 90%, E 97%).
- Dilatación del sistema pielocalicial.
- Niveles líquido-líquido en el sistema colector.
- A veces pueden verse ecos sucios correspondientes a gas.


- Dilatación del sistema pielocalicial.
- Engrosamiento de la pared de la pelvis (>2mm).
- Líquido en sistema colector de alta atenuación: puede ser dificil distinguir una simple hidronefrosis de una pionefrosis basándonos eclucisvamente en la atenuación del líquido.
- Estratificación del contraste en fase excretora.

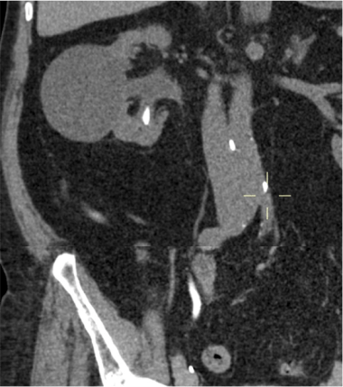
RM:
- Hallazgos similares a los observados en TC.
- La difusión y el mapa ADC pueden ser de utilidad para distinguir hidrnefrosis de pionefrosis.
TRATAMIENTO.
Se realiza una nefrostomía percutánea para drenar el contenido infectado alojado en el interior del sistema colector urinario.

Arriba, se observa un quiste cortical simple con contenido anecogénico.


Agradecimientos a la Dra. Araceli Montilla Moreno.
Bibliografía:
http://pubs.rsna.org/doi/pdf/10.1148/rg.281075171.
radiopaedia.org – pyoneprhosis.
Deja un comentario