TUBERCULOSIS RENAL.
En nuestro medio ha pasado a ser una entidad muy infrecuente, no obstante existe una prevalencia bien definida en pacientes afectados del VIH y debido al desarrollo de resistencias frente a los antibiótico por parte de las micobacterias.
El riñón es el lugar de afectación extrapulmonar más frecuente en la TBC. Se afecta debido a la diseminación hematógena, después de un largo periodo de latencia tras la infección primaria. Posteriormente, cuando la micobacteria llega al riñón, se desarrollan microabscesos periglomerulares, frente a los que el sistema inmune reacciona formando granulomas. Es destacable mencionar que a pesar de la diseminación hemtógena desde el pulmón, en el 50% de los pacientes con TBC renal, la radiografía de tórax es normal.
CLÍNICA:
Es inespecífica, puede incluir:
- Hematuria.
- Dolor en el flanco.
- Síndrome consitucional.
El diagnóstico se confirma mediate cultivos de orina o biopsias positvos a micobacterias.
IMAGEN:
Hablemos primero de la patogenia de esta enfermedad.
Tras un largo periodo de latencia tras la primoinfección pulmonar (entre 5 y 40 años), se produce la reactivación de los bacilos que se encuentran acantonados en la unión corticomedular. Desde allí se extienden a la médula renal y comienzan produciendo papilitis, que es la afectación más precoz.
- Parénquima renal: cuando se ve afectado puede presentar el aspecto similar al de una pielonefritis causada por otras bacterias o también mostrar un aspecto seudotumoral con uno o múltiples nódulos que se asemejan al carcinoma renal.
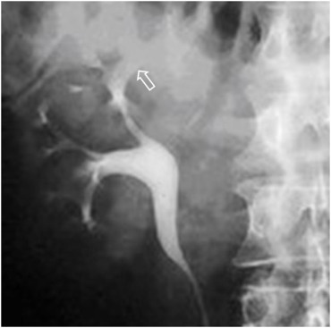
- Sistema colector: puede afectarse al mismo tiempo que el parénquima o de manera aislada. En estadios tempranos ocurren necrosis papilar, cuando progresa pueden ocasionar focos de atrofia y estnosis a distintos niveles produciendo hidronefrosis y engrosamiento con realce mural. En estadios avanzados puede darse hidronefrosis con reducción del espesor cortical y calcificaciones distróficas.
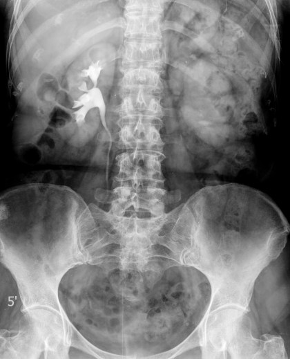
Radiografía simple y urografía intravenosa (UIV):
Es útil para localizar el calcio.
- De aspecto triangular en la necrosis papilar o focales.
- También pueden ser curvilíneas y lobares
- Amorfas y diseminadas en estadíos finales.
La realización de escopia con contraste es muy sensible, demostrando alteraciones en el 90% de los pacientes afectos.
- Cicatrices parenquimatosas.
- Estenosis infundibulares.
- Borrosidad (cáliz fantasma) o irregularidad de los cálices (apecto apolillado).
- Hidronefrosis.
- Dilataciones y estenosis del uréter (uréter arrosariado). El engrosamiento mural ureteral es mejor valorado en la TC.
- Afectación vesical con edema en inflamación mural con progresión a fibrosis y atrofia vesical. Las calcificaciones no son frecuentes en la vejiga.



Ecografía:
Los hallazgos son variables y no específicos.
- En estadios precoces puede verse un riñón normal o con focos de atrofia +/- calcificación.
- Cuando progresa podrán verse focos de destrucción papilar (cálices dilatados y papilas ecogéncias), hidronefrosis, distorsión de la arquitectura parenquimatosa y de la morfología renal, masas hipoecoicas que conectan con el sistema colector, engrosamiento mural del uréter, atrofia de vejiga, signos de pionefrosis.
- En el estadio final pueden verse atrofia renal, calcificaciones groseras, adelgazamiento cortical. Es lo que se denomina autonefrectomía.
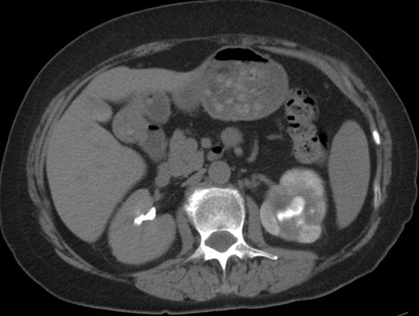
Tomografía computarizada:
Es más sensible que la ecografía y constituye la técnica de elección para detectar las calcificaciones y resto de hallazgos de la TBC renal gracias a la administración de contraste intravenoso.
Como siempre, los hallazgos varían según la afectación sea:
Precoz:
- Necosis papilar: localizada o difusa. Son cavidades necróticas localizadas en la proximidad de la papila las cuales se rellenan de constraste en fase excretora. La papila puede calcificarse posterioremente. Se observan los cálices dilatados de manera irregular.
Progresión:
- Cicatrices y estenosis que pueden afectar cualquier parte del sistema colector.
- Hidroureteronefrosis focal o generalizada.
- Áreas de poco realce en al paréquima renal (neforgama débil: áreas hipodensas cuneiformes) debido a lesión directa sobre el tejido o a la hidronefrosis.
- Retraso en la excrección de contraste.
- Engrosamiento mural del ureter (mejor valorables en TC que en la UIV)
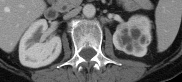
Estadio final:
- Hidronefrosis progresiva con disminución del parénquima renal que puede simular quistes. Sirven como apoyo diagnóstico la positividad a los cultivos.
- Atrofia renal con calcificaciones que afectan a todo el riñón. Las calcificaciones extensas en un riñón no funcionante (autonefrectomía) es lo que se denomina como riñón mastic.
Los hallazgos descritos no son específicos y pueden verse en otras entidades. Sin embargo la combinación de 3 o más de los siguientes hallazgos son altamente sugetestivos de TBC renal incluso con ausencia de afectación pulmonar:
- Cicatices.
- Retracciones del sistema colector.
- Necrosis papilar.
- Masas de baja atenuación.
- Calcificaciones







Bibliografía.
http://radiopaedia.org/articles/renal-tuberculosis
Tuberculosis Urogenital. SERAM 2008. 66o – Abdomen. Ciudad fernandez et al.
Deja un comentario