HERNIA DE OVARIO
Las hernias inguinales en el recién nacido pueden ocurrir con una frecuencia del 1 – 2%, predominan en el varon (1/4). Las hernias del canal de Nuck pueden incluir cualquiera de los contenidos peritoneales: mesenterio, fluidos, vejiga y ovario. En las mujeres la herniación del anejo puede o no incluir a la trompa de Falopio (15 – 20%). A pesar de la posibilidad de una reducción espontánea, la presencia de estas estructuras orgánicas en el canal inguinal, la hacen improbable, inclusive aumentan el riesgo de incarceración. En el caso del ovario, puede producirse una torsión e infarto (mayor riesgo se asocia herniación de la trompa).
Por todas estas razones, es esencial el diagnóstico y tratamiento precoz.
PATOGENIA.
El desarrollo de la hernia del canal inguinal está asociado a dos estructuras anatómicas: el gubernaculum testis y el processus vaginalis. El primero es una estructua que desarrollo en respuesta a la presencia de ácido hialurónico y permite el ensanchamiento del canal ingunal y escroto, permitiendo al testículo acceder a dicha bolsa. El segundo, el processus vaginalis, es una invaginación que pasa a través del gobernacululm testis. En el mujer, esta segunda estructura se denomina divertículo de Nuck, el cual es un saco peritoneal que si no se oblitera, produce patología en forma de quistes y riesgo de desarrollo de hernias.
Como hemos dicho, las hernias inguinales pueden contener asas intestinales, omento, testículos y en caso de mujeres, ovario y trompas de Falopio, siendo el principal riesgo la incarceración (hasta del 31 – 43 % en pacientes pediátricos).
CLÍNICA.
- Paciente pediátrico entre 1 y 6 años (70%). Se dan con menos frecuencia en adolescentes y mujeres adultas.
- Tumoración inguinal.
- Lo más frecuente es que se localice en el lado derecho (60%), aunque también pueden darse en el izquierdo (30 %) o bilaterales (10%).
- Puede ser una tumoración asintomática o asociar dolor, signos de inflamación y compromiso vascular.
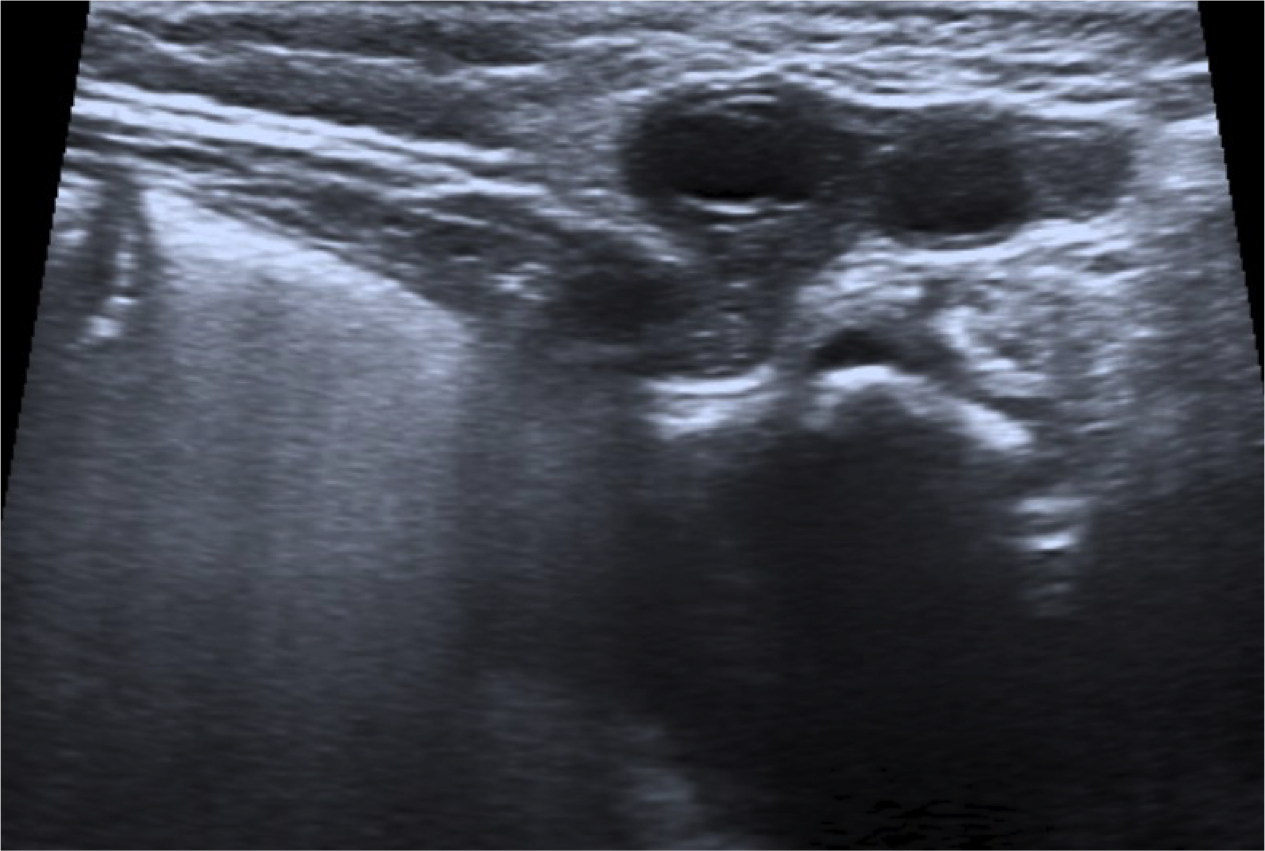
IMAGEN.
- La ecografía es la técnica de elección (ecógrafo de alta frecuencia)
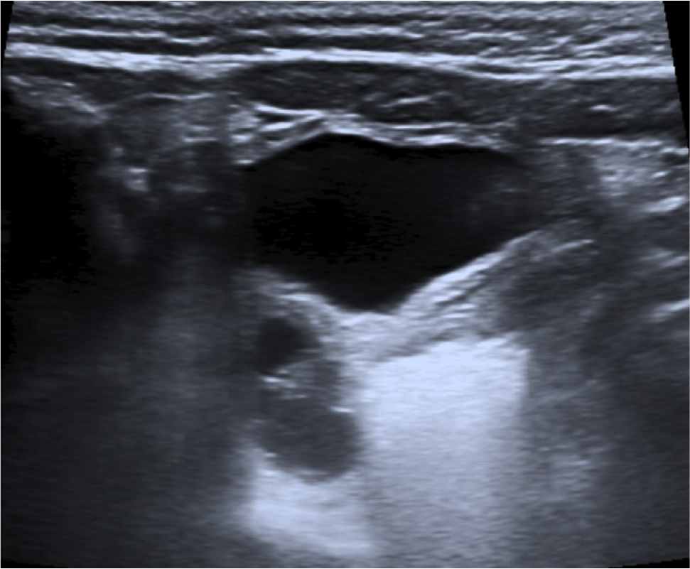
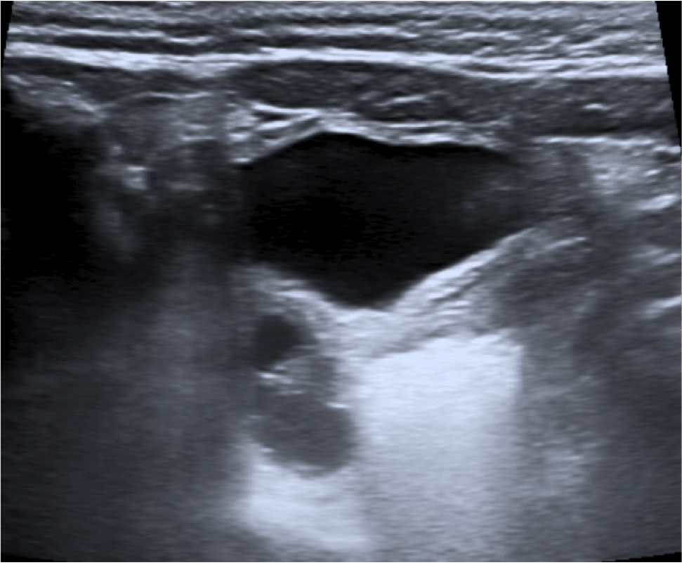
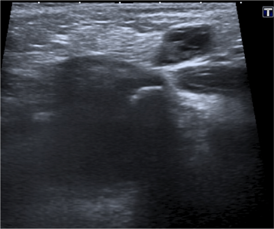
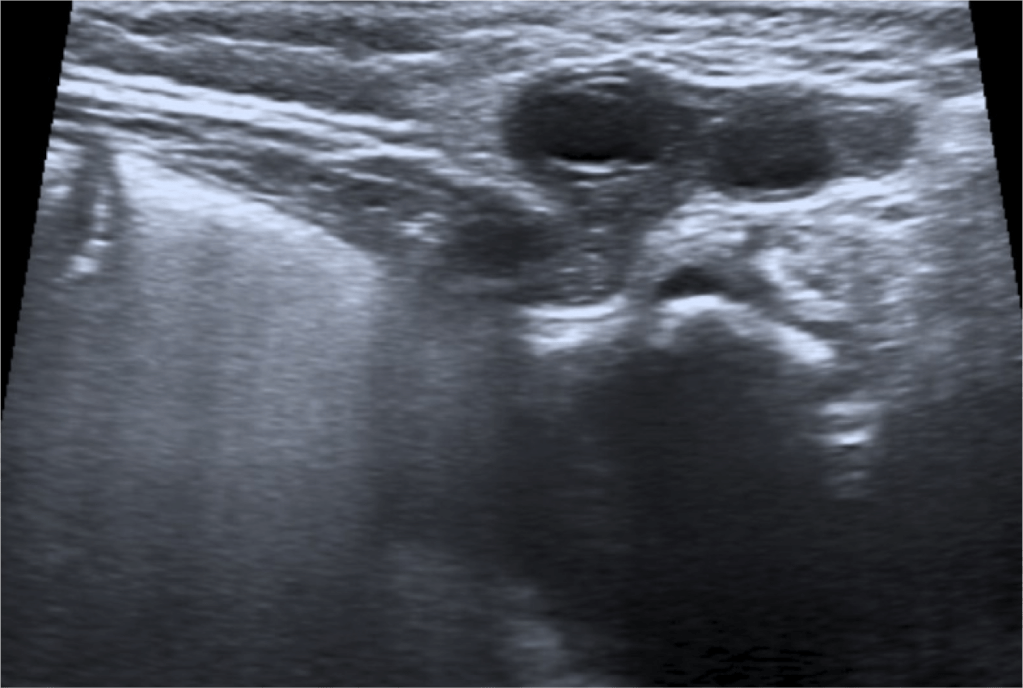
- El ovario se identifica como una masa con quistes periféricos que representan los folículos.
- La mayoría de estas hernias son de tamaño inferior a 3 cm.



Como ya comentamos, el diagnóstico precoz es importante para evitar que la hernia se complique. Si la torsión del ovario se produce, el compromiso primero venos y linfático y luego arterial produciran a los signos de inflamación , congestión y finalmente isquemia. Los pacientes pueden presentar clínica y signos de irritabilidad, dolor, vómitos, gangrena y necrosis tisular. La imágen ecográfica de torsión ovárica es la de un ovario agrandado con quístes, ecogenicidad heterogénea, sin captación de flujo Doppler color y repercusión de la grasa adyacente.
La destreza y familiarización con la técnica ecográfica es fundamental para identificar estos hallazgos.
NOTA:
El volumen del ovario se calcula usando la fórmula A x B x C x 0.52 (dimensiones del ovario en el plano longitudinal, axial y transversal). Existe una tabla de correlación del volumen ovárico para cada edad, siendo en el adulto el tamaño normal de 0.7 – 0.8 cc aprox.
La morfología del ovario, como ya hemos descrito, es el de una masa que puede o no presentar en el momento del estudio estucturas quísticas periféricas que en la mujer adulta miden entre 15 y 20 mm. Otros autores usan los siguienes términos para referirse a ovarios con estructrucas quísticas:
- Si miden entre 15 y 20 mm se denominan folículos.
- Si miden más de 20 mm se denominan quístes.
- Ovario paucicístico: hasta 5 folículos que miden menos de 10 mm
- Ovario multiquístico: más de 6 folículos que miden menos de 10 mm.
- Ovario macroquístico: uno o más folículos de hasta 10 – 20 mm.
- Ovario con quistes: uno o más quistes de más de 20 mm.
El volumen del útero se calcula usando la misma fórmula A x B x C x 0.52 .
- El mejor marcador del estatus de desarrollo uterino lo consitutye el ratio fundus/cuello vaginal ( ratio = 1 en prepúberes; > 1 en postpúberes)
TRATMIENTO.
Debido al riesgo de torsión y la escasa posibilidad de reducción espontánea, el tratamiento es quirúrgico.
Bibliografía:
Deja un comentario