INFECCIONES DE LA CAVIDAD ORAL Y EL CUELLO.
La patología infecciosa en esta región tiene una elevada morbimortalidad, siendo necesario un manejo clínico radiológico rápido. La mayoría de las infecciones son polimicrobianas por la flora mixta (microrganismos anaerobios y aerobios) propia de la cavidad oral, los cuales pueden diseminarse fácilmente y a distancia debido a la comunicación que existe entre los diferentes espacios anatómicos.
El compromiso de la vía aérea es el principal factor a tener en cuenta, que puede ser debida a la inflamación o ruptura de un absceso. Los principales sginos clínicos de alarma son:
- Taquipnea con respiración superficial.
- Ortopnea.
- Disnea con estridor
Además, se pueden producir otras complicaciones severas como la tromboflebitis séptica yugular, la mediastinitis, la pericarditis, los abscesos pulmonares y un shock séptico.
Los abscesos cervicales profungdos suelen tener su origen en la infecciones dentales y el uso de drogas por vía intravenosa. En los niños el principal origen suele ser amigdalar. Factores de riesgo a tener en cuenta son diabetes mellitus, enfermedades sistémicas, inmunodeprimidos, ancianos y alcohólicos. En casos con infecciones cervicales recurrentes debe considerarse lesiones subyacentes no resueltas, como quiste tirogloso y branquial.
RECUERDO DE LA ANATOMÍA CERVICAL.
Es esencial conocer la anatomía y relaciones de los espacios cervicales y las fascias. En cuanto a la antomía superfiical, el cuello se puede dividir en:
Triángulo posterior:
- Anterior: Borde posterior del ECM.
- Posterior: Borde anterior del músculo trapecio.
- Inferior: Borde superior de la clavícula
Triángulo anterior:
- Superior: Borde del cuerpo de la mandíbula.
- Medial: Línea media del cuello.
- Posterolateral: Borde anterior del esternocleidomastoideo
Dentro de éste podemos subdividir en:
– Cuello suprahioideo se define como el conjunto de espacios situados en la fascia profunda por encima del hueso hioides: espacio parafaríngeo, espacio de la mucosa faríngea, espacio masticador, espacio parotídeo, espacio vascular (o carotídeo), espacio retrofaríngeo y espacio perivertebral.
– Cuello infrahioideo, por debajo del hueso hiodes. Algunos de estos espacios se continúan hacia arriba (suprahioideo) y/o hacia el mediastino, incluye los espacios: visceral, cervical posterior, vascular, retrofaríngeo y perivertebral.
CLASIFICACION DE LAS INFECCIONES DE LA CAVIDAD ORAL Y EL CUELLO:
- Infecciones de la cavidad oral y el suelo de la boca:
- Absceso periodontal.
- Angina de Ludwing.
- Infecciones suprahioideas:
- Sialoadenitis.
- Absceso sublingual.
- Absceso submandibular.
- Absceso periamigdalino.
- Infecciones del cuello que pueden afectar regiones supra e infrahioideas:
- Absceso parafaríngeo.
- Absceso retrofaríngeo.
- Linfadenitis cervical.
Para facilitar el estudio, abordaremos la patología por espacios.
PROTOCOLO DE ESTUDIO POR TC:
La TC multicorte con contraste intravenoso es la técnica de elección debido a la rapidez y accesibilidad de la prueba.
Protocolo estándar:
- Desde borde superior del peñasco y el borde superior del manubrio esternal
- Paciente en decúbito supino con los brazo extendidos a ambos lados del cuerpo. Mandíbula extendida.
- CIV: 80 ml / 3ml x seg. Retraso de 50 segundos.
- Postprocesado de imágenes: reconstrucciones MPR coronales y axiales con ventana de partes blandas y hueso, con un grosor de corte de 2-3 mm.
Es importante recordarle al paciente la necesidad de realizar movimientos respiratorios suaves y no deglutir durante el tiempo de adquisicón de las imágenes, para evitar al máximo artefactos de movimiento derivados de estas acciones.
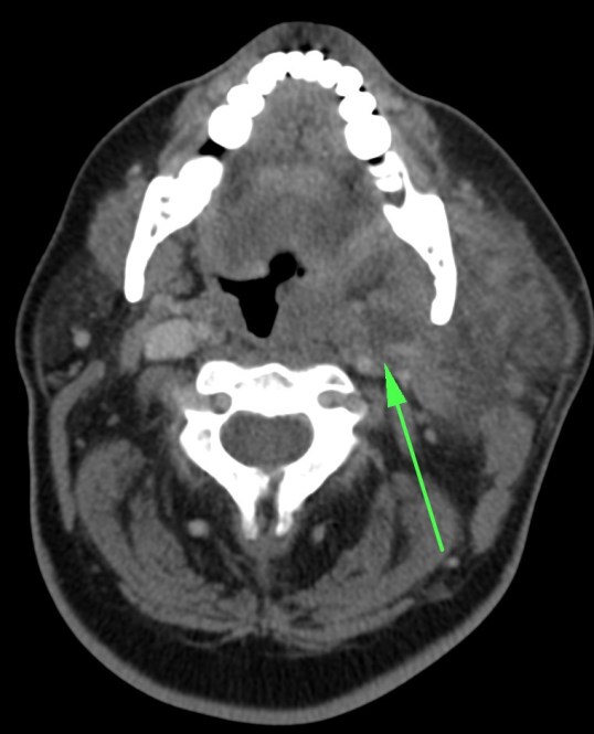
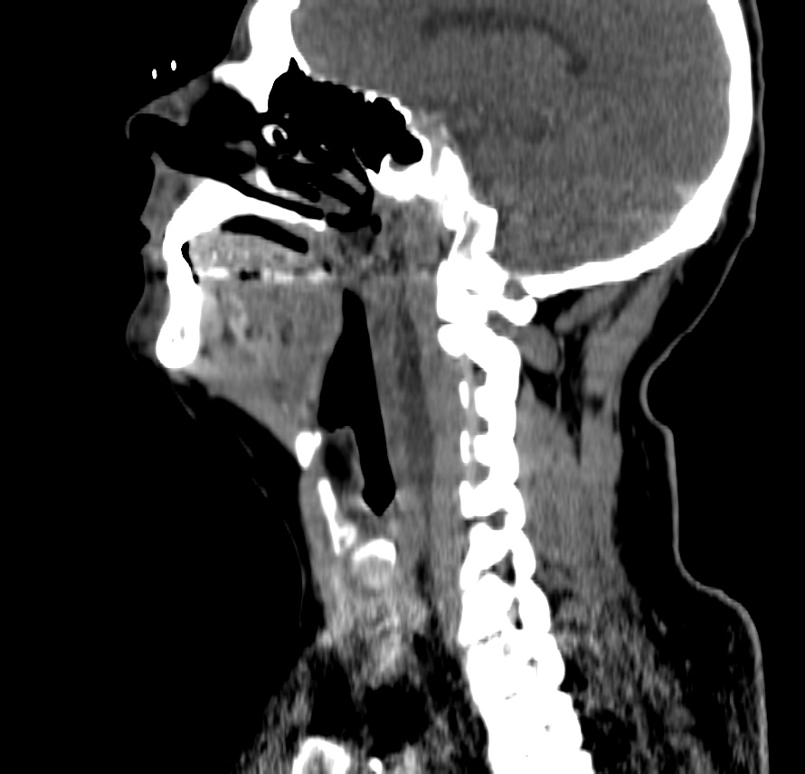
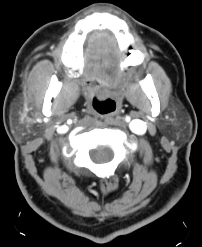
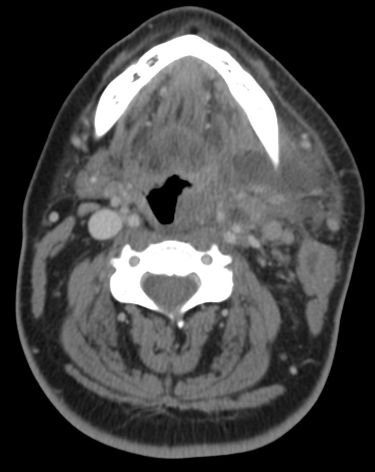
ESPACIO PARAFARÍNGEO.
En este espacio importante donde encontraremos mucosa y tejido linfático. Esta región puede ser el foco de origen de procesos infecciosos como faringitis, amigdalitis y/o abscesos.

Amarillo: mucosa faringea/amígdala.
Rojo: espacio vascular.
Azul: espacio masticador.
Verde: espacio parotídeo.
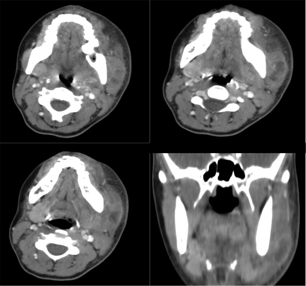
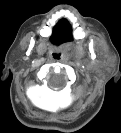
Amigdalitis, Absceso periamigdalino y parafaríngeo:
La clínica no permite diferenciar con exactitud entre celulitis y absceso y no permite determinar con exactitud la extensión del proceso. Clínicamente se sospecha un absceso cuando existe dolor en región cervical y amígdalas que empeora progresivamente a pesar de antibióticoterapia oral, fiebre persistente, odinofagia, voz gangosa, adenopatías cervicales dolorosas y en algunas ocasiones trismus.
Hallazgos:
- Aumento de tamaño de las amigdalas (amigdalas «besándose») con aumento de realce tras tras aplicación de contraste iv.
- En fases avanzadas surgen hipodensidades parenquimatosas o colecciones líquidas debido al edema y la celulitis existente.
- Un absceso periamigalino se diferencia de la celulitis porque presenta una licuefacción/colección central con anillo periférico realzado que puede o no presentar burbujas de aire en su interior. Un absceso de morfología irregular indica estadio más evolucionado.
- El absceso puede extenderse al espacio parafaringeo, constituye el 9% de todas las masas parafaríngeas.
- La distinción entre celulitis y absceso es importante en lo que al tratamiento se refiere. Si existe una colección drenable, la aspiración es el tratamiento requerido. Una colección con anillo periférico realzado, es compatible con absceso drenable en el 63-77% de los casos, población pediátrica y adulta incluida.
- Puede observarse agrandamiento y realce de la úvula.
- Es frecuente identificar adenopatías cervicales.
- Es frecuente observar una mala delimitación de los tejidos blandos adyacentes y las adenopatías cervicales.
- Una vez que la infección ha remitido, pueden quedar calcificaciones residuales en la amígdala.

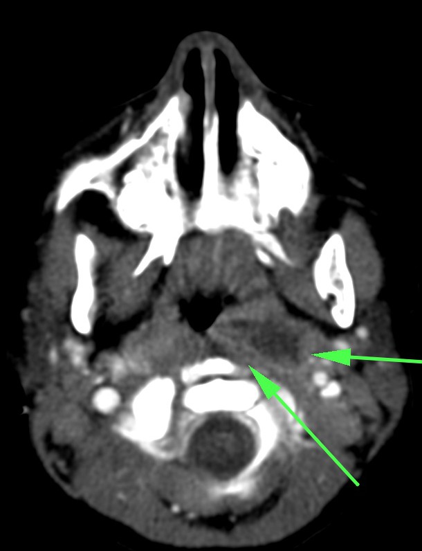
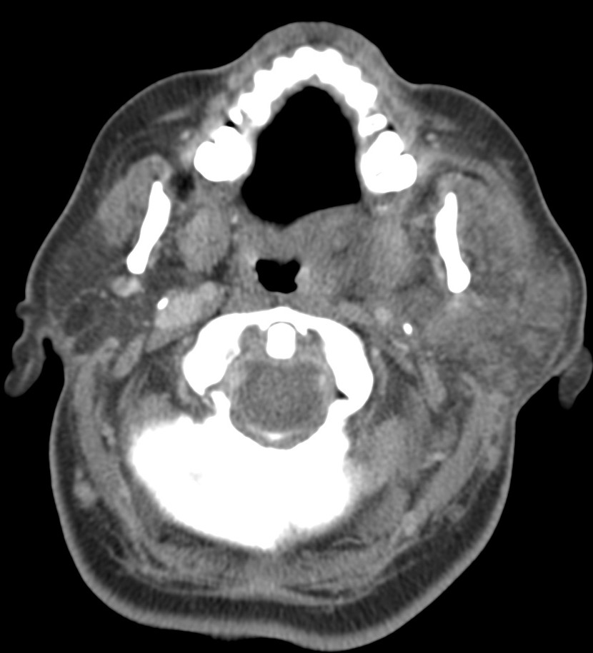
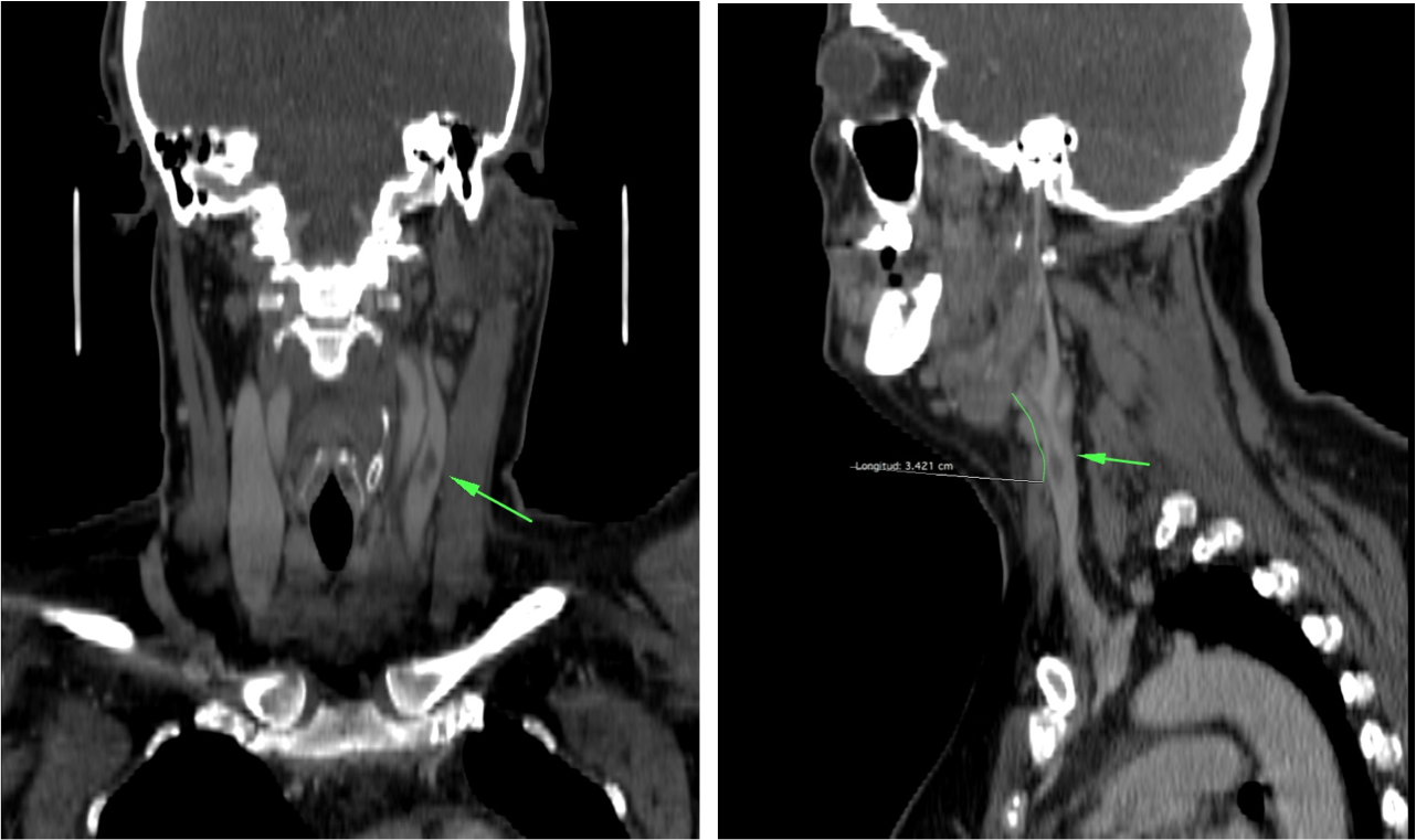
ESPACIO RETROFARÍNGEO:
En el adulto, este espacio contiene fundamentalmente grasa, mientras que los niños (hasta los 6 años) pueden presentar ganglios. Suele darse en niños e inmunocomprometidos por diseminación vía linfática de infecciones de tejidos adyacentes. La afectación de este espacio es muy importante porque puede extenderse al mediastino, normalmente entre los niveles D1 – D6
Clínica: fiebre, disfagia y dolor cervical que aumenta con los movimientos de rotación y flexión-extensión.
Hallazgos:
- Colección líquida con realce periférico en anillo, que ocupa y expande la retrofaringe, con o sin gas.
- Cuando se observa edema, fluidos o inflmación con aumento del espesor, hay que seguir caudalmente el espacio retrofaríngeo en indicar el punto donde vuelve a ser normal o hasta observar si existe o no afectación del mediastino.
- Determinar si existen complicaciones como: extensión al mediastino, compromiso de la vía aérea, asociación de espondilodiscitis o absceso epidural y compromiso del espacio carotídeo, que puede ocasionar trombosis de la vena yugular interna (Síndrome de Lemierre).
- Las calcificaciones musculares, a nivel de C1 y C2, pueden producir edema y dolor y pueden hacernos incurrir en errror. En esta entidad el espacio retrofaríngeo está respetado y no se observan colecciones con anillo realzado ni adenopatías.



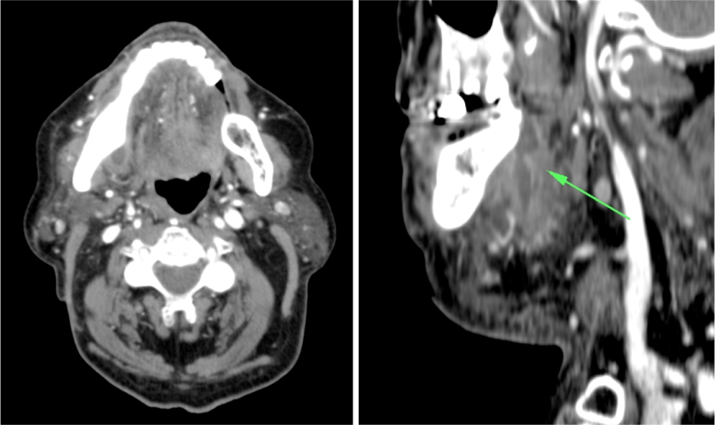
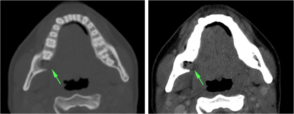
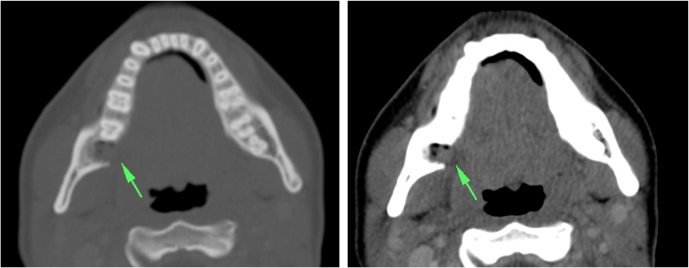
ESPACIO MASTICADOR:
En este espacio encontraremos los músculos de la masticación y el hueso de la mandíbula con las piezas dentarias. Por tanto, en esta localización encontraremos infecciones de origen dentario que cursan con aumento de volumen, dolor, calor y rubor facial y que pueden acompañarse de disfagia y disfonía. Cuando se originan en el 2º y 3º molar pueden extenderse al espacio submandibular mientras que los que se presentan en los dientes más anteriores tienden a difundir al espacio sublingual.
Hallazgos:
- Aumento de partes blandas y afectación de la grasa adyacente a los músculos de la masticación (celulitis y miositis).
- En las ventanas óseas, dehiscencia de la cortical del hueso de la cara mandibular dental de la pieza comprometida, estas áreas estarán en relación con colecciones líquidas hipoatenuadas con un realce en anillo de sus rebordes, visibles en las ventanas de partes blandas.
- Es muy importante identificar signos de osteomielitis mandibular:
- Osteopenia.
- Engrosamiento del periostio (periostitis), reacción perióstica (triángulo de Codman)
- Lisis o ruptura cortical.
- Hipondensidad, Pérdida de hueso trabecular
- Eclerosis periférica
- Gas.
Es importante recordar que el espacio masticador se extiende por la cara, la parte lateral de cabeza superando el arco zigomático e incluye al músculo temporal que se inserta en el hueso parietal, por lo que es importante incluirlo en nuestra valoración.
La infecciones profundas, como las que afectan las inserciones de los muculo pterigoideos, son difíciles de valorar, más aún si son incipientes. Es importante estar atentos a los procesos de los senos paranasales, que cuando son incipientes afectan a la grasa de la fosa pterigopalatina y retroantral. La fosa pterigopalatina siempre debe contener algo de grasa.



ESPACIO PAROTÍDEO:
Como el nombre indica, contiene la glándula parótida, la cual puede afectarse por procesos bacterianos (tras la obstrucción de secrecciones) o virales
Hallazgos:
- El lóbulo profundo de la glándula parótida se extiende medial y posterior a la mandíbula.
- Es importante estar familiarizados con densidad normal de la parótida, que debe ser baja comparada con los músculos y alta comparada con la grasa subcutánea tanto en TC sin y con contraste.
- Las infecciones virales suelen ser bilaterales (75%) y simétricas sin tanta repercusión de la grasa.



NOTA: Sialoadenitis:
Es la infección de las glándulas salivares mayores que resulta comúnmente de la obstrucción del conducto glandular por litiasis o estenosis por neoplasias. Menos frecuentemente es secundaria a sobrecrecimiento bacteriano en pacientes con poca salivación (Sd. Sjögren, medicamentosa o postradiación) o inmunosupresión.
Clínicamente: dolor y tumefacción local, fiebre y enrojecimiento con/sin supuración de material purulento por el conducto excretor.
Se estudia por ecografía y TC para las complicaciones.

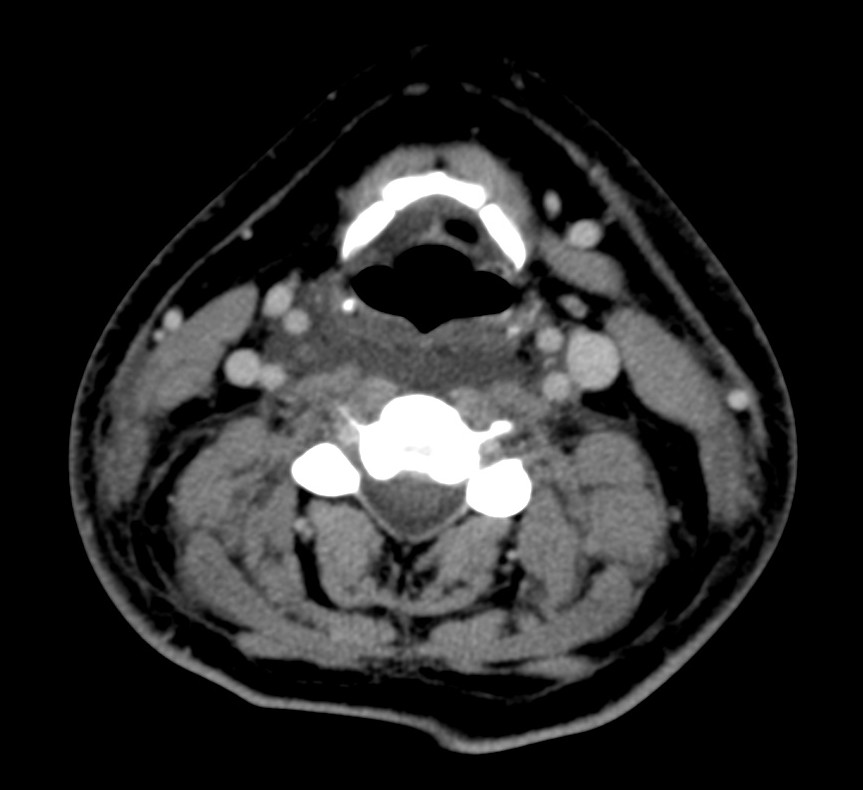
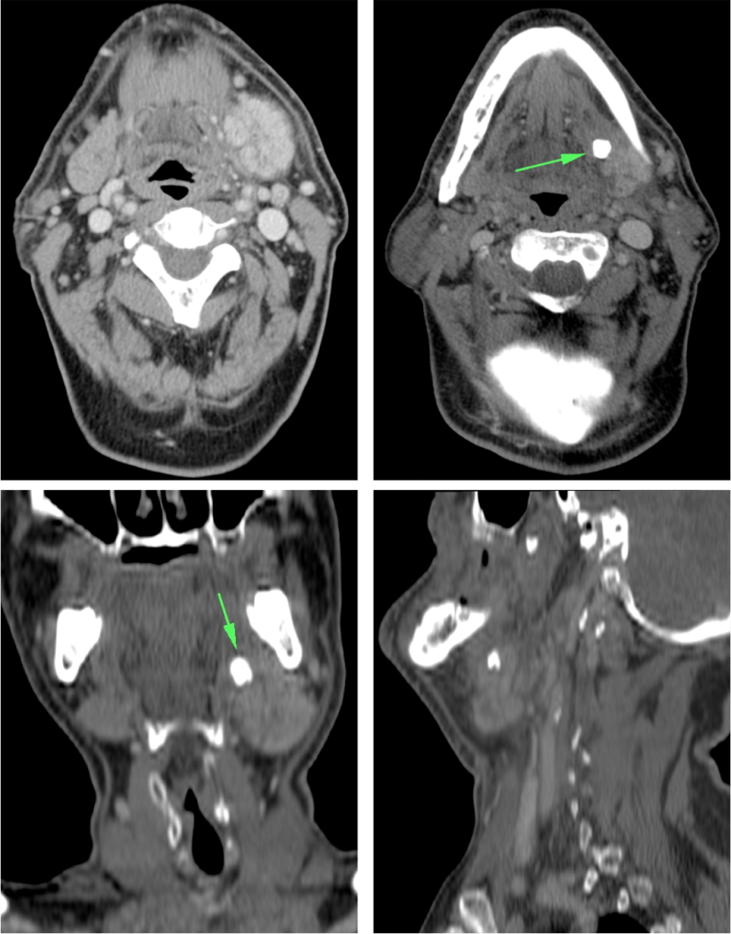
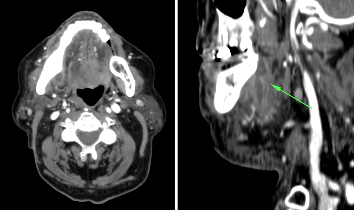
ESPACIO CAROTÍDEO:
Contiene la vena yugular interna y la arteria carótida, gánglios y porciones de los pares craneales IX-XII. Es importante estudiar los vasos, los cuales se rellenan fácilmente de contraste. Típicamente, la carótida se sitúa anterior y medial a la vena yugular. Una pequeña cantidad de grasa rodea estos vasos.
Síndrome de Lemierre: Tras una infección de la orofaringe, se produce tromboflebitis de vasos de cuello. Suelen ser infecciones asociadas con comobilidades tales como cirugía o radioterapia.
- Los defectos de repleción en la TC con contraste indican trombosis.
- La afectación de la grasa perivascular indica proceso inflamatorio.
- Si hay afectación de la vena yugular interna, existe alto riesgo de migración de émbolos sépticos a los pulmones. Por tanto, dada la gravedad, es fundamental realizar además una TC de tórax y es el radiólogo el que debe sugerir o establecer el diagnóstico de la enfermedad en un primer momento.
- La afectación de la arteria carótida puede ocasionar importantes consecuencias. Suelen ser infecciones asociadas con comobilidades tales como cirugía radioterapia de neoplasias en el cuello. Se puede producir la afectación de la vasa vasorum ocasionando necrosis mural, celulitis, abscesos o formación de seudoaneurismas y/o disecciones.



En el estudio del tórax (no se muestra) no se evidenciaron alteraciones.
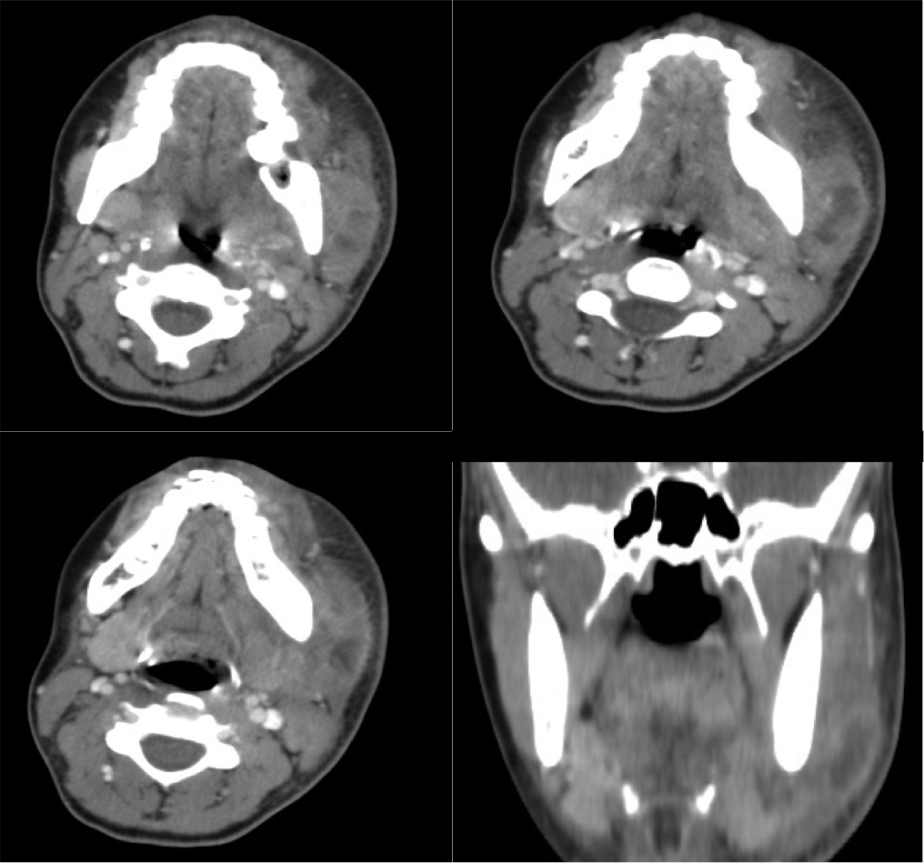
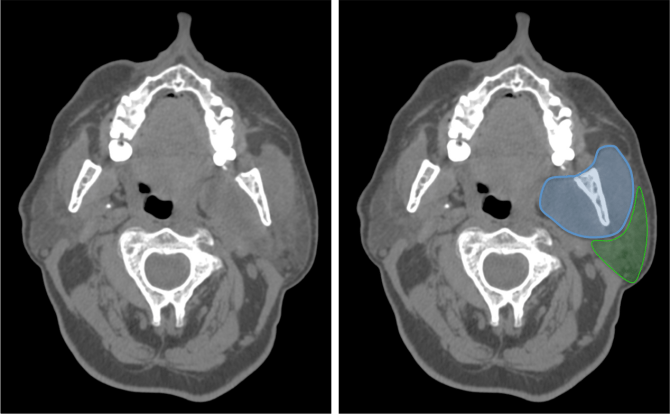
ESPACIO SUBLINGUAL Y SUBMANDIBULAR. ANGINA DE LUDWING:
Espacio sublingual:
Se sitúa inferior a la porción móvil de la lengua pero superior y medial al músculo milohioideo = Colecciones en esta localización son las denominadas sublinguales (las reconstrucciones coronales y sagitales son fundamentales). Contiene además a la glándula sublingual y una pequeña porción del aspecto superior de la glándula submandibular. Igual que en el espacio submandibular, las infecciones se manifiestan clínicamente por tumefacción, dolor, rubicundez y aumento de temperatura cervical. La mayoría son de origen dentario:
- Las que afectan a los dientes anteriores suelen limitarse al espacio sublingual, ya que sus raíces se quedan superior al milohiodeo.
- Las infecciones del 2º y 3º molar se suelen localizar en el espacio submandibular, ya que sus raíces se sitúan inferior a la inserción del milohioideo en la cara medial de la mandíbula (ver a continuación).

Espacio submandibular:
El espacio submandibular se sitúa inferior y lateral al músculo milohioideo. Es posterior al borde libre del milohioideo y comunica con el espacio sublingual (ver foto arriba). Contiene además la glándula submandibular, ganglios y a veces pueden localizarse quistes branquiales.
- Las infecciones del 2º y 3º molar se suelen localizar aquí. También pueden ser debidas a las supuración de adenopatías.
- Las infecciones de la glándula submandibular pueden confundirse con las de la parótida.
- Se produce aumento de tamaño, hiperdensidad e infiltración de la grasa adyacente. Cuando esto ocurre, se debe examinar el conducto de Wharton en busca de posibles cálculos.
- Otra forma de manifestación la constituye el flemón, con o sin celulitis y/o miositis, en estos casos se visualizan como masas hiperatenuadas, de bordes mal delimitados, con o sin engrosamiento e hiperatenuación de la musculatura, la piel y el tejido celular subcutáneo adyacentes.


Angina de Ludwing:
No es un absceso, es una celulitis multiespacial ya que afecta al suelo de la boca y los espacios sublingual y submandibular. Se manifiesta clínicamente por dolor, hinchazón, disfagia, fiebre y elevación de la lengua, puede asociar crepitación si se deben a microrganismos anaerobios. En la TC con contraste se observa:
- Realce y edema difuso de los componentes del suelo de la boca.
- Debe determinarse si existe colección susceptible de drenaje, permeabilidad de la vía aérea y presencia de aire secundario al crecimiento de microorganismos anaerobios.
- La infección causa elevación y desplazamiento de la lengua que puede cerrar la vía aérea (debe tenerse en cuenta a la hora de manejar estos pacientes antes de realizar la prueba).
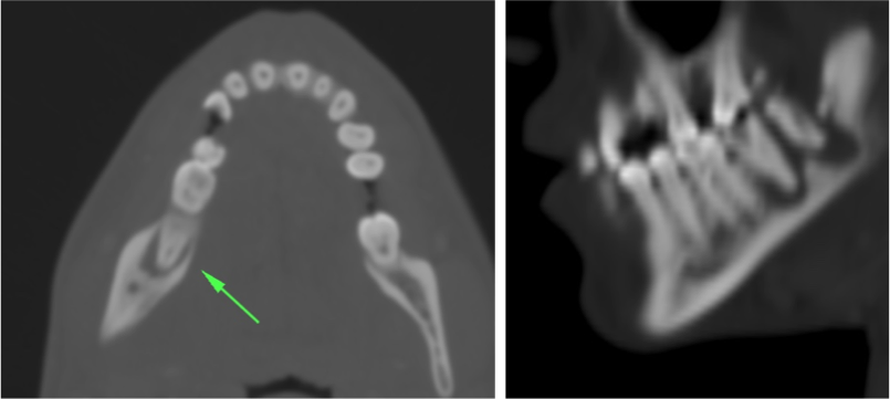
ENFERMEDAD DENTAL.
Ante pacientes con hinchazon facial, se debe sospechar enfermedad endodontal.
Puede ser identificada mediante TC por el estudio de las racies dentales, las cuales presentarán una lucencia o baja densidad que las rodea = signo de las raíces flotantes = afectación endodental = caries bacteriana que pogresa, afecta la pulpa y finalmente dañan la raíz del diente y el hueso de alrededor produciendo una osteomielitis localizada y abscesos subperiósticos o colecciones que se desplazan a tejidos superficiales.



OTROS PROCESOS A TENER EN CUENTA:
LESIONES CONGÉNITAS
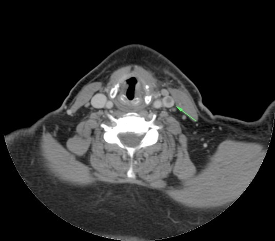
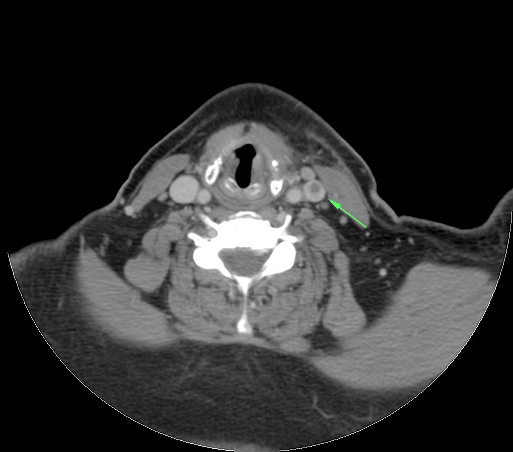
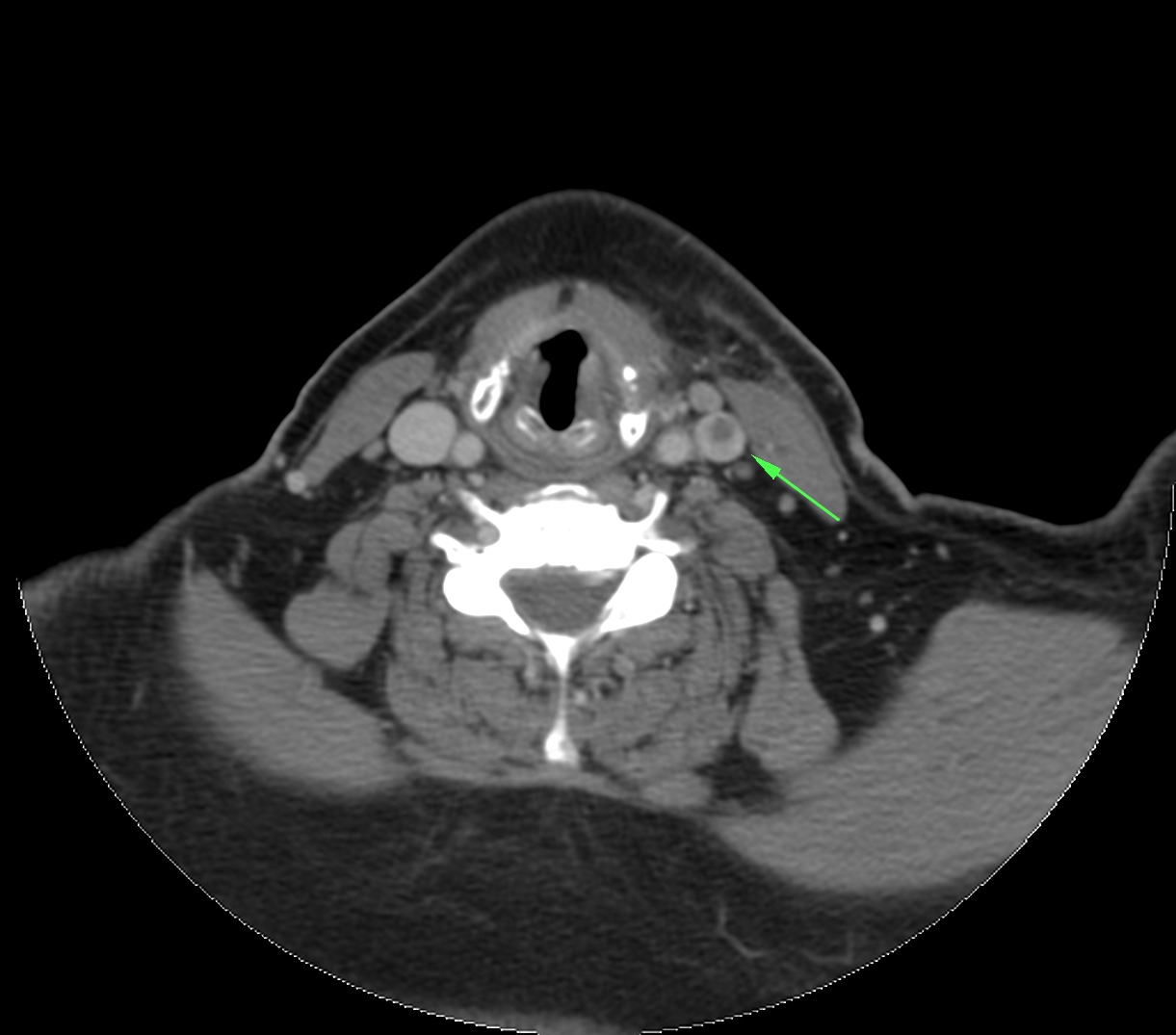
Quistes del segundo arco branquial:
Pueden localizarse en el espacio submandibular. Pueden pasar desapercibidos hasta que se infectan. Localización característica: colecciones que pueden tener realce en anillo en situación anterior y profundo al esternocleidomastoideos
Higromas:
Malfomaciones linfáticas congénitas que pueden ocupar varios espacios, por ello pueden tener una apariencia multiquística y ser difícilmente diferenciables de abscesos complejos.
LINFADENITIS CERVICAL
Afectación inflamatoria-infecciosa del tejido linfoide cervical.
Mayor prevalencia en inmunosuprimidos.
Clínica: masa cervical + fiebre, dolor, signos de flogosis local.
TC con contraste:
- Ganglios aumentados de tamaño con o sin necrosis central asociada, uni o bilaterales que pueden confluir formando masacotes adenopáticos en una o más de las cadenas linfáticas cervicales.
Bibliografía:
Face and Neck Infections. What the radiologist needs to know. Radiol Clin N Am 53 (2015) 827–846.
Radiología de cabeza y cuello. Actualizaciones SERAM.
SERAM 2012 / S-0657 Infecciones en cabeza-cuello según los espacios anatómicos.





Deja un comentario