El traumatismo cráneo-encefálico (TCE) es una de las mayores causas de morbimortalidad entre los adultos jóvenes y se deben a los accidentes de tráfico y caídas principalmente.
La severidad del TCE se clasifica mediante la escala de Glasgow, la cual tiene un rango de 3 a 15 puntos y valora 3 componentes: ojos, motor y verbal.
- TCE leve: > 12
- TCE moderado: >8 – ≤ 12
- TCE grave: ≤ 8
Los tipos de daño cerebral pueden dividirse en primarios (resultado directo del impacto: sangrado y fracturas) o secundarios (derivados de la cascada de eventos que desencadena el daño primario: derivan en el edema y la herniación). El daño primario implica un núcleo de daño axonal, de células gliales y de estructuras vasculares que serán irreversibles, mientras que el secundario deriva de la cascada de tejidos en penumbra y se pueden prevenir.
¿QUÉ SE CONSIDERA TRAUMATISMO LEVE?
La mayoría de traumatismos craneales en urgencias son leves y se identifica con estos criterios.
- Glasgow de 13-15.
- Pérdida de conciencia inferior a 30 min.
- Alteración del estado mental < 24h.
- Amnesia post traumática 0-1 día.
- Prueba de imagen normal (si existen cambios leves o menores en la TC se considera traumatismo leve complicado).
La mayoría de estos pacientes son dados de alta desde el servicio de urgencias, aunque un porcentaje significativo podrá presentar algún déficit o síntoma hasta incluso un año después del golpe. Estos síntomas pueden ser ansiedad, depresión, déficit cognitivo, cefaleas, dificultad del lenguaje, etc… y pueden darse en pacientes con pruebas de TC y RM normales, lo cual no quiere decir que no existan otros daños que no podemos ver con las técnicas convencionales. Por este motivo se han desarrollado con los años otras herramientas como el tensor de difusión (DTI), RM funcional, espectroscopía , ASL, etc…).
¿CUANDO HAY QUE HACER UNA PRUEBA EN UN TCE?
- Pacientes con Glasgow ≤ 14.
- Pacientes con Glasgow de 15 pero con alguno estos factores de riesgo:
- Cefalea severa.
- Náuseas.
- Vómitos.
- Edad < 4 años; > 65 años.
- Amnesia.
- Déficit neurológico.
- Sospecha de fractura.
- Tratamiento anticoagulante.
En estas situaciones realizaremos una TC de cráneo sin contraste, ya que es la prueba más rápida y accesible en el contexto de la urgencia y nos permite detectar con alta fiabilidad los sangrados intra y extraaxiales. Y decimos TC porque la Radiografía simple de cráneo NO está indicada su realización.
El TCE es un proceso dinámico, es decir, ocurren cambios patológicos con el tiempo. Por eso, tras el primer TC de estudio, hay que hacer luego otro de control. La mayoría de las progresiones de los daños ocurren entre las 6-9 horas tras el golpe.
NOTA: La RM se reserva para pacientes con clínica neurológica pero sin hallazgos patológicos en TC y para las los controles en fases subagudas y crónicas ya que identifica mejor las lesiones secundarias y predice el deterioro cognitivo.
¿HACEMOS UN TC DE CRÁNEO CON CORTES AXIALES O HELICOIDAL?
Depende del equipo diagnóstico que tengamos, es decir, del número de detectores y casa comercial, además de la indicación del paciente.
Muchos repiten que es mejor hacer la TC de cráneo con cortes axiales para evitar dar radiación en exceso al paciente. Sin embargo, esto no es así. La radiación administrada al paciente no depende del tipo de corte (axiales o helicoidales) sino que depende más del protocolo aplicado.
Resumiendo mucho, para los equipos de 16 detectores sería más apropiado en axial y para los de 64 o más, los helicoidales, pero hay que tener en cuenta el equipo diagnóstico y el protocolo a aplicar también. Para saber exactamente esto, échale un vistazo a esta pagina.
HALLAZGOS POR IMAGEN.
FRACTURAS DE CRÁNEO.
Con ventana de hueso.
Las reconstrucciones 3D-VR aumentan la capacidad diagnóstica de las fracturas desplazadas y no desplazadas.
La presencia de fractura no se correlaciona con la severidad del daño cerebral, sin embargo, la incidencia de hemorragia intracraneal es mayor en pacientes con fractura que en los que no la presentan. Al mismo tiempo, el 25% aprox. de pacientes con daños cerebrales fatales no muestran fractura de cráneo.
- Fracturas lineales = las más frec. -> baja incidencia de daño cerebral.
- Fracturas con hundimiento -> asocia contusiones y roturas durales.
- Fracturas de la base -> pueden ser transversas o diagonales, éstas con mayor índice de mortalidad. Pueden causar ceguera, afectación de pares craneales, pédida de audición, fuja de LCR. En las fracturas que afectan al canal carotídeo en su porción petrosa, merece la pena realizar un angioTC.

HEMORRAGIAS EXTRA AXIALES.
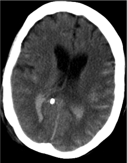
Hay cuatro tipos: Hematoma Epidural (HE), Hematoma Subdural (HSD), Hemorragia Subaracnoidea (HSA) y Hemorragia Intraventricular (HIV).
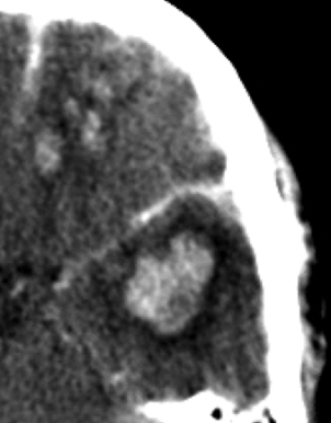
Hematoma Epidural.
- Frecuente en adultos jóvenes. Niños y ancianos es poco frecuente.
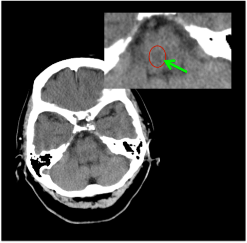
- Lente biconvexa hiperdensa. Si hay foco hipodensos en su interior puede indicar sangrado activo = signo del remolino = actitud quirúrgica.
- Normalmente limitada por suturas. Pueden cruzar la hoz y el tentorio
- Se localiza entre la duramadre y la tabla interna del cráneo.
- Suele ocurrir en el sitio de impacto por golpe directo que produce desgarro de vasos meníngeos arteriales y venosos.
- La arteria meníngea media es la más afectada y causa el hematoma temporo parietal.
- Los sangrados venosos mas frecuente es el debido a la afectación del seno esfenoparietal por fractura del ala mayor del esfenoides. También puede ser debido a afectación de los senos transversos y sigmoides en la fosa posterior.
- Se puede asociar con HSD por contragolpe, contusiones intracraneales y efecto masa.



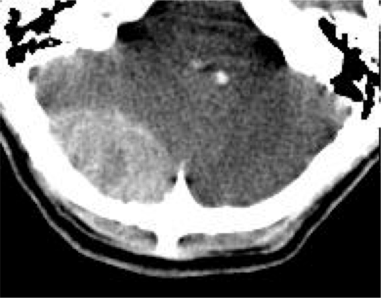
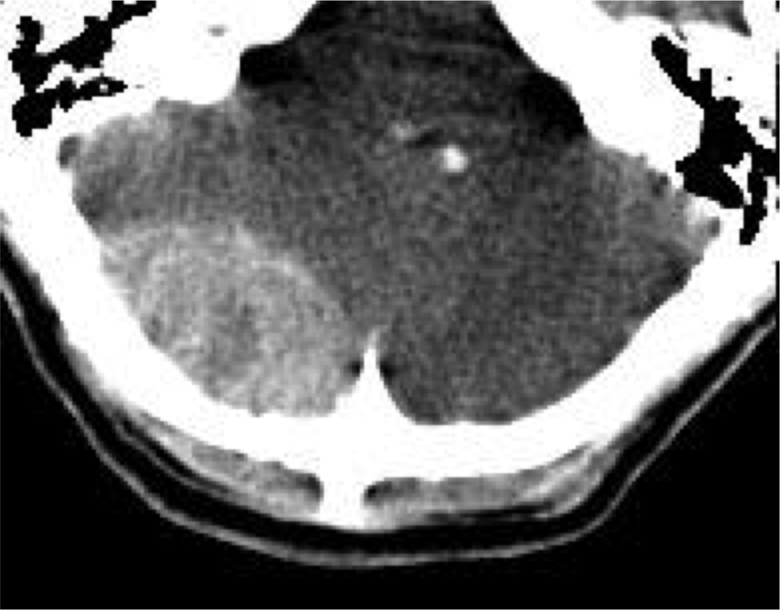
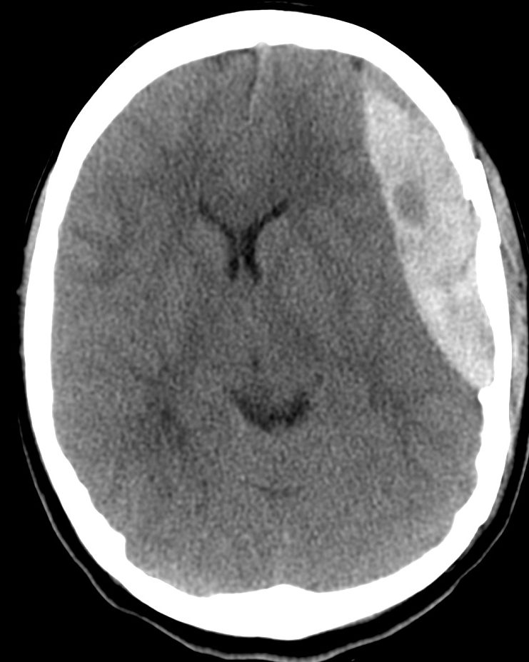
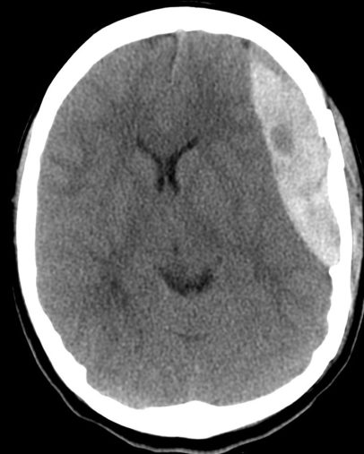
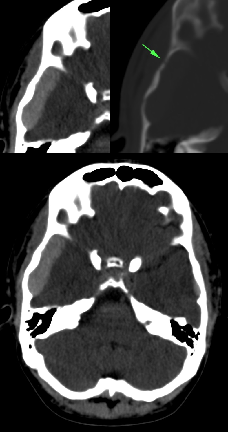
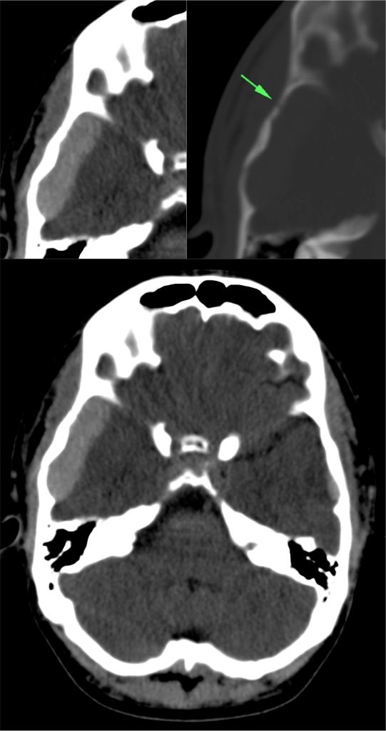
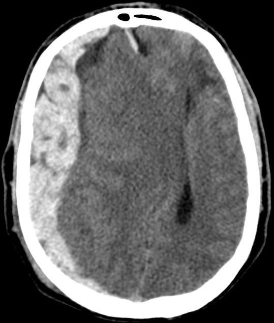
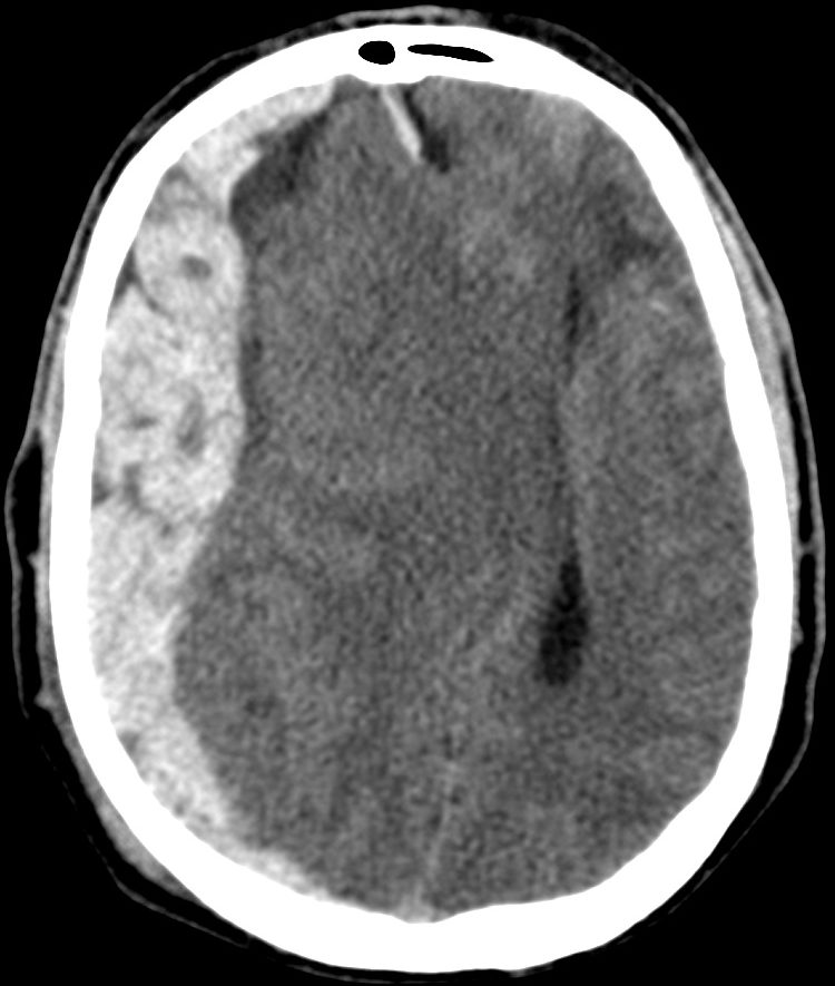
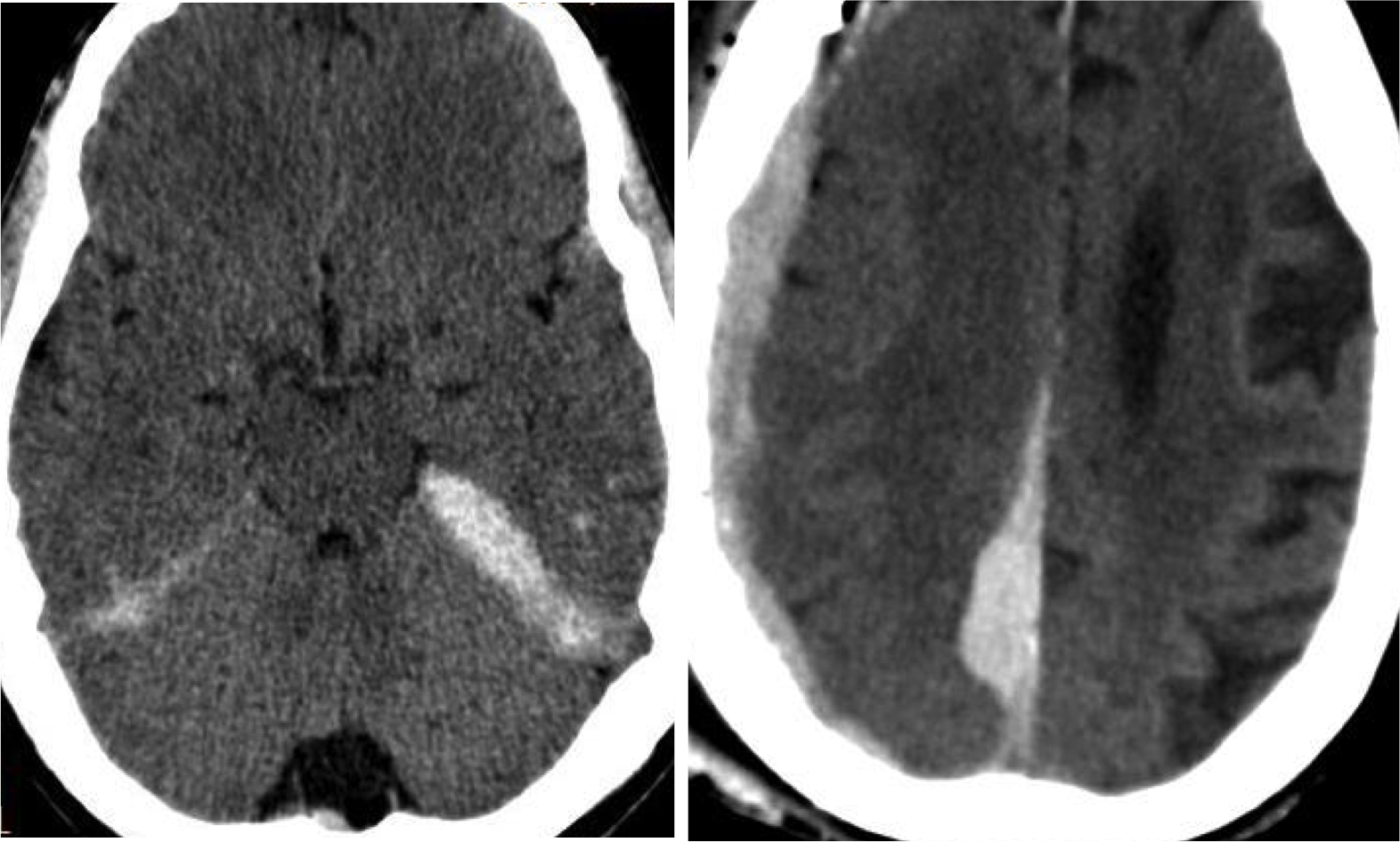
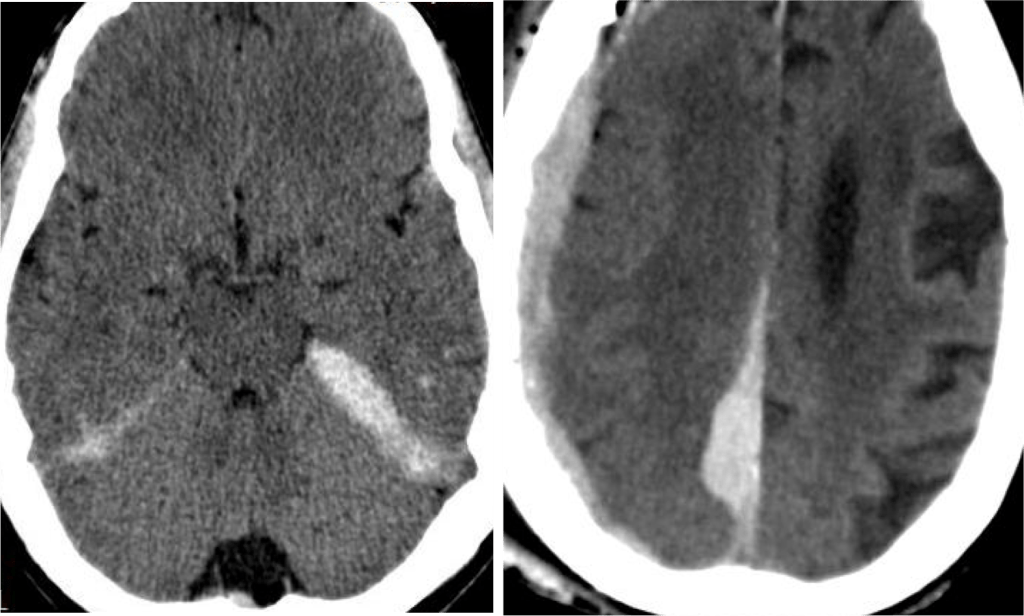
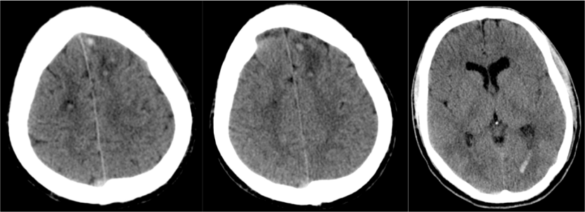
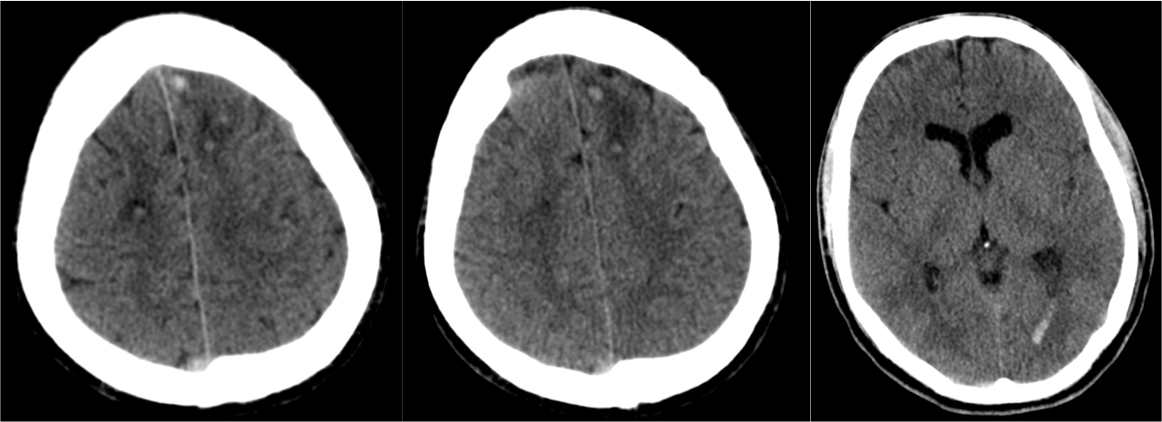
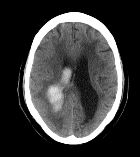
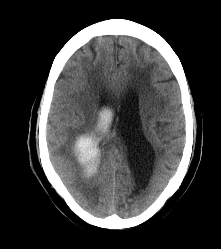
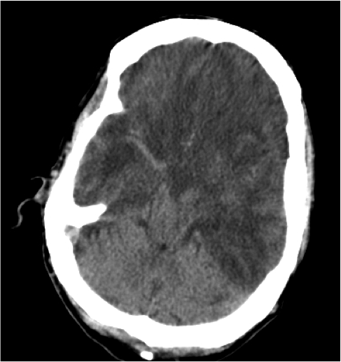
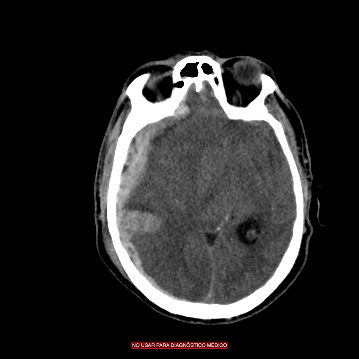
Hematoma Subdural.
- Se localiza entre la duramadre y la aracnoides y suele ser de origen venoso por la disrupción de venas corticales.
- Puede localizarse en punto de golpe y también en el de contragolpe.
- Semiluna hiperdensa (si agudo). Localización: Convexidad > hoz > tentorio
- Cuando son subagudos pasan a ser Isodensos, se identifican porque hay separación del cortex respecto a la tabla interna y efecto masa sin «masa aparente»: colpaso ventricular, desplazamiento de la línea media, etc.
- En estadío crónico puede ser hipodensos.
- Puede cruzar suturas.
- Puede asociar fracturas, contusiones, efecto masas, edema cerebral, HSA.





Hemorragia Subaracnoidea.
- Es la causa + frec de HSA, se observa 40% de los pacientes.
- Se produce por lesión vasos SA o también por extensión directa de contusiones o hematomas intracraneales al espacio subaracnodeo.
- Son líneas hiperdensas a lo largo de los surcos cerebrales, cisura silviana o en cisternas de la base.
- Comparado con la HSA por rotura de aneurisma, la de origen postraumático suelen se de localización periférica, por encima de los hemisferios cerebelosos.

Hemorragia Intraventricular.
- La hemorragia intraventricular se origina por la rotura de las venas subependimarias a lo largo de la superficie de los ventrículos o por extesnión directa de una HSA o de un hematoma parenquimatoso al sistema ventricular.
- Puede ocasionar hidrocefalia.

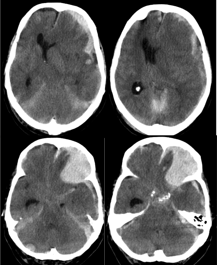
HEMORRAGIAS INTRA AXIALES.
Contusiones.
- Son las lesiones más frecuentes tras un traumatismo, especialmente en personas mayores.
- Son la expresión de laceraciones del parénquima cerebral tras un golpe o contragolpe, dónde suelen ser de mayor tamaño.
- Focos hiperdensos uni o multifocales parcheados y mal definidos. De localización cortical (trauma leve) y/o subcortical (trauma más severo).
- Lóbulo frontal y temporal son localizaciones más frecuentes debido a que el cerebro se desliza sobre la superficie irregular de la fosa craneal anterior y media.
Nota: La contusión y el hematoma constituye el mismo espectro de daños. Las contusiones hemorrágicas se definen como pequeñas hiperdensidades que afecta preferentemente el córtex con o sin edema periférico con relativa normalidad de la sustancia blanca subyacente en el trauma leve. Pueden incrementar en tamaño con el tiempo, lo que se conoce como progresión hemorrágica.


NOTA:
- La RM, con las secuencias susceptibilidad magnética (SWI) o eco de gradiente (GRE), permite detectar con mayor sensibilidad las pequeñas contusiones hemorrágicas. Se explica por su alta sensibilidad a los elementos con efectos paramagnéticos, como son la desoxihemoglobina en la fase aguda en una lesión hemorrágica y en la fase crónica a la hemosiderina
- Las contusiones NO hemorrágicas se identifican con la RM gracias a que restringen a la difusión y caen en mapa ADC. En una fase subaguda , debido al desarrollo de edema iónico y vasogénico, existirá hiperintensidad en FLAIR y T2
- Con el tiempo la lesión produce una ciactriz o gliosis y finalmente conforman un espacio quístico que se denomina encefalomalacia y que se manifiesta hipodenso en la TC.
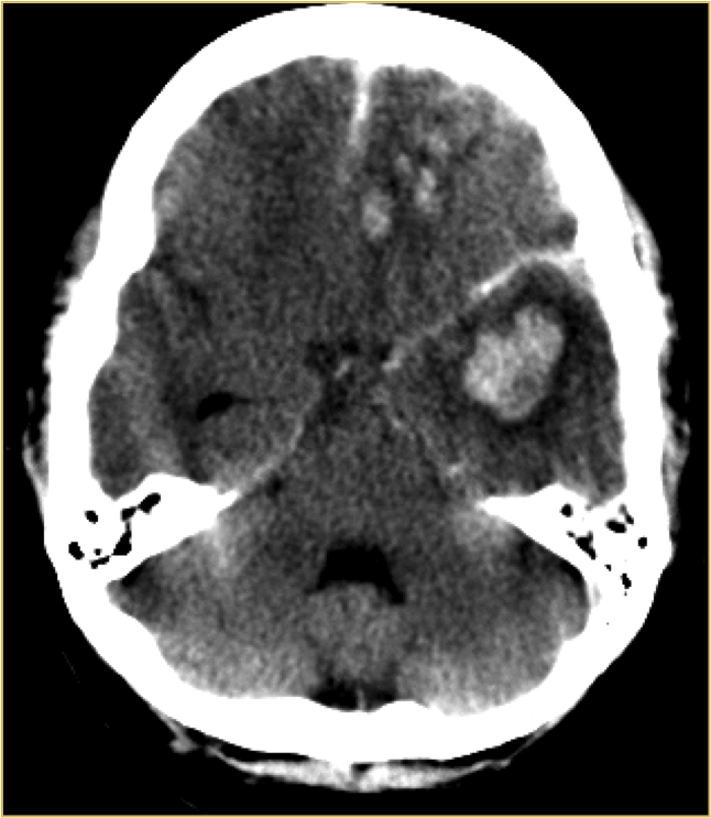
Lesión Axonal Difusa.
Está provocado por un mecanismo brusco de aceleración/desaceleración + fuerzas rotacional que causan ruptura de microvasculatura y de axones (lesiones por cizallamiento en la interfase sustancia gris – sustancia blanca debido a la diferencia de consistencia).
El contexto clínico suele ser el de un paciente con TCE de alta energía que presenta mala evolución, estado comatoso y /o fallecimiento, a pesar de contar con exámenes de TC normales o con muy escasas alteraciones al momento del ingreso. Estos paciente tienen indicación de RM.
Localizaciones:

- Grado 1: Interfase cortico-subcortical (lóbulos frontales y temporales sobre todo)
- Grado 2: Grado 1 + Cuerpo calloso (en el esplenio sobre todo)
- Grado 3: grado 2 + Tronco del encéfalo.
Además la localización cortico-subcortical, el cuerpo calloso es otra localización (esplenio) y normalmente se acompaña de daño axonal difuso también en hemisferios cerebelosos y tronco del encéfalo (regiones posterolaterales de mesencéfalo y protuberancia).
Hallazgos TC:
- En fase aguda puede ser Nomal.
- Edema cerebral (borramiento de surcos)
- Focos hemorrágicos en las sitios anteriomente descritos
- En fase cronica = zonas hipodensas + atrofia.

Hallazgos RM:
Fase aguda:
- Foco hemorragico = caída de señal en GRE y SWI (efecto paramagenético de la desoxihemoglobina)
- Focos edematoso = restricción a la DWI + caída en ADC. Mirar el cuerpo calloso
Fase subaguda:
- Foco edemaso sin hemorragia = Hiperintenso en T2-FLAIR / Hipointenso en T1. (edema vasogénico).
- Los focos edematoso que han evolucionado a hemorrágico se observan en secuencias de susceptibilidad magnética (caída de señal en GRE y SWI).
- Los originalmente hemorrágicos modifican su señal por la metahemoglobina = empieza a aumentar la señal en T1 y disminuye en T2
Fase crónica:
- Prolongación de los tiempos T1 , correspondientes a gliosis.
- Signos de disminución del volumen encefálico con áreas de atrofia.
- Focos de depósito de productos de degradación de la Hb (hemosiderina).
Lesiones en el Tronco del Encéfalo
Pueden ser primarias o secundarias
- Primarias: por contusión directa. Normalmente están asociadas a la lesión axonal difusa grado 3. Afectación dorsolateral de mesencéfalo y protuberancia. Mal pronóstico
- Secundarias: por desplazamiento brusco de una herniación transtentorial. Contrarias a las lesiones primarias, aquí prima la afectación verntrolateral del tronco. La hemorragia de Duret es una hemorragia secundaria del mesencéfalo como consecuencia de una herniación transtentorial descendente que comprime el tronco y las arterias perforantes. Es un signo de mal pronóstico

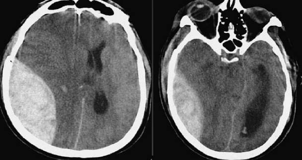
LESIONES SECUNDARIAS
Son debidas al aumento de la presión intracraneal o a las herniaciones, la importancia de su diagnóstico radica en que son lesiones prevenibles y tratables. Son:
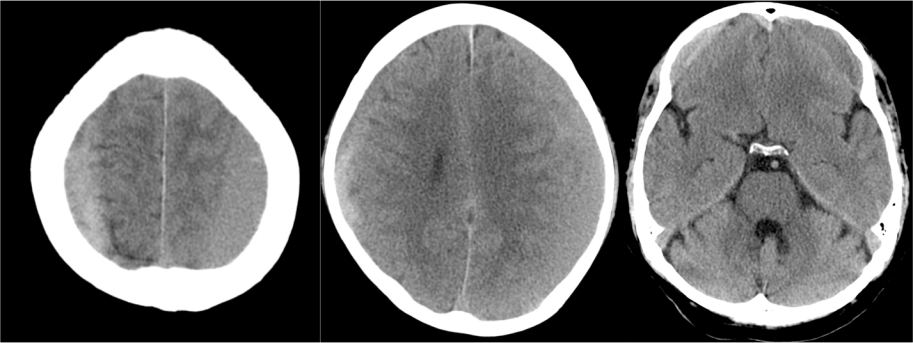
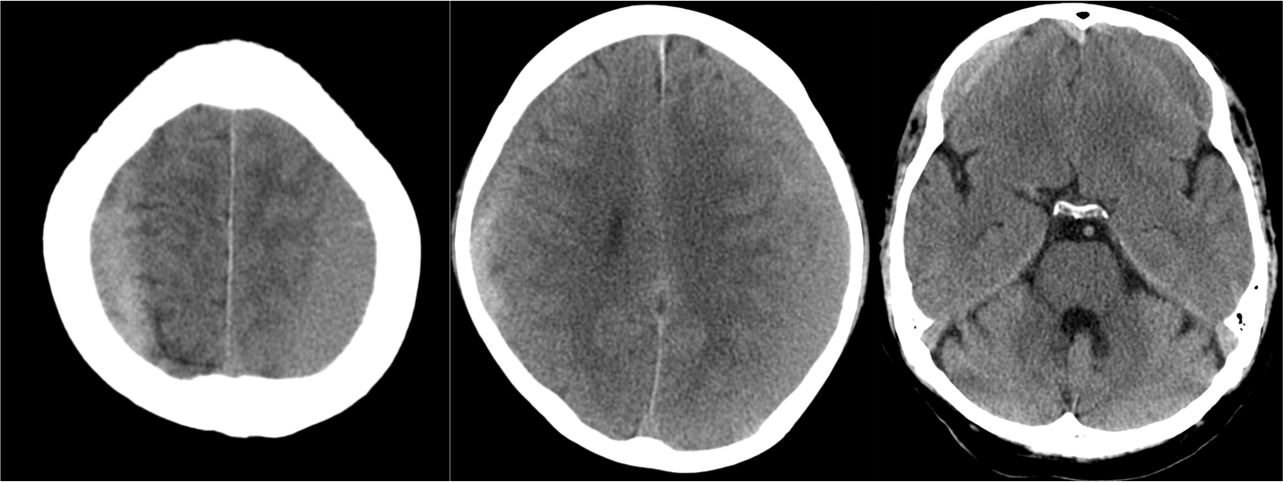
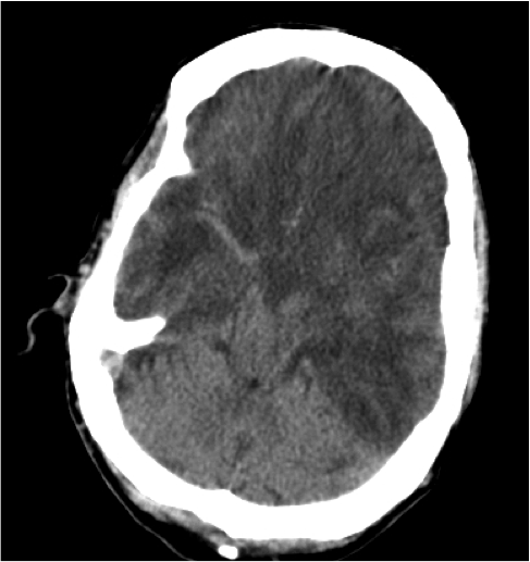
1- Edema cerebral difuso: Aparece en las primeras 48 horas del traumatismo. Se identifica por:
- Produce efecto de masa.
- Borramiento de surcos = pérdida de la interfase sustancia gris-sustancia blanca.
- Otros: signo del cerebelo blanco, falsa hemorragia subaracnoidea…


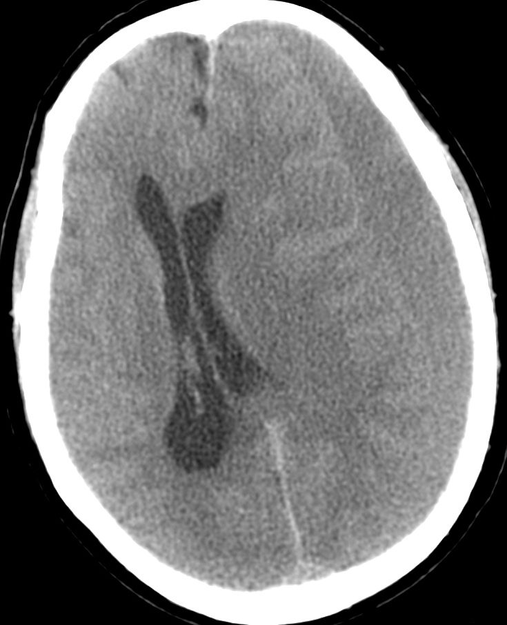
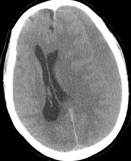
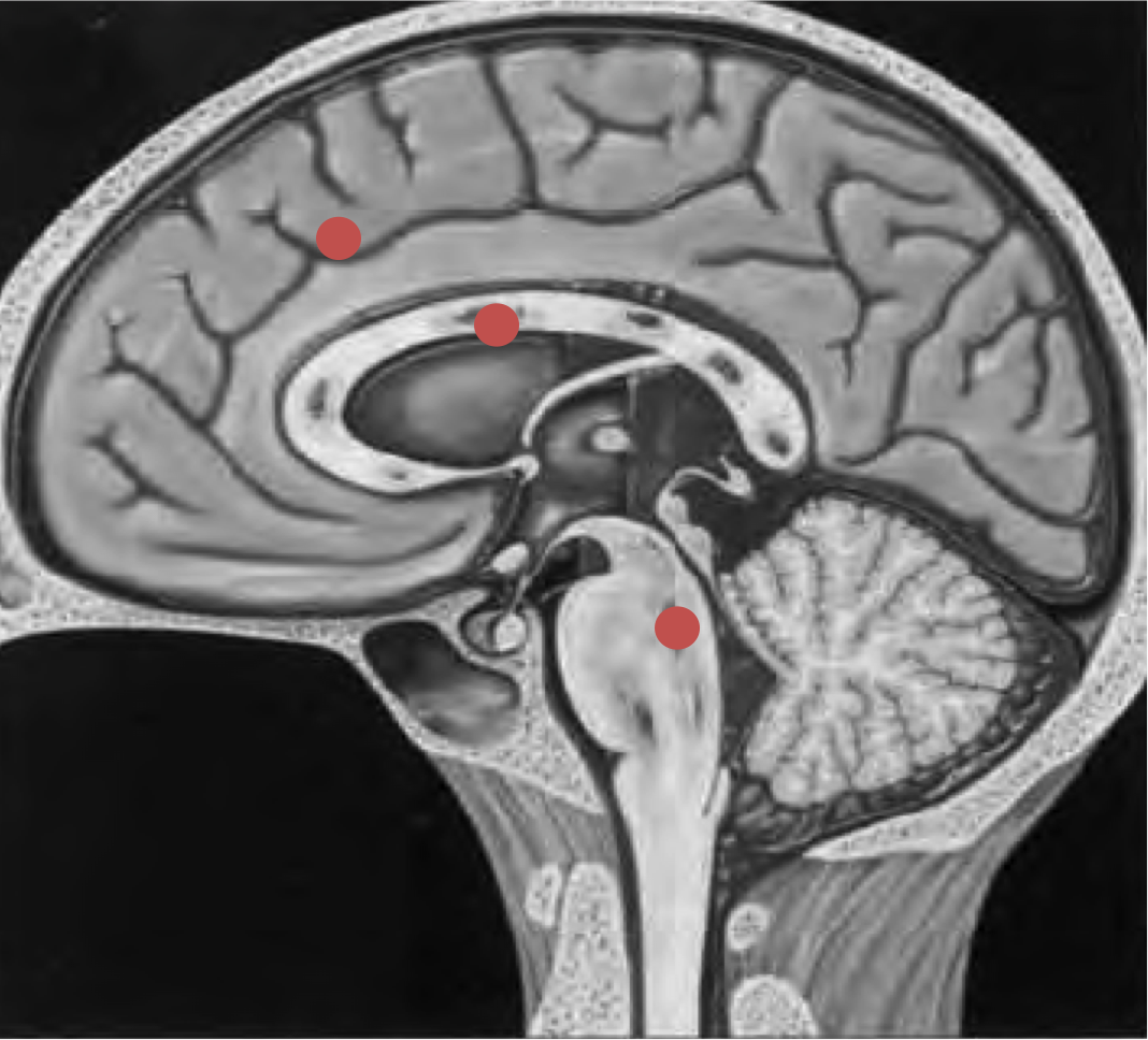
2- Herniaciones encefálicas
Subfalcina:
- Se produce la herniación de la circunvolución del cíngulo a través de la hoz.
- Puede producir compresión del asta y atrio del ventrículo ipsilateral.
- El VL contralateral puede dilatarse por obstrucción del agujero de Monro.
- Infartos del territorio anterior por compresión de la ACA y venas profundas.
Transalar:
- Desplazamiento anterior o posterior de la arteria cerebral media en cortes axiales.
- En planos coronales de RM se puede ver distorsión de la corteza de la ínsular.
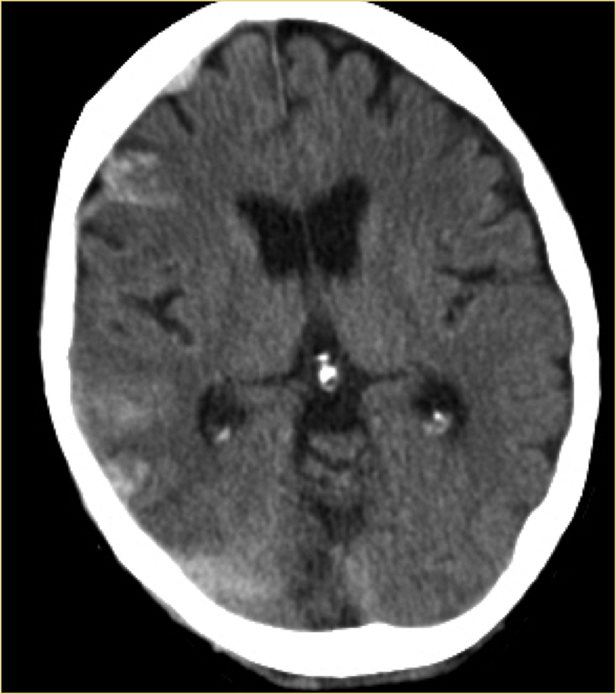
Transtentorial: puede ser unilateral/uncal o bilateral/central.
- Por descenso del contenido supratentorial a través de la tienda del cerebelo.
- Puede ser unilateral o Uncal = descenso del uncus hacia el interior de la cisterna supraselar.
- Dilatación del asta lateral contraletaral
- Dilatación de la cisterna ambiens y prepontina ipsilateral.
- Bilateral o Central = obliteración las cisternas basales
- Hay riesgo de infartos por compresión la ACP y perforantes.
- Pueden producir hemorragias de Duret (mesencéfalo) o de Kreonhan (pedúnculo cerebral contralateral)
Trasntentorial ascendente:
- Por ascenso de estructuras.
- Se produce desplazamiento del mesencéfalo y borramiento de cisuras.
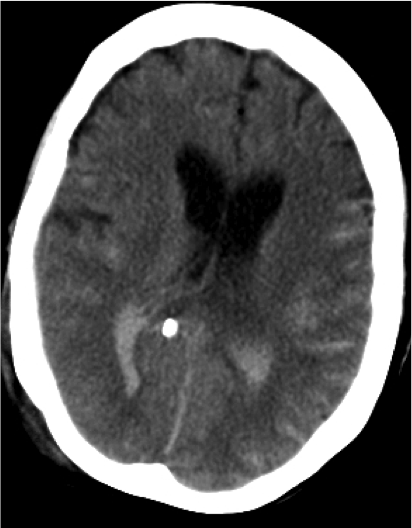
Amigdalar
- Por descenso de las amígdalas por el agujero magno.
- Lo normal es que las amígdalas cerebelosas (en imágenes sagitales) estén 5 mm por debajo del agujero magno en adultos y 7mm en niños.


3- Infarto isquémico y hemorragia secundaria.
Por compresión de las arterias intracraneales, tanto por el edema y las herniaciones, pueden producirse infartos y hemorragias secundarias.
4- Lesiones Vasculares:
- Disección, Pseudoaneurisma, Rotura del vaso, Trombosis venosa, Fístula arteriovenosa.
Bibliografía.
Imaging of Traumatic Brain Injury. Radiol Clin N Am 53 (2015) 695-715
Difuse Axonal Injury – Radiopaedia.org
Imaging of acquired cerebral herniations. Neuroimag Clin N Am 12 (2002) 217 – 228
Traumatismos craneoencefálico: un proceso dinámico. SERAM 2014. S-0297.
Album-de-signos-radiologicos.com/category/signos-de-neuro/— Signo del Cerebelo Blanco.

Deja un comentario