
Una hernia cerebral se presenta cuando algo dentro del cráneo produce presión que desplaza los tejidos cerebrales. En la mayoría de los casos, es el resultado de un edema cerebral a raíz de un traumatismo craneal, infarto isquémico o un tumor. Es una lesión secundaria debida al aumento de la presión intracraneal cuya importancia radica en que son prevenibles y tratables.
Síntomas y signos que puede causar una herniación:
- Cefalea.
- Dismincion del estado de conciencia.
- Coma.
- Pérdida de reflejos encefálicos (parpadeo, náuseas y reacción pupilar a la luz)
- Paro respiratorio.
- Paro cardiaco.
- Pupilas dilatadas y ausencia de movimiento en uno o ambos ojos.
- Hipertensión arterial.
- Pulso irregular.
TIPOS DE HERNIACIONES CEREBRALES:
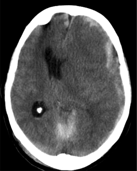
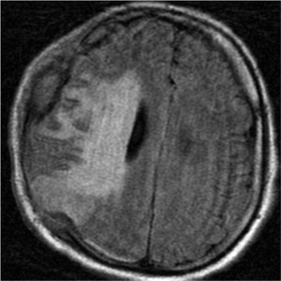
Subfalcina:
- Se produce la herniación de la circunvolución del cíngulo a través de la hoz.
- Puede producir compresión del asta y atrio del ventrículo ipsilateral.
- El VL contralateral puede dilatarse por obstrucción del agujero de Monro.
- Infartos del territorio anterior por compresión de la ACA y venas profundas.

Transalar:
- Desplazamiento anterior o posterior de la arteria cerebral media en cortes axiales.
- En planos sagitales de RM se puede ver distorsión de la corteza de la ínsular.

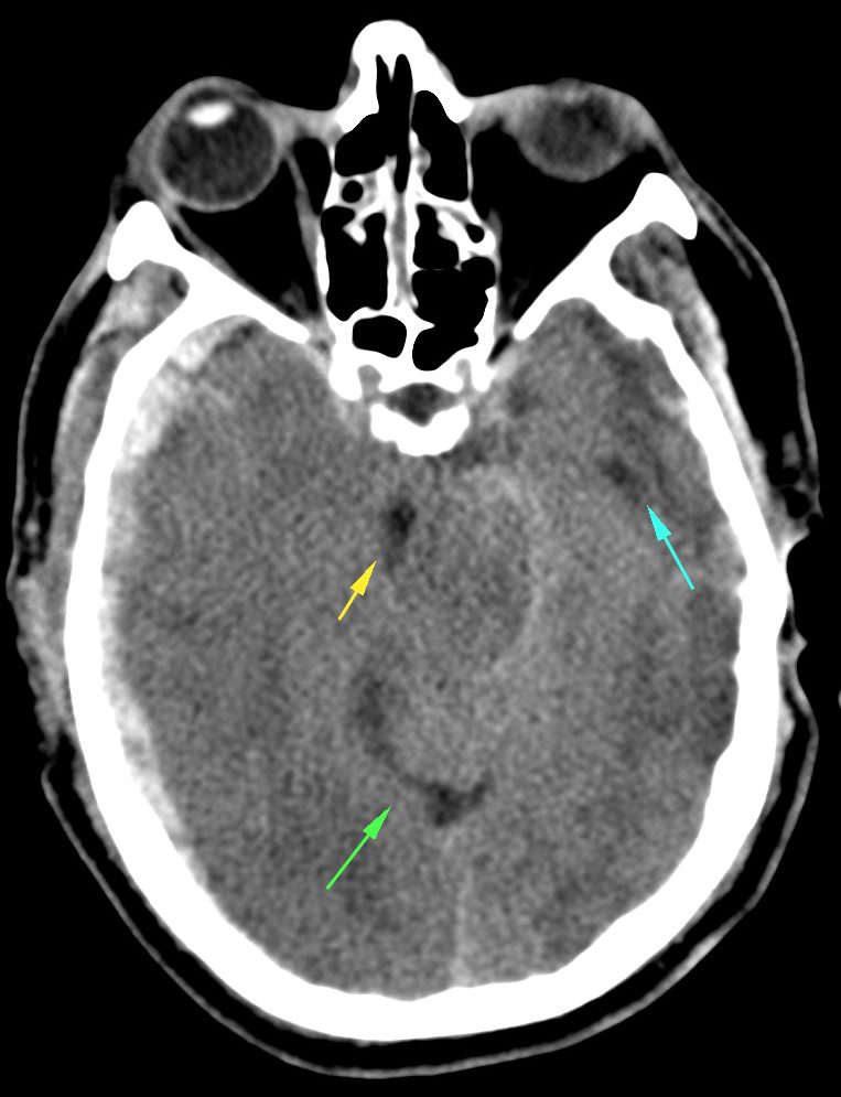
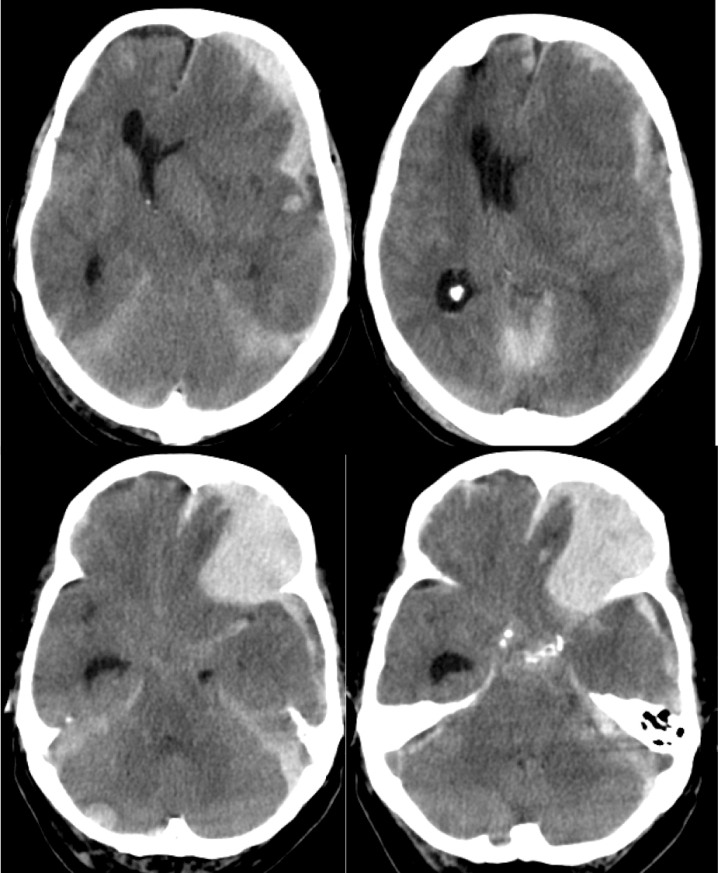
Transtentorial: puede ser unilateral/uncal o bilateral/central.
- Por descenso del contenido supratentorial a través de la tienda del cerebelo.
- Puede ser unilateral o Uncal = descenso del uncus hacia el interior de la cisterna supraselar.
- Dilatación del asta lateral contraletaral
- Dilatación de la cisterna ambiens y prepontina ipsilateral.
- Bilateral o Central = obliteración las cisternas basales
- Hay riesgo de infartos por compresión la ACP y perforantes.
- Pueden producir hemorragias de Duret (mesencéfalo) o de Kreonhan (pedúnculo cerebral contralateral)


Trasntentorial ascendente:
- Por ascenso de estructuras.
- Se produce desplazamiento del mesencéfalo y borramiento de cisuras.
Amigdalar
- Por descenso de las amígdalas por el agujero magno.
- Lo normal es que las amígdalas cerebelosas (en imágenes sagitales)estén 5 mm por debajo del agujero magno en adultos y 7 mm en niños.

Transcerebral:

- También se denomina fungus cerebri.
- Desplazamientos del cerebro a través de un defecto extracraneal, ya sea congénito ó adquirido : deformidades posquirúrgicas o postraumáticas.
Bilbiografía:
Imaging of acquired cerebral herniations. Neuroimag Clin N Am 12 (2002) 217 – 228
Imaging of Traumatic Brain Injury. Radiol Clin N Am 53 (2015) 695-715
Deja un comentario