FIBROMATOSIS COLLI.
- Es una masa benigna, una forma rara de fibromatosis, que ocurre en los neonatos y que afecta al músculo esternocleidomastoideo.
- Suele afectar más a niños que a niñas.
- Unas pocas semanas tras el nacimiento (>30 días generalmente).
- Frecuenta la historia de parto traumático (fórceps, malposicion en el útero materno).
- Clínica de tortícolis.
DIAGNÓSTICO:

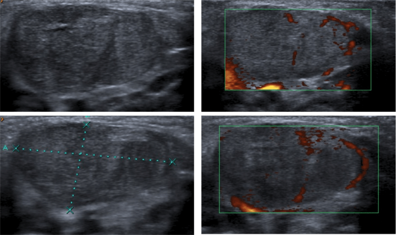
La ecografía es la técnica de elección. Siempre es la prueba inical a realizar. Se observa una masa focal o aumento de tamaño del músculo de forma difusa. Esto produce un acortamiento del mismo produce un giro de la cabeza hacia el lado contrario al afectado.
La ecogenicidad suele estar aumentada, disminuida o ser similar al músculo. La señal Doppler color puede mostrar captación de flujo con ondas de alta resistencia
La RM y TC pueden mostrar la presencia de hemorragia o calcificaciones.
La histología revela fibroblastos y fibras musculares residuales.
TRATAMIENTO:
Se resuelve en 4-8 meses. Solo requiere fisioterapia.
DIAGNOSTICO DIFERENCIAL TUMORACIONES CERVICALES EN PEDIATRÍA

IMPORTANTE:
LESIÓN QUÍSTICA:
- T. Anterior = Quiste tirogloso y de la Hendidura Branquial.
- T. Posterior = Higroma quístico
ESTERNOCLEIDOMASTOIDEO:
- Fibromatosis Colli.
CUALQUIER LOCALIZACION:
- Adenopatía, Absceso y Neoplasia.
SIEMPRE SE EMPIEZA CON LA ECOGRAFÍA. Luego se recurrirá a TC o RM en caso de ser necesario.
DIAGNOSTICO DIFERENCIAL: Patología tumoral y seudotumoral.
DERMOIDE Y EPIDERMOIDE:
- Línea media.
- Paciente asintomático < 3 años.
- ECO: masas ecogénicas bien delimitadas con pared fina.
- RM restricción a la difusión.
TERATOMA.
- Al nacimiento = Gran masa anterior.
- Distrés respiratorio y disfagia.
- La imagen muestra una masa heterogénea con áreas quísticas, calcificaciones y grasa en su interior
NEUROBLASTOMA.
- Tercera neoplasia más frecuente en niños.
- Puede surgir en cualquier localización de la cadena simpática, siendo la localización cervical la más rara, y representa menos del 5%.
- ECO = masa sólida con calcificaciones y vascularización interna.
- TC = masa sólida que puede presentar calcificaciones intratumorales en una masa. Frec en triángulo cervical posterior.
- RM = para demostrar si existe relación con el canal vertebral.
LINFOMA.
- Variedad no Hodgkin ( + frec). Tumor más frecuente en area cervical en pediatría.
- Suele presentarse como linfadenopatía asintomática.
- ECO = adenopatías en diversas localizaciones.
- TC = adenopatías son isodensas con el músculo.
- RM = isointensas en T1 y generalmente hiperintensas en T2.
- La necrosis y calcificación aparecen en el linfoma tratado.
RABDOMIOSARCOMA.
- Neoplasia de partes blandas más frecuente en la edad pediátrica.Tiene predilección por el área de cabeza y cuello (40% de los rabdomiosarcomas), que hace que sea el segundo tumor más frecuente en esta zona después del linfoma.
- Tres localizaciones: Parameníngeo, no parameníngeo y orbitario.
- Es fundamental la imagen en el seguimiento oncológico para monitorización de la regresión tumoral durante el tratamiento y para detectar recurrencia tumoral (30,32).
- ECO = tecnica de inicio para esudio de masa cervical, aunque no puede alcanzar a compartimentos profundos del cuello.
- RM es la que mejor valora estos tumores de forma global. La TC se debe realizar para estudio de estructuras óseas afectadas y para determinar si existe extensión pulmonar. Hay que ofrecer la delimitación del tamaño y extensión a compartimentos adyacentes, demostrando la existencia o ausencia de afectación intracraneal, erosión ósea e infiltración de nervios craneales.
- Diagonostico diferencial: carcinoma nasofaríngeo, linfoma, tumor de glándulas salivares y orbitarios.
TUMORES DE LAS GLÁNDULAS SALIVALES.
- Adenoma pleomorfo = tumor benigno no vascular más frecuente.
- Los tumores malignos suelen ocurrir en niños mayores y adolescentes. El 50% de los tumores descritos (excepto las lesiones vasculares) son malignos.
- ECO = útil para loclaizar la masa y determinar si es sólida o quística.
- RM = mejor método diagnóstico para evaluar la extensión tumoral. La infiltración de estructuras adyacentes sugiere malignidad.
CARCINOMA DE TIROIDES.
- Irradiación previa de cabeza y cuello.
- Los tres tipos que ocurren en la infancia son el papilar (70%), folicular (20%), y medular (10%) .
- ECO = determinar los hallazgos de malignidad = diferenciación, diámetros, halo periférico, ecogenicidad , vascularizacon, etc.
Bibliografía:
Fibromatoses in Chilhood: The Spectrum of Radiographic Findings. AJR 1996;166:163-169
https://radiopaedia.org/articles/fibromatosis-colli
Diagnostico por imagen de la patología cervical en pediatría. SERAM 2012. S 0786.
Deja un comentario