GANGRENA DE FOURNIER.
Es una entidad rara. Se trata de una fascitis necrotizante del periné, perirrectal y del área gential. Constituye una verdadera emergencia urológica dada la gran mortalidad que conlleva, la cual va ligada al retraso diagnóstico.
Epidemiología:
- Más frecuente en hombres de 50-70 años.
- Diabéticos.
- Inmunosupresión.
- Alcoholismo.
El foco de origen es debido a infecciones del tracto urinario, la región ano-rectal y la piel de la zona genital (por herida/traumatismo/úlcera). Estas localizaciones constituyen puertas de entrada para microorganismos que producen una afectación inflamatoria difusa que llega hasta planos profundos, produciendo una endarteritis obliterativa en los planos fasciales, con falta de aporte sanguíneo y trombosis cutáneo-subcutánea que favorece el acceso y la proliferación de la flora bacteriana (klebsiella, proteus, estrepto, pepto y estafilococo, e. coli.). El gas que se origina es el producto del metabolismo anaeróbico.
El éxito del tratamiento se basa en una pronta actuación quirúrgica con desbridamiento de las áreas necróticas junto con antibioterapia, soporte hemodinámico y nutrición parenteral. Los principales riesgos postquirúrgicos son el distress respiratorio y el fallo renal agudo que pueden ocasionar una sepsis y shock séptico.
Clínica.
- Dolor perineal y escrotal con inflamación y enrojecimiento de partes blandas.
- Crepitación del tejido blando por el gas
- Fiebre y malestar sistémico de varios días de evolución (hasta una semana antes de que aparezcan los signos clínicos).
- Laboratorio: leucocitosis, trombocitopenia, hiperglucemia, anemia, hipocalcemia.
HALLAZGOS RADIOLÓGICOS.
La GF es un diagnóstico clínico. Las técnicas de imagen son útiles cuando el diagnóstico plantea dudas y cuando se quiere determinar la extensión del proceso así como la causa subyacente.
Radiografía simple:
- Puede observarse enfisema subcutáneo en escroto con extensión al periné, regiones inguinales o incluso los muslos antes de que el cuadro se haga clínicamente evidente.
- El hecho de no observar gas en el escroto/periné no excluye el diagnóstico.

Ecografía.
La ecografía escrotal es útil para establecer el diagnóstico de GF incluso antes de la manifestación clínica y también para descartar otras entidades como la celulitis, torsión testicular, la hernia o la orquiepidimitis.
Puede existir:
- Engrosamiento de cubiertas.
- Focos ecogénicos de gas en la piel del escroto (patognomónico). Estos focos no se ven en el parénquima testicular, no confundir con calcificaciones. Una hernia puede presentar gas en la piel del escroto, pero se diferencia de la GF porque existe gas en el interior del asa de intestino obstruida, lejos de la pared escrotal.
- Epidídimo y testes de ecoestructura conservada debido a que tienen un aporte sanguíneo diferente (arterias testiculares, se originan desde la aorta).

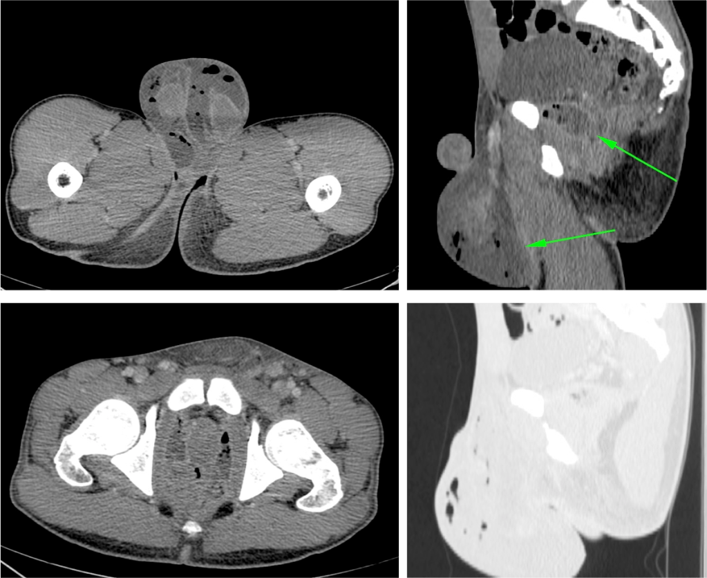
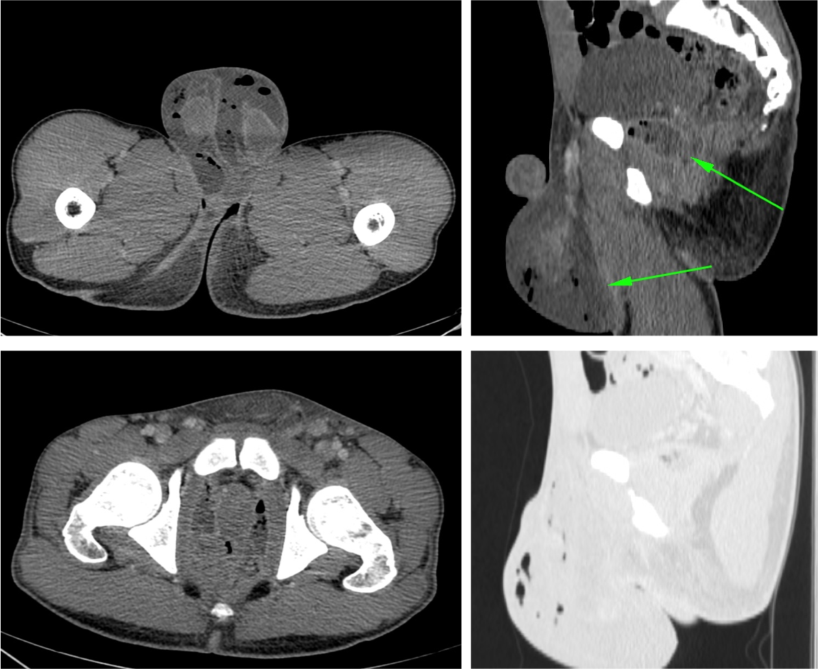
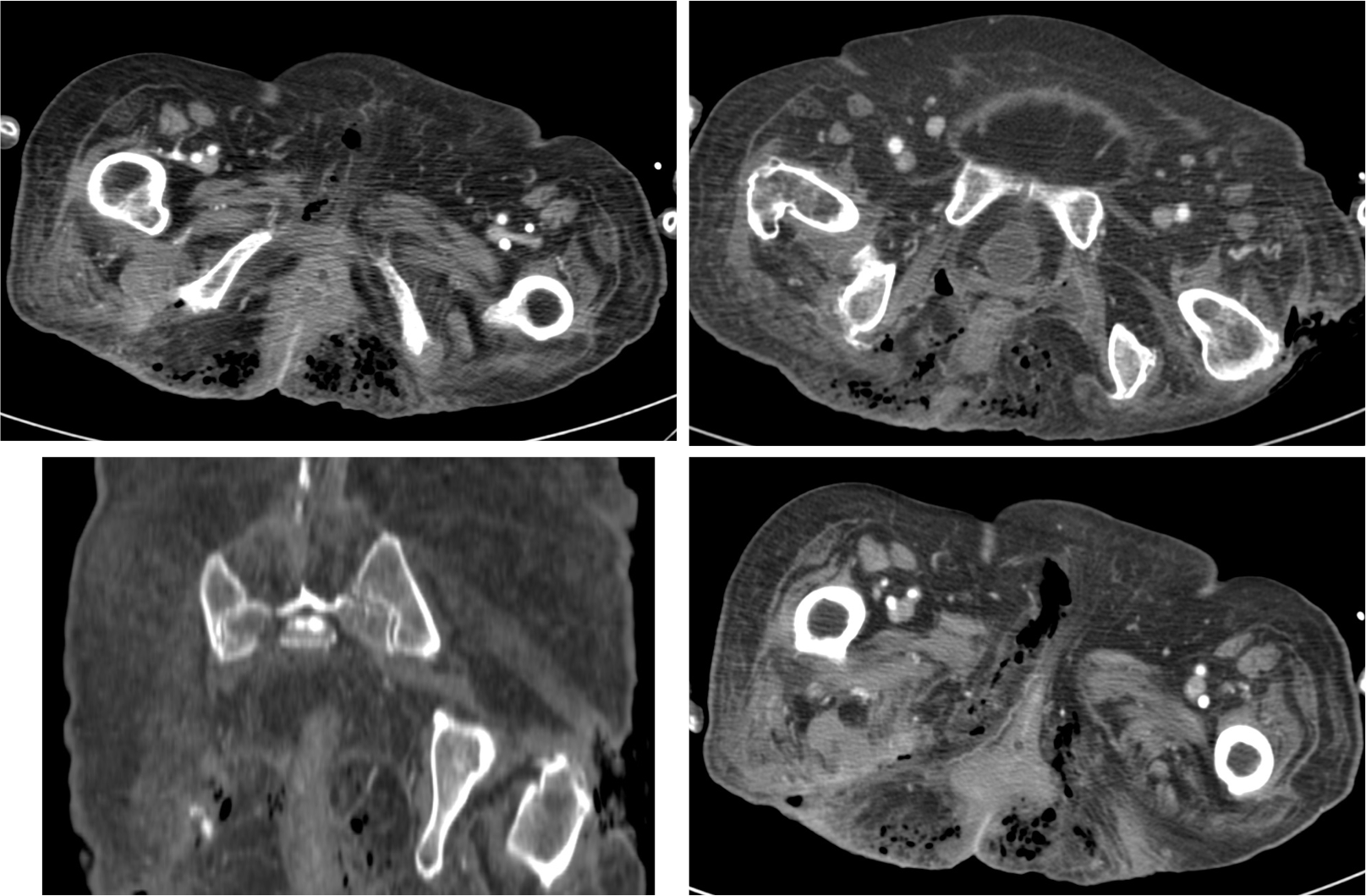
Tomografía Computarizada
Es la técnica que aprota mayor información, por ejemplo nos permite estudiar el retroperitoneo (se han publicado casos de Gangrena de Fournier por perforación de apéndice cecal). Define la causa, muestra el camino por el que se ha extendido el proceso y define las estructuras necrosadas,
- Engrosamiento de fascias e infiltración de partes blandas.
- Presencia de gas.
- Sirve para definir la extensión de proceso previa la cirugía.
- Permite identificar la etiologia del proceso (absceso perianal, fístula, hernias incarceradas, procesos retroperitonales, úlcera de partes blandas…).


Bibliografía.
Rajan DK, Scharer KA. Radiology of Fournier’s gangrene. AJR Am J Roentgenol. 1998;170 (1): 163-8
Uppot RN, Levy HM, Patel PH. Case 54: Fournier gangrene. Radiology. 2003;226 (1): 115-7
Deja un comentario