SINDROME DE HAGLUND.
El sindrome de Haglund describe un tipo especifico de tendinosis insercional que se asocia con una prominencia osea (deformidad de haglund) que se extiende desde el aspecto posterosuperior del calcáneo. Se produce la siguiente triada:
- Tendinopatía de la inserción del tendón de Aquiles.
- Bursitis retrocalcánea.
- Bursitis retroaquílea.
Existe dolor posterior y puede asociar además espolones calcáneos. Se da frecuentemente en mujeres que usan tacones.
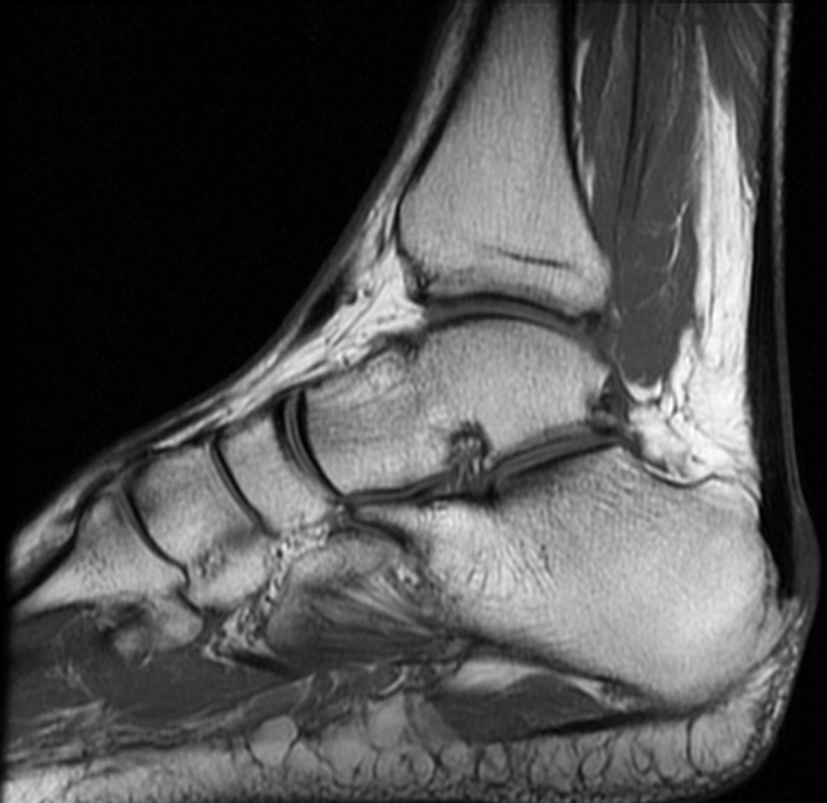
- Perdida / afectación del espacio de Kager por la bursitis retrocalcánea
- Tendinosis aquílea. El tendon mide más de 9 mm.
- Aumento de partes blandas. Se observa una convexidad de tejidos blandas posterior al Aquiles por la burisitis superficial.
- Deformidad de Haglund.
- Chauveaux-Liet angle mayor de 12º.


Resonancia Magnética:
- Engrosamiento focal y alteración de señal en la inserción del tendón de aquiles al calcáneo.
- Bursitis retrocalcánea y rotroaquílea.
- Edema de médula ósea en la tuberosidad calcánea.



Deja un comentario