Paciente jóven que acude a urgencias por dolor abdominal junto con náuseas y vómitos.
- Exploración: distensión abdominal con molestias/dolor a la palpación en epigastrio.
- Ctes vitales normales.
- Analítica normal.
Se realiza radiografía simple de abdomen:


En la ecografía se observa:

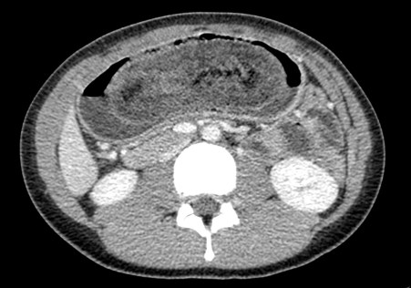
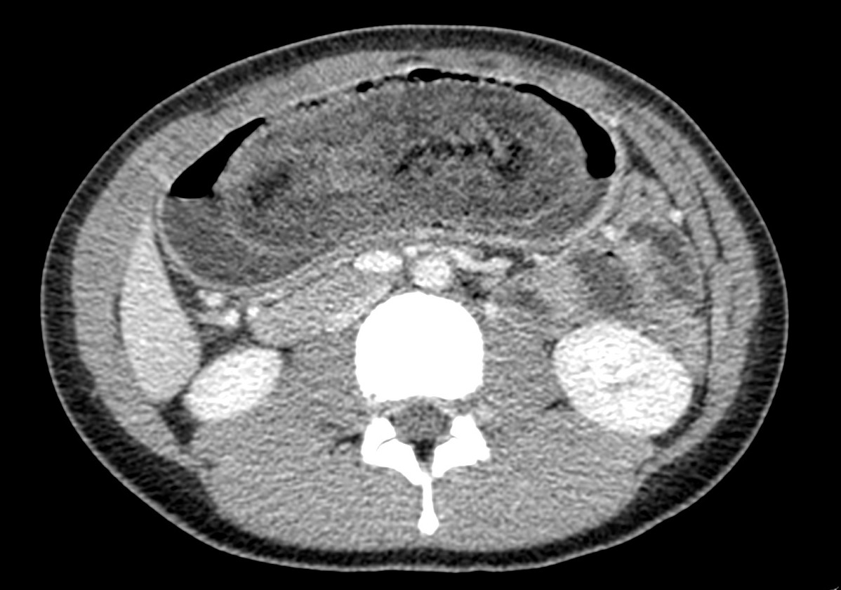
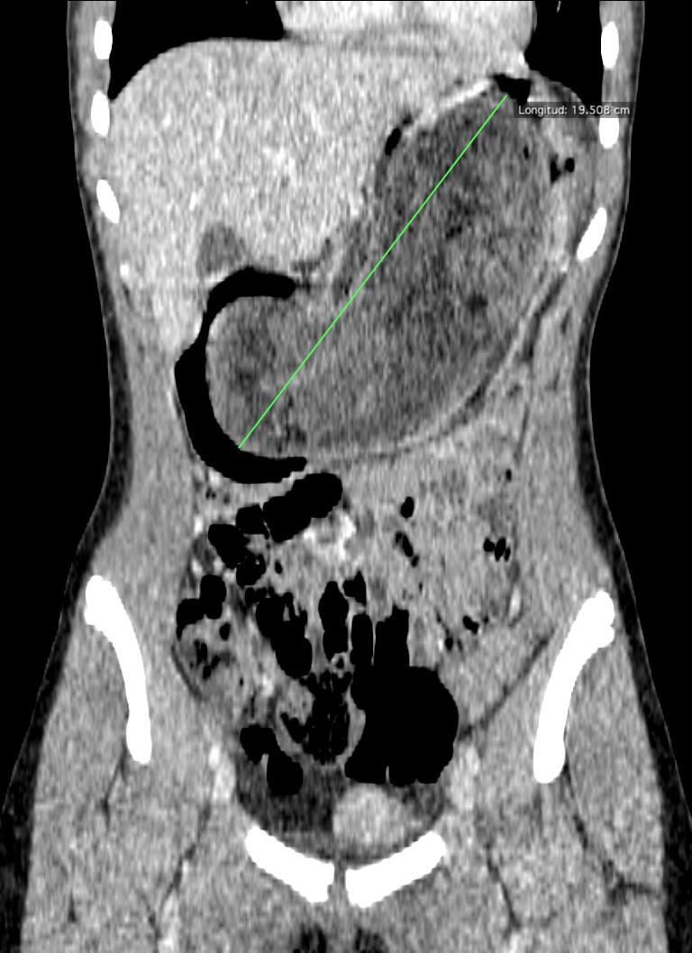
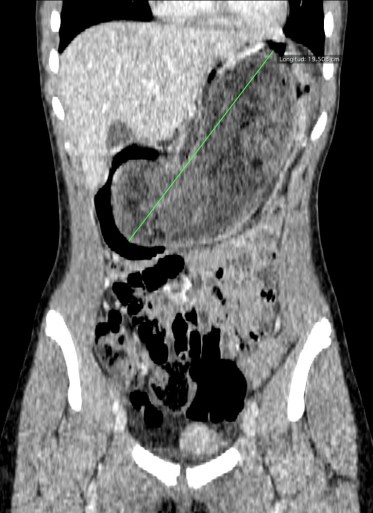
Finalmente, se realiza un TC abdominal:


Estamos ante un tricobezoar intrgástrico único. No hay obstrucción de asas intestinales.

BEZOAR GASTROINTESTINAL:
Se producen por la ingesta de materiales extraños o sustancias no digeribles que por tanto se acumulan en el tracto gastrointetinal. Hay diferentes tipos según el material ingerido, los tricobezoares (pelos) y los fitobezoares (fruta o fibra vegetal) son los tipos más frecuentes. Otros también pueden estar formados por restos de fármacos o productos lácteos no digeridos. Normalmente se forman en el estómago de pacientes con historia personal previa de cirugía gástrica o enfermedad psiquiátrica. Los bezoares pueden darse en el estómago, intestino delgado o intestino grueso y pueden presentarse aislados y ser múltiples.
Tricobezoares: Mujeres jóvenes que pueden asociar patología psiquiátrica. Compuesto por pelos, suelen localizarse en el estómago y no migran a otras localizaciones. Pueden producir el Sd. de Rapunzel, que es una obstrucción del intestino delgado por extensión de una cola de pelo desde el estómago.
Fitobezoares: Pacientes con historia personal de cirugía gástrica o que realizan dietas con alto contenido en fibra. Compuestos por frutas y fibra, suelen producir obstruccion del intestino delgado.
CLÍNICA:
- Pacientes jóvenes entre 15 – 19 años.
- Pueden asociar enfermedad psiquiátrica o antecedes de cirugía gástrica.
- Síntomas: indigestión/malestar estomacal, dolor, náuseas, vómitos, diarrea, anorexia, pérdida de peso, úlceras gástricas, obstrucción intestinal.
- Los bezoares pueden producir complicaciones: obstrucción intestinal o biliar, perforación, pancreatitis.
IMÁGEN:
Anteriormente, los bezoares eran diagnósticados post cirugía dado que los pacientes eran intervenidos por obstrucción intestinal. Hoy en día, gracias al desarrollo de la ecogafía y el CT, son diagnosticados con mayor frecuencia antes de la operación.
Hallazgos:
- Radiografía simple: manchas radiotransparentes en el intersticio de un masa sólida. Signos indirectos de obstrucción intestinal. Cuando el bezoar es pequeño, el difícil el diagnóstico a través de la placa simple, además de que pueden confundirse con abscesos o heces si se localizan en el colon.
- Ecografía: masa intraluminal con un arco hiperecoico y marcada sombra posterior. Ante este hallazgo, en intestino delgado hay que hacer el diagnóstico diferencial con un posible ileo biliar y, si se trata del colon, recordar que las heces también pueden dar este signo ecográfico. En el estómago, la ecografía es limitada.
- CT abdominal: Es la prueba de elección.
- Masa con baja densidad intraluminal + patrón de burbujas de aire moteado ( patrón característico).
- Edema de pared y engrosamiento de mucosa.
- Obstrucción intestinal: cambios de calibre y dilatación de asas pre estenosis. El CT puede determinar la causa, localización y grado de obstrucción intstinal.
- Sd de Rapunzel: cola de pelo que se extiende desde el estómago al intestino y puede producir obstrucción.
- Perforación: líquido libre y neumoperitoneo.
- El CT puede ayudar a distinguir entre un bezoar y particulas de comida. Los bezoares son redondos u ovoides, flotan en la superficie de agua/aire rodeados del contenido gástrico y que además muestran menor densidad que las partículas de comida. Los bezoares grandes tienden a rellenar todo el lumen y muestran burbujas distribuidas en el intersticio de la masa. Sin embargo, en ocasiones puede ser dificil difrenciar un bezoar de un cantidad considerable de comida retenida o de las heces si se localizan en el colon. Un hallazgo que puede ayudarnos, es identificar que dicha masa esta produciendo una obstrucción.
- La ventana estándar abdominal de (level, 40 H; width, 350 H) puede hacer muy dificil el diagnóstico de bezoar. Es recomendable bajar el Nivel/Level de la ventana hasta los L -1oo H o jugar con dichos niveles hasta identificar mejor las características del bezoar.
Cuando un bezoar es muy grande o produce obstrucción, normalmente el tratamiento es quirúrgico. Los bezoares pueden ser múltiples o presentar bezoares residuales, por ello cuando se diagnostica un bezoar, es importante buscar en otras localizaciones, ya que de pasarlos por alto el paciente podrá recidivar en el cuadro e incurrir en segundas intervenciones quirúrgicas.
TRATAMIENTO:
Es posible que sea necesaria la extirpación quirúrgica del bezoar, especialmente si se trata de tricobezoares, los cuales tienden a ser de gran tamaño. En algunas ocasiones, los bezoares pequeños se pueden extraer a través del endoscopio que se introduce en la boca hasta el estómago.
Bibliografía:
Gastrointetinal bezoars: sonographics and CT characteristics.
Deja un comentario