La obstrucción intestinal es una entidad frecuente en las urgencias médicas. El 7% de pacientes con dolor abdominal tendran un cuadro obstructicvo. Consitutuye hasta el 20% de los abdómenes quirúgicos. Las pruebas radiológicas son de gran utilidad, especialmente los equipos multidetectores. Se define como la detención del tránsito de forma completa y persistente en algún punto del intestino y debe diferenciarse de aquella que no es completa o persistente, que se denomia seudo-obstrucción intestinal.
El término seudoobstrucción intestinal idiopática o Sd de Ogilvie, enfermedad crónica, caracterizada por síntomas de obstrucción intestinal recurrente, sin datos radiológicos de oclusión mecánica cuya patogenia se piensa que es debida a trastornos de la reacción intestinal a la distensión y anomalías en los plexos intramurales ó en el músculo liso.
El íleo paralítico constituye una alteración en la motilidad intestinal, debida a una parálisis del músculo liso y no suele precisar cirugía. El íleo mecánico es una obstrucción al paso del contenido intestinal y sí suele requerila.
I.Paralítico
- Adinámico: postquirúrgico, peritonitis, Sd retroperitoneal ó reflejo enteroentérico a la distensión prolongada, compromiso medular, hiperuricemia, hipokaliemia, coma diabético, mixedema, bloqueantes ganglionares, isquemia.
- Espástico: intoxicación por metales pesados, porfirias.
- Vascular: embolismo arterial, trombosis venosa.
I. Mecánico
CLÍNICA:
Su etiología más frecuente son las adherencias peritoneales y las hernias, y un diagnóstico y tratamiento precoces evitan la isquemia intestinal, mejorando la morbimortalidad. La clinica es fundamental para el diagnóstico, mejora la sensibilidad y el VPP.
La sintomatología va a ser muy variable en función de la causa, localización y el tiempo de instauración del cuadro. El acúmulo de gas/secrecciones y la falta e motilidad intestinal producen la distensión abominal típica lo cual derivará en complicaciones secundarioas como terceros espacios, compresiones, isquemias, perforaciones o signos de shock y fallo orgánico en fases avanzadas.
Clásicamente:
- Edad mayor de 50 años.
- Dolor abdominal cólico: centralizado o difuso en fases avanzadas.
- Vómitos: más precoces en las obstrucciones altas (por encima del ángulo de Treitz) de tipo bilioso o alimenticio. Más tardíos y fecaloideos en las bajas.
- Distensión abdominal: típico, gradual.
- Estreñimiento/falta de emisión de gases: no es constante. Recordar que en las bajas pueden existir diarreas por rebosamiento.
- Paciente ancianos pueden presentar síntomas atípicos como caídas o deliriums.
DIAGNÓSTICO.
Radiografía simple:
Usada como screening, no excluye un diagnóstico de obstrucción intestinal si es normal.
La OI ha sido una de las indicaciones clásicas para la RA, que es diagnóstica en un 50-60% de los casos, dudosa en un 20-30% y confusa en 10-20% . La sensibilidad oscila entre el 46% y el 90.8% en las diferentes series, con especificidad próxima al 50%.
Los hallazgos principales serían dilatación de asas, niveles hidroaéreos y ausencia de gas distal. Las radiografías de tórax con hemiabdomen superior pueden usarse si existe sospecha de perforación. Tiene importantes limitaciones para determinar la causa de la obstrucion y la presencia de estrangulación.
Tomografía Computarizada:
Con sensibilidad y especificidad próximas al 100%, es la técnica inicial de elección ante la sospecha de una obstruccion intestinal. Ante la sospecha firme de obstruccion intestinal, realiza un diagnóstico más preciso, aporta más información adicional y evita retrasos en el diagnóstico.
Hallazgos:
- Distensión proximal a la obstrucción mayor de 3,5 cm en el intestino delgado y mayor de 5 cm en el colon con colapso de asas distales junto con la identificación, siempre que sea posible, de la zona del cambio de calibre (zona de transición), lo que nos permite realizar con mayor seguridad el diagnóstico.
- Si se observan asas dilatadas, independientemente del grado, si no hay colapso de asas distales, el diagnóstico más probable es un íleo paralítico.
- Engrosamiento mural de asas.
- Afectación de la grasa mesentérica adyacente, lo cual se produce en caso más evolucionados.
- Nivel de la obstrucción: determinado por la zona de cambio de calibre.
- En caso de obstrucción de un asa de colon existirá dilatación del colon proximal. Si la válvula es incompetente existirá también, además, dilatación de intestino delgado.
- Patrón en miga de pan en asas de intestino delgado proximal a la obstrucción (es un signo controvertido, podría indicar gravedad).
- Giro o remolino de vasos mesentérico pueden sugerir una volvulación.
- Neumoperitoneo como signo de perforación.
- Signos de isquemia intestinal.
- Hernia estrangulada (asa intestinal con signos de isquemia en el interior de un saco herniario).
ETIOLOGÍAS:
- Intestino Delgado: Adherencias y hernias (70% de los casos).
- Intestino Grueso: carcinoma > diverticulitis en sigma > vólvulo.
De manera global, en pacientes sin cirugía previa abdominal, las hernias constituyen la causa más frecuente de obstrucción intestinal, mientras que en los pacientes con antecedentes quirúrgicos son las bridas.
Las causas de obstrucción intestinal son múltiples y se pueden dividir, según donde se originen, en causas de origen parietal, extra e intraluminal. Las más frecuentes son:
ADHERENCIAS.
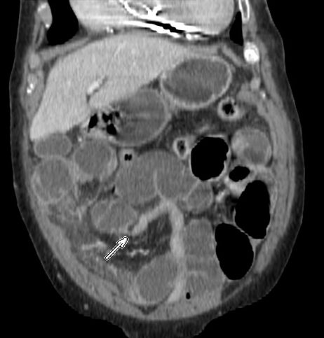
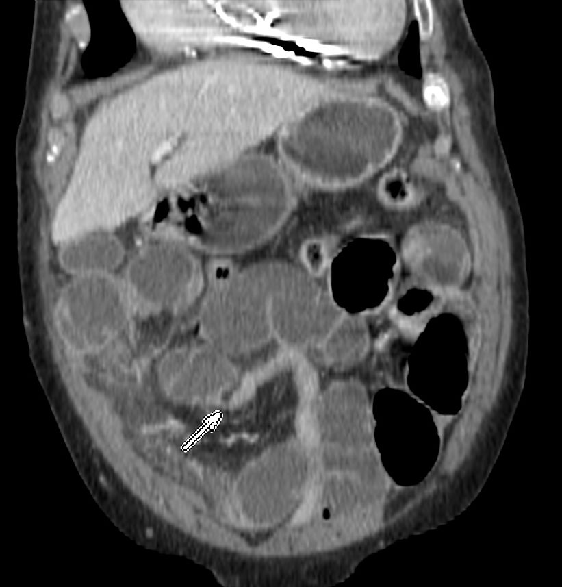
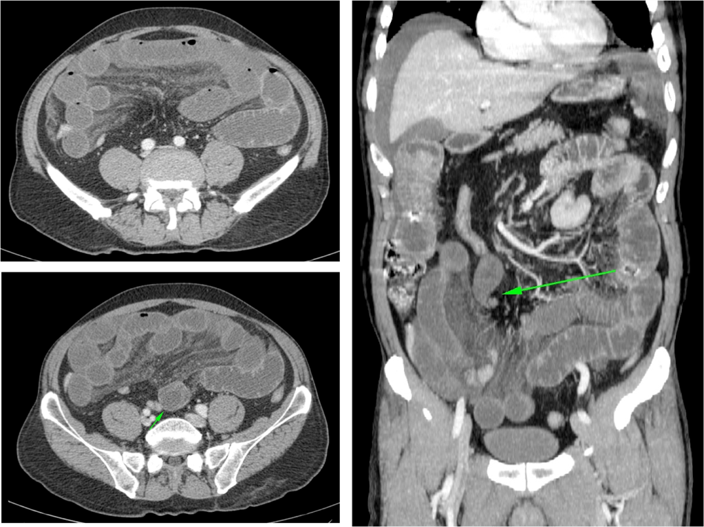
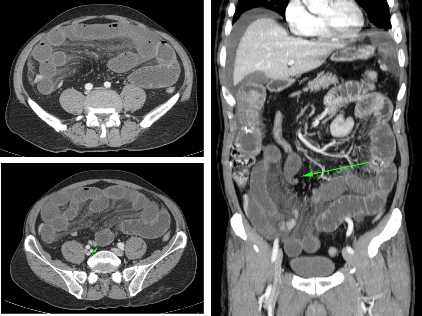
Constituyen más del 50% de las causas de obstrucción. Son más frecuentes en el intestino delgado, sobre todo íleon. De ellas la mayoría son postquirúrgicas. Se identifican en la TC como cambio brusco del calibre de las asas sin evidencia de causa subyacente, y suele estar adyacente a cicatriz quirúrgica.



HERNIAS.
Constituyen la primera causa en pacientes sin antecedentes quirúrgicos abdominales. Pueden ser hernias externas o internas:
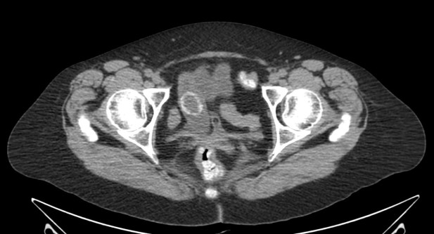
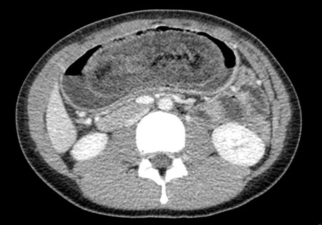
- Externas: se producen a través de un defecto en la pared y puden ser inguinales, femorales, del obturador, umbilicales, de Spiegel, lumbares y laparotómicas. En la tomografia, se observan las asas en el orificio herniario con dilatación de asas proximales y colapso de las distales al mismo. Existe alto riesgo de estrangulación (valorar los signos de isquemia).


- Interna: son hernias que se producen a través de un defecto de peritoneo, omento o mesentério, congénito o postquirúrgico. Muy poco frecuentes y los hallazgos en la tomografia son la agrupación del intestino delgado con forma de “C”, signo del remolino y de rueda de carro.

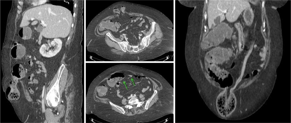
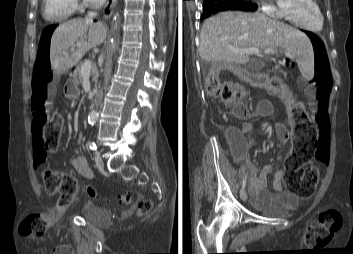
VÓVULOS.
Es una obstrucción en asa cerrada. Tambien nombraremos al vólvulo gástrico, que poduce una obstrucción alta.
En el vólvulo intestinal, los hallazgos en TC mostrarán una morfología “en grano de café”, dos tipos:
- De sigma: con vértice orientado hacia FII, morfología en “U invertida” y doble nivel hidroaéreo. No suele asociar dilatación de asas de delgado.
- De ciego: con vértice orientado hacia FID y único nivel hidroaéreo. Suele asociar dilatación de asas de delgado.



Existen tres tipos de vólvulo gástico, dependiendo del eje alrededor del cual rota el estómago: organoaxial ( el más frec. El estómago rota a lo largo de su eje mayor), mesentérico axial (el eje de la rotación es perpendicular al eje mayor del estómago), y mixto o combinado. La TC: es la técnica de elección, donde se puede detectar las malrotaciones, identificar la posición del píloro y cardias (útil para conocer el eje de torsión) y determinar la relación entre las curvaturas. Puede verse un pliegue central en la luz gástrica que corresponde al área de torsión.


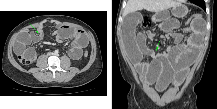
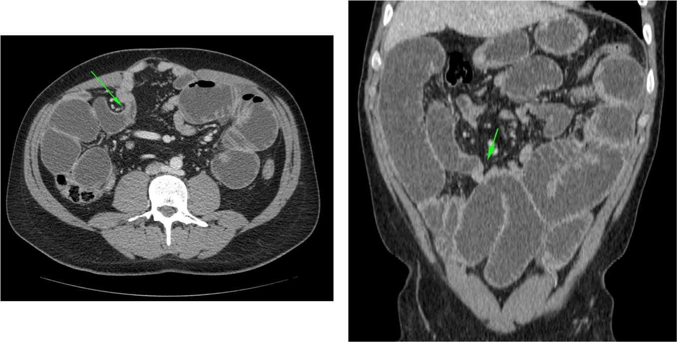
INVAGINACIÓN INTESTINAL.
La invaginación intestinal es la introducción telescópica de un segmento de intestino junto con su mesenterio, dentro de la luz de otro segmento contigüo más distal. En una invaginación, la porción de intestino que se invagina, arrastra su meso acompañante, lo cual origina una compresión del retorno venoso. Si esto no se soluciona a tiempo, se produce edema, hemorragia, obstrucción y gangrena.
El 95% de la invaginaciones se produce en el paciente pediátrico.
- La etiología es desconocida en 90%, aunque en algunos puede ser secundaria a procesos como adenovirus, Meckel, pólipos,angioma, adenoma, púrpura de S-H, tumores malignos, etc.
- Su localización más frecuente es la ileocólica.
- Clínicamente cursa con dolor abdominal intenso tipo cólico, llanto, vómitos, irritabilidad, encogimiento de piernas y deposiciones hemorrágicas (“heces en jalea de rosella”).
- En la radiografía (no esta indica su realización) se aprecia ausencia de aire con efecto masa y distensión de asas en el abdomen izquierdo. Se realiza Ecografía como prueba de elección para confirmar el sospecha clínica.
- El tratamiento es la reducción hidrostática si lleva menos de 48 h de evolución (95% efectividad) y no presenta complicaciones, en esos supuestos se practica cirugía.


En el adulto es poco frecuente, constituye solo el 5% de las invaginaciones. Entre los 30 y 50 anos de edad. Más frecuente en hombres que en mujeres (2:1) con clínica subaguda crónica siendo un diagnóstico difícil debido a la poca prevalencia y a la variabilidad de los hallazgos clínicos (dolor abdominal, episodios repetidos de suboclusión intestinal, sangrado rectal…).
El diagnóstico actual de la se realiza mediante TC abdominal:
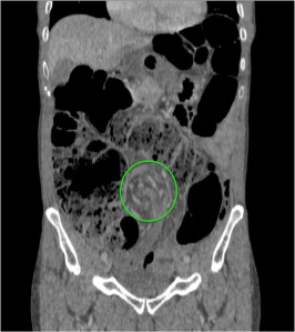
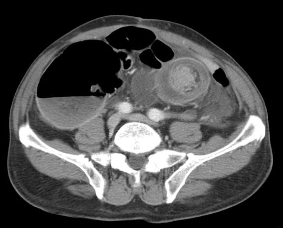
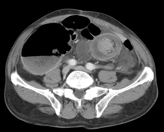
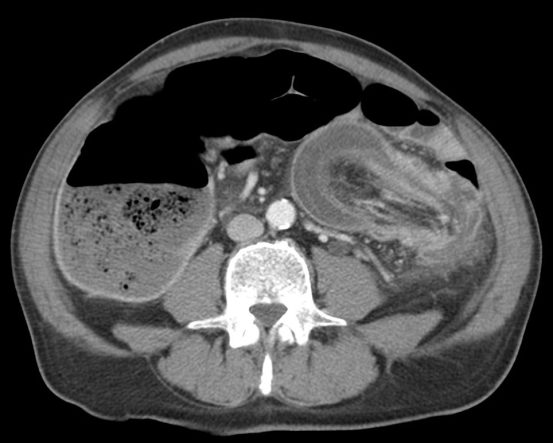
- El hallazgo patognomónico es el signo de la escarapela o diana identificable en la TC o ecografía.
- Podemos ver la imagen de “Intestino dentro de intestino” gracias a las reconstrucciones multiplanares.
Invaginación de Intestino Delgado
- Son más frecuentes que las de colon
- Es más frecuente la invaginación esporádica. Si hay lesión subyacente, suele ser benigna.
- Las causas malignas son menos frecuentes (15-30%), en general metástasis, sobre todo de melanoma.
- El linfoma constituye el 20-40% de todos los tumores malignos de ID.
Invaginación de Intestino Grueso
- Suele deberse a una lesión subyacente, sobre todo procesos malignos primarios.
- Resto son causas benignas (lipomas, polipos adenomatosos) o idiopáticas.
- Díficil determinar la causa subyacente, excepto en el lipoma (atenuación grasa) o si existe enfermedad metastásica abdominal conocida.
- El lipoma constituye la causa benigna más frecuente de invaginación colo-cólica y el adenocarcinoma de colon la causa maligna más frecuente.


COMPRESIÓN EXTRÍNSECA.
Secundario a efecto masa ejercido por procesos extraluminales de etiología muy variada. Lo más frecuente la carcinomatosis peritoneal. Procesos inflamatorios secundarios a apendicitis o diverticulitis son más raros.

NEOPLASIA.
La neoplasia mas frencuente es el adenocarcinoma de colon. Se observará una imagen la TC de masa de segmento corto con engrosamientoen la zona de transición mural, que oblitera la luz intestinal y puede tener repercusión sobre la grasa adyacente, así como adenopatías locorregionales. Recordar que una diverticulitis aguda puede producir la misma semiología, por tanto, una vez pasada la fase aguda, se debe realizar una colonoscopia para descartar una neoplasia subyacente.

PROCESO INFLAMATORIO.
Diverticulitis aguda: ya comentado anteriomente
La enfermedad de Crohn en fase estenótica es la causa más frecuente de proceso inflamaotrio que normalmente produce un cuadro seudococlusivo. Como todos la etiologias parietales se observará un engrosamiento mural en la zona de transición que oblitera la luz.

ENTERITIS POR RADIACIÓN.
Causa parietal, muy frecuente junto con el adenocarcinoma de colon y la E. de Crhon.

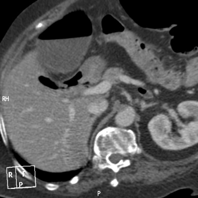
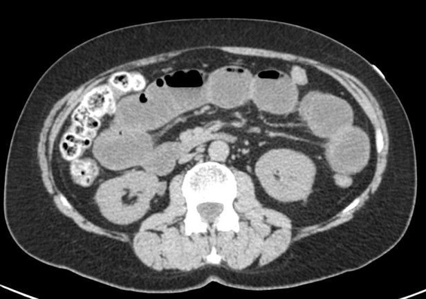
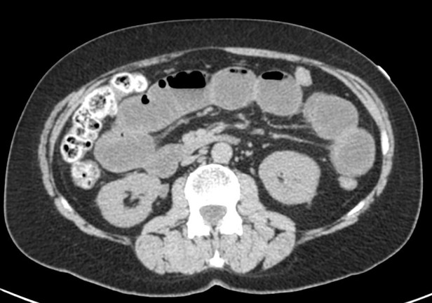
El íleo biliar se define como la obstrucción mecánica causada por la impactación en el lumen intestinal de una litiasis biliar procedente de la vesícula. Es una complicación que ocurre en el 0.3 – 0.5% de todas las colelitiasis.
Aunque su frecuencia global es baja, en pacientes ancianos no lo es tanto, llegando a constituir alrededor del 25% todas las obstruciones intestinales no estranguladas. Al igual que en la coletitiasis, es más frecuente en mujeres.
Su mortalidad varía entre el 8 -30%, llega a ser bastante alta sobre todo en ancianos con patología concomitante.
Placa simple: Triada de Rigler: Obstrucción de asas de delgado + gas en el arbol biliar + litiasis (frec en la FID); estos tres hallazgos constituyen la Triada de Rigler.
Tomografía computarizada: S y E del 93% y 100% respectivamente. Hallazgos: Dilatación por obstrucción de asas de delgado. Aerobilia. Litiasis (2 – 3 cm aprox). Hay que tener cuidado ya que muchas litiasis no están calcificadas y su densidad puede ser similar al contenido del intestino. Pueden ser multiples, por tanto hay que poner atención para que no pasen desapercibidas y evitar las recidivas. Fistulas (normalmente entre vesícula y duodeno). Neumoperitoneo (gas portal o gas mural indican peor pronóstico).



Sindrome de Bouveret: Es un tipo de íleo biliar muy proximal y poco frecuente, donde una litiasis migra a través de una fístula desde la vesícula biliar al duodeno proximal o al píloro gástrico, produciendo ahí una obstrucción.

Normalmente se forman en el estómago de pacientes con historia personal previa de cirugía gástrica o enfermedad psiquiátrica. Los bezoares pueden darse en el estómago, intestino delgado o intestino grueso y pueden presentarse aislados y ser múltiples.
Pacientes jóvenes entre 15 – 19 años. Pueden asociar enfermedad psiquiátrica o antecedes de cirugía gástrica. Síntomas: indigestión/malestar estomacal, dolor, náuseas, vómitos, diarrea, anorexia, pérdida de peso, úlceras gástricas, obstrucción intestinal
- CT abdominal: Es la prueba de elección.
- Masa con baja densidad intraluminal + patrón de burbujas de aire moteado ( patrón característico).
- Edema de pared y engrosamiento de mucosa.
- Obstrucción intestinal: cambios de calibre y dilatación de asas pre estenosis. El CT puede determinar la causa, localización y grado de obstrucción intstinal.
- Sd de Rapunzel: cola de pelo que se extiende desde el estómago al intestino y puede producir obstrucción.
- Perforación: líquido libre y neumoperitoneo.
- El CT puede ayudar a distinguir entre un bezoar y particulas de comida. Los bezoares son redondos u ovoides, flotan en la superficie de agua/aire rodeados del contenido gástrico y que además muestran menor densidad que las partículas de comida. Los bezoares grandes tienden a rellenar todo el lumen y muestran burbujas distribuidas en el intersticio de la masa. Sin embargo, en ocasiones puede ser dificil difrenciar un bezoar de un cantidad considerable de comida retenida o de las heces si se localizan en el colon. Un hallazgo que puede ayudarnos, es identificar que dicha masa esta produciendo una obstrucción.
- La ventana estándar abdominal de (level, 40 H; width, 350 H) puede hacer muy dificil el diagnóstico de bezoar. Es recomendable bajar el Nivel/Level de la ventana hasta los L -1oo H o jugar con dichos niveles hasta identificar mejor las características del bezoar.

OTRAS CAUSAS:
Cuerpo extraño: Más frecuente en niños o pacientes psiquiátricos, suele localizarse en intestino delgado.

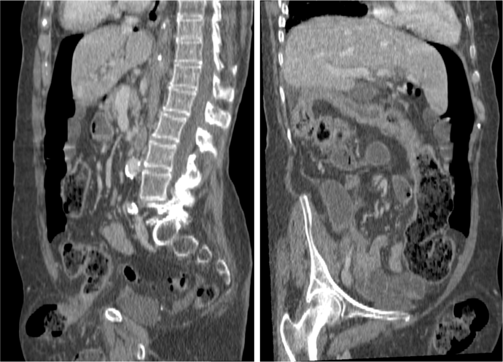
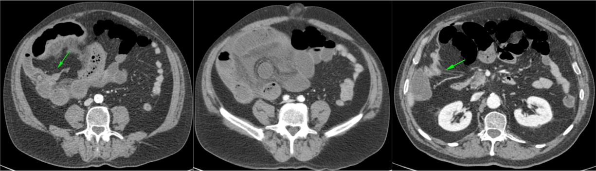
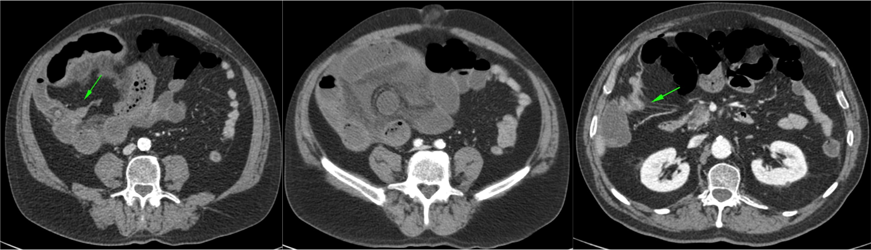
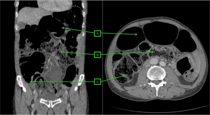
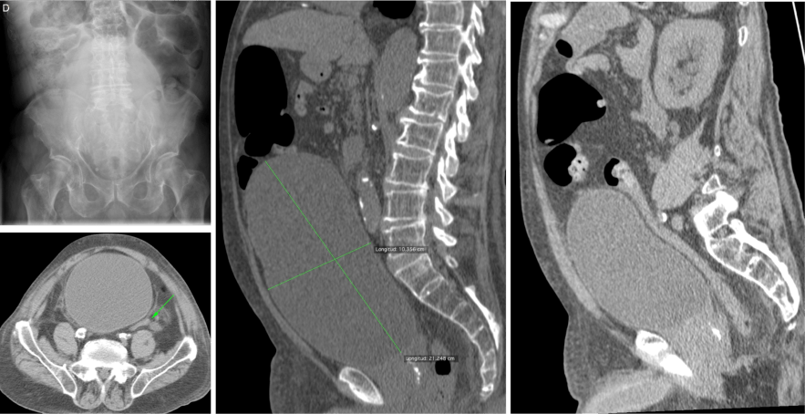
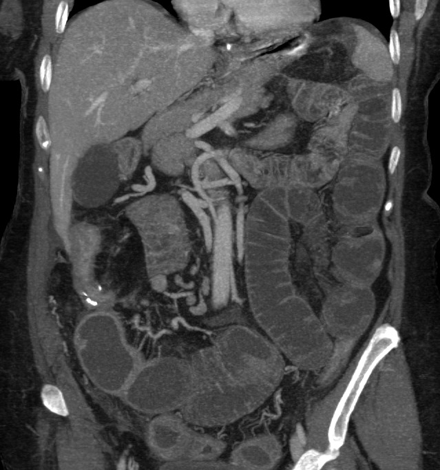
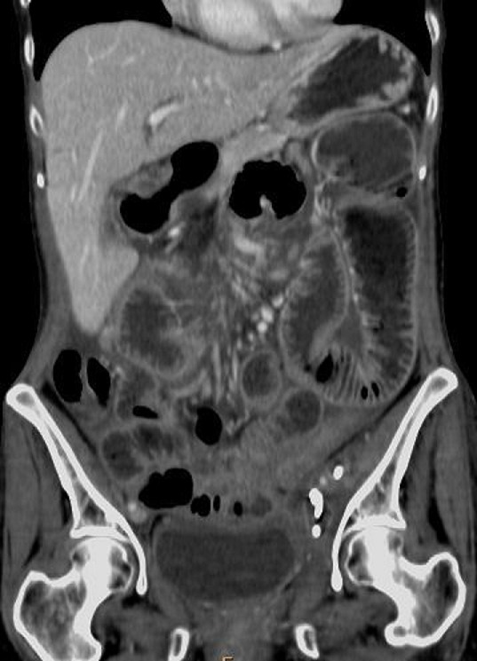
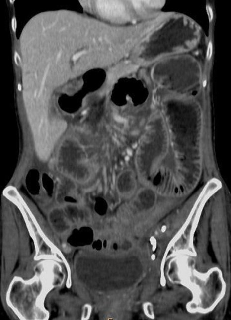
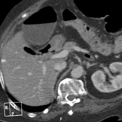
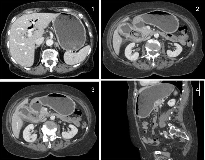
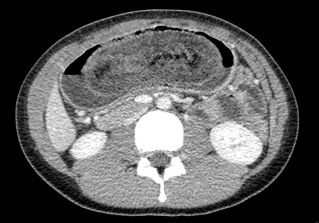
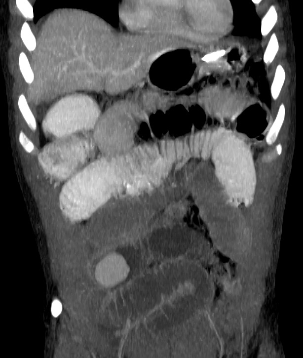
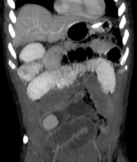
Lipoma intestinal: frecuente como punto guía o cabeza de invaginación en el instestino delgado. Aquí presentamos un caso de lipoma intraluminal en el colon, que producia obstrucción y cambios inflamatorios en el colon ascendente.


Imapactión Fecal: es una acumulación de heces en el colon o recto. Los fecalomas aparecen cuando se presenta una obstrucción crónica al movimiento a través de los intestinos (por ejemplo, estreñimiento crónico).

Bibliografía:
Cañete Moslero et al. La TC multicorte en la obstrucción intestinal. SERAM 2014. S-1366.
Radiopaedia.org
Radiologia Esencial. SERAM. Capitulo 34. pag 476

Deja un comentario