Mujer de 65 años que acude a urgencias por dolor intenso y distensión abdominal.
AP: colecistectomizada recientemente por litiasis y colecistitis de repetición
TAS 110/ 90; FC 100 lat/min; Sat O2 99%.
Analítica: PCR 54.
Alérgica al Iodo.
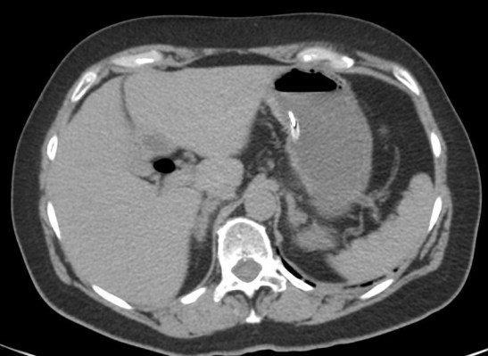
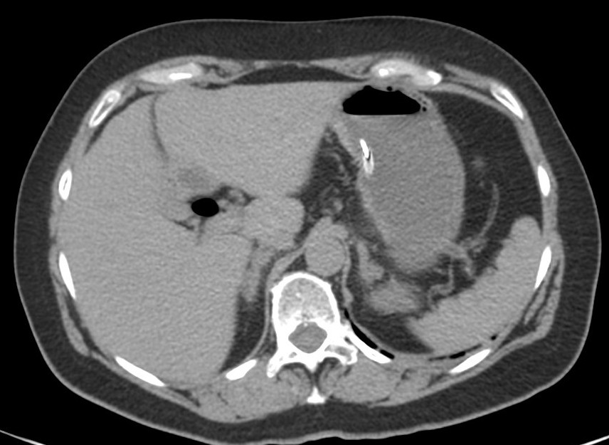
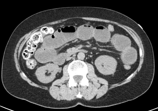
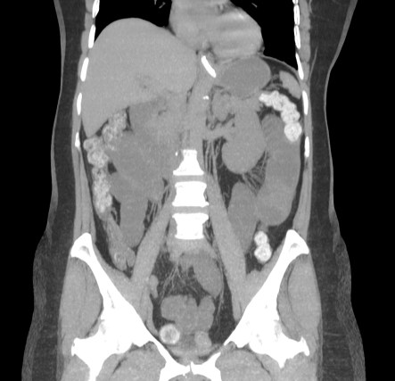
Se realiza un TC abdominal sin contraste:




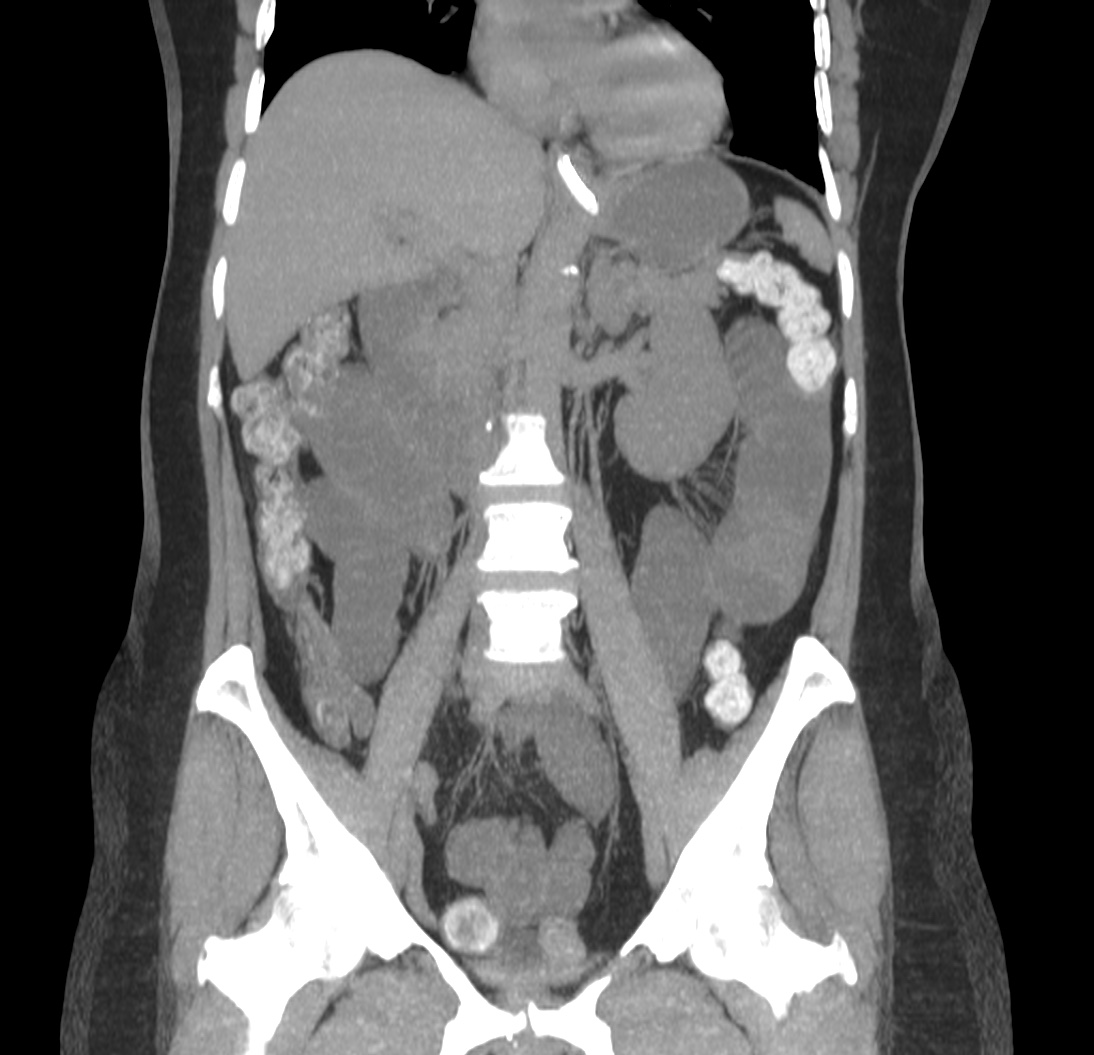
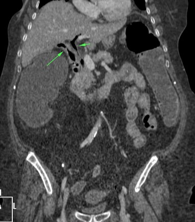
Observar como posterior a la litiasis hay un cambio de calibre, el segmento que queda de ileon y el colon no están distendidos.

No encontramos ante un Ileo biliar, una obstucción intestinal mecánica ocasionada por una litaisis enclavada en el íleon terminal. La paciente estaba colecistectomizada, por tanto, lo más probable es que haya sido producido por una litiasis residual que pasó desapercibida.
ÍLEO BILIAR:
En los servicios de urgencias, la obstrucción intestinal constituye un emergencia frecuente. La principal causa de obstrucción son las bridas, sin embargo existen otras entidades que hay que tener en cuente, entre ellas el íleo biliar, una patología que fue descrita por primera vez por Bartholin en 1654.
El íleo biliar se define como la obstrucción mecánica causada por la impactación en el lumen intestinal de una litiasis biliar procedente de la vesícula. Es una complicación que ocurre en el 0.3 – 0.5% de todas las colelitiasis.
Aunque su frecuencia global es baja, en pacientes ancianos no lo es tanto, llegando a constituir alrededor del 25% todas las obstruciones intestinales no estranguladas. Al igual que en la coletitiasis, es más frecuente en mujeres.
Su mortalidad varía entre el 8 -30%, llega a ser bastante alta sobre todo en ancianos con patología concomitante.
CLÍNICA:
- Paciente de edad avanzada.
- Más frecuente en mujeres.
- Historia personal de dolor recurrente en flanco derecho por colelitiasis o colecistitis. Normalmente, suele existir episodio biliar reciente previo al desarrollo del ileo biliar.
- Presentación aguda: cuadro oclusivo con dolor cólico y distensión abdominal.
- Suele transcurrir de 3 a 7 días desde el debut de los síntomas hasta que el paciente acude a urgencias.
- Normalmente hay cuadro previo
La inflamación que se produce por las colecistitis recurrentes puede ocasionar una adesión de la vesícula biliar al intestino delgado y formar así una fístula con el consiguiente paso de la litiasis a la luz del tubo digestivo. La adhesión y entrada más frecuente se produce en el duodeno, y así una vez en el tracto intestinal, una litiasis puede ser vomitada, puede pasar el recto o puede producir un íleo mecánico. Las piedras pequeñas (mayoría < 2.5 cm) no ocasionan problemas importantes, sin embargo, las grandes litiasis de colesterol pueden quedar impactadas principalmente en la válvula ileocecal, produciendo una obstrucción. Las fístulas también pueden presentarse con otros órganos como el estómago y también podemos encontrar litiasis ectópicas en esta localización o tambien en otros lugares como el duodeno (Sd. de Bouveret) o en el colon.
RADIODIAGNÓSTICO:
Placa simple.
Clásicamente se puede ver una obstrucción de asas de delgado, gas en el arbol biliar y una litiasis frecuentemente en la FID; estos tres hallazgos constituyen la Triada de Rigler.
Tomografía computarizada.
La TC tiene una S y E del 93% y 100% respectivamente.
Se realiza una TC con contraste en fase portal con cortes de 3 mm y cortes finos para realizar reconstrucciones. Puede realizarse sin contraste para poner más de manifiesto la litiasis cálcica. La información obtenida por TC nos permite un diagnóstico rápido y preciso, además de ser una ayuda muy preciada para el cirujano a la hora de decidir el tratamiento a realizar.
Hallazgos:
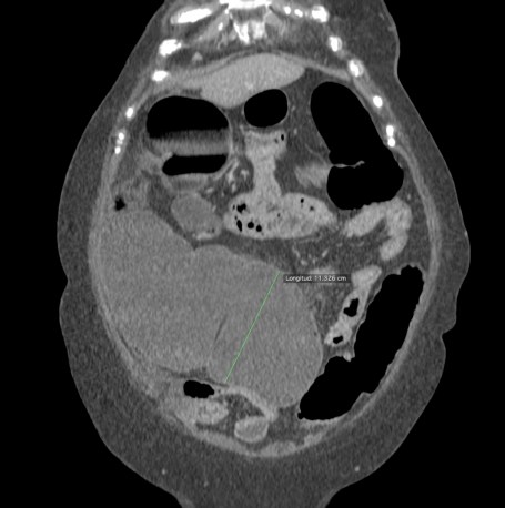
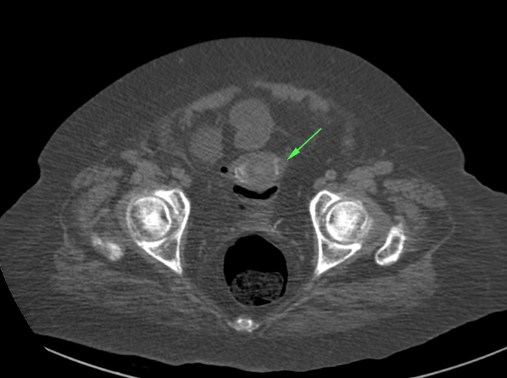
- Dilatación por obstrucción de asas de delgado.
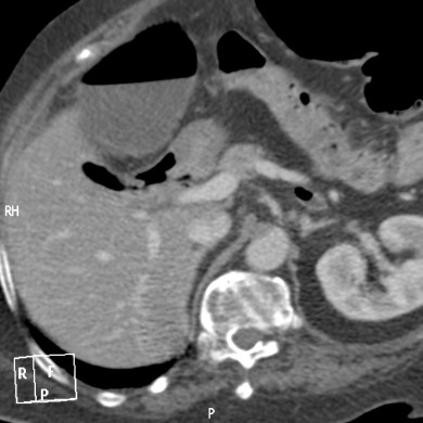
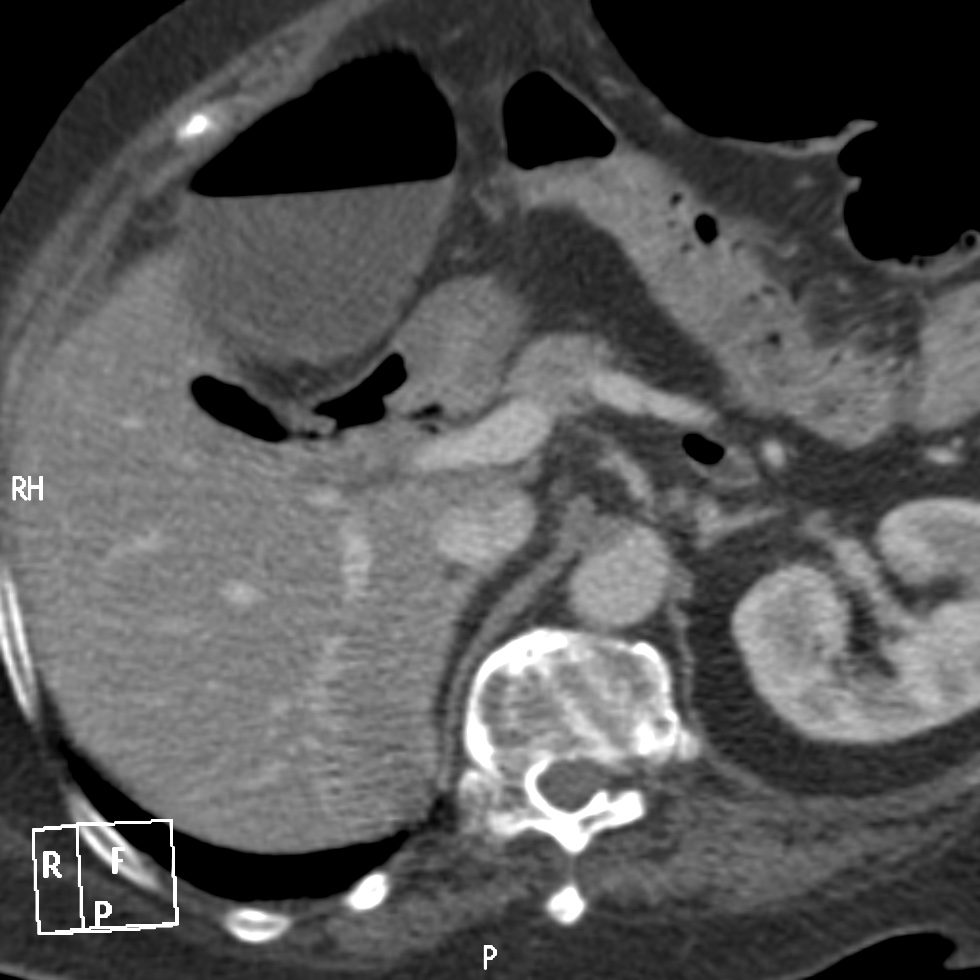
- Aerobilia.
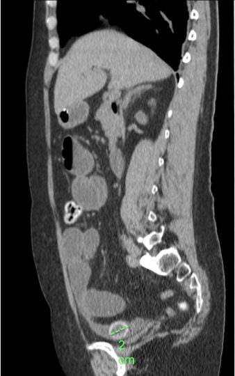
- Litiasis (2 – 3 cm aprox). Hay que tener cuidado ya que muchas litiasis no están calcificadas y su densidad puede ser similar al contenido del intestino. Pueden ser multiples, por tanto hay que poner atención para que no pasen desapercibidas y evitar las recidivas.
- Fistulas (normalmente entre vesícula y duodeno)
Neumoperitoneo, gas portal o gas mural indican peor pronóstico.
Recurrencia: es importante hacer hincapié en que pueden existir otras litiasis adicionales las cuales podría pasar desapercibidas y así provocar una recurrencia. Otra causa de recidiva de ileo biliar es la presencia de una nueva litiasis biliar en pacientes que todavía no han sido colecistectomizados.
TRATAMIENTO:
Debido a que se produce en pacientes ancianos, el ileo biliar conlleva una alta mortalidad. El tratamiento definitivo consiste enterlitotomía (extracción de la litiasis), reparación de la fístula y colecistectomía.
Paciente mujer de 77 años que acude a urgencias por dolor abdominal cólico y estreñimiento. Refiere que ha tenido cólico biliares en repetidas ocasiones, pero que el dolor actual es «distinto», que no lo calma con analgesia y que tiene además estreñimiento.
Se realiza placa de abdomen y TC en vacío y fase portal.








El cuadro oclusivo está producido por una litiasis biliar que ha pasado de la vesícula al intestino a través de una fístula con el duodeno y que llegó hasta el recto por una insuficiencia de la válvula ileocecal. Así, se produjo una dilatación generalizada de asas, principalmente de las del intestino grueso, que finalmente derivó en isquemia intestinal.
Bibliografía:
Role of Helical CT in Diagnosis of Gallstone Ileus and Related Conditions. AJR 2005.
Deja un comentario