INTRODUCCCIÓN.
El ictus agudo es una de las principales causas de morbimortalidad en nuestro entorno y se debe a la falta de aporte sanguíneo a una parte del cerebro que puede ser debida a una oclusión que produce isquemia (80% de los casos) o una ruptura de un vaso sanguíneo que provoca sangrado.
- 3ª causa muerte
- 1ª causa invalidez permanente
- Incidencia 150-250 casos/100.000 habitantes/año
Ictus isquémico (80%)
a) Ateromatosis: del arco aórtico, ACI (segmento cervical e intrapetroso) A Vertebral (en el origen y en la unión con basilar), Basilar, segmentos 1 y 2 de ACA, ACM y ACP.
b) Lacunar: por obstrucción vasos perforantes en ganglios basales y corona radiada, relación directa con HTA y diabetes.
c) Cardiogénico: situaciones que favorezcan formación de trombos intracavitarios (Arritmias, infarto miocardio, enfermedad valvular, foramen oval patente , mixoma cardíaco).
Ictus Hemorrágico (20%)
- Hematoma parenquimatoso: 10-15% de ictus –> Por frecuencia de localización: Ganglios de la base > Lobares > Cerebeloso > Tronco > Masivos > Intraventriculares puros.
- Hemorragia subaracnoidea: 5%.
Los principales síntomas de sospecha de ictus son:
- Desviación de la comisura bucal.
- Pérdida de fuerza o dificultad para elevar un brazo.
- Alteración del lenguaje.
Hay que tener en cuenta que ante «el tiempo es cerebro», por tanto si se observan estos síntomas en una persona, se activa el código ictus y el paciente es trasladado al hospital para:
- Exploración neurológica mediante la escala de NISSH (>25 = contraindica tto; <4 riesgo excesivo)
- Se solicita TC de cráneo sin contraste iv y en algunos casos también se requerirá angioTC y TC de perfusión.
- En ningun momento debe retrasarse la instauración de tratamiento fibrinolítico.
- Tratamiento: Hay que valorar la edad del paciente, comorbilidad, antecedentes personales, medicación, intervención reciente, estado de la coagulación y la clínica actual: <6-8 horas de evolución con mismatch en territorio anterior (se ha descrito hasta 12 horas en el posterior).
RADIODIAGNÓSTICO.
Todo debe estar preparado antes de la llegada del paciente (bomba cargada, suero salino, vía cogida, prótesis u otros materiales metálicos en la cara o pelo retirados… técnico y especialista presentes…). Desde que el paciente llega a urgencias hasta la realización de las pruebas de imagen no deben pasar más de 60 min, mientras que la lectura de todas ellas por parte del radiólogo no debería tomar más de 15 min.
Hoy en día, la imagen juega un papel crucial en el íctus agudo, dónde dispodemos del TC Multimodal que consiste en la combinación de:
- TC sin contraste (se realiza siempre).
- Angio TC.
- TC de perfusión.
A través de estas tres técnicas debemos ser capaces de responder tres preguntas:
- ¿Es un ictus hermorrágico o isquémico? (TC sin contraste).
- ¿Hay una obstrucción de un gran vaso?(Angio TC).
- ¿Cual es el tejido infartado y cual el salvable? (TC Perfusión + Angio TC).
El TC Multimodal es la prueba de referencia en urgencias frente a la resonancia magnética debido a su gran disponibilidad, rapidez y menores contraindicaciones, a pesar de que supone la administración de radiación.

TC SIN CONTRASTE.
Sirve para descartar sangrado u otros simuladores de infarto. Además, en ocasiones podemos detectar, mediante la ventana de isquemia, signos precoces de ictus agudo (clíck aquí para ver entrada anterior).
Simuladores de infarto.
La principal utilidad del TC sin contraste es la de descartar la existencia de sangrado.
- Hematoma cerebral.
- Hemorragia subaracnoidea.
- Neoplasia.
- Malformación arteriovenosa (MAV).
Signos precoces de infarto.
- ACM hiperdensa.
- Pérdida del ribete insular.
- Hipodensidad en ganglios basales.
- Borramiento de surcos / Hipodensidad / Desdiferenciación cortico-subcortical.
Sistema ASPECTS
- Sirve como método de estandarización.
- Si el ASPECTS es < 7 (más de 1/3 del territorio de la ACM afectado) el riesgo de sangrado postfibrinolisis es muy elevado.
- En casos de ictus hemorrágico, lesión simuladora de ictus o un ASPECTS menor de 7 no se realizan más pruebas diagnósticas en la urgencia.

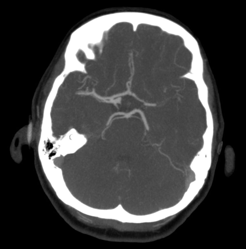
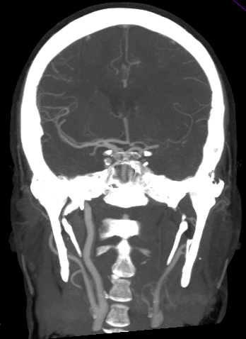
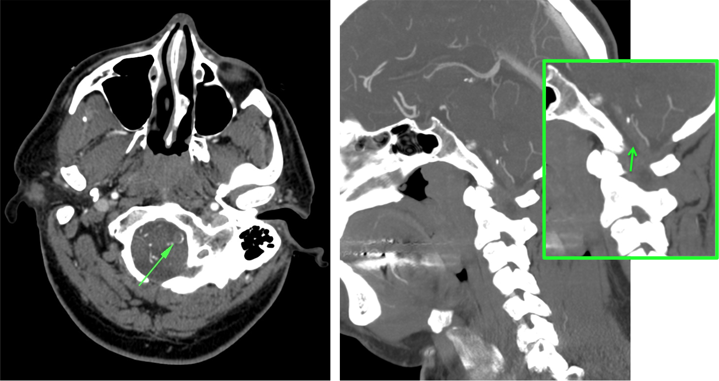
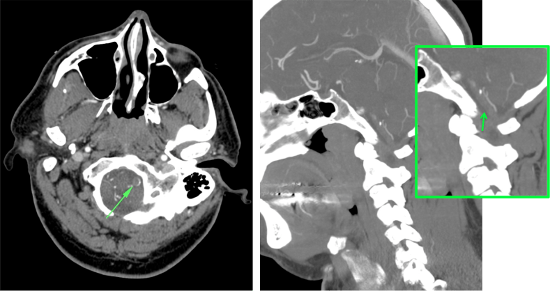
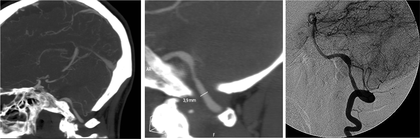
ANGIOGRAFÍA TC.
Sirve para:
- Definir el lugar de oclusión.
- Descartar disección arterial.
- Grado de colateralidad.
- Grado de arterioesclerosis.
Con la información aportada podremos pronosticar mejor la localización y extensión del infarto. Además, proporciona un mapa vascular para el tratamiento endovascular.
a) Técnica:
- Contraste 50ml de 300 mg ; 4 ml/s.
- Lavado con suero 40ml ; 5 ml/s.
- Scout view amplio.
- Adquisición desde cayado de aorta hasta vértex (importante para observa variantes del cayado y morfología de los vasos cervicales)
- Se realiza con Smart Prep Bolus Tracking System
b) Estudio:
- MIP de 25mm en Polígono, con reconstrucciones en planos básicos.
- Reformateo curvo para vasos cervicales (segmento cervical de las carótidas, arterias vertebrales)
c) Objetivo:
Es importante leer el estudio orientados por la clínica y los hallazgos de la TC sin contraste. Aún así, es conveniente seguir una sistemática para estudiar todos los vasos importantes y no pasar por alto la patología.
La angioTC nos sirve para:
- Detectar trombosis: informar acerca de la apariencia, localización, dimensiones. Localizaciones frecuentes:
- Tándem ACI-ACMedia
- Tronco Basilar
- Región carotídea.
- Segmento M1 de ACM
- Segmento M2 de ACM
- Estudiar morfología del cayado y variantes + descartar estenosis en bifurcaciones carotídea. Datos muy importantes de cara para el intervencionismo.
- Detectar disección arterial (produce ictus por suelta de embolos o por oculisón hemodinámica)
- Valoración de Polígono de Willis: patología (estenosis, aneurismas, malformaciones) y sus variantes de la normalidad (informar de la existencia de comunicantes, dominancia, ACoP de origen fetal, etc…)
- No olvidar repasar el parénquima cerebral para definir mejor el parénquima isquémico.
- Colateralidad. Grados:
- Vasos no visibles.
- Visibles en la perifería de la zona isquémica.
- Irrigación completa de la zona isquémica por colaterales.
- Flujo anterógrado normal.





TC DE PERFUSIÓN.

Realizaremos un TC de perfusión fundamentalmente en estos dos supuestos:
- Cronología incierta.
- Ictus del despertar.
- Dudas diagnósticas.
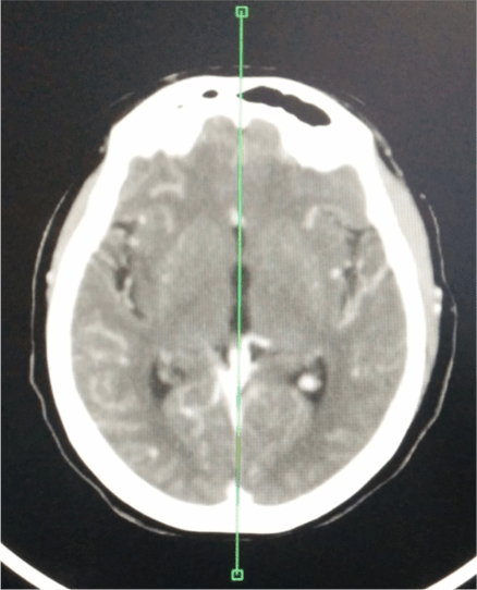
El fundamento de la prueba consiste en administrar constraste iv y estudiar el primer paso de éste a través de la circulación cerebral (50 mL de cc; 4 mL/seg) a baja radiación (80 kVp; 150 mA). Se realiza un bloque de estudio de 4 cm a nivel de los ganglios basales (ya que a ese nivel encontramos los territorios de las ACA, ACM y ACP) y se aprovecha que el contraste pasa a través de la circulación cerebral produciendo hiperatenuación de los vasos, lo cual vamos a aprovechar para colocar un ROI arterial y otro ROI venoso que nos darán dos curvas de tiempo-atenuación de contraste
PASO 1º: COLOCAR LA LINEA MEDIA.

PASO 2º: DEFINIR VASOS. Colocación de los ROI.
- El ROI arterial debe seleccionarse en un arteria sana, preferiblemente en las ACA o en la ACM contralateral al lado infartado.
- El ROI venoso puede aplicarse por ejemplo en el seno venoso sagital superior o en la prensa de Herófilo.


PASO 3: MAPAS DE PERFUSIÓN
Tras la colocación de los ROI, se generan unos gráficos que deben estudiarse y verificar que:

- Las curvas deben tener un aplanamiento inical, luego un pico y finalmente un descenso = Indica que el contrasta ha pasado durante un tiempo adecuado.
- La curva venosa (azul) debe situarse más alto y con 1-2 segundos de retraso con respecto a la curva arterial (rojo). Este hecho indica una correcta entrada y salida del contraste.
Tras aplicar los ROI, el software de la estación de trabajo nos va a dar un mapa de la perfusión en forma de colorines codificados que nos van a aportar tres parámetros fundamentales (sacados de ecuaciones matemáticas,se denomina Deconvolución).
- Tiempo de tránsito medio (TTM): indica áreas isquémicas (puede sobreestimar un poco el tejido de verdad en peligro).
- Flujo sanguíneo cerebral (CBF): indica el área de isquemia crítica (es más específica que el TTM).
- Volumen sanguíneo cerebral (CBV): indica el área de necrosis ya instaurada.

El mapa del TTM debería ser el primero en analizarse ya que muestra las anomalías más groseras. Lo comparamos con un ROI con el parénquima contraleral normal y si está aumentado en la zona de sospecha diagnóstica, indica isquemia.
A continuación se estudian los mapas de CBF y CBV, los cuales son más específicos para distinguir la isquemia del infarto. La disminución del CBF indica zona de isquemia crítica, mientras que la disminución del CBV indica zona de necrosis ya instaurada. Esta es la diferencia.

Conceptos a tener claro:
- Hay un concepto llamado Mismatch que significa discordancia y que refleja precisamente esta diferencia anteriormente explicada. No concuerdan las áreas afectadas de isquemia y con las áreas ya necrosadas. Es equivalente a decir que de todo el territorio afectado por la isquemia (indicada por el TTM y CBF) hay una zona que ya se ha muerto del todo y no se va a recuperar (inidicada por el CBV). Cuando el mismatch es mayor del 20% hay que tratar al paciente.
- Penumbra = Tejido afectado/aturdido = Aumento de TTM ; Diminución del CBF ; Normal el CBV
- Core = Tejido necrótico = área afectada en el volumen = Aumento del TTM; Disminución del CBF; Disminución del CBV.
- Tejido salvable = TTM – CBV.
Aunque es un tema en debate se establece que los parámetros que mejor definen esos territorios son:
a) Tejido infartado: Volumen menor de 2 litros
b) Isquemia: Tiempo de tránsito medio (TTM) > 145% que el del parénquima contralateral.

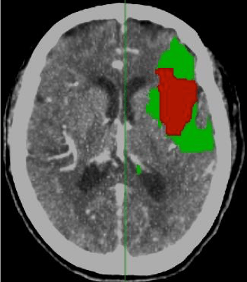
Lo que hemos visto antes es un análisis cuantitativo. A pesar de todo, en la urgencia puede ser incluso más util el análisis visual o cualitativo. Las casas comerciales han desarrollado incluso mapas resumen que muestren ese «mismatch» o discordancia de forma gráfica.

Se pintan unos mapas que muestran:
- Rojo = zona infartada. El volumen es menor de 2 litros.
- Verde = zona isquémica salvable (TTM – CBV). TTM mayor del 145% y volumen mayor de 2 litros.

TRATAMIENTO ENDOVASCULAR.
Hay que valorar la edad del paciente, comorbilidad, antecedentes personales, medicación, intervención reciente, estado de la coagulación y la clínica actual: <6-8 horas de evolución con mismatch en territorio anterior (se ha descrito hasta 12 horas en el posterior).
La mayor parte de los casos el mismatch es claro.
Casos dudosos entre 4,5 h y 6 h si hay un mismatch aproximado del 20% se fibrinolisa o se realiza trombectomía.
En mismatch claro o > 20% se debe proceder a tratamiento lo más precozmente posible, tanto vía endovenosa o intraarterial.
AGRADECIMIENTOS:
Dra Cañete Moslero por las imágenes de la perfusión TC.
Bibliogarfía:

Deja un comentario