Síndrome de Bouveret.

INTRODUCCIÓN.

Fue descrito por Léon Bouveret en 1896.

El síndrome de Bouveret es un tipo de íleo biliar muy proximal y poco frecuente, donde una litiasis migra a través de una fístula desde la vesícula biliar al duodeno proximal o al píloro gástrico, produciendo ahí una obstrucción.

CLÍNICA:

  • Paciente de edad avanzada.
  • Más frecuente en mujeres.
  • Inespecífica: náuseas, vómitos y/o dolor epigástrico.
  • Historia de cólicos biliares previos.

IMAGEN.

Radiografía.

  • Triada de Rigler: obstrucción intestinal + neumobilia +  litiasis ectópica.
  • En una radiografía donde se vea el tracto digestivo superior podría verse improntas o defectos de repleción que sugieran la presencia de una litiasis.
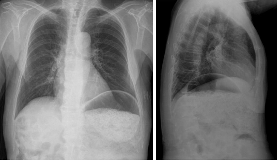
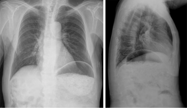
rx
Rx de Tórax 2P: llama la atención la cámara gástrica dilatada con abundante contenido con nivel hidroaéreo.

 

Se
Se observa un patrón en «miga de pan» que correlacionándolo con la radiografía corresponde con contenido en el interior del estómago dilatado.

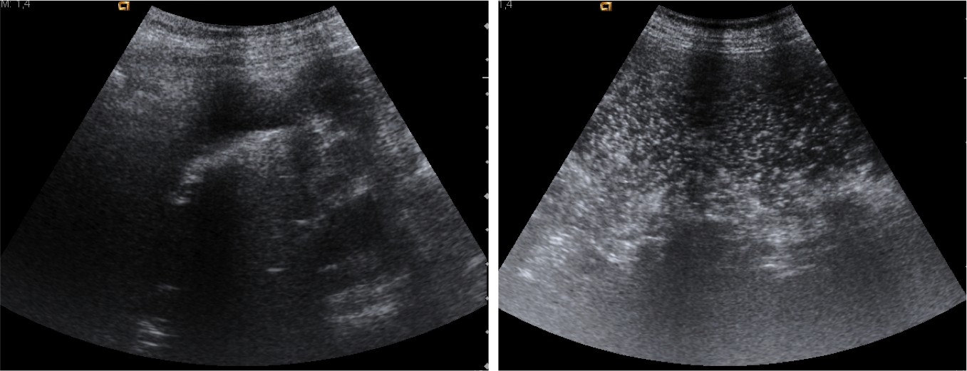
Ecografía:

  • Puede detectar la fístula entre la vesícula y el duodeno, litasis residulaes y detectar la obstrucción gástrica.
Ec
Se observan muchos artefactos por el gas existente en duodeno y estómago. En la zona teórica de la vesícula se observa una dudosa imagen hiperecogénica con sombra posterior. A la izquierda la cámara gástrica con abundante contenido en su interior.

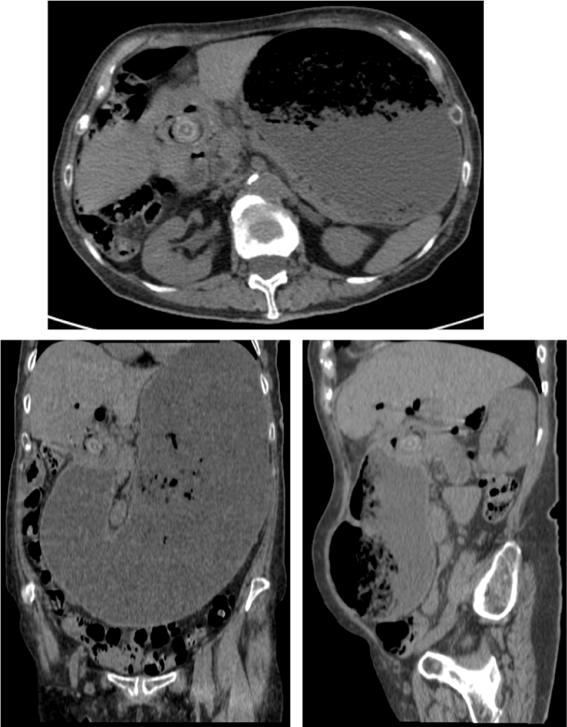
Tomografía Computarizada:

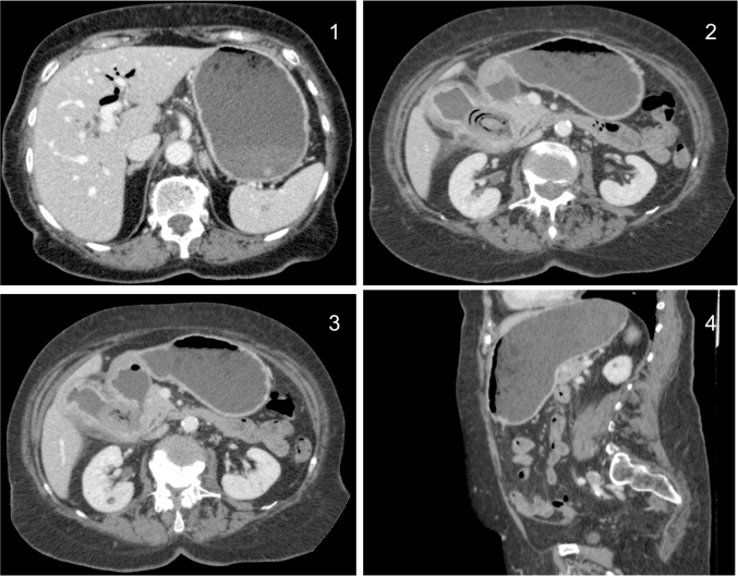
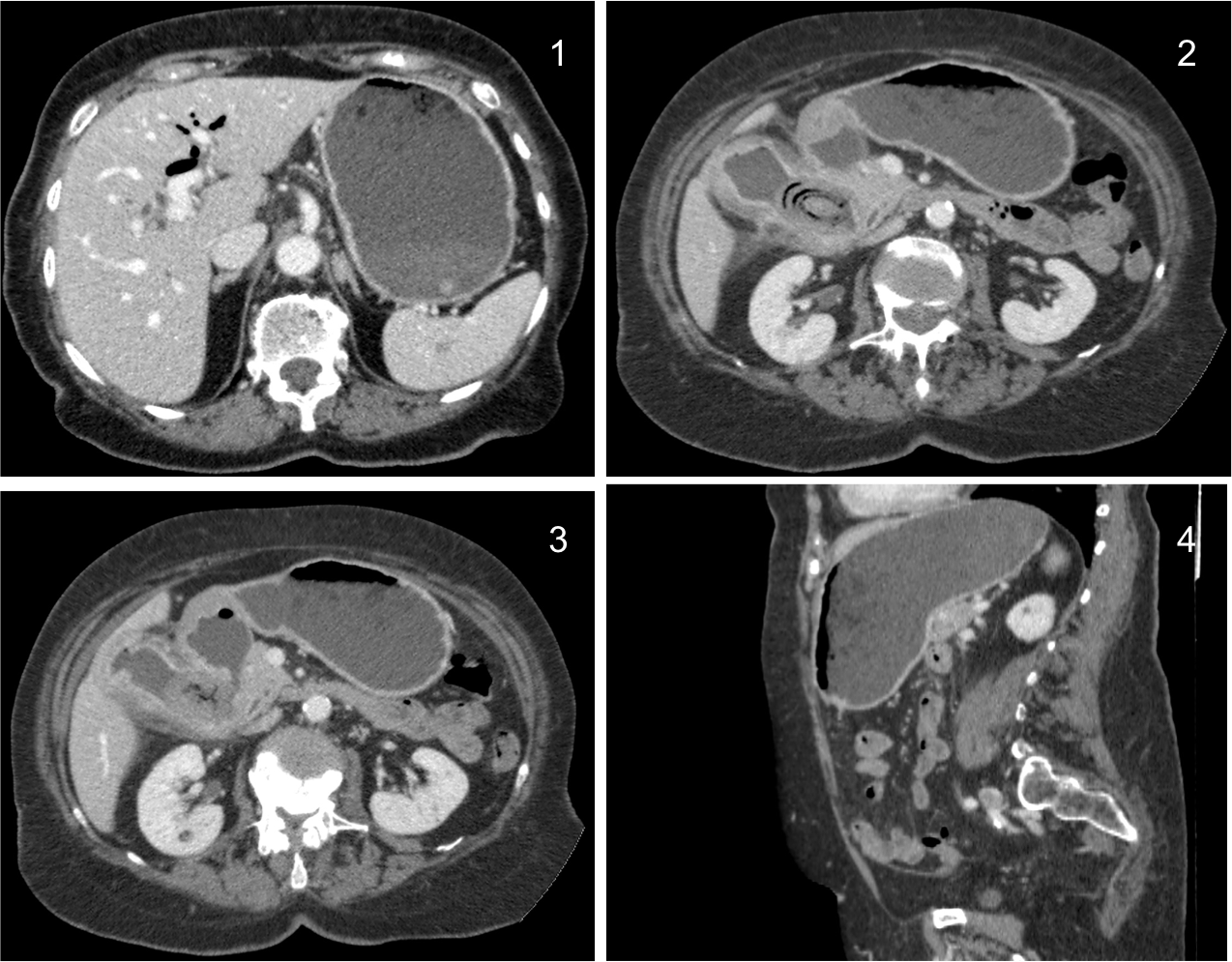
Correlacion con las imagenes anteriores
Correlacion con las imagenes anteriores: en los cortes axial, sagital y coronal puede confirmarse la diltaicón de la cámara gástrica la cual es debido a un litiasis enclavada en primera porción duodenal/píloro gástrico.

 

Se realiza una TC con contraste en fase portal con cortes de 3 mm y cortes finos para realizar reconstrucciones. Puede realizarse sin contraste para poner aun más de manifiesto la litiasis cálcica. La información obtenida por TC nos permite un diagnóstico rápido y preciso, además de ser una ayuda muy preciada para el cirujano a la hora de decidir el tratamiento a realizar.

Hallazgos:

  • Triada de Rigler: obstrucción intestinal + neumobilia +  litiasis ectópica (solo se detecta en el 77% de los casos).
  • Dilatación por obstrucción intestinal.
  • Distensión de la cámara gástrica.
  • Fistulas (normalmente entre vesícula y duodeno)
  • Hay que tener cuidado ya que muchas litiasis no están calcificadas y su densidad puede ser similar al contenido del intestino. Pueden ser multiples, por tanto hay que poner atención para que no pasen desapercibidas y evitar las recidivas.
  • Neumoperitoneo, gas portal o gas mural indican peor pronóstico.
Triada de Rigler:
Otro caso: 1) Neumobilia + Dilatación de la cámara gástrica 2) Litiasis bilar + vesícula con proceso inflamatorio 3) Fístula vesiculo entérica 4) Dilatación de la cámara gástrica por obstrucción.

TRATAMIENTO.

Cirugía (a veces no es posible dada la patología concomitante y la edad avanzada) o terapias con endoscopia.

Bibliografía.

Bouveret’s Syndrome: Appearance on CT and Upper Gastrointestinal Radiography Before and After Stone Obturation

More than Meets the Eye: Subtle but Important CT Findings in Bouveret’s Syndrome

Radiopaedia.org – Bouveret Syndrome.


Posted

in

by

Tags:

Comments

Una respuesta a «Síndrome de Bouveret.»

  1. […] Sindrome de Bouveret: Es un tipo de íleo biliar muy proximal y poco frecuente, donde una litiasis migra a través de una fístula desde la vesícula biliar al duodeno proximal o al píloro gástrico, produciendo ahí una obstrucción. […]

Deja un comentario