INVAGINACION INTESTINAL EN EL ADULTO.
La invaginación intestinal es la introducción telescópica de un segmento de intestino junto con su mesenterio, dentro de la luz de otro segmento contigüo más distal.
- En el adulto es poco frecuente, constituye solo el 5% de las invaginaciones (el 95% de los casos ocurre en la edad pediátrica).
- Entre los 30 y 50 anos de edad.
- Más frecuente en hombres que en mujeres (2:1) .
- Presentación subaguda crónica.
- Diagnóstico difícil debido a la variabilidad de los hallazgos clínicos (dolor abdominal, episodios repetidos de suboclusión intestinal, sangrado rectal…).
El diagnóstico actual de la se realiza mediante TC abdominal gracias a su amplia difusión, lo cual ha hecho que, además de la invagiones con obstrucción mecánica intestinal, aumente además la incidencia de invaginaciones sin significación clínica y con resolución espontánea, entidad que anteriormente se creía exclusiva de la población pediátrica.
En la actualidad, en solo el 20% arpox. de las invaginaciones intestinales existe una lesión estructural subyacente actuando como cabeza de invaginación. En la mayoría de los casos con lesión extructural subyacente, el paciente suele estar asintomáticos o con poca clínica leve que no sugiere obstrucción.
Clasificacion de las invaginaciones:
Según las estructuras implicadas:
- Entero-entéricas = sólo el intestino delgado se encuentra implicado,
- Íleo-cólicas = el íleon terminal se invagina en la luz del ciego.
- Colo-cólicas = el colón se invagina dentro del propio colon.
Además, las invaginaciones pueden ser con o sin lesion subyacente / «punto guía». Características:
Invaginación de Intestino Delgado
- Son más frecuentes que las de colon
- Es más frecuente la invaginación esporádica. Si hay lesión subyacente, suele ser benigna.
- Las causas malignas son menos frecuentes (15-30%), en general metástasis, sobre todo de melanoma.
- El linfoma constituye el 20-40% de todos los tumores malignos de ID.
Invaginación de Intestino Grueso
- Suele deberse a una lesión subyacente, sobre todo procesos malignos primarios.
- Resto son causas benignas (lipomas, polipos adenomatosos) o idiopáticas.
- Díficil determinar la causa subyacente, excepto en el lipoma (atenuación grasa) o si existe enfermedad metastásica abdominal conocida.
- El lipoma constituye la causa benigna más frecuente de invaginación colo-cólica y el adenocarcinoma de colon la causa maligna más frecuente.

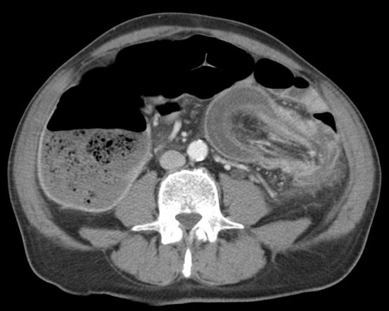
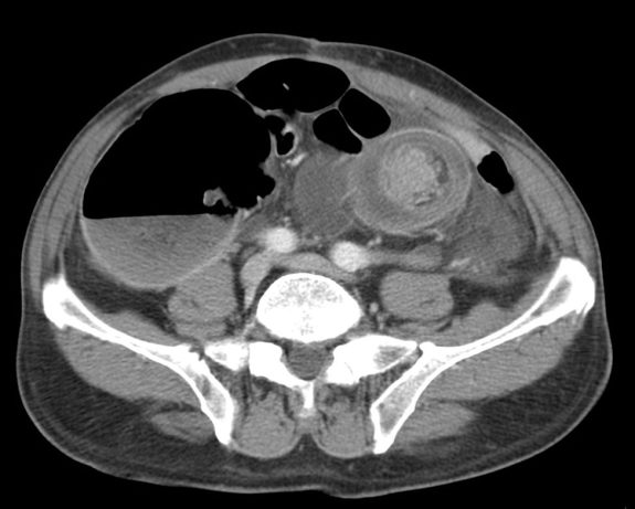
En el Scout se observa distensión de asas de colon y silencio radiológico en región teórica de colon descendente y sigma sin observar gas ni material fecal distal. Signos que con la clínica actual son compatibles con obstrucción intestinal.
Imagen radiologica:
El método de elección es la TC, ya que, si bien existen otras técnicas diagnósticas (como la radiografía simple, el enema de bario o la ecografía), ninguna presenta una sensibilidad y especificidad tan elevadas en la poblacion adulta.
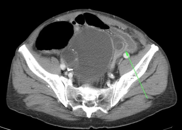
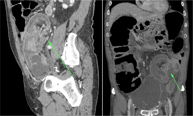
- El hallazgo patognomónico es el signo de la escarapela o diana identificable en la TC o ecografía.
- Podemos ver la imagen de «Intestino dentro de intestino” gracias a las reconstrucciones multiplanares.
Aunque el diagnóstico es sencillo, la TC es insuficiente para determinar la causa subyacente. Existen una serie de hallazgos que nos permiten caracterizar la invaginacion y valorar la gravedad, lo cual determina el tratamiento a seguir.
Criterios de Transitoriedad:
- Segmento de corta longitud (<3,5cm)
- Pequeño calibre (<3,5cm)
- Ausencia de obstrucción asociada
- No punto guía reconocible
- No engrosamiento parietal
- Localización en intestino delgado
- Apoyan transitoriedad: EII, enfermedad celiaca o trastornos de motilidad intestinal
Criterios NO transitorios o indicativos de Malignidad:
- Segmento largo (>4cm)
- Diámetro aumentado
- Obstrucción intestinal asociada
- Engrosamiento parietal
- Punto guía reconocible
- Localización en colon.
- Signos de isquemia intestinal.




Tratamiento:
A grandes rasgos:
- Invaginación de intestino grueso + lesion subyacente + criterios malignos + isquemia intestinal = Resección quirúgica.
- Invaginación de intestino delgado + signos de benignidad + asas viables = Actitud conservadora/Reducción inicial.
- Invaginación sin lesion subyacente = No requiere tratamiento. Seguimiento y vigilar recidivas/falta de resolución.
Bibliografía:
Deja un comentario